JavaScript is disabled in your browser. Please enable JavaScript to view this website.
AB52917

Anti-VEGFA antibody [EP1176Y] - C-terminal

  • RabMAb
  • Recombinant
  • Lab Essentials
  • 20ul selling size
  • What is this?

5

(9 Reviews)

|

(299 Publications)

Anti-VEGFA antibody [EP1176Y] - C-terminal (ab52917) is a rabbit monoclonal antibody detecting VEGFA in Flow Cytometry (Intra), Flow Cytometry, IHC-P, ICC/IF. Suitable for Human, Mouse.

- Biophysical QC for unrivalled batch-batch consistency
- Over 220 publications
- Trusted since 2007

View Alternative Names

VEGF, VEGFA, L-VEGF, Vascular permeability factor, VPF

5 Images
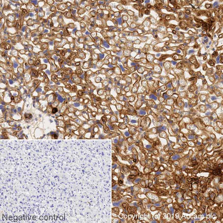
Immunohistochemistry (Formalin/PFA-fixed paraffin-embedded sections) - Anti-VEGFA antibody [EP1176Y] - C-terminal (AB52917)
  • IHC-P

Lab

Immunohistochemistry (Formalin/PFA-fixed paraffin-embedded sections) - Anti-VEGFA antibody [EP1176Y] - C-terminal (AB52917)

Immunohistochemical analysis of formalin fixed paraffin embedded human kidney labelling VEGFA with ab52917 at a concentration of 2µg/ml. The immunostaining was performed on a Ventana DISCOVERY ULTRA (Roche Tissue Diagnostics) instrument with a ChromoMap DAB IHC Detection Kit followed by anti rabbit HQ and anti HQ HRP detection. Heat mediated antigen retrieval was performed with DISCOVERY cell conditioning solution (CC1) 100°C, pH8.5 for 64mins.

ab52917 Anti-VEGFA antibody [EP1176Y] was incubated for 16mins at 37°C. Sections were counterstained with Hematoxylin II. Image inset shows absence of staining in secondary antibody only control.

Customers are encouraged to optimise antigen retrieval conditions, antibody concentration, incubation times and temperature for best results in their own IHC assay workflow (automated and manual).

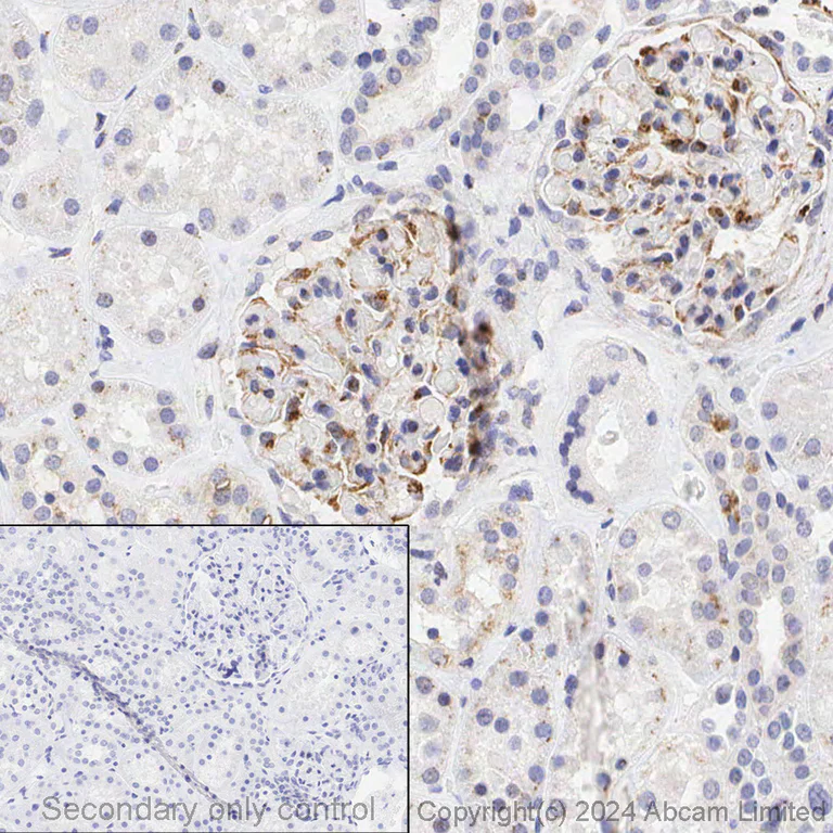
Immunohistochemistry (Formalin/PFA-fixed paraffin-embedded sections) - Anti-VEGFA antibody [EP1176Y] - C-terminal (AB52917)
  • IHC-P

