JavaScript is disabled in your browser. Please enable JavaScript to view this website.
AB316323

Anti-VGLUT3 antibody [EPR28534-165] - BSA and Azide free

Be the first to review this product! Submit a review

|

(0 Publication)

Rabbit Recombinant Monoclonal VGLUT3 antibody. Carrier free. Suitable for IHC-P, ICC/IF, IHC-Fr and reacts with Transfected cell line - Mouse, Mouse samples.

View Alternative Names

Vglut3, Gerp, Rnf27, Trim8, Vesicular glutamate transporter 3, VGluT3, Solute carrier family 17 member 8

9 Images
Immunohistochemistry (Formalin/PFA-fixed paraffin-embedded sections) - Anti-VGLUT3 antibody [EPR28534-165] - BSA and Azide free (AB316323)
  • IHC-P

Supplier Data

Immunohistochemistry (Formalin/PFA-fixed paraffin-embedded sections) - Anti-VGLUT3 antibody [EPR28534-165] - BSA and Azide free (AB316323)

This data was developed using ab316322, the same antibody clone in a different buffer formulation.

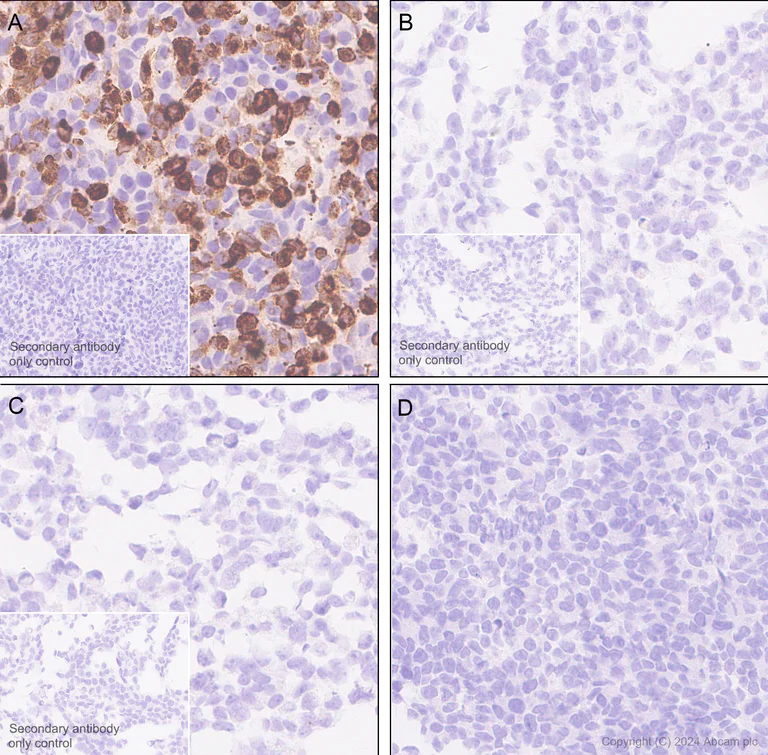
Immunohistochemical analysis of paraffin-embedded (A) HEK-293T (human embryonic kidney epithelial cell) transfected with a mouse VGLU3 expression vector containing a Myc-His tag. (B) HEK-293T (human embryonic kidney epithelial cell) transfected with a mouse VGLU2 expression vector containing a Myc-His tag. (C) HEK-293T (human embryonic kidney epithelial cell) transfected with a mouse VGLU1 expression vector containing a Myc-His tag. (D) HEK-293T transfected with empty vector containing a Myc-His tag. tissue labeling VGLUT3 with ab316322 at 1/2000 (0.249 ug/ml) dilution, followed by a ready to use LeicaDS9800 (Bond™ Polymer Refine Detection).

