JavaScript is disabled in your browser. Please enable JavaScript to view this website.
AB308287

Anti-VGF antibody [EPR27029-73]

  • BOND RX™ Validated
  • 20ul selling size
  • RabMAb
  • Recombinant
  • Advanced Validation
  • What is this?

Be the first to review this product! Submit a review

|

(1 Publication)

Rabbit Recombinant Monoclonal VGF antibody. Suitable for WB, mIHC, IHC-P and reacts with Human, Mouse, Rat samples. Cited in 1 publication.

View Alternative Names

Neurosecretory protein VGF, VGF

12 Images
Immunohistochemistry (Formalin/PFA-fixed paraffin-embedded sections) - Anti-VGF antibody [EPR27029-73] (AB308287)
  • IHC-P

Supplier Data

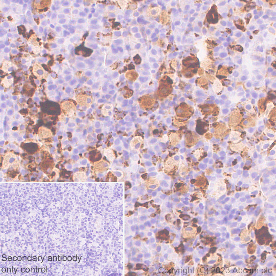
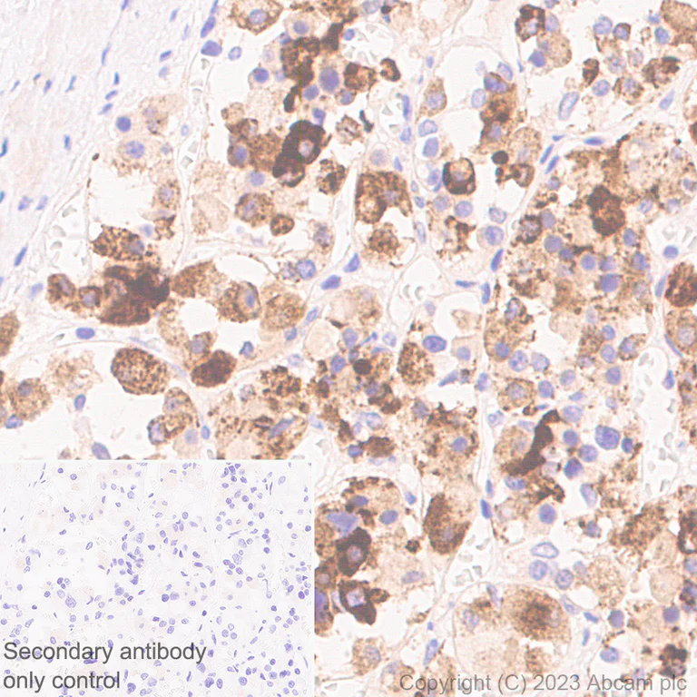
Immunohistochemistry (Formalin/PFA-fixed paraffin-embedded sections) - Anti-VGF antibody [EPR27029-73] (AB308287)

Immunohistochemical analysis of paraffin-embedded Human adrenal gland tissue labelling VGF with ab308287 at 1/500 (1.033 ug/ml) followed by a ready to use LeicaDS9800 (Bond™ Polymer Refine Detection). Positive staining on human adrenal medulla. The section was incubated with ab308287 for 30 mins at room temperature. The immunostaining was performed on a Leica Biosystems BOND® RX instrument Counterstained with Hematoxylin. Secondary antibody only control : Secondary antibody is a ready to use LeicaDS9800 (Bond™ Polymer Refine Detection). Heat mediated antigen retrieval was performed with Tris-EDTA buffer (pH 9.0, Epitope Retrieval Solution2) for 20 mins

Immunohistochemistry (Formalin/PFA-fixed paraffin-embedded sections) - Anti-VGF antibody [EPR27029-73] (AB308287)
  • IHC-P

Supplier Data

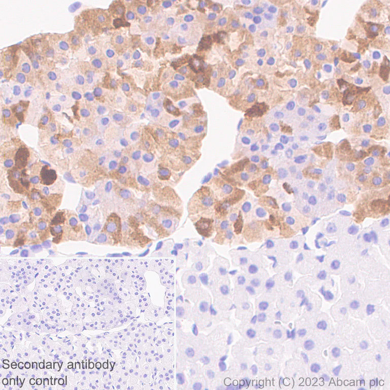
Immunohistochemistry (Formalin/PFA-fixed paraffin-embedded sections) - Anti-VGF antibody [EPR27029-73] (AB308287)

