JavaScript is disabled in your browser. Please enable JavaScript to view this website.
AB227906

Anti-VGLUT2 antibody [EPR21085] - BSA and Azide free

Be the first to review this product! Submit a review

|

(1 Publication)

Rabbit Recombinant Monoclonal VGLUT2 antibody. Carrier free. Suitable for ICC/IF, IP, WB, IHC-Fr, IHC-P and reacts with Mouse, Rat samples. Cited in 1 publication.

View Alternative Names

Dnpi, Vglut2, Slc17a6, Vesicular glutamate transporter 2, VGluT2, Differentiation-associated BNPI, Differentiation-associated Na(+)-dependent inorganic phosphate cotransporter, Solute carrier family 17 member 6

7 Images
Immunohistochemistry (Frozen sections) - Anti-VGLUT2 antibody [EPR21085] - BSA and Azide free (AB227906)
  • IHC-Fr

Supplier Data

Immunohistochemistry (Frozen sections) - Anti-VGLUT2 antibody [EPR21085] - BSA and Azide free (AB227906)

Immunohistochemical analysis of 4% paraformaldehyde-fixed, 0.2% Triton X-100 permeabilized frozen sections of rat cortex tissue labeling VGLUT2 with ab216463  at 1/100 dilution, followed by Goat Anti-Rabbit IgG H&L (Alexa Fluor® 488) (ab150077) secondary antibody at 1/1000 dilution (green). Positive staining in rat cortex.

The nuclear counter stain is DAPI (blue).

Secondary antibody only control : Used PBS instead of primary antibody, secondary antibody is Goat Anti-Rabbit IgG H&L (Alexa Fluor® 488) (ab150077) secondary antibody at 1/1000 dilution.

This data was developed using the same antibody clone in a different buffer formulation containing PBS, BSA, glycerol, and sodium azide (ab216463).

Immunohistochemistry (Formalin/PFA-fixed paraffin-embedded sections) - Anti-VGLUT2 antibody [EPR21085] - BSA and Azide free (AB227906)
  • IHC-P

Supplier Data

Immunohistochemistry (Formalin/PFA-fixed paraffin-embedded sections) - Anti-VGLUT2 antibody [EPR21085] - BSA and Azide free (AB227906)

Immunohistochemical analysis of paraffin-embedded mouse brain tissue labeling VGLUT2 with ab216463 at 1/500 dilution, followed by Goat Anti-Rabbit IgG H&L (HRP) Ready to use. Cytoplasmic staining on mouse forebrain, including cerebral cortex and diencephalon (PMID : 16217795). Counter stained with Hematoxylin.

Secondary antibody only control : Used PBS instead of primary antibody, secondary antibody is Goat Anti-Rabbit IgG H&L (HRP) Ready to use.

This data was developed using the same antibody clone in a different buffer formulation containing PBS, BSA, glycerol, and sodium azide (ab216463).

Perform heat mediated antigen retrieval with Tris/EDTA buffer pH 9.0 before commencing with IHC staining protocol.

Immunocytochemistry/ Immunofluorescence - Anti-VGLUT2 antibody [EPR21085] - BSA and Azide free (AB227906)
  • ICC/IF

Unknown

Immunocytochemistry/ Immunofluorescence - Anti-VGLUT2 antibody [EPR21085] - BSA and Azide free (AB227906)

Immunofluorescent analysis of 4% Paraformaldehyde-fixed, 0.1% TritonX-100 permeabilized rat midbrain neuron cells labelling VGLUT2 with ab216463 at 1/250 dilution, followed by ab150077 Goat Anti-Rabbit IgG H&L (Alexa Fluor® 488) antibody at 1/1000 dilution (2 μg/mL) (Green). Confocal image showing positive staining in rat midbrain neuron cell. Confocal scanning Z step was set as 0.3 μm followed by image processing with maximum Z projection. ab11267 Anti-MAP2 mouse monoclonal antibody was used to counterstain tubulin at 1/500 dilution (4 μg/mL) followed by ab150120 Goat Anti-Mouse IgG H&L (Alexa Fluor® 594) at 1/1000 dilution (2 μg/mL) (Red). The nuclear counterstain was DAPI (Blue).

This data was developed using the same antibody clone in a different buffer formulation containing PBS, BSA, glycerol, and sodium azide (ab216463).

