JavaScript is disabled in your browser. Please enable JavaScript to view this website.
AB232447

Anti-VEGFD antibody [EPR8457] - BSA and Azide free

Be the first to review this product! Submit a review

|

(1 Publication)

Rabbit Recombinant Monoclonal VEGFD antibody. Carrier free. Suitable for WB, ICC/IF, Flow Cyt (Intra), IHC-P and reacts with Mouse, Rat, Human samples. Cited in 1 publication.

View Alternative Names

FIGF, VEGFD, Vascular endothelial growth factor D, VEGF-D, c-Fos-induced growth factor

7 Images
Immunohistochemistry (Formalin/PFA-fixed paraffin-embedded sections) - Anti-VEGFD antibody [EPR8457] - BSA and Azide free (AB232447)
  • IHC-P

Unknown

Immunohistochemistry (Formalin/PFA-fixed paraffin-embedded sections) - Anti-VEGFD antibody [EPR8457] - BSA and Azide free (AB232447)

Immunohistochemical analysis of paraffin embedded Human lung tissue labeling VEGFD with ab155288 at a 1/100 dilution.This data was developed using the same antibody clone in a different buffer formulation containing PBS, BSA, glycerol, and sodium azide (ab155288).

Immunohistochemistry (Formalin/PFA-fixed paraffin-embedded sections) - Anti-VEGFD antibody [EPR8457] - BSA and Azide free (AB232447)
  • IHC-P

Unknown

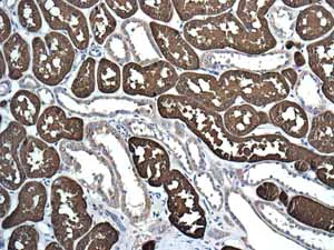
Immunohistochemistry (Formalin/PFA-fixed paraffin-embedded sections) - Anti-VEGFD antibody [EPR8457] - BSA and Azide free (AB232447)

Immunohistochemical analysis of paraffin embedded Human normal kidney tissue using ab155288 showing +ve staining.

This data was developed using the same antibody clone in a different buffer formulation containing PBS, BSA, glycerol, and sodium azide (ab155288).

Immunohistochemistry (Formalin/PFA-fixed paraffin-embedded sections) - Anti-VEGFD antibody [EPR8457] - BSA and Azide free (AB232447)
  • IHC-P

Unknown

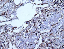
Immunohistochemistry (Formalin/PFA-fixed paraffin-embedded sections) - Anti-VEGFD antibody [EPR8457] - BSA and Azide free (AB232447)

Immunohistochemical analysis of paraffin embedded Human skeletal muscle tissue using ab155288showing +ve staining.

This data was developed using the same antibody clone in a different buffer formulation containing PBS, BSA, glycerol, and sodium azide (ab155288).

Immunocytochemistry/ Immunofluorescence - Anti-VEGFD antibody [EPR8457] - BSA and Azide free (AB232447)
  • ICC/IF

Lab

Immunocytochemistry/ Immunofluorescence - Anti-VEGFD antibody [EPR8457] - BSA and Azide free (AB232447)

ab155288 staining VEGFD in MCF-7 (human breast carcinoma) cells by ICC/IF (Immunocytochemistry/immunofluorescence). Cells were fixed with 4% Paraformaldehyde and permeabilized with 0.1% Triton X-100. Samples were incubated with primary antibody at a dilution of 1/200. A goat anti rabbit IgG (Alexa Fluor® 488) (ab150077) was used as the secondary antibody. ab7291 and ab150120 were used as counterstains for primary antibody ab155288 and secondary antibody ab150077 respectively and DAPI was used as a nuclear counterstain.

Negative control 1 : Rabbit primary antibody and anti-mouse secondary antibody (ab150120)
Negative control 2 : Mouse primary antibody (ab7291) and anti-rabbit secondary antibody (ab150077)

This data was developed using the same antibody clone in a different buffer formulation containing PBS, BSA, glycerol, and sodium azide (ab155288).

Immunohistochemistry (Formalin/PFA-fixed paraffin-embedded sections) - Anti-VEGFD antibody [EPR8457] - BSA and Azide free (AB232447)
  • IHC-P

Unknown

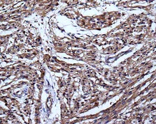
Immunohistochemistry (Formalin/PFA-fixed paraffin-embedded sections) - Anti-VEGFD antibody [EPR8457] - BSA and Azide free (AB232447)

Immunohistochemical analysis of paraffin embedded Human heart tissue labeling VEGFD with ab155288 at a 1/100 dilution.This data was developed using the same antibody clone in a different buffer formulation containing PBS, BSA, glycerol, and sodium azide (ab155288).