Unknown

Immunohistochemistry (Formalin/PFA-fixed paraffin-embedded sections) - Anti-VEGFA antibody [EP1176Y] - C-terminal (AB52917)

Immunohistochemistry (Formalin/PFA-fixed paraffin-embedded sections) analysis of human kidney tissue sections labeling VEGFA with purified ab52917 at 1 : 100 dilution (2.96 μg/ml).

Heat mediated antigen retrieval was performed using citrate buffer, pH 6.0.

Negative control shown in inset.

Flow Cytometry (Intracellular) - Anti-VEGFA antibody [EP1176Y] - C-terminal (AB52917)
  • Flow Cyt (Intra)

Unknown

Flow Cytometry (Intracellular) - Anti-VEGFA antibody [EP1176Y] - C-terminal (AB52917)

Intracellular Flow Cytometry analysis of NIH/3T3 (Mouse embryonic fibroblast) cells labeling VEGFA with purified ab52917 at 1/30 dilution (10μg/ml) (red).

Cells were fixed with 4% paraformaldehyde. A Goat anti rabbit IgG (Alexa Fluorr® 488) secondary antibody was used at 1/2000 dilution. Isotype control - Rabbit monoclonal IgG (Black).

Unlabeled control - Cell without incubation with primary antibody and secondary antibody (Blue).

Immunocytochemistry/ Immunofluorescence - Anti-VEGFA antibody [EP1176Y] - C-terminal (AB52917)
  • ICC/IF

Unknown

Immunocytochemistry/ Immunofluorescence - Anti-VEGFA antibody [EP1176Y] - C-terminal (AB52917)

Purified ab52917 staining VEGF in NIH/3T3 (Mouse embryo fibroblast cell line) cells.

The cells were fixed with 4% formaldehyde (10 min), permeabilized with 0.1% Triton X-100 for 5 minutes and then blocked in 1% BSA/10% normal goat serum/0.3M glycine in 0.1%PBS-Tween for 1h. The cells were then incubated with purified ab52917 at 5 μg/ml and ab195884, at 1/250 dilution, overnight at +4°C, followed by a further incubation at room temperature for 1h with an Goat anti-Rabbit Alexa Fluor®488 secondary (ab150081) at 2 μg/ml (shown in green).

Nuclear DNA was labeled in blue with DAPI.

Immunohistochemistry (Formalin/PFA-fixed paraffin-embedded sections) - Anti-VEGFA antibody [EP1176Y] - C-terminal (AB52917)
  • IHC-P

AbReview38570****

Immunohistochemistry (Formalin/PFA-fixed paraffin-embedded sections) - Anti-VEGFA antibody [EP1176Y] - C-terminal (AB52917)

Unpurified ab52917 staining VEGF in mouse kidney tissue sections by Immunohistochemistry (IHC-P - paraformaldehyde-fixed, paraffin-embedded sections).

Tissue was fixed with paraformaldehyde, permeabilized with 0.3% Triton X-100 and blocked with 5% serum for 45 minutes at 25°C. Samples were incubated with primary antibody (1/400 in 4% BSA + 5% serum in PBST) for 14 hours at 4°C. An Alexa Fluor® 546-conjugated Donkey anti-rabbit IgG polyclonal (1/300) was used as the secondary antibody.

This image is courtesy of an anonymous Abreview.