Immunohistochemical analysis of paraffin-embedded Human pituitary glan tissue labelling VGF with ab308287 at 1/500 (1.033 ug/ml) followed by a ready to use LeicaDS9800 (Bond™ Polymer Refine Detection). Positive staining on human pituitary gland. The section was incubated with ab308287 for 30 mins at room temperature. The immunostaining was performed on a Leica Biosystems BOND® RX instrument Counterstained with Hematoxylin. Secondary antibody only control : Secondary antibody is a ready to use LeicaDS9800 (Bond™ Polymer Refine Detection). Heat mediated antigen retrieval was performed with Tris-EDTA buffer (pH 9.0, Epitope Retrieval Solution2) for 20 mins

Immunohistochemistry (Formalin/PFA-fixed paraffin-embedded sections) - Anti-VGF antibody [EPR27029-73] (AB308287)
  • IHC-P

Supplier Data

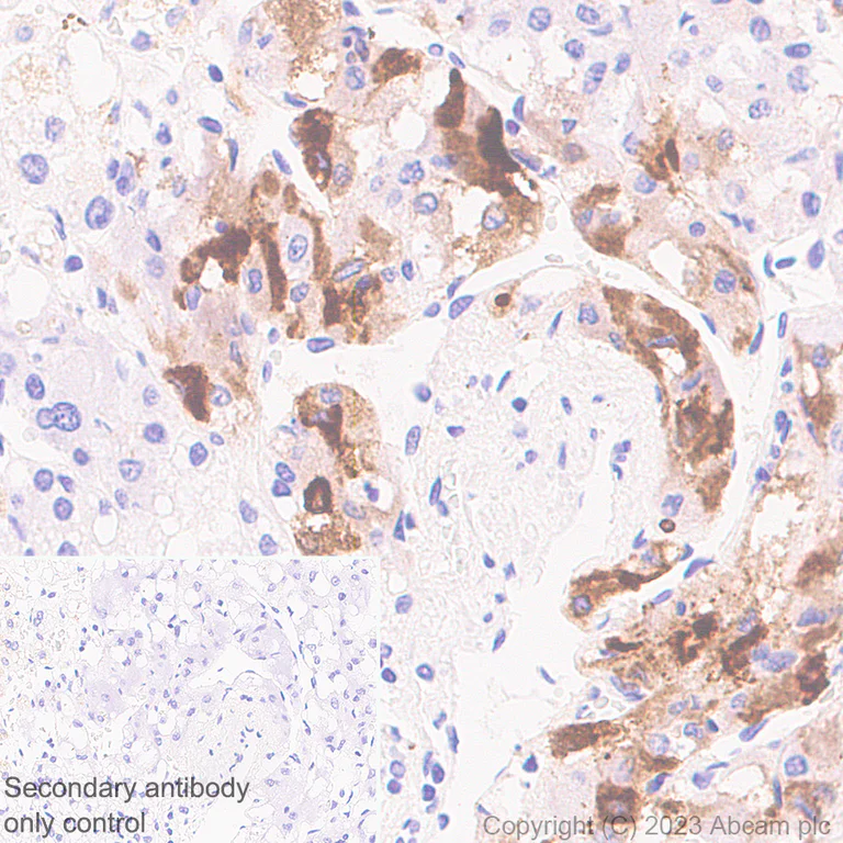
Immunohistochemistry (Formalin/PFA-fixed paraffin-embedded sections) - Anti-VGF antibody [EPR27029-73] (AB308287)

Immunohistochemical analysis of paraffin-embedded Human kidney tissue labelling VGF with ab308287 at 1/500 (1.033 ug/ml) followed by a ready to use LeicaDS9800 (Bond™ Polymer Refine Detection). Negative control : no staining on human kidney. The section was incubated with ab308287 for 30 mins at room temperature. The immunostaining was performed on a Leica Biosystems BOND® RX instrument Counterstained with Hematoxylin. Secondary antibody only control : Secondary antibody is a ready to use LeicaDS9800 (Bond™ Polymer Refine Detection). Heat mediated antigen retrieval was performed with Tris-EDTA buffer (pH 9.0, Epitope Retrieval Solution2) for 20 mins