Positive staining in (A) HEK-293T transfected with a mouse VGLU3 expression vector containing a Myc-His tag, no staining in (B) HEK-293T transfected with a mouse VGLU2 expression vector containing a Myc-His tag, (C) HEK-293T transfected with a mouse VGLU1 expression vector containing a Myc-His tag and (D) HEK-293T transfected with empty vector containing a Myc-His tag.
The section was incubated with ab316322 for 30 mins at room temperature.
The immunostaining was performed on a Leica Biosystems BOND® RX instrument

Counterstained with Hematoxylin.

Secondary antibody only control : Secondary antibody is a ready to use LeicaDS9800 (Bond™ Polymer Refine Detection).

Heat mediated antigen retrieval was performed with Tris-EDTA buffer (pH 9.0, Epitope Retrieval Solution2) for 20 mins

Immunohistochemistry (Formalin/PFA-fixed paraffin-embedded sections) - Anti-VGLUT3 antibody [EPR28534-165] - BSA and Azide free (AB316323)
  • IHC-P

Supplier Data

Immunohistochemistry (Formalin/PFA-fixed paraffin-embedded sections) - Anti-VGLUT3 antibody [EPR28534-165] - BSA and Azide free (AB316323)

This data was developed using ab316322, the same antibody clone in a different buffer formulation.

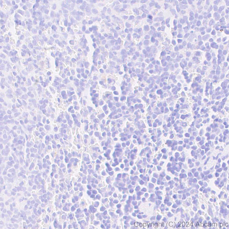
Immunohistochemical analysis of paraffin-embedded Mouse cerebellum tissue labeling VGLUT3 with ab316322 at 1/500 (0.996 ug/ml) dilution, followed by a ready to use LeicaDS9800 (Bond™ Polymer Refine Detection).

Low expression tissue : No staining in mouse cerebellum (PMID : 12097496).
The section was incubated with ab316322 for 30 mins at room temperature.
The immunostaining was performed on a Leica Biosystems BOND® RX instrument

Counterstained with Hematoxylin.

Secondary antibody only control : Secondary antibody is a ready to use LeicaDS9800 (Bond™ Polymer Refine Detection).

Heat mediated antigen retrieval was performed with Citrate buffer (pH 6.0, Epitope Retrieval Solution 1) for 20 mins

Immunocytochemistry/ Immunofluorescence - Anti-VGLUT3 antibody [EPR28534-165] - BSA and Azide free (AB316323)
  • ICC/IF

Supplier Data

Immunocytochemistry/ Immunofluorescence - Anti-VGLUT3 antibody [EPR28534-165] - BSA and Azide free (AB316323)

This data was developed using ab316322, the same antibody clone in a different buffer formulation.

Immunofluorescent analysis of 4% Paraformaldehyde-fixed, 0.1% TritonX-100 permeabilized mouse splenocyte cells labelling VGLUT3 with ab316322 at 1/200 (2.49 ug/ml) dilution, followed by ab150081 Goat Anti-Rabbit IgG H&L (Alexa Fluor® 488) preadsorbed antibody at 1/1000 (2 ug/ml) dilution (Green).

Negative control : confocal image showing no staining in mouse splenocytes.
Image was taken with a confocal microscope(Leica-Microsystems, TCS SP8).

ab195889 Anti-alpha Tubulin mouse monoclonal antibody - Microtubule Marker (Alexa Fluor® 594) was used to counterstain tubulin at 1/200 (2.5ug/ml) dilution (Magenta). The Nuclear counterstain was DAPI (Blue).

Secondary antibody only control : Secondary antibody is ab150081 Goat Anti-Rabbit IgG H&L (Alexa Fluor® 488) preadsorbed at 1/1000 (2 ug/ml) dilution.

Immunohistochemistry (Formalin/PFA-fixed paraffin-embedded sections) - Anti-VGLUT3 antibody [EPR28534-165] - BSA and Azide free (AB316323)
  • IHC-P

Supplier Data

Immunohistochemistry (Formalin/PFA-fixed paraffin-embedded sections) - Anti-VGLUT3 antibody [EPR28534-165] - BSA and Azide free (AB316323)

This data was developed using ab316322, the same antibody clone in a different buffer formulation.