  • 578 PE

    PE Anti-VEGFA antibody [EP1176Y]

  • Biotin

    Biotin Anti-VEGFA antibody [EP1176Y]

  • 617 Alexa Fluor® 594

    Alexa Fluor® 594 Anti-VEGFA antibody [EP1176Y]

  • 665 Alexa Fluor® 647

    Alexa Fluor® 647 Anti-VEGFA antibody [EP1176Y]

  • Carrier free

    Anti-VEGFA antibody [EP1176Y] - BSA and Azide free

  • 519 Alexa Fluor® 488

    Alexa Fluor® 488 Anti-VEGFA antibody [EP1176Y]

Key facts

Host species

Rabbit

Clonality

Monoclonal

Clone number

EP1176Y

Isotype

IgG

Carrier free

No

Reacts with

Mouse, Human

Applications

ICC/IF, Flow Cyt (Intra), IHC-P

applications

Immunogen

The exact immunogen used to generate this antibody is proprietary information.

Specificity

We do not guarantee IHC-P for mouse.
This antibody fails to detect endogenous natural samples in WB. We recommend to use ab214424 for WB.

Reactivity data

{ "title": "Reactivity Data", "filters": { "stats": ["", "Species", "Dilution Info", "Notes"], "tabs": { "all-applications": {"fullname" : "All Applications", "shortname": "All Applications"}, "ICCIF" : {"fullname" : "Immunocytochemistry/ Immunofluorescence", "shortname":"ICC/IF"}, "FlowCytIntra" : {"fullname" : "Flow Cytometry (Intracellular)", "shortname":"Flow Cyt (Intra)"}, "IHCP" : {"fullname" : "Immunohistochemistry (Formalin/PFA-fixed paraffin-embedded sections)", "shortname":"IHC-P"}, "WB" : {"fullname" : "Western blot", "shortname":"WB"} }, "product-promise": { "all": "all", "testedAndGuaranteed": "tested", "guaranteed": "expected", "predicted": "predicted", "notRecommended": "not-recommended" } }, "values": { "Human": { "ICCIF-species-checked": "guaranteed", "ICCIF-species-dilution-info": "", "ICCIF-species-notes": "", "FlowCytIntra-species-checked": "guaranteed", "FlowCytIntra-species-dilution-info": "", "FlowCytIntra-species-notes": "", "IHCP-species-checked": "testedAndGuaranteed", "IHCP-species-dilution-info": "1/100", "IHCP-species-notes": "<p>We do not guarantee IHC-P for mouse.</p> Perform heat-mediated antigen retrieval with citrate buffer pH 6 before commencing with IHC staining protocol.", "WB-species-checked": "notRecommended", "WB-species-dilution-info": "", "WB-species-notes": "<p></p>" }, "Mouse": { "ICCIF-species-checked": "testedAndGuaranteed", "ICCIF-species-dilution-info": "1/250 - 1/500", "ICCIF-species-notes": "<p></p>", "FlowCytIntra-species-checked": "testedAndGuaranteed", "FlowCytIntra-species-dilution-info": "1/30", "FlowCytIntra-species-notes": "<p><a href='/en-us/products/primary-antibodies/rabbit-igg-monoclonal-epr25a-isotype-control-ab172730'>ab172730</a> - Rabbit monoclonal IgG, is suitable for use as an isotype control with this antibody. For unpurified use at 1/100 - 1/1000 dilution.</p>", "IHCP-species-checked": "notRecommended", "IHCP-species-dilution-info": "1/100", "IHCP-species-notes": "<p>We do not guarantee IHC-P for mouse.</p> Perform heat-mediated antigen retrieval with citrate buffer pH 6 before commencing with IHC staining protocol.", "WB-species-checked": "notRecommended", "WB-species-dilution-info": "", "WB-species-notes": "<p></p>" }, "Rat": { "ICCIF-species-checked": "notRecommended", "ICCIF-species-dilution-info": "", "ICCIF-species-notes": "", "FlowCytIntra-species-checked": "notRecommended", "FlowCytIntra-species-dilution-info": "", "FlowCytIntra-species-notes": "", "IHCP-species-checked": "notRecommended", "IHCP-species-dilution-info": "", "IHCP-species-notes": "", "WB-species-checked": "notRecommended", "WB-species-dilution-info": "", "WB-species-notes": "<p></p>" } } }