Immunohistochemistry (Formalin/PFA-fixed paraffin-embedded sections) - Anti-VGF antibody [EPR27029-73] (AB308287)
  • IHC-P

Supplier Data

Immunohistochemistry (Formalin/PFA-fixed paraffin-embedded sections) - Anti-VGF antibody [EPR27029-73] (AB308287)

Immunohistochemical analysis of paraffin-embedded Rat pituitary gland tissue labelling VGF with ab308287 at 1/500 (1.033 ug/ml) followed by a ready to use LeicaDS9800 (Bond™ Polymer Refine Detection). Positive staining on rat pituitary gland. The section was incubated with ab308287 for 30 mins at room temperature. The immunostaining was performed on a Leica Biosystems BOND® RX instrument Counterstained with Hematoxylin. Secondary antibody only control : Secondary antibody is a ready to use LeicaDS9800 (Bond™ Polymer Refine Detection). Heat mediated antigen retrieval was performed with Tris-EDTA buffer (pH 9.0, Epitope Retrieval Solution2) for 20 mins

Immunohistochemistry (Formalin/PFA-fixed paraffin-embedded sections) - Anti-VGF antibody [EPR27029-73] (AB308287)
  • IHC-P

Supplier Data

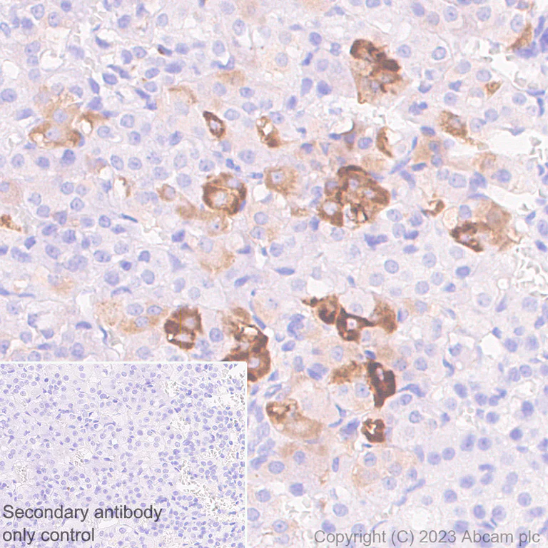
Immunohistochemistry (Formalin/PFA-fixed paraffin-embedded sections) - Anti-VGF antibody [EPR27029-73] (AB308287)

Immunohistochemical analysis of paraffin-embedded Mouse adrenal gland tissue labelling VGF with ab308287 at 1/500 (1.033 ug/ml) followed by a ready to use LeicaDS9800 (Bond™ Polymer Refine Detection). Positive staining on mouse adrenal medulla. The section was incubated with ab308287 for 30 mins at room temperature. The immunostaining was performed on a Leica Biosystems BOND® RX instrument Counterstained with Hematoxylin. Secondary antibody only control : Secondary antibody is a ready to use LeicaDS9800 (Bond™ Polymer Refine Detection). Heat mediated antigen retrieval was performed with Tris-EDTA buffer (pH 9.0, Epitope Retrieval Solution2) for 20 mins

Immunohistochemistry (Formalin/PFA-fixed paraffin-embedded sections) - Anti-VGF antibody [EPR27029-73] (AB308287)
  • IHC-P

Supplier Data

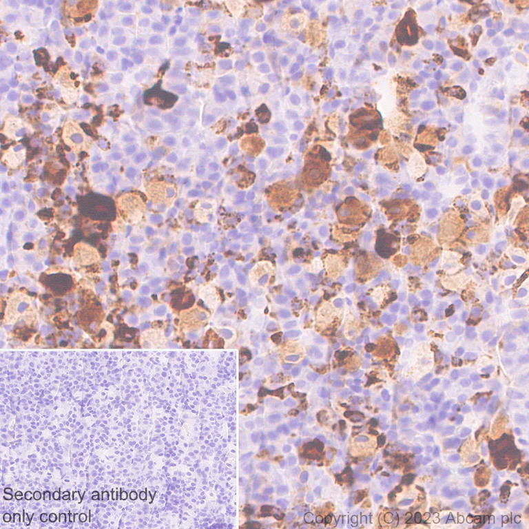
Immunohistochemistry (Formalin/PFA-fixed paraffin-embedded sections) - Anti-VGF antibody [EPR27029-73] (AB308287)