Immunohistochemistry (Formalin/PFA-fixed paraffin-embedded sections) - Anti-VGLUT2 antibody [EPR21085] - BSA and Azide free (AB227906)
  • IHC-P

Supplier Data

Immunohistochemistry (Formalin/PFA-fixed paraffin-embedded sections) - Anti-VGLUT2 antibody [EPR21085] - BSA and Azide free (AB227906)

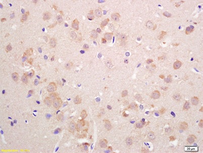
Immunohistochemical analysis of paraffin-embedded rat brain tissue labeling VGLUT2 with ab216463 at 1/500 dilution, followed by Goat Anti-Rabbit IgG H&L (HRP) Ready to use. Cytoplasmic staining on rat forebrain including cerebral cortex and diencephalon is observed (PMID : 16217795). Counter stained with Hematoxylin.

Secondary antibody only control : Used PBS instead of primary antibody, secondary antibody is Goat Anti-Rabbit IgG H&L (HRP) Ready to use.

This data was developed using the same antibody clone in a different buffer formulation containing PBS, BSA, glycerol, and sodium azide (ab216463).

Perform heat mediated antigen retrieval with Tris/EDTA buffer pH 9.0 before commencing with IHC staining protocol.

Immunohistochemistry (Formalin/PFA-fixed paraffin-embedded sections) - Anti-VGLUT2 antibody [EPR21085] - BSA and Azide free (AB227906)
  • IHC-P

Supplier Data

Immunohistochemistry (Formalin/PFA-fixed paraffin-embedded sections) - Anti-VGLUT2 antibody [EPR21085] - BSA and Azide free (AB227906)

Immunohistochemical analysis of paraffin-embedded mouse cerebrum tissue labeling VGLUT2 with ab216463 at 1/500 dilution, followed by Goat Anti-Rabbit IgG H&L (HRP) Ready to use. Granularly cytoplasmic staining in mouse cerebrum is observed (PMID : 24804702). Counter stained with Hematoxylin.

Secondary antibody only control : Used PBS instead of primary antibody, secondary antibody is Goat Anti-Rabbit IgG H&L (HRP) Ready to use.

This data was developed using the same antibody clone in a different buffer formulation containing PBS, BSA, glycerol, and sodium azide (ab216463).

Perform heat mediated antigen retrieval with Tris/EDTA buffer pH 9.0 before commencing with IHC staining protocol.

Immunohistochemistry (Frozen sections) - Anti-VGLUT2 antibody [EPR21085] - BSA and Azide free (AB227906)
  • IHC-Fr

Supplier Data

Immunohistochemistry (Frozen sections) - Anti-VGLUT2 antibody [EPR21085] - BSA and Azide free (AB227906)

Immunohistochemical analysis of 4% paraformaldehyde-fixed, 0.2% Triton X-100 permeabilized frozen sections of mouse thalamus tissue labeling VGLUT2 with ab216463  at 1/500 dilution, followed by Goat Anti-Rabbit IgG H&L (Alexa Fluor® 488) (ab150077) secondary antibody at 1/1000 dilution (green). Positive staining in mouse thalamus.

The nuclear counter stain is DAPI (blue).

Secondary antibody only control : Used PBS instead of primary antibody, secondary antibody is Goat Anti-Rabbit IgG H&L (Alexa Fluor® 488) (ab150077) secondary antibody at 1/1000 dilution.

This data was developed using the same antibody clone in a different buffer formulation containing PBS, BSA, glycerol, and sodium azide (ab216463).

Immunoprecipitation - Anti-VGLUT2 antibody [EPR21085] - BSA and Azide free (AB227906)
  • IP

Supplier Data

Immunoprecipitation - Anti-VGLUT2 antibody [EPR21085] - BSA and Azide free (AB227906)

VGLUT2 was immunoprecipitated from 0.35 mg of mouse brain lysate with ab216463 at 1/30 dilution. Western blot was performed from the immunoprecipitate using ab216463 at 1/1000 dilution. VeriBlot for IP Detection Reagent (HRP) (ab131366), was used for detection at 1/10000 dilution.

Lane 1 : Mouse brain lysate 10 μg (Input).

Lane 2 : ab216463 IP in mouse brain lysate.

Lane 3 : Rabbit monoclonal IgG (ab172730) instead of ab216463 in mouse brain lysate.

Exposure time : 10 seconds.

Blocking and dilution buffer and concentration : 5% NFDM/TBST.

This data was developed using the same antibody clone in a different buffer formulation containing PBS, BSA, glycerol, and sodium azide (ab216463).