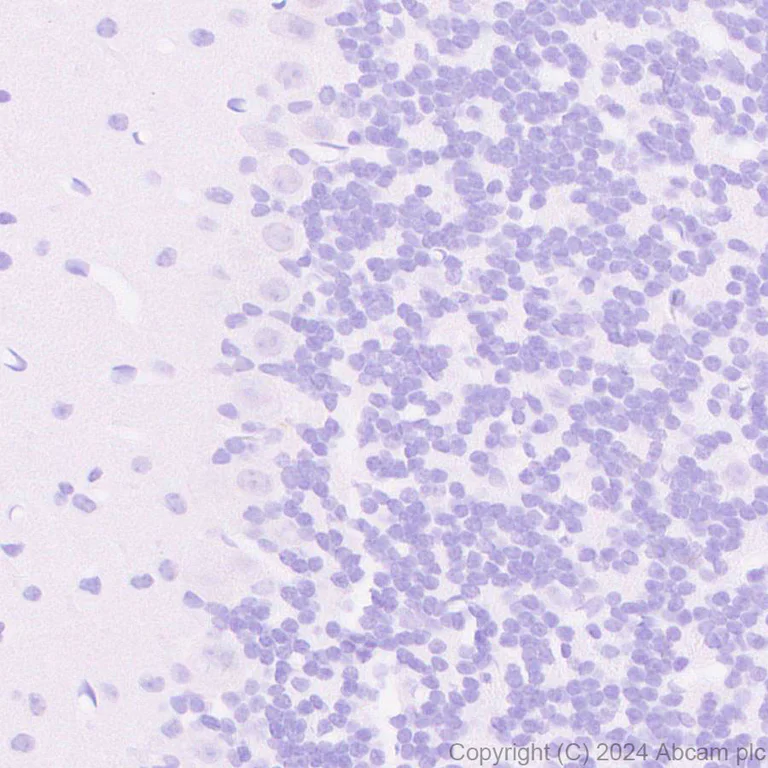
Immunohistochemical analysis of paraffin-embedded Mouse cerebral cortex tissue labeling VGLUT3 with ab316322 at 1/500 (0.996 ug/ml) dilution, followed by a ready to use LeicaDS9800 (Bond™ Polymer Refine Detection).

Positive staining in mouse cerebral cortex (PMID : 12097496).
The section was incubated with ab316322 for 30 mins at room temperature.
The immunostaining was performed on a Leica Biosystems BOND® RX instrument

Counterstained with Hematoxylin.

Secondary antibody only control : Secondary antibody is a ready to use LeicaDS9800 (Bond™ Polymer Refine Detection).

Heat mediated antigen retrieval was performed with Citrate buffer (pH 6.0, Epitope Retrieval Solution 1) for 20 mins

Immunohistochemistry (Formalin/PFA-fixed paraffin-embedded sections) - Anti-VGLUT3 antibody [EPR28534-165] - BSA and Azide free (AB316323)
  • IHC-P

Supplier Data

Immunohistochemistry (Formalin/PFA-fixed paraffin-embedded sections) - Anti-VGLUT3 antibody [EPR28534-165] - BSA and Azide free (AB316323)

This data was developed using ab316322, the same antibody clone in a different buffer formulation.

Immunohistochemical analysis of paraffin-embedded Mouse hippocampus tissue labeling VGLUT3 with ab316322 at 1/500 (0.996 ug/ml) dilution, followed by a ready to use LeicaDS9800 (Bond™ Polymer Refine Detection).

Positive staining in mouse hippocampus (PMID : 12097496).
The section was incubated with ab316322 for 30 mins at room temperature.
The immunostaining was performed on a Leica Biosystems BOND® RX instrument

Counterstained with Hematoxylin.