Immunohistochemical analysis of paraffin-embedded Rat adrenal gland tissue labelling VGF with ab308287 at 1/500 (1.033 ug/ml) followed by a ready to use LeicaDS9800 (Bond™ Polymer Refine Detection). Positive staining on rat adrenal medulla. The section was incubated with ab308287 for 30 mins at room temperature. The immunostaining was performed on a Leica Biosystems BOND® RX instrument Counterstained with Hematoxylin. Secondary antibody only control : Secondary antibody is a ready to use LeicaDS9800 (Bond™ Polymer Refine Detection). Heat mediated antigen retrieval was performed with Tris-EDTA buffer (pH 9.0, Epitope Retrieval Solution2) for 20 mins

Multiplex immunohistochemistry - Anti-VGF antibody [EPR27029-73] (AB308287)
  • mIHC

Lab

Multiplex immunohistochemistry - Anti-VGF antibody [EPR27029-73] (AB308287)

Multiplex immunohistochemistry analysis of formalin/PFA-fixed paraffin-embedded rat adrenal gland tissue staining Angiotensin II Type 2 Receptor with ab324679 at a 1/100 ( 5.0 μg/ml) dilution, ab308287 anti-VGF used at a 1/500 ( 0.498 μg/ml) dilution and ab324019 anti-CYP21A2 used at a 1/5000 ( 0.1 μg/ml) dilution.

Panel A : merged staining of anti-Angiotensin II Type 2 Receptor (green; Opal™520), anti-VGF (magenta; Opal™570) and anti-CYP21A2 (gray; Opal™690) on rat adrenal gland.

Panel B : anti-Angiotensin II Type 2 Receptor staining membrane of adrenal medulla in rat adrenal gland.

Panel C : anti-VGF staining endocrine cells of adrenal medulla in rat adrenal gland.

Panel D : anti-CYP21A2 staining adrenal cortex in rat adrenal gland.

Nuclear DNA was labeled with DAPI (shown in blue).

The section was incubated in three rounds of staining : in the order of ab324679, ab308287 and ab324019 for 30 mins at room temperature. Each round was followed by a separate fluorescent tyramide signal amplification system.

The immunostaining was performed on a Leica Biosystems BOND® RX instrument with an Opal™ 4-color kit. Image acquisition was performed with Leica SP8 confocal microscope.

Heat mediated antigen retrieval was performed with Tris-EDTA buffer (pH 9.0, Epitope Retrieval Solution2) for 20 mins.

Multiplex immunohistochemistry - Anti-VGF antibody [EPR27029-73] (AB308287)
  • mIHC

Lab

Multiplex immunohistochemistry - Anti-VGF antibody [EPR27029-73] (AB308287)

Multiplex immunohistochemistry analysis of formalin/PFA-fixed paraffin-embedded mouse adrenal gland tissue staining Angiotensin II Type 2 Receptor with ab324679 at a 1/100 ( 5.0 μg/ml) dilution, ab308287 anti-VGF used at a 1/500 ( 0.498 μg/ml) dilution and ab324019 anti-CYP21A2 used at a 1/5000 ( 0.1 μg/ml) dilution.

Panel A : merged staining of anti-Angiotensin II Type 2 Receptor (green; Opal™520), anti-VGF (magenta; Opal™570) and anti-CYP21A2 (gray; Opal™690) on mouse adrenal gland.

Panel B : anti-Angiotensin II Type 2 Receptor staining membrane of adrenal medulla in mouse adrenal gland.

Panel C : anti-VGF staining endocrine cells of adrenal medulla in mouse adrenal gland.

Panel D : anti-CYP21A2 staining adrenal cortex in mouse adrenal gland.