Product details

Abcam recommended secondaries - Goat Anti-Rabbit HRP (ab205718) and Goat Anti-Rabbit Alexa Fluor® 488 (ab150077). Or search our wide range of secondary antibodies for use with your experiment.

Product Specifications
Anti-VEGFA antibody [EP1176Y] - C-terminal (ab52917) was developed by Abcam using patented rabbit monoclonal antibody technology and is validated for use in Flow Cyt (Intra), ICC/IF, IHC-P in human, mouse samples.
Anti-VEGFA antibody [EP1176Y] - C-terminal (ab52917) specifically detects VEGFA (UniProt ID: P15692; Molecular weight: 44kDa) and is sold in a convenient trial size to enable initial testing (20 µL) and larger sizes for subsequent scaling up experiments (100 µL and 1 mL).

Quality and Validation
Abcam's high quality manufacturing and validation processes ensure Anti-VEGFA antibody [EP1176Y] - C-terminal (ab52917) has high sensitivity and specificity alongside high lot-to-lot consistency and reproducibility.
Anti-VEGFA antibody [EP1176Y] - C-terminal (ab52917) has been cited over 221 times in peer reviewed journals and is trusted by the scientific community.
Anti-VEGFA antibody [EP1176Y] - C-terminal (ab52917) has 9 independent reviews from customers.

Related Products
Conjugation-ready, carrier free format available for antibody clone EP1176Y - ab212816.
Antibody clone EP1176Y is also available pre-conjugated to a variety of labels for your convenience - Biotin, Alexa Fluor® 488, Alexa Fluor® 647, Alexa Fluor® 594, PE (ab195902, ab206886, ab206887, ab206888, ab209439).

Patented technology
Our RabMAb® technology is a patented hybridoma-based technology for making rabbit monoclonal antibodies. For details on our patents, please refer to RabMAb® patents.

What are the advantages of a recombinant monoclonal antibody?
This product is a recombinant monoclonal antibody, which offers several advantages including:

  • - High batch-to-batch consistency and reproducibility
  • - Improved sensitivity and specificity
  • - Long-term security of supply
  • - Animal-free batch production

For more information, read more on recombinant antibodies.

Properties and storage information

Form
Liquid
Purification technique
Affinity purification Protein A
Storage buffer
pH: 7.2 - 7.4 Preservative: 0.01% Sodium azide Constituents: PBS, 40% Glycerol (glycerin, glycerine), 0.05% BSA
Shipped at conditions
Blue Ice
Appropriate short-term storage duration
1-2 weeks
Appropriate short-term storage conditions
+4°C
Appropriate long-term storage conditions
-20°C
Aliquoting information
Upon delivery aliquot
Storage information
Avoid freeze / thaw cycle

Supplementary information

This supplementary information is collated from multiple sources and compiled automatically.

Vascular endothelial growth factor A (VEGFA) also known as VEGF or vascular permeability factor (VPF) is a protein that plays a central role in angiogenesis as well as in the growth of blood vessels. The molecular weight of VEGFA varies depending on the isoform typically ranging from 34 to 42 kDa. VEGFA is expressed in many tissues including fibroblasts macrophages endothelial cells and platelets. Its expression levels can increase in response to stimuli like hypoxia or inflammatory cytokines. VEGFA is an important target in research for therapies related to vascular diseases and cancer.
Biological function summary

VEGFA functions by promoting the proliferation and migration of vascular endothelial cells. It operates both as a homodimer and as part of complex signaling cascades interacting with VEGF receptors on cell surfaces to trigger downstream signals for angiogenesis. This includes endothelial cell growth migration and the new blood vessel formation process. VEGFA's activity is important for physiological processes such as wound healing and embryonic development and it also contributes to pathological conditions through its unregulated expression in diseases.