Secondary antibody only control : Secondary antibody is a ready to use LeicaDS9800 (Bond™ Polymer Refine Detection).

Heat mediated antigen retrieval was performed with Citrate buffer (pH 6.0, Epitope Retrieval Solution 1) for 20 mins

Immunocytochemistry/ Immunofluorescence - Anti-VGLUT3 antibody [EPR28534-165] - BSA and Azide free (AB316323)
  • ICC/IF

Supplier Data

Immunocytochemistry/ Immunofluorescence - Anti-VGLUT3 antibody [EPR28534-165] - BSA and Azide free (AB316323)

This data was developed using ab316322, the same antibody clone in a different buffer formulation.

Immunofluorescent analysis of 4% Paraformaldehyde-fixed, 0.1% TritonX-100 permeabilized mouse primary neuron cells labelling VGLUT3 with ab316322 at 1/200 (2.49 ug/ml) dilution, followed by ab150081 Goat Anti-Rabbit IgG H&L (Alexa Fluor® 488) preadsorbed antibody at 1/1000 (2 ug/ml) dilution (Green).

Confocal image showing cytoplasmic staining in mouse priamry neuron.
Image was taken with a confocal microscope(Leica-Microsystems, TCS SP8).

ab11267 Anti-MAP2 mouse monoclonal antibody was used to counterstain at 1/500 (4ug/ml) dilution (Magenta). The Nuclear counterstain was DAPI (Blue).

Secondary antibody only control : Secondary antibody is ab150081 Goat Anti-Rabbit IgG H&L (Alexa Fluor® 488) preadsorbed at 1/1000 (2 ug/ml) dilution.

Immunohistochemistry (Frozen sections) - Anti-VGLUT3 antibody [EPR28534-165] - BSA and Azide free (AB316323)
  • IHC-Fr

Lab

Immunohistochemistry (Frozen sections) - Anti-VGLUT3 antibody [EPR28534-165] - BSA and Azide free (AB316323)

This data was developed using ab316322, the same antibody clone in a different buffer formulation.

Immunohistochemical analysis of 4% PFA-fixed, 0.2% Triton X-100 permeabilized frozen Mouse hippocmapus (perfused fixed) tissue labeling VGLUT3 with ab316322 at a 1/100 (4.98 µg/ml) dilution followed by ab150081 Goat Anti-Rabbit IgG H&L (Alexa Fluor® 488) preadsorbed at a 1/1000 (2 µg/mL) dilution (Green).

Confocal image showing positive staining on mouse hippocampus. The nuclear counterstain was DAPI (Blue). The section was incubated with ab316322 for 60 mins at room temperature. The section was then mounted using Fluoromount®.The immunostaining was performed on a Leica Biosystems BOND® RX instrument. Image was taken with a confocal microscope (Leica-Microsystems, TCS SP8).

Secondary antibody control : Secondary antibody is ab150081 Goat Anti-Rabbit IgG H&L (Alexa Fluor® 488) preadsorbed at 1/1000 (2 µg/mL) dilution.

Immunohistochemistry (Formalin/PFA-fixed paraffin-embedded sections) - Anti-VGLUT3 antibody [EPR28534-165] - BSA and Azide free (AB316323)
  • IHC-P

Supplier Data

Immunohistochemistry (Formalin/PFA-fixed paraffin-embedded sections) - Anti-VGLUT3 antibody [EPR28534-165] - BSA and Azide free (AB316323)

This data was developed using ab316322, the same antibody clone in a different buffer formulation.

Immunohistochemical analysis of paraffin-embedded Mouse spleen tissue labeling VGLUT3 with ab316322 at 1/500 (0.996 ug/ml) dilution, followed by a ready to use LeicaDS9800 (Bond™ Polymer Refine Detection).

Negative control : No staining in mouse spleen (PMID : 12097496).
The section was incubated with ab316322 for 30 mins at room temperature.
The immunostaining was performed on a Leica Biosystems BOND® RX instrument

Counterstained with Hematoxylin.