Nuclear DNA was labeled with DAPI (shown in blue).

The section was incubated in three rounds of staining : in the order of ab324679, ab308287 and ab324019 for 30 mins at room temperature. Each round was followed by a separate fluorescent tyramide signal amplification system.

The immunostaining was performed on a Leica Biosystems BOND® RX instrument with an Opal™ 4-color kit. Image acquisition was performed with Leica SP8 confocal microscope.

Heat mediated antigen retrieval was performed with Tris-EDTA buffer (pH 9.0, Epitope Retrieval Solution2) for 20 mins.

Multiplex immunohistochemistry - Anti-VGF antibody [EPR27029-73] (AB308287)
  • mIHC

Lab

Multiplex immunohistochemistry - Anti-VGF antibody [EPR27029-73] (AB308287)

Multiplex immunohistochemistry analysis of formalin/PFA-fixed paraffin-embedded Mouse adrenal gland staining of ADX with ab321899 at a 1/2000 (0.244 µg/ml) dilution, VGF with ab308287 at 1/500 (0.95 µg/ml) dilution and Neuropeptide Y with ab221145 at 1/4000 ( 0.140 µg/ml) dilution.

Panel A : merged staining of anti-ADX (gray; Opal™690), anti-VGF (green; Opal™520) and anti-Neuropeptide Y (magenta; Opal™570) on mouse adrenal gland.
Panel B : anti-ADX staining adrenal cortex in mouse adrenal gland.
Panel C : anti-VGF staining endocrine cells in mouse adrenal gland medulla.
Panel D : nti-Neuropeptide Y staining chromaffin cells in mouse adrenal gland medulla.
Nuclear DNA was labelled with DAPI (shown in blue). ).

The section was incubated in three rounds of staining : in the order of ab321899, ab308287 and ab221145 for 30 mins at room temperature.. Each round was followed by a separate fluorescent tyramide signal amplification system.

Heat mediated antigen retrieval with Tris-EDTA buffer (pH 9.0 epitope retrieval solution2) for 20 mins.

Western blot - Anti-VGF antibody [EPR27029-73] (AB308287)
  • WB

Supplier Data

Western blot - Anti-VGF antibody [EPR27029-73] (AB308287)

Blocking and diluting buffer and concentration : 5% NFDM/TBST. The primary band at 90 kDa is the precursor form of VGF which is consistent with literature descriptions (PMID : 30690892, PMID : 10433233). In Western blot, anti-GAPDH antibody (ab181602) loading control staining at 1/200000 dilution. Exposure time : 180 seconds

All lanes:

Western blot - Anti-VGF antibody [EPR27029-73] (ab308287) at 1/1000 dilution

Lane 1:

Untreated U-2 OS (human bone osteosarcoma epithelial cell) whole cell lysate at 20 µg

Lane 2:

U-2 OS treated with /ml BFA for 24 hour whole cell lysate at 20 µg

Secondary

All lanes:

Western blot - Goat Anti-Rabbit IgG H&L (HRP) (<a href='/en-us/products/secondary-antibodies/goat-rabbit-igg-h-l-hrp-ab97051'>ab97051</a>) at 1/100000 dilution

Predicted band size: 67 kDa

Observed band size: 90 kDa

false

Exposure time: 180s

Western blot - Anti-VGF antibody [EPR27029-73] (AB308287)
  • WB

Supplier Data

Western blot - Anti-VGF antibody [EPR27029-73] (AB308287)

Blocking and diluting buffer and concentration : 5% NFDM/TBST. The primary band at 90 kDa is the precursor form of VGF which is consistent with literature descriptions (PMID : 30690892, PMID : 10433233). In Western blot, anti-GAPDH antibody (ab181602) loading control staining at 1/200000 dilution. Exposure time : 180 seconds

All lanes:

Western blot - Anti-VGF antibody [EPR27029-73] (ab308287) at 1/1000 dilution

Lane 1:

Untreated PC-12 (rat adrenal gland pheochromocytoma) whole cell lysate at 20 µg

Lane 2:

PC-12 treated with /ml BFA for 24 hour whole cell lysate at 20 µg

Secondary

All lanes:

