JavaScript is disabled in your browser. Please enable JavaScript to view this website.
AB121875

Anti-VEPH1 antibody

Be the first to review this product! Submit a review

|

(3 Publications)

Rabbit Polyclonal VEPH1 antibody. Suitable for IHC-P, ICC and reacts with Human samples. Cited in 3 publications. Immunogen corresponding to Recombinant Fragment Protein within Human VEPH1 aa 1-150.

View Alternative Names

KIAA1692, VEPH, VEPH1, Ventricular zone-expressed PH domain-containing protein homolog 1, Protein melted

6 Images
Immunohistochemistry (Formalin/PFA-fixed paraffin-embedded sections) - Anti-VEPH1 antibody (AB121875)
  • IHC-P

Supplier Data

Immunohistochemistry (Formalin/PFA-fixed paraffin-embedded sections) - Anti-VEPH1 antibody (AB121875)

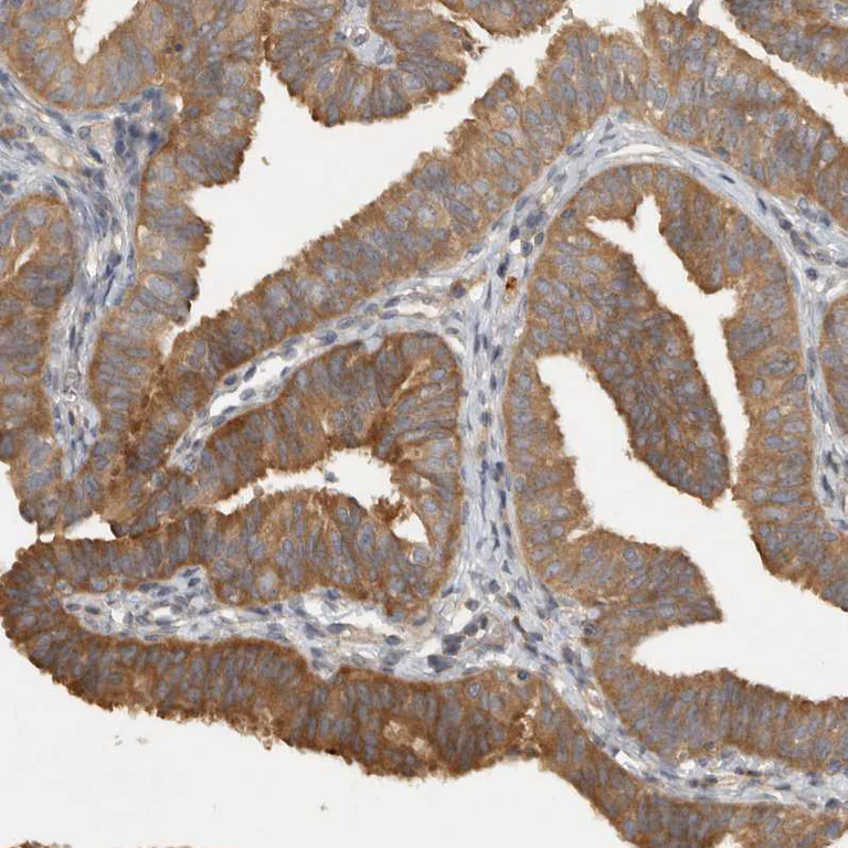
Immunohistochemistry (Formalin/PFA-fixed paraffin-embedded sections) analysis of human endometrium tissue labelling VEPH1 with ab121875 at 1/20 dilution. Membranous staining observed in tubule cells.

Immunohistochemistry (Formalin/PFA-fixed paraffin-embedded sections) - Anti-VEPH1 antibody (AB121875)
  • IHC-P

Supplier Data

Immunohistochemistry (Formalin/PFA-fixed paraffin-embedded sections) - Anti-VEPH1 antibody (AB121875)

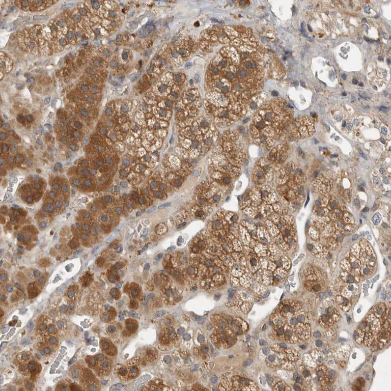
Immunohistochemistry (Formalin/PFA-fixed paraffin-embedded sections) analysis of human adrenal gland tissue labelling VEPH1 with ab121875 at 1/20 dilution. Membranous and cytoplasmic staining observed in glandular cells.