Secondary antibody only control : Secondary antibody is a ready to use LeicaDS9800 (Bond™ Polymer Refine Detection).

Heat mediated antigen retrieval was performed with Citrate buffer (pH 6.0, Epitope Retrieval Solution 1) for 20 mins

Immunohistochemistry (Frozen sections) - Anti-VGLUT3 antibody [EPR28534-165] - BSA and Azide free (AB316323)
  • IHC-Fr

Lab

Immunohistochemistry (Frozen sections) - Anti-VGLUT3 antibody [EPR28534-165] - BSA and Azide free (AB316323)

This data was developed using ab316322, the same antibody clone in a different buffer formulation.

Immunohistochemical analysis of 4% PFA-fixed, 0.2% Triton X-100 permeabilized frozen Mouse hippocmapus (perfused fixed) tissue labeling VGLUT3 with ab316322 at a 1/100 (4.98 µg/ml) dilution followed by ab150081 Goat Anti-Rabbit IgG H&L (Alexa Fluor® 488) preadsorbed at a 1/1000 (2 µg/mL) dilution (Green).

Low expression : confocal image showing no staining on mouse kidney. The nuclear counterstain was DAPI (Blue). The section was incubated with ab316322 for 60 mins at room temperature. The section was then mounted using Fluoromount®.The immunostaining was performed on a Leica Biosystems BOND® RX instrument. Image was taken with a confocal microscope (Leica-Microsystems, TCS SP8).

Secondary antibody control : Secondary antibody is ab150081 Goat Anti-Rabbit IgG H&L (Alexa Fluor® 488) preadsorbed at 1/1000 (2 µg/mL) dilution.

Key facts

Host species

Rabbit

Clonality

Monoclonal

Clone number

EPR28534-165

Isotype

IgG

Carrier free

Yes

Reacts with

Mouse

Applications

ICC/IF, IHC-P, IHC-Fr

applications

Immunogen

The exact immunogen used to generate this antibody is proprietary information.