Western blot - Goat Anti-Rabbit IgG H&L (HRP) (<a href='/en-us/products/secondary-antibodies/goat-rabbit-igg-h-l-hrp-ab97051'>ab97051</a>) at 1/100000 dilution

Predicted band size: 67 kDa

Observed band size: 90 kDa

false

Exposure time: 180s

Western blot - Anti-VGF antibody [EPR27029-73] (AB308287)
  • WB

Supplier Data

Western blot - Anti-VGF antibody [EPR27029-73] (AB308287)

Blocking and diluting buffer and concentration : 5% NFDM/TBST. Negative control : RAW 264.7. The identities of the lower MW bands between 37 kDa and 90 kDa are expected to be VGF peptides. The primary band at 90 kDa is the precursor form of VGF which is consistent with literature descriptions (PMID : 30690892, PMID : 10433233). Lysates were freshly made and used for Western blotting immediately to minimize protein degradation. In Western blot, anti-GAPDH antibody (ab181602) loading control staining at 1/200000 dilution. Exposure time : 180 seconds

All lanes:

Western blot - Anti-VGF antibody [EPR27029-73] (ab308287) at 1/1000 dilution

Lane 1:

Neuro-2a (mouse neuroblastoma neuroblast) whole cell lysate at 20 µg

Lane 2:

RAW264.7 (mouse elson murine leukemia virus-induced tumor macrophage) whole cell lysate at 20 µg

Secondary

All lanes:

Western blot - Goat Anti-Rabbit IgG H&L (HRP) (<a href='/en-us/products/secondary-antibodies/goat-rabbit-igg-h-l-hrp-ab97051'>ab97051</a>) at 1/20000 dilution

Predicted band size: 67 kDa

Observed band size: 90 kDa

false

Exposure time: 180s

  • Carrier free

    Anti-VGF antibody [EPR27029-73] - BSA and Azide free

Key facts

Host species

Rabbit

Clonality

Monoclonal

Clone number

EPR27029-73

Isotype

IgG

Carrier free

No

Reacts with

Human, Mouse, Rat

Applications

WB, mIHC, IHC-P

applications

Immunogen

The exact immunogen used to generate this antibody is proprietary information.