Immunohistochemistry (Formalin/PFA-fixed paraffin-embedded sections) - Anti-VEGFD antibody [EPR8457] - BSA and Azide free (AB232447)
  • IHC-P

Lab

Immunohistochemistry (Formalin/PFA-fixed paraffin-embedded sections) - Anti-VEGFD antibody [EPR8457] - BSA and Azide free (AB232447)

ab155288 staining VEGFD in human cardiac muscle tissue sections by Immunohistochemistry (IHC-P - paraformaldehyde-fixed, paraffin-embedded sections). Tissue was fixed with paraformaldehyde and antigen retrieval was by heat mediation in a EDTA buffer. Samples were incubated with primary antibody at a dilution of 1/700. A goat anti-rabbit IgG H&L (HRP) ab97051 was used as the secondary antibody at a dilution of 1/500.

Negative control : PBS in place of primary antibody.

This data was developed using the same antibody clone in a different buffer formulation containing PBS, BSA, glycerol, and sodium azide (ab155288).

Flow Cytometry (Intracellular) - Anti-VEGFD antibody [EPR8457] - BSA and Azide free (AB232447)
  • Flow Cyt (Intra)

Unknown

Flow Cytometry (Intracellular) - Anti-VEGFD antibody [EPR8457] - BSA and Azide free (AB232447)

ab155288 staining VEGFD in the mouse cell line NIH/3T3 (mouse embryo) by intracellular flow cytometry. Cells were fixed with 4% paraformaldehyde and the sample was incubated with the primary antibody at a dilution of 1/200. A goat anti rabbit IgG (Alexa Fluor® 488) at a dilution of 1/2000 was used as the secondary antibody.

Isoytype control : Rabbit monoclonal IgG (Black)

Unlabelled control : Cell without incubation with primary antibody and secondary antibody (Blue)

This data was developed using the same antibody clone in a different buffer formulation containing PBS, BSA, glycerol, and sodium azide (ab155288).

Key facts

Host species

Rabbit

Clonality

Monoclonal

Clone number

EPR8457

Isotype

IgG

Carrier free

Yes

Reacts with

Mouse, Rat, Human

Applications

Flow Cyt (Intra), IHC-P, ICC/IF, WB

applications

Immunogen

The exact immunogen used to generate this antibody is proprietary information.

Reactivity data

{ "title": "Reactivity Data", "filters": { "stats": ["", "Species", "Dilution Info", "Notes"], "tabs": { "all-applications": {"fullname" : "All Applications", "shortname": "All Applications"}, "WB" : {"fullname" : "Western blot", "shortname":"WB"}, "ICCIF" : {"fullname" : "Immunocytochemistry/ Immunofluorescence", "shortname":"ICC/IF"}, "FlowCytIntra" : {"fullname" : "Flow Cytometry (Intracellular)", "shortname":"Flow Cyt (Intra)"}, "IHCP" : {"fullname" : "Immunohistochemistry (Formalin/PFA-fixed paraffin-embedded sections)", "shortname":"IHC-P"} }, "product-promise": { "all": "all", "testedAndGuaranteed": "tested", "guaranteed": "expected", "predicted": "predicted", "notRecommended": "not-recommended" } }, "values": { "Human": { "WB-species-checked": "guaranteed", "WB-species-dilution-info": "", "WB-species-notes": "<p></p>", "ICCIF-species-checked": "testedAndGuaranteed", "ICCIF-species-dilution-info": "", "ICCIF-species-notes": "<p></p>", "FlowCytIntra-species-checked": "guaranteed", "FlowCytIntra-species-dilution-info": "", "FlowCytIntra-species-notes": "", "IHCP-species-checked": "testedAndGuaranteed", "IHCP-species-dilution-info": "", "IHCP-species-notes": "<p></p>" }, "Mouse": { "WB-species-checked": "guaranteed", "WB-species-dilution-info": "", "WB-species-notes": "<p></p>", "ICCIF-species-checked": "guaranteed", "ICCIF-species-dilution-info": "", "ICCIF-species-notes": "", "FlowCytIntra-species-checked": "testedAndGuaranteed", "FlowCytIntra-species-dilution-info": "", "FlowCytIntra-species-notes": "<p><a href='/en-us/products/primary-antibodies/rabbit-igg-monoclonal-epr25a-isotype-control-ab172730'>ab172730</a> - Rabbit monoclonal IgG, is suitable for use as an isotype control with this antibody.</p>", "IHCP-species-checked": "guaranteed", "IHCP-species-dilution-info": "", "IHCP-species-notes": "" }, "Rat": { "WB-species-checked": "guaranteed", "WB-species-dilution-info": "", "WB-species-notes": "<p></p>", "ICCIF-species-checked": "predicted", "ICCIF-species-dilution-info": "", "ICCIF-species-notes": "", "FlowCytIntra-species-checked": "predicted", "FlowCytIntra-species-dilution-info": "", "FlowCytIntra-species-notes": "", "IHCP-species-checked": "predicted", "IHCP-species-dilution-info": "", "IHCP-species-notes": "" } } }

Product details

ab232447 is the carrier-free version of ab155288.

Patented technology
Our RabMAb® technology is a patented hybridoma-based technology for making rabbit monoclonal antibodies. For details on our patents, please refer to RabMAb® patents.