Immunohistochemistry (Formalin/PFA-fixed paraffin-embedded sections) - Anti-VEPH1 antibody (AB121875)
  • IHC-P

Supplier Data

Immunohistochemistry (Formalin/PFA-fixed paraffin-embedded sections) - Anti-VEPH1 antibody (AB121875)

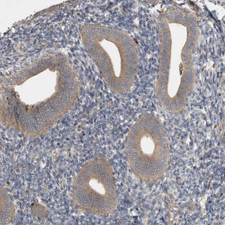
Immunohistochemistry (Formalin/PFA-fixed paraffin-embedded sections) analysis of human fallopian tube tissue labelling VEPH1 with ab121875 at 1/20 dilution. Membranous staining observed in glandular cells.

Immunohistochemistry (Formalin/PFA-fixed paraffin-embedded sections) - Anti-VEPH1 antibody (AB121875)
  • IHC-P

Supplier Data

Immunohistochemistry (Formalin/PFA-fixed paraffin-embedded sections) - Anti-VEPH1 antibody (AB121875)

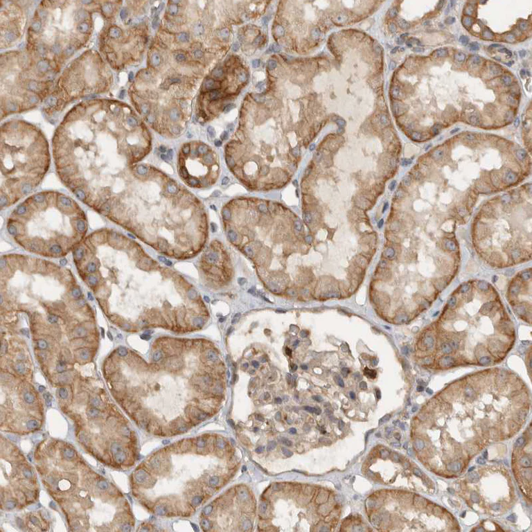
Immunohistochemistry (Formalin/PFA-fixed paraffin-embedded sections) analysis of human kidney tissue labelling VEPH1 with ab121875 at 1/20 dilution. Membranous staining observed in tubule cells.

Immunohistochemistry (Formalin/PFA-fixed paraffin-embedded sections) - Anti-VEPH1 antibody (AB121875)
  • IHC-P

Supplier Data

Immunohistochemistry (Formalin/PFA-fixed paraffin-embedded sections) - Anti-VEPH1 antibody (AB121875)

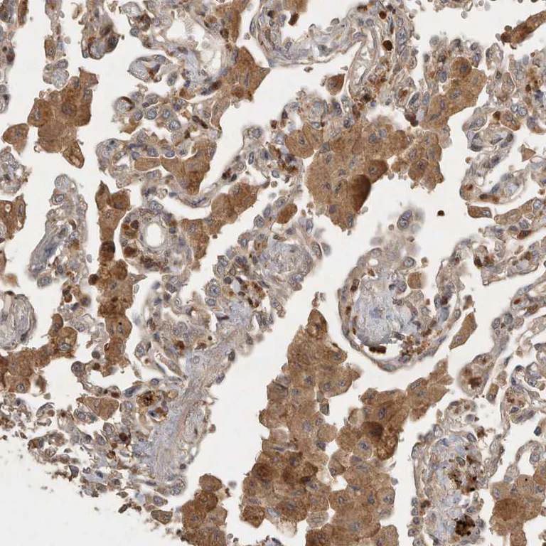
Immunohistochemistry (Formalin/PFA-fixed paraffin-embedded sections) analysis of human lung tissue labelling VEPH1 with ab121875 at 1/20 dilution. Cytoplasmic staining observed in macrophages and alveolar cells.

Immunocytochemistry - Anti-VEPH1 antibody (AB121875)
  • ICC

Unknown

Immunocytochemistry - Anti-VEPH1 antibody (AB121875)

Immunohistochemistry (Formalin/PFA-fixed paraffin-embedded sections) analysis of human cell line A-431 labelling VEPH1 with ab121875 at 2 μg/mL or dilution

Key facts

Host species

Rabbit

Clonality

Polyclonal

Isotype

IgG

Carrier free

No

Reacts with

Human

Applications

IHC-P, ICC

applications

Immunogen

Recombinant Fragment Protein within Human VEPH1 aa 1-150. The exact immunogen used to generate this antibody is proprietary information.