Reactivity data

{ "title": "Reactivity Data", "filters": { "stats": ["", "Species", "Dilution Info", "Notes"], "tabs": { "all-applications": {"fullname" : "All Applications", "shortname": "All Applications"}, "IHCP" : {"fullname" : "Immunohistochemistry (Formalin/PFA-fixed paraffin-embedded sections)", "shortname":"IHC-P"}, "ICCIF" : {"fullname" : "Immunocytochemistry/ Immunofluorescence", "shortname":"ICC/IF"}, "WB" : {"fullname" : "Western blot", "shortname":"WB"}, "IP" : {"fullname" : "Immunoprecipitation", "shortname":"IP"}, "FlowCyt" : {"fullname" : "Flow Cytometry", "shortname":"Flow Cyt"}, "IHCFr" : {"fullname" : "Immunohistochemistry (Frozen sections)", "shortname":"IHC-Fr"} }, "product-promise": { "all": "all", "testedAndGuaranteed": "tested", "guaranteed": "expected", "predicted": "predicted", "notRecommended": "not-recommended" } }, "values": { "Human": { "IHCP-species-checked": "notRecommended", "IHCP-species-dilution-info": "", "IHCP-species-notes": "<p></p>", "ICCIF-species-checked": "notRecommended", "ICCIF-species-dilution-info": "", "ICCIF-species-notes": "<p></p>", "WB-species-checked": "notRecommended", "WB-species-dilution-info": "", "WB-species-notes": "<p></p>", "IP-species-checked": "notRecommended", "IP-species-dilution-info": "", "IP-species-notes": "", "FlowCyt-species-checked": "notRecommended", "FlowCyt-species-dilution-info": "", "FlowCyt-species-notes": "<p></p>", "IHCFr-species-checked": "notRecommended", "IHCFr-species-dilution-info": "", "IHCFr-species-notes": "" }, "Mouse": { "IHCP-species-checked": "testedAndGuaranteed", "IHCP-species-dilution-info": "", "IHCP-species-notes": "<p></p>", "ICCIF-species-checked": "testedAndGuaranteed", "ICCIF-species-dilution-info": "", "ICCIF-species-notes": "<p></p>", "WB-species-checked": "notRecommended", "WB-species-dilution-info": "", "WB-species-notes": "<p></p>", "IP-species-checked": "notRecommended", "IP-species-dilution-info": "", "IP-species-notes": "<p></p>", "FlowCyt-species-checked": "notRecommended", "FlowCyt-species-dilution-info": "", "FlowCyt-species-notes": "<p></p>", "IHCFr-species-checked": "testedAndGuaranteed", "IHCFr-species-dilution-info": "", "IHCFr-species-notes": "<p></p>" }, "Rat": { "IHCP-species-checked": "notRecommended", "IHCP-species-dilution-info": "", "IHCP-species-notes": "<p></p>", "ICCIF-species-checked": "notRecommended", "ICCIF-species-dilution-info": "", "ICCIF-species-notes": "<p></p>", "WB-species-checked": "notRecommended", "WB-species-dilution-info": "", "WB-species-notes": "<p></p>", "IP-species-checked": "notRecommended", "IP-species-dilution-info": "", "IP-species-notes": "", "FlowCyt-species-checked": "notRecommended", "FlowCyt-species-dilution-info": "", "FlowCyt-species-notes": "<p></p>", "IHCFr-species-checked": "notRecommended", "IHCFr-species-dilution-info": "", "IHCFr-species-notes": "" }, "Transfected cell line - Mouse": { "IHCP-species-checked": "testedAndGuaranteed", "IHCP-species-dilution-info": "", "IHCP-species-notes": "<p></p>", "ICCIF-species-checked": "notRecommended", "ICCIF-species-dilution-info": "", "ICCIF-species-notes": "", "WB-species-checked": "notRecommended", "WB-species-dilution-info": "", "WB-species-notes": "", "IP-species-checked": "notRecommended", "IP-species-dilution-info": "", "IP-species-notes": "", "FlowCyt-species-checked": "notRecommended", "FlowCyt-species-dilution-info": "", "FlowCyt-species-notes": "", "IHCFr-species-checked": "notRecommended", "IHCFr-species-dilution-info": "", "IHCFr-species-notes": "" } } }

Product details

ab316323 is the carrirer-free version of ab316322.

Patented technology
Our RabMAb® technology is a patented hybridoma-based technology for making rabbit monoclonal antibodies. For details on our patents, please refer to RabMAb® patents.

What are the advantages of a recombinant monoclonal antibody?
This product is a recombinant monoclonal antibody, which offers several advantages including:

  • - High batch-to-batch consistency and reproducibility
  • - Improved sensitivity and specificity
  • - Long-term security of supply
  • - Animal-free batch production

For more information, read more on recombinant antibodies.

Conjugation ready
Our carrier-free antibodies are typically supplied in a PBS-only formulation, purified and free of BSA, sodium azide and glycerol. This conjugation-ready format is designed for use with fluorochromes, metal isotopes, oligonucleotides, and enzymes, which makes them ideal for antibody labelling, functional and cell-based assays, flow-based assays (e.g. mass cytometry) and Multiplex Imaging applications.

Use our conjugation kits for antibody conjugates that are ready-to-use in as little as 20 minutes with 1 minute hands-on-time and 100% antibody recovery: available for fluorescent dyes, HRP, biotin and gold.

Compatibility
This product is compatible with the Maxpar® Antibody Labeling Kit from Fluidigm, without the need for antibody preparation. Maxpar® is a trademark of Fluidigm Canada Inc.

