JavaScript is disabled in your browser. Please enable JavaScript to view this website.
AB180141

Anti-VILIP1 antibody [EPR9832]

Be the first to review this product! Submit a review

|

(2 Publications)

Rabbit Recombinant Monoclonal VILIP1 antibody. Suitable for WB, Flow Cyt (Intra), IHC-P and reacts with Mouse, Rat, Human samples. Cited in 2 publications.

View Alternative Names

VISL1, VSNL1, Visinin-like protein 1, VILIP, VLP-1, Hippocalcin-like protein 3, HLP3

4 Images
Flow Cytometry (Intracellular) - Anti-VILIP1 antibody [EPR9832] (AB180141)
  • Flow Cyt (Intra)

Supplier Data

Flow Cytometry (Intracellular) - Anti-VILIP1 antibody [EPR9832] (AB180141)

Intracellular flow cytometric analysis of 2% paraformaldehyde fixedSH-SY5Y cells labeling VILIP1 with ab180141 at 1/50. Secondary antibody Goat anti rabbit IgG (FITC) at 1/75. Isotype control Rabbit IgG.

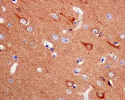
Immunohistochemistry (Formalin/PFA-fixed paraffin-embedded sections) - Anti-VILIP1 antibody [EPR9832] (AB180141)
  • IHC-P

Supplier Data

Immunohistochemistry (Formalin/PFA-fixed paraffin-embedded sections) - Anti-VILIP1 antibody [EPR9832] (AB180141)

Immunohistochemical analysis of paraffin-embedded Human brain tissue labeling VILIP1 with ab180141 at 1/500 dilution. Secondary antibody Goat anti rabbit IgG(HRP) prediluted. Counter stain Hematoxylin.

Perform heat mediated antigen retrieval with EDTA buffer pH 9 before commencing with IHC staining protocol.

Western blot - Anti-VILIP1 antibody [EPR9832] (AB180141)
  • WB

Supplier Data

Western blot - Anti-VILIP1 antibody [EPR9832] (AB180141)

Blocking buffer and concentration : 5% NFDM/TBST

All lanes:

Western blot - Anti-VILIP1 antibody [EPR9832] (ab180141) at 1/1000 dilution

All lanes:

Human cerebellum at 10 µg

Secondary

All lanes:

Western blot - Goat Anti-Rabbit IgG H&L (HRP) (<a href='/en-us/products/secondary-antibodies/goat-rabbit-igg-h-l-hrp-ab136636'>ab136636</a>) at 1/500 dilution

Predicted band size: 22 kDa

Observed band size: 18 kDa

false

Western blot - Anti-VILIP1 antibody [EPR9832] (AB180141)
  • WB

Supplier Data

Western blot - Anti-VILIP1 antibody [EPR9832] (AB180141)

Blocking buffer and concentration : 5% NFDM/TBST

All lanes:

Western blot - Anti-VILIP1 antibody [EPR9832] (ab180141) at 1/1000 dilution

Lane 1:

Mouse brain lysate

Lane 2:

Rat brain lysate

Secondary

All lanes:

Goat Anti-Rabbit IgG, (H+L), Peroxidase conjugated at 1/1000 dilution

Predicted band size: 22 kDa

Observed band size: 18 kDa

false

  • Carrier free

    Anti-VILIP1 antibody [EPR9832] - BSA and Azide free

Key facts

Host species

Rabbit

Clonality

Monoclonal

Clone number

EPR9832

Isotype

IgG

Carrier free

No

Reacts with

Mouse, Rat, Human

Applications

WB, IHC-P, Flow Cyt (Intra)

applications

Immunogen

The exact immunogen used to generate this antibody is proprietary information.