Reactivity data

{ "title": "Reactivity Data", "filters": { "stats": ["", "Species", "Dilution Info", "Notes"], "tabs": { "all-applications": {"fullname" : "All Applications", "shortname": "All Applications"}, "WB" : {"fullname" : "Western blot", "shortname":"WB"}, "mIHC" : {"fullname" : "Multiplex immunohistochemistry", "shortname":"mIHC"}, "IHCP" : {"fullname" : "Immunohistochemistry (Formalin/PFA-fixed paraffin-embedded sections)", "shortname":"IHC-P"}, "ICCIF" : {"fullname" : "Immunocytochemistry/ Immunofluorescence", "shortname":"ICC/IF"}, "FlowCytIntra" : {"fullname" : "Flow Cytometry (Intracellular)", "shortname":"Flow Cyt (Intra)"}, "IP" : {"fullname" : "Immunoprecipitation", "shortname":"IP"} }, "product-promise": { "all": "all", "testedAndGuaranteed": "tested", "guaranteed": "expected", "predicted": "predicted", "notRecommended": "not-recommended" } }, "values": { "Human": { "WB-species-checked": "testedAndGuaranteed", "WB-species-dilution-info": "1/1000", "WB-species-notes": "<p></p>", "mIHC-species-checked": "guaranteed", "mIHC-species-dilution-info": "", "mIHC-species-notes": "", "IHCP-species-checked": "testedAndGuaranteed", "IHCP-species-dilution-info": "1/500", "IHCP-species-notes": "<p></p> Perform heat-mediated antigen retrieval with Tris/EDTA buffer pH 9.0 before commencing with IHC staining protocol.", "ICCIF-species-checked": "notRecommended", "ICCIF-species-dilution-info": "", "ICCIF-species-notes": "<p></p>", "FlowCytIntra-species-checked": "notRecommended", "FlowCytIntra-species-dilution-info": "", "FlowCytIntra-species-notes": "<p></p>", "IP-species-checked": "notRecommended", "IP-species-dilution-info": "", "IP-species-notes": "<p></p>" }, "Mouse": { "WB-species-checked": "testedAndGuaranteed", "WB-species-dilution-info": "1/1000", "WB-species-notes": "<p></p>", "mIHC-species-checked": "testedAndGuaranteed", "mIHC-species-dilution-info": "1/500", "mIHC-species-notes": "<p></p>", "IHCP-species-checked": "testedAndGuaranteed", "IHCP-species-dilution-info": "1/500", "IHCP-species-notes": "<p></p> Perform heat-mediated antigen retrieval with Tris/EDTA buffer pH 9.0 before commencing with IHC staining protocol.", "ICCIF-species-checked": "notRecommended", "ICCIF-species-dilution-info": "", "ICCIF-species-notes": "<p></p>", "FlowCytIntra-species-checked": "notRecommended", "FlowCytIntra-species-dilution-info": "", "FlowCytIntra-species-notes": "<p></p>", "IP-species-checked": "notRecommended", "IP-species-dilution-info": "", "IP-species-notes": "<p></p>" }, "Rat": { "WB-species-checked": "testedAndGuaranteed", "WB-species-dilution-info": "1/1000", "WB-species-notes": "<p></p>", "mIHC-species-checked": "testedAndGuaranteed", "mIHC-species-dilution-info": "1/500", "mIHC-species-notes": "<p></p> Perform heat-mediated antigen retrieval with Tris/EDTA buffer pH 9.0 before commencing with IHC staining protocol.", "IHCP-species-checked": "testedAndGuaranteed", "IHCP-species-dilution-info": "1/500", "IHCP-species-notes": "<p></p> Perform heat-mediated antigen retrieval with Tris/EDTA buffer pH 9.0 before commencing with IHC staining protocol.", "ICCIF-species-checked": "notRecommended", "ICCIF-species-dilution-info": "", "ICCIF-species-notes": "<p></p>", "FlowCytIntra-species-checked": "notRecommended", "FlowCytIntra-species-dilution-info": "", "FlowCytIntra-species-notes": "<p></p>", "IP-species-checked": "notRecommended", "IP-species-dilution-info": "", "IP-species-notes": "<p></p>" } } }

Product details

Patented technology
Our RabMAb® technology is a patented hybridoma-based technology for making rabbit monoclonal antibodies. For details on our patents, please refer to RabMAb® patents.

What are the advantages of a recombinant monoclonal antibody?
This product is a recombinant monoclonal antibody, which offers several advantages including:

  • - High batch-to-batch consistency and reproducibility
  • - Improved sensitivity and specificity
  • - Long-term security of supply
  • - Animal-free batch production

For more information, read more on recombinant antibodies.

Properties and storage information

Form
Liquid
Purification technique
Affinity purification Protein A
Storage buffer
pH: 7.2 - 7.4 Preservative: 0.01% Sodium azide Constituents: PBS, 40% Glycerol (glycerin, glycerine), 0.05% BSA
Shipped at conditions
Blue Ice
Appropriate short-term storage duration
1-2 weeks
Appropriate short-term storage conditions
+4°C
Appropriate long-term storage conditions
-20°C
Aliquoting information
Upon delivery aliquot
Storage information
Avoid freeze / thaw cycle

Supplementary information

This supplementary information is collated from multiple sources and compiled automatically.

VGF also known as non-acronymic VGF is a neuropeptide precursor protein with a molecular mass approximately 68 kDa. It is expressed in neuroendocrine and neuronal tissues including the brain spinal cord and peripheral nervous system. VGF is synthesized as a large precursor and subsequently processed into smaller bioactive peptides with a variety of functions. The distribution and processing of VGF peptides suggest its diverse roles across different physiological contexts.
Biological function summary

VGF-derived peptides exert significant influence on energy balance neurogenesis and synaptic plasticity. These peptides participate in the regulation of appetite and energy expenditure contributing to body weight management. They are also involved in nerve growth and repair mechanisms. VGF peptides act independently or in conjunction with other neuropeptides and factors within the nervous system though it does not form a stable complex with other proteins.