Properties and storage information

Form
Liquid
Purification technique
Affinity purification Protein A
Storage buffer
pH: 7.2 - 7.4 Constituents: PBS
Shipped at conditions
Blue Ice
Appropriate short-term storage conditions
+4°C
Appropriate long-term storage conditions
+4°C

Supplementary information

This supplementary information is collated from multiple sources and compiled automatically.

VGLUT3 also known as Vesicular Glutamate Transporter 3 or SLC17A8 functions as a transporter responsible for loading the neurotransmitter glutamate into synaptic vesicles in neurons. It has a molecular mass of approximately 65 kDa. VGLUT3 expression occurs in specific regions of the central nervous system such as the hippocampus and striatum as well as in sensory regions like the cochlea. This transporter lacks the abundance compared to other VGLUTs making its presence more strategically targeted in its roles.
Biological function summary

VGLUT3 modulates neurotransmitter signaling by facilitating glutamate release in both excitatory and modulatory circuits. It operates not strictly as part of a homomeric complex but interacts closely with other synaptic proteins to regulate neurotransmission. VGLUT3 presence in serotonin and dopamine neurons indicates its role in modulating their transmission suggesting a diverse function beyond typical excitatory neurotransmitter release. This transporter's activity influences synaptic plasticity and firing patterns vital for maintaining neural circuit balance.

Pathways

VGLUT3 integrates into the glutamatergic transmission pathway and the modulation of dopaminergic and serotonergic pathways. It works alongside VGLUT1 and VGLUT2 though each has a different regional brain expression allowing diverse neurotransmitter interactions in neural signaling. The transporter interacts with synaptic machinery influencing pathways responsible for synaptic vesicle recycling and neurotransmitter homeostasis ensuring effective transmission functions in responsive neurons.

VGLUT3 influences conditions such as epilepsy and schizophrenia. Its dysfunction can lead to improper glutamate levels in the synaptic cleft disrupting neural excitability and causing conditions like seizures or altered neuropsychiatric states. VGLUT3 shares connections with transport proteins like SLC1A1 affecting glutamate transport across membranes. Understanding these associations aids in therapeutic target development where modulating VGLUT3 function could address glutamatergic dysregulation contributing to these disorders.

Product protocols

For this product, it's our understanding that no specific protocols are required. You can visit:

Target data

Multifunctional transporter that transports L-glutamate as well as multiple ions such as chloride, sodium and phosphate (PubMed : 12384506, PubMed : 18080752, PubMed : 18215623). At the synaptic vesicle membrane, mainly functions as an uniporter that mediates the uptake of L-glutamate into synaptic vesicles at presynaptic nerve terminals of excitatory neural cells (PubMed : 12384506, PubMed : 18080752, PubMed : 18215623). The L-glutamate uniporter activity is electrogenic and is driven by the proton electrochemical gradient, mainly by the electrical gradient established by the vacuolar H(+)-ATPase across the synaptic vesicle membrane (PubMed : 12384506). In addition, functions as a chloride channel that allows a chloride permeation through the synaptic vesicle membrane that affects the proton electrochemical gradient and promotes synaptic vesicles acidification (By similarity). At the plasma membrane, following exocytosis, functions as a symporter of Na(+) and phosphate from the extracellular space to the cytoplasm allowing synaptic phosphate homeostasis regulation (By similarity). The symporter activity is electrogenic (By similarity). Moreover, operates synergistically with SLC18A3/VACHT under a constant H(+) gradient, thereby allowing striatal vesicular acetylcholine uptake (PubMed : 18278042).
See full target information Slc17a8

Product promise

We are committed to supporting your work with high-quality reagents, and we're here for you every step of the way. In the unlikely event that one of our products does not perform as expected, you're protected by our Product Promise.
For full details, please see our Terms & Conditions

Please note: All products are 'FOR RESEARCH USE ONLY. NOT FOR USE IN DIAGNOSTIC OR THERAPEUTIC PROCEDURES'.

For licensing inquiries, please contact partnerships@abcam.com