All lanes:

Immunoprecipitation - Anti-VGLUT2 antibody [EPR21085] (<a href='/en-us/products/primary-antibodies/vglut2-antibody-epr21085-ab216463'>ab216463</a>)

Predicted band size: 64 kDa

Observed band size: 64 kDa

true

Key facts

Host species

Rabbit

Clonality

Monoclonal

Clone number

EPR21085

Isotype

IgG

Carrier free

Yes

Reacts with

Mouse, Rat

Applications

IP, IHC-P, ICC/IF, IHC-Fr, WB

applications

Immunogen

The exact immunogen used to generate this antibody is proprietary information.

Reactivity data

{ "title": "Reactivity Data", "filters": { "stats": ["", "Species", "Dilution Info", "Notes"], "tabs": { "all-applications": {"fullname" : "All Applications", "shortname": "All Applications"}, "ICCIF" : {"fullname" : "Immunocytochemistry/ Immunofluorescence", "shortname":"ICC/IF"}, "IP" : {"fullname" : "Immunoprecipitation", "shortname":"IP"}, "WB" : {"fullname" : "Western blot", "shortname":"WB"}, "IHCFr" : {"fullname" : "Immunohistochemistry (Frozen sections)", "shortname":"IHC-Fr"}, "IHCP" : {"fullname" : "Immunohistochemistry (Formalin/PFA-fixed paraffin-embedded sections)", "shortname":"IHC-P"} }, "product-promise": { "all": "all", "testedAndGuaranteed": "tested", "guaranteed": "expected", "predicted": "predicted", "notRecommended": "not-recommended" } }, "values": { "Mouse": { "ICCIF-species-checked": "testedAndGuaranteed", "ICCIF-species-dilution-info": "1/250", "ICCIF-species-notes": "<p></p>", "IP-species-checked": "testedAndGuaranteed", "IP-species-dilution-info": "", "IP-species-notes": "<p></p>", "WB-species-checked": "guaranteed", "WB-species-dilution-info": "", "WB-species-notes": "<p></p>", "IHCFr-species-checked": "guaranteed", "IHCFr-species-dilution-info": "", "IHCFr-species-notes": "", "IHCP-species-checked": "testedAndGuaranteed", "IHCP-species-dilution-info": "", "IHCP-species-notes": "<p></p>" }, "Rat": { "ICCIF-species-checked": "testedAndGuaranteed", "ICCIF-species-dilution-info": "1/250", "ICCIF-species-notes": "<p></p>", "IP-species-checked": "guaranteed", "IP-species-dilution-info": "", "IP-species-notes": "", "WB-species-checked": "guaranteed", "WB-species-dilution-info": "", "WB-species-notes": "<p></p>", "IHCFr-species-checked": "testedAndGuaranteed", "IHCFr-species-dilution-info": "", "IHCFr-species-notes": "<p>Perform heat mediated antigen retrieval with Tris/EDTA buffer pH 9.0 before commencing with IHC staining protocol.</p>", "IHCP-species-checked": "guaranteed", "IHCP-species-dilution-info": "", "IHCP-species-notes": "" } } }

Product details

ab227906 is the carrier-free version of ab216463.

Patented technology
Our RabMAb® technology is a patented hybridoma-based technology for making rabbit monoclonal antibodies. For details on our patents, please refer to RabMAb® patents.

What are the advantages of a recombinant monoclonal antibody?
This product is a recombinant monoclonal antibody, which offers several advantages including:

  • - High batch-to-batch consistency and reproducibility
  • - Improved sensitivity and specificity
  • - Long-term security of supply
  • - Animal-free batch production

For more information, read more on recombinant antibodies.

Conjugation ready
Our carrier-free antibodies are typically supplied in a PBS-only formulation, purified and free of BSA, sodium azide and glycerol. This conjugation-ready format is designed for use with fluorochromes, metal isotopes, oligonucleotides, and enzymes, which makes them ideal for antibody labelling, functional and cell-based assays, flow-based assays (e.g. mass cytometry) and Multiplex Imaging applications.

Use our conjugation kits for antibody conjugates that are ready-to-use in as little as 20 minutes with 1 minute hands-on-time and 100% antibody recovery: available for fluorescent dyes, HRP, biotin and gold.

Compatibility
This product is compatible with the Maxpar® Antibody Labeling Kit from Fluidigm, without the need for antibody preparation. Maxpar® is a trademark of Fluidigm Canada Inc.

Properties and storage information

Form
Liquid
Purification technique
Affinity purification Protein A
Storage buffer
pH: 7.2 - 7.4 Constituents: PBS
Shipped at conditions
Blue Ice
Appropriate short-term storage conditions
+4°C
Appropriate long-term storage conditions
+4°C
Storage information
Do Not Freeze

Supplementary information

This supplementary information is collated from multiple sources and compiled automatically.