Q14D04

Reactivity data

{ "title": "Reactivity Data", "filters": { "stats": ["", "Species", "Dilution Info", "Notes"], "tabs": { "all-applications": {"fullname" : "All Applications", "shortname": "All Applications"}, "IHCP" : {"fullname" : "Immunohistochemistry (Formalin/PFA-fixed paraffin-embedded sections)", "shortname":"IHC-P"}, "ICC" : {"fullname" : "Immunocytochemistry", "shortname":"ICC"} }, "product-promise": { "all": "all", "testedAndGuaranteed": "tested", "guaranteed": "expected", "predicted": "predicted", "notRecommended": "not-recommended" } }, "values": { "Human": { "IHCP-species-checked": "testedAndGuaranteed", "IHCP-species-dilution-info": "1/20 - 1/50", "IHCP-species-notes": "<p></p> Perform heat-mediated antigen retrieval with citrate buffer pH 6 before commencing with IHC staining protocol.", "ICC-species-checked": "testedAndGuaranteed", "ICC-species-dilution-info": "0.25-2 µg/mL", "ICC-species-notes": "<p></p>" } } }

Properties and storage information

Form
Liquid
Purification technique
Affinity purification Immunogen
Storage buffer
pH: 7.2 Preservative: 0.02% Sodium azide Constituents: PBS, 40% Glycerol (glycerin, glycerine)
Shipped at conditions
Blue Ice
Appropriate short-term storage conditions
+4°C
Appropriate long-term storage conditions
-20°C
Aliquoting information
Upon delivery aliquot
Storage information
Avoid freeze / thaw cycle

Supplementary information

This supplementary information is collated from multiple sources and compiled automatically.

VEPH1 also known by the alternate name VPS37-like is a protein with an approximate molecular mass of 55 kDa. It functions mechanically as a regulator of signal transduction processes and also serves a role in the endosomal sorting complex required for transport (ESCRT) pathway. Predominantly localized in the cytoplasm VEPH1 shows expression in a variety of tissues with notable levels found in brain and testis. This distribution suggests that it could be involved in a wide range of cellular processes related to these tissues.
Biological function summary

VEPH1 acts as a modulator of cellular signaling processes influencing cell growth and differentiation. It is not part of a known protein complex but interacts with important signaling molecules in the cell. VEPH1 plays a role in maintaining cellular homeostasis and is thought to participate in pathways regulating cell cycle and apoptosis. These functions highlight its potential importance in cell development and repair mechanisms.

Pathways

Research reveals VEPH1 is involved in the MAPK/ERK and PI3K/AKT signaling pathways which are critical for cell survival and proliferation. It interacts with proteins such as MEK and AKT which are central to these pathways. By influencing these proteins VEPH1 helps mediate various downstream effects on cellular function including responses to growth factors and stress signals.

The dysregulation of VEPH1 has been implicated in cancer and neurodegenerative diseases. Alterations in VEPH1 levels have shown association with certain types of cancer such as glioblastoma potentially due to its involvement in cell growth pathways. Similarly its connections with other proteins such as those in the PI3K/AKT pathway indicate a possible role in neurodegenerative disorders where cell survival signals are disrupted. Understanding these relationships may pave the way for therapeutic interventions targeting VEPH1-related pathways.

Product protocols

For this product, it's our understanding that no specific protocols are required. You can visit:

Target data

Interacts with TGF-beta receptor type-1 (TGFBR1) and inhibits dissociation of activated SMAD2 from TGFBR1, impeding its nuclear accumulation and resulting in impaired TGF-beta signaling. May also affect FOXO, Hippo and Wnt signaling.
See full target information VEPH1

Publications (3)

Recent publications for all applications. Explore the full list and refine your search

Bioengineered 12:12568-12582 PubMed34903122

2021

MicroRNA miR-23b-3p promotes osteosarcoma by targeting ventricular zone expressed PH domain-containing 1 (VEPH1)/phosphatidylinositol 3-kinase/protein kinase B (PI3K/AKT) pathway.

Applications

Unspecified application

Species

Unspecified reactive species

Liang Fan,Xing Cao,Yanrong Lei

Nucleic acids research 48:7844-7855 PubMed32652013

2020

A kinase-independent function for AURORA-A in replisome assembly during DNA replication initiation.

Applications

Unspecified application

Species

Unspecified reactive species

Estrella Guarino Almeida,Xavier Renaudin,Ashok R Venkitaraman

Cell cycle (Georgetown, Tex.) 18:2860-2875 PubMed31599708

2019

Overexpressed VEPH1 inhibits epithelial-mesenchymal transition, invasion, and migration of human cutaneous melanoma cells through inactivating the TGF-β signaling pathway.

Applications

Unspecified application

Species

Unspecified reactive species

Hao Feng,Xiao-Min Jia,Ni-Na Gao,Hua Tang,Wei Huang,Ning Ning
View all publications

Product promise

We are committed to supporting your work with high-quality reagents, and we're here for you every step of the way. In the unlikely event that one of our products does not perform as expected, you're protected by our Product Promise.
For full details, please see our Terms & Conditions

Please note: All products are 'FOR RESEARCH USE ONLY. NOT FOR USE IN DIAGNOSTIC OR THERAPEUTIC PROCEDURES'.

For licensing inquiries, please contact partnerships@abcam.com