JavaScript is disabled in your browser. Please enable JavaScript to view this website.
AB137368

Anti-VEGFD antibody

Be the first to review this product! Submit a review

|

(1 Publication)

Rabbit Polyclonal VEGFD antibody. Suitable for IHC-P, WB and reacts with Human samples. Cited in 1 publication. Immunogen corresponding to Recombinant Fragment Protein within Human VEGFD aa 150 to C-terminus.

View Alternative Names

FIGF, VEGFD, Vascular endothelial growth factor D, VEGF-D, c-Fos-induced growth factor

2 Images
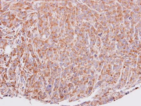
Immunohistochemistry (Formalin/PFA-fixed paraffin-embedded sections) - Anti-VEGFD antibody (AB137368)
  • IHC-P

Unknown

Immunohistochemistry (Formalin/PFA-fixed paraffin-embedded sections) - Anti-VEGFD antibody (AB137368)

Immunohistochemical analysis of paraffin-embedded Human SAS xenograft tissue labeling VEGFD, using ab137368 at a 1/100 dilution.

Western blot - Anti-VEGFD antibody (AB137368)
  • WB

Unknown

Western blot - Anti-VEGFD antibody (AB137368)

10% SDS PAGE

All lanes:

Western blot - Anti-VEGFD antibody (ab137368) at 1/1000 dilution

Lane 1:

293T whole cell lysate at 30 µg

Lane 2:

Raji whole cell lysate at 30 µg

Predicted band size: 40 kDa

false

Key facts

Host species

Rabbit

Clonality

Polyclonal

Isotype

IgG

Carrier free

No

Reacts with

Human

Applications

WB, IHC-P

applications

Immunogen

Recombinant Fragment Protein within Human VEGFD aa 150 to C-terminus. The exact immunogen used to generate this antibody is proprietary information.

O43915

Reactivity data

{ "title": "Reactivity Data", "filters": { "stats": ["", "Species", "Dilution Info", "Notes"], "tabs": { "all-applications": {"fullname" : "All Applications", "shortname": "All Applications"}, "IHCP" : {"fullname" : "Immunohistochemistry (Formalin/PFA-fixed paraffin-embedded sections)", "shortname":"IHC-P"}, "WB" : {"fullname" : "Western blot", "shortname":"WB"} }, "product-promise": { "all": "all", "testedAndGuaranteed": "tested", "guaranteed": "expected", "predicted": "predicted", "notRecommended": "not-recommended" } }, "values": { "Human": { "IHCP-species-checked": "testedAndGuaranteed", "IHCP-species-dilution-info": "1/100 - 1/1000", "IHCP-species-notes": "<p>Antigen retrieval using heat mediated Tris-EDTA buffer (pH8.0) is also possible.</p>", "WB-species-checked": "testedAndGuaranteed", "WB-species-dilution-info": "1/500 - 1/3000", "WB-species-notes": "<p></p>" } } }

Properties and storage information

Form
Liquid
Purification technique
Affinity purification Immunogen
Storage buffer
pH: 7 Preservative: 0.01% Thimerosal (merthiolate) Constituents: 10% Glycerol (glycerin, glycerine), 1.21% Tris, 0.75% Glycine
Shipped at conditions
Blue Ice
Appropriate short-term storage conditions
+4°C
Appropriate long-term storage conditions
-20°C
Aliquoting information
Upon delivery aliquot
Storage information
Avoid freeze / thaw cycle

Supplementary information

This supplementary information is collated from multiple sources and compiled automatically.

VEGFD also known as vascular endothelial growth factor D plays a role in angiogenesis and lymphangiogenesis by interacting with VEGF receptors. This protein has a molecular mass of approximately 32 kDa. It is typically expressed in the lungs heart skeletal muscle and small intestine. VEGFD undergoes several proteolytic processes to gain full activity highlighting its functional complexity in the body.
Biological function summary

Vascular endothelial growth factor D promotes the proliferation and migration of endothelial cells facilitating vascular formation and remodeling. It forms part of the VEGF protein family which is known for its involvement in various vascular processes. The protein's action is largely mediated through its binding to VEGFR-2 and VEGFR-3. This binding activates downstream signaling pathways that contribute to the growth and maintenance of blood and lymphatic vessels.

Pathways

The functioning of VEGFD is important in the vascular endothelial growth factor signaling pathway and the PI3K-Akt signaling pathway. These pathways are essential for the regulation of cellular processes such as survival growth and motility of endothelial cells. VEGFD is closely related to other members of the VEGF family including VEGFA and VEGFC which similarly interact with VEGF receptors to regulate vascular development and function.

Abnormal levels or activity of VEGFD can lead to pathological conditions such as cancer and lymphedema. In several cancers VEGFD is implicated in tumor angiogenesis aiding the tumor in acquiring nutrients and oxygen. Furthermore in lymphedema issues related to lymphatic vessel development can involve VEGFD alongside VEGFC contributing to fluid retention and tissue swelling. These associations highlight the importance of understanding VEGFD's functions in various pathological contexts.

Product protocols

For this product, it's our understanding that no specific protocols are required. You can visit:

Target data

Growth factor active in angiogenesis, lymphangiogenesis and endothelial cell growth, stimulating their proliferation and migration and also has effects on the permeability of blood vessels. May function in the formation of the venous and lymphatic vascular systems during embryogenesis, and also in the maintenance of differentiated lymphatic endothelium in adults. Binds and activates VEGFR-2 (KDR/FLK1) and VEGFR-3 (FLT4) receptors.
See full target information VEGFD

Publications (1)

Recent publications for all applications. Explore the full list and refine your search

The Journal of neuroscience : the official journal 37:3848-3863 PubMed28283560

2017

HDAC7 Ubiquitination by the E3 Ligase CBX4 Is Involved in Contextual Fear Conditioning Memory Formation.

Applications

Unspecified application

Species

Unspecified reactive species

Xu Jing,Wen-Hai Sui,Shuai Wang,Xu-Feng Xu,Rong-Rong Yuan,Xiao-Rong Chen,Hui-Xian Ma,Ying-Xiao Zhu,Jin-Kai Sun,Fan Yi,Zhe-Yu Chen,Yue Wang
View all publications

Product promise

We are committed to supporting your work with high-quality reagents, and we're here for you every step of the way. In the unlikely event that one of our products does not perform as expected, you're protected by our Product Promise.
For full details, please see our Terms & Conditions

Please note: All products are 'FOR RESEARCH USE ONLY. NOT FOR USE IN DIAGNOSTIC OR THERAPEUTIC PROCEDURES'.

For licensing inquiries, please contact partnerships@abcam.com