VGLUT2 also known as Vesicular Glutamate Transporter 2 or SLC17A6 plays a significant role in neurotransmission. This protein facilitates the transport of glutamate an excitatory neurotransmitter into synaptic vesicles in preparation for synaptic release. VGLUT2 has a molecular weight of approximately 61 kDa. Its expression appears particularly in the central nervous system including regions like the thalamus brainstem and some parts of the cerebral cortex.
Biological function summary

VGLUT2 is essential for proper glutamatergic signaling in neuronal communication. The protein does not form part of a larger complex but functions individually to maintain synaptic vesicle filling with glutamate. Normal glutamatergic synaptic transmission relies on VGLUT2’s ability to concentrate glutamate in synaptic vesicles. This concentration is necessary for effective excitatory signaling impacting processes such as synaptic plasticity learning and memory.

Pathways

VGLUT2 serves a critical function in neurotransmitter release and synaptic vesicle cycle. The protein actively transports glutamate into synaptic vesicles enabling its release into the synaptic cleft. VGLUT2 interacts closely with proteins like SNAREs that assist in vesicle docking and fusion. The protein also plays a functional role in the glutamatergic pathway which is important for excitatory neurotransmission in the brain.

VGLUT2 holds relevance to conditions such as schizophrenia and epilepsy. Its dysregulation can alter glutamate levels potentially contributing to altered neuronal excitability and synaptic dysfunction. Studies link VGLUT2 with connected proteins like NMDA receptors which mediate excitatory postsynaptic potentials and are associated with glutamatergic signaling disruptions in these disorders. Alterations in the expression or function of VGLUT2 might influence susceptibility to these neuropsychiatric and neurological conditions.

Product protocols

For this product, it's our understanding that no specific protocols are required. You can visit:

Target data

Multifunctional transporter that transports L-glutamate as well as multiple ions such as chloride, proton, potassium, sodium and phosphate (PubMed : 11432869, PubMed : 17108179, PubMed : 25433636, PubMed : 33440152). At the synaptic vesicle membrane, mainly functions as a uniporter which transports preferentially L-glutamate but also, phosphate from the cytoplasm into synaptic vesicles at presynaptic nerve terminals of excitatory neural cells (PubMed : 11432869, PubMed : 17108179). The L-glutamate or phosphate uniporter activity is electrogenic and is driven by the proton electrochemical gradient, mainly by the electrical gradient established by the vacuolar H(+)-ATPase across the synaptic vesicle membrane (PubMed : 11432869). In addition, functions as a chloride channel that allows a chloride permeation through the synaptic vesicle membrane therefore affects the proton electrochemical gradient and promotes synaptic vesicles acidification (By similarity). Moreover, functions as a vesicular K(+)/H(+) antiport allowing to maintain the electrical gradient and to decrease chemical gradient and therefore sustain vesicular glutamate uptake (PubMed : 25433636). The vesicular H(+)/H(+) antiport activity is electroneutral (PubMed : 25433636). At the plasma membrane, following exocytosis, functions as a symporter of Na(+) and phosphate from the extracellular space to the cytoplasm allowing synaptic phosphate homeostasis regulation (PubMed : 33440152). The symporter activity is driven by an inside negative membrane potential and is electrogenic (PubMed : 33440152). Also involved in the regulation of retinal hyaloid vessel regression during postnatal development (PubMed : 30936473). May also play a role in the endocrine glutamatergic system of other tissues such as pineal gland and pancreas (By similarity).
See full target information Slc17a6

Publications (1)

Recent publications for all applications. Explore the full list and refine your search

Precision clinical medicine 7:pbae028 PubMed39540022

2024

Targeted nuclear degranulation of neutrophils promotes the progression of pneumonia in ulcerative colitis.

Applications

Unspecified application

Species

Unspecified reactive species

Yiming Shao,Qibing Zheng,Xiaobei Zhang,Ping Li,Xingxin Gao,Liming Zhang,Jiahong Xu,Lingchao Meng,Yanyun Tian,Qinqin Zhang,Guangxi Zhou
View all publications

Product promise

We are committed to supporting your work with high-quality reagents, and we're here for you every step of the way. In the unlikely event that one of our products does not perform as expected, you're protected by our Product Promise.
For full details, please see our Terms & Conditions

Please note: All products are 'FOR RESEARCH USE ONLY. NOT FOR USE IN DIAGNOSTIC OR THERAPEUTIC PROCEDURES'.

For licensing inquiries, please contact partnerships@abcam.com