Pathways

Many processes involve VEGFA including the PI3K/AKT pathway and the MAPK/ERK pathway. These pathways regulate cell survival growth and differentiation. Other proteins like PLGF (placenta growth factor) and VEGFB often accompany VEGFA in these pathways aiding in distinct but overlapping roles. These interactions are transmitted through binding to VEGF receptors such as VEGFR-1 and VEGFR-2 subsequently activating various signaling cascades necessary for cellular and tissue homeostasis.

VEGFA relates to cancer and age-related macular degeneration among others. In cancer overexpression of VEGFA can lead to excessive angiogenesis supplying blood to tumors and facilitating tumor growth. In age-related macular degeneration upregulation of VEGFA contributes to the progression of the disease by promoting the formation of abnormal blood vessels under the retina. Anti-VEGFA therapies such as anti-VEGF antibodies (e.g. bevacizumab) can target these overexpressed pathways. VEGFA interacts with other proteins like HIF-1α which regulates its expression under hypoxia a common condition in tumors.

Product protocols

For this product, it's our understanding that no specific protocols are required. You can visit:

Target data

N-VEGF. Participates in the induction of key genes involved in the response to hypoxia and in the induction of angiogenesis such as HIF1A (PubMed : 35455969). Involved in protecting cells from hypoxia-mediated cell death (By similarity).. VEGFA. Growth factor active in angiogenesis, vasculogenesis and endothelial cell growth (PubMed : 34530889). Induces endothelial cell proliferation, promotes cell migration, inhibits apoptosis and induces permeabilization of blood vessels. Binds to the FLT1/VEGFR1 and KDR/VEGFR2 receptors, heparan sulfate and heparin. Binds to the NRP1/neuropilin-1 receptor. Binding to NRP1 initiates a signaling pathway needed for motor neuron axon guidance and cell body migration, including for the caudal migration of facial motor neurons from rhombomere 4 to rhombomere 6 during embryonic development (By similarity). Also binds the DEAR/FBXW7-AS1 receptor (PubMed : 17446437).. Isoform VEGF165B. Binds to the KDR receptor but does not activate downstream signaling pathways, does not activate angiogenesis and inhibits tumor growth.
See full target information VEGFA

Publications (299)

Recent publications for all applications. Explore the full list and refine your search

Journal of translational medicine 23:1056 PubMed41053808

2025

A novel anti-PD-L1/IL-8 bispecific antibody BP2402 enhances antitumor immunity and modulates inflammatory signaling in triple-negative breast cancer mice model.

Applications

Unspecified application

Species

Unspecified reactive species

Liying Song,Sumin Tang,Xuelei Pi,Yuanyuan Yan,Chenxi Hu,Liang Liu,Hongna Chen,Yating Zhang,Shishi Liu,Dan Yu,Chengkai Yin,Tianyan Liu,Xu Li,Deshan Li,Zhenzhong Wang,Wei Zhu,Kaiyuan Hui,Zhihang Liu,Xiaodong Jiang

Signal transduction and targeted therapy 10:287 PubMed40908300

2025

Targeting TRPV6/CXCR4 complexes prevents castration-resistant prostate cancer metastasis to the bone.

Applications

Unspecified application

Species

Unspecified reactive species

Clément Cordier,Aurélien Haustrate,Adriana Mihalache,Erika Duval,Emilie Desruelles,Corentin Spriet,Baptiste Casel,Lotfi Slimani,Benjamin Soret,Laurent Allart,George Shapovalov,Pierre Gosset,Natalia Prevarskaya,V'yacheslav Lehen'kyi

Neoplasia (New York, N.Y.) 68:101219 PubMed40840329

2025

Prkci activates Jak2/Stat3 signaling to promote tumor angiogenesis: Short Name: Prkci in tumor angiogenesis.