Reactivity data

{ "title": "Reactivity Data", "filters": { "stats": ["", "Species", "Dilution Info", "Notes"], "tabs": { "all-applications": {"fullname" : "All Applications", "shortname": "All Applications"}, "IP" : {"fullname" : "Immunoprecipitation", "shortname":"IP"}, "WB" : {"fullname" : "Western blot", "shortname":"WB"}, "FlowCytIntra" : {"fullname" : "Flow Cytometry (Intracellular)", "shortname":"Flow Cyt (Intra)"}, "IHCP" : {"fullname" : "Immunohistochemistry (Formalin/PFA-fixed paraffin-embedded sections)", "shortname":"IHC-P"} }, "product-promise": { "all": "all", "testedAndGuaranteed": "tested", "guaranteed": "expected", "predicted": "predicted", "notRecommended": "not-recommended" } }, "values": { "Human": { "IP-species-checked": "notRecommended", "IP-species-dilution-info": "1/60", "IP-species-notes": "<p></p>", "WB-species-checked": "testedAndGuaranteed", "WB-species-dilution-info": "1/1000", "WB-species-notes": "<p></p>", "FlowCytIntra-species-checked": "testedAndGuaranteed", "FlowCytIntra-species-dilution-info": "1/50", "FlowCytIntra-species-notes": "<p><a href='/en-us/products/primary-antibodies/rabbit-igg-monoclonal-epr25a-isotype-control-ab172730'>ab172730</a> - Rabbit monoclonal IgG, is suitable for use as an isotype control with this antibody.</p>", "IHCP-species-checked": "testedAndGuaranteed", "IHCP-species-dilution-info": "1/250 - 1/500", "IHCP-species-notes": "<p></p> Perform heat-mediated antigen retrieval with Tris/EDTA buffer pH 9.0 before commencing with IHC staining protocol." }, "Mouse": { "IP-species-checked": "notRecommended", "IP-species-dilution-info": "", "IP-species-notes": "", "WB-species-checked": "testedAndGuaranteed", "WB-species-dilution-info": "1/1000", "WB-species-notes": "<p></p>", "FlowCytIntra-species-checked": "guaranteed", "FlowCytIntra-species-dilution-info": "", "FlowCytIntra-species-notes": "", "IHCP-species-checked": "guaranteed", "IHCP-species-dilution-info": "", "IHCP-species-notes": "" }, "Rat": { "IP-species-checked": "notRecommended", "IP-species-dilution-info": "", "IP-species-notes": "", "WB-species-checked": "testedAndGuaranteed", "WB-species-dilution-info": "1/1000", "WB-species-notes": "<p></p>", "FlowCytIntra-species-checked": "guaranteed", "FlowCytIntra-species-dilution-info": "", "FlowCytIntra-species-notes": "", "IHCP-species-checked": "guaranteed", "IHCP-species-dilution-info": "", "IHCP-species-notes": "" } } }

Product details

Patented technology
Our RabMAb® technology is a patented hybridoma-based technology for making rabbit monoclonal antibodies. For details on our patents, please refer to RabMAb® patents.

What are the advantages of a recombinant monoclonal antibody?
This product is a recombinant monoclonal antibody, which offers several advantages including:

  • - High batch-to-batch consistency and reproducibility
  • - Improved sensitivity and specificity
  • - Long-term security of supply
  • - Animal-free batch production

For more information, read more on recombinant antibodies.

Properties and storage information

Form
Liquid
Purification technique
Affinity purification Protein A
Storage buffer
Preservative: 0.01% Sodium azide Constituents: PBS, 40% Glycerol (glycerin, glycerine), 0.05% BSA
Shipped at conditions
Blue Ice
Appropriate short-term storage duration
1-2 weeks
Appropriate short-term storage conditions
+4°C
Appropriate long-term storage conditions
-20°C
Aliquoting information
Upon delivery aliquot
Storage information
Avoid freeze / thaw cycle

Supplementary information

This supplementary information is collated from multiple sources and compiled automatically.

Visinin-like protein 1 commonly abbreviated as VILIP1 is a neuronal calcium sensor protein. It has a mass of about 22 kDa and consists of four EF-hand motifs that bind calcium ions. VILIP1 is primarily expressed in the central nervous system including regions such as the hippocampus and cerebral cortex. This protein interacts with membranes and other intracellular molecular targets in response to changes in calcium levels influencing cellular activities associated with calcium signaling.