What are the advantages of a recombinant monoclonal antibody?
This product is a recombinant monoclonal antibody, which offers several advantages including:

  • - High batch-to-batch consistency and reproducibility
  • - Improved sensitivity and specificity
  • - Long-term security of supply
  • - Animal-free batch production

For more information, read more on recombinant antibodies.

Conjugation ready
Our carrier-free antibodies are typically supplied in a PBS-only formulation, purified and free of BSA, sodium azide and glycerol. This conjugation-ready format is designed for use with fluorochromes, metal isotopes, oligonucleotides, and enzymes, which makes them ideal for antibody labelling, functional and cell-based assays, flow-based assays (e.g. mass cytometry) and Multiplex Imaging applications.

Use our conjugation kits for antibody conjugates that are ready-to-use in as little as 20 minutes with 1 minute hands-on-time and 100% antibody recovery: available for fluorescent dyes, HRP, biotin and gold.

Compatibility
This product is compatible with the Maxpar® Antibody Labeling Kit from Fluidigm, without the need for antibody preparation. Maxpar® is a trademark of Fluidigm Canada Inc.

Properties and storage information

Form
Liquid
Purification technique
Affinity purification Protein A
Storage buffer
pH: 7.2 - 7.4 Constituents: PBS
Shipped at conditions
Blue Ice
Appropriate short-term storage conditions
+4°C
Appropriate long-term storage conditions
+4°C
Storage information
Do Not Freeze

Supplementary information

This supplementary information is collated from multiple sources and compiled automatically.

VEGFD also known as vascular endothelial growth factor D plays a role in angiogenesis and lymphangiogenesis by interacting with VEGF receptors. This protein has a molecular mass of approximately 32 kDa. It is typically expressed in the lungs heart skeletal muscle and small intestine. VEGFD undergoes several proteolytic processes to gain full activity highlighting its functional complexity in the body.
Biological function summary

Vascular endothelial growth factor D promotes the proliferation and migration of endothelial cells facilitating vascular formation and remodeling. It forms part of the VEGF protein family which is known for its involvement in various vascular processes. The protein's action is largely mediated through its binding to VEGFR-2 and VEGFR-3. This binding activates downstream signaling pathways that contribute to the growth and maintenance of blood and lymphatic vessels.

Pathways

The functioning of VEGFD is important in the vascular endothelial growth factor signaling pathway and the PI3K-Akt signaling pathway. These pathways are essential for the regulation of cellular processes such as survival growth and motility of endothelial cells. VEGFD is closely related to other members of the VEGF family including VEGFA and VEGFC which similarly interact with VEGF receptors to regulate vascular development and function.

Abnormal levels or activity of VEGFD can lead to pathological conditions such as cancer and lymphedema. In several cancers VEGFD is implicated in tumor angiogenesis aiding the tumor in acquiring nutrients and oxygen. Furthermore in lymphedema issues related to lymphatic vessel development can involve VEGFD alongside VEGFC contributing to fluid retention and tissue swelling. These associations highlight the importance of understanding VEGFD's functions in various pathological contexts.

Product protocols

For this product, it's our understanding that no specific protocols are required. You can visit:

Target data

Growth factor active in angiogenesis, lymphangiogenesis and endothelial cell growth, stimulating their proliferation and migration and also has effects on the permeability of blood vessels. May function in the formation of the venous and lymphatic vascular systems during embryogenesis, and also in the maintenance of differentiated lymphatic endothelium in adults. Binds and activates VEGFR-2 (KDR/FLK1) and VEGFR-3 (FLT4) receptors.
See full target information VEGFD

Publications (1)

Recent publications for all applications. Explore the full list and refine your search

Journal of medicinal chemistry 67:19282-19303 PubMed39450890

2024

Discovery and Characterization of BAY-184: A New Potent and Selective Acylsulfonamide-Benzofuran -Active KAT6AB Inhibitor.

Applications

Unspecified application

Species

Unspecified reactive species

Antonius Ter Laak,Roman C Hillig,Steven J Ferrara,Daniel Korr,Naomi Barak,Philip Lienau,Simon Herbert,Amaury Ernesto Fernández-Montalván,Roland Neuhaus,Mátyás Gorjánácz,Vera Puetter,Volker Badock,Wilhelm Bone,Craig Strathdee,Franziska Siegel,Christoph Schatz,Katrin Nowak-Reppel,Olaf Doehr,Stefan Gradl,Ingo V Hartung,Matthew Meyerson,Léa Bouché
View all publications

Product promise

We are committed to supporting your work with high-quality reagents, and we're here for you every step of the way. In the unlikely event that one of our products does not perform as expected, you're protected by our Product Promise.
For full details, please see our Terms & Conditions

Please note: All products are 'FOR RESEARCH USE ONLY. NOT FOR USE IN DIAGNOSTIC OR THERAPEUTIC PROCEDURES'.

For licensing inquiries, please contact partnerships@abcam.com