Applications

Unspecified application

Species

Unspecified reactive species

Peng Li,Guangshi Liu,Wenbin Zhang,Tao Li,Xinhui Yang

Cells 14: PubMed40710334

2025

Modeling Aberrant Angiogenesis in Arteriovenous Malformations Using Endothelial Cells and Organoids for Pharmacological Treatment.

Applications

Unspecified application

Species

Unspecified reactive species

Eun Jung Oh,Hyun Mi Kim,Suin Kwak,Ho Yun Chung

Drug design, development and therapy 19:6183-6205 PubMed40698062

2025

Mechanistic Insights into Shenzhuo Formula for Diabetic Retinopathy: Integrating UPLC-Q-TOF-MS/MS, Network Pharmacology, Single-Cell RNA Sequencing Data, and Experimental Validation.

Applications

Unspecified application

Species

Unspecified reactive species

Xiaoyu Zang,Lili Zhang,Jing Ma,Anzhu Wang,Lu Ding,Yayun Wang,Jun Sun,Jing Li,Xing Hang,Xiangyan Li,Linhua Zhao

American journal of translational research 17:4387-4398 PubMed40672635

2025

LncRNA SNHG5 promotes the invasion and proliferation of oropharyngeal squamous cell carcinoma by regulating the miR-21/PTEN signaling pathway.

Applications

Unspecified application

Species

Unspecified reactive species

Lili Zhong,Chenxi Liu,Zhanglong Huang,Shiwei Ding,Xiaofei Li,Dan He

Nature communications 16:5392 PubMed40562785

2025

Obesity drives depot-specific vascular remodeling in male white adipose tissue.

Applications

Unspecified application

Species

Unspecified reactive species

Sana S Hasan,David John,Martina Rudnicki,Ibrahim AlZaim,Daniel Eberhard,Iris Moll,Jacqueline Taylor,Christian Klein,Maximilian von Heesen,Lena-Christin Conradi,Ralf H Adams,Eckhard Lammert,Joanna Kalucka,Christiana Ruhrberg,Stefanie Dimmeler,Andreas Fischer

Journal of scleroderma and related disorders :23971983251344040 PubMed40476199

2025

Examining the relationship between vascular biomarkers and both microangiopathy and cutaneous fibrosis in systemic sclerosis.

Applications

Unspecified application

Species

Unspecified reactive species

Victoria Anne Flower,Shaney Louise Barratt,Darren John Hart,Jacqueline Anne Shipley,John David Pauling

Cell communication and signaling : CCS 23:108 PubMed40001144

2025

CXXC5 function blockade promotes diabetic wound healing through stimulating fibroblast and vascular endothelial cell activation.

Applications

Unspecified application

Species

Unspecified reactive species

Yutong Chen,Xiaofeng Ding,Zhouji Ma,Shuai Shao,Heyan Huang,Yumeng Huang,Beizhi Wang,Hao Zhang,Qian Tan

ACS biomaterials science & engineering 11:2226-2235 PubMed39970159

2025

Incorporation of Adeno-Associated Virus Encoding Vascular Endothelial Growth Factor into a Biodegradable Elastomeric Scaffold for Improved Function in the Ischemic Rat Heart.

Applications

Unspecified application

Species

Unspecified reactive species

Yasumoto Matsumura,Taro Fujii,Xinzhu Gu,Hong Bin Jiang,Noriyuki Kashiyama,Yasunari Hayashi,Marianna Barbuto,Ying Tang,Bing Wang,Masato Mutsuga,Akihiko Usui,William R Wagner
View all publications

Product promise

We are committed to supporting your work with high-quality reagents, and we're here for you every step of the way. In the unlikely event that one of our products does not perform as expected, you're protected by our Product Promise.
For full details, please see our Terms & Conditions

Please note: All products are 'FOR RESEARCH USE ONLY. NOT FOR USE IN DIAGNOSTIC OR THERAPEUTIC PROCEDURES'.

For licensing inquiries, please contact partnerships@abcam.com