Pathways

Few proteins have as diverse involvement as VGF in the neuroendocrine system's regulation. VGF links to the neurotrophic signaling pathway which promotes neuronal survival and growth. It shows interactions with proteins such as Brain-Derived Neurotrophic Factor (BDNF) and Nerve Growth Factor (NGF) which support cellular health and energy homeostasis. VGF's role assists in the modulation of these pathways facilitating communication between energy state signals and neuronal networks.

Alterations in VGF expression have implications in neurodegenerative diseases and mood disorders. Reduced levels of VGF peptides associate with Alzheimer's disease affecting cognitive functions and synaptic integrity. Additionally VGF influences in mood regulatory pathways relate it to major depressive disorder potentially interacting with proteins like the serotonin transporter which modulates mood and stress responses. Understanding VGF and its pathways can inform therapeutic strategies for these conditions.

Product protocols

For this product, it's our understanding that no specific protocols are required. You can visit:

Target data

Neurosecretory protein VGF. Secreted polyprotein that is packaged and proteolytically processed by prohormone convertases PCSK1 and PCSK2 in a cell-type-specific manner (By similarity). VGF and peptides derived from its processing play many roles in neurogenesis and neuroplasticity associated with learning, memory, depression and chronic pain (By similarity).. Neuroendocrine regulatory peptide-1. Plays a role in the control of body fluid homeostasis by regulating vasopressin release. Suppresses presynaptic glutamatergic neurons connected to vasopressin neurons.. Neuroendocrine regulatory peptide-2. Plays a role in the control of body fluid homeostasis by regulating vasopressin release. Activates GABAergic interneurons which are inhibitory neurons of the nervous system and thereby suppresses presynaptic glutamatergic neurons (By similarity). Stimulates also feeding behavior in an orexin-dependent manner in the hypothalamus (By similarity). Functions as a positive regulator for the activation of orexin neurons resulting in elevated gastric acid secretion and gastric emptying (By similarity).. VGF-derived peptide TLQP-21. Secreted multifunctional neuropeptide that binds to different cell receptors and thereby plays multiple physiological roles including modulation of energy expenditure, pain, response to stress, gastric regulation, glucose homeostasis as well as lipolysis (By similarity). Activates the G-protein-coupled receptor C3AR1 via a folding-upon-binding mechanism leading to enhanced lipolysis in adipocytes (By similarity). Interacts with C1QBP receptor in macrophages and microglia causing increased levels of intracellular calcium and hypersensitivity (By similarity).. VGF-derived peptide TLQP-62. Plays a role in the regulation of memory formation and depression-related behaviors potentially by influencing synaptic plasticity and neurogenesis. Induces acute and transient activation of the NTRK2/TRKB receptor and subsequent CREB phosphorylation (By similarity). Induces also insulin secretion in insulinoma cells by increasing intracellular calcium mobilization (By similarity).. Antimicrobial peptide VGF[554-577]. Has bactericidal activity against M. luteus, and antifungal activity against P. Pastoris.
See full target information Neurosecretory protein VGF

Publications (1)

Recent publications for all applications. Explore the full list and refine your search

Molecular neurodegeneration 20:32 PubMed40082954

2025

Probe-dependent Proximity Profiling (ProPPr) Uncovers Similarities and Differences in Phospho-Tau-Associated Proteomes Between Tauopathies.

Applications

Unspecified application

Species

Unspecified reactive species

Dmytro Morderer,Melissa C Wren,Feilin Liu,Naomi Kouri,Anastasiia Maistrenko,Bilal Khalil,Nora Pobitzer,Michelle R Salemi,Brett S Phinney,Guojun Bu,Na Zhao,Dennis W Dickson,Melissa E Murray,Wilfried Rossoll
View all publications

Product promise

We are committed to supporting your work with high-quality reagents, and we're here for you every step of the way. In the unlikely event that one of our products does not perform as expected, you're protected by our Product Promise.
For full details, please see our Terms & Conditions

Please note: All products are 'FOR RESEARCH USE ONLY. NOT FOR USE IN DIAGNOSTIC OR THERAPEUTIC PROCEDURES'.

For licensing inquiries, please contact partnerships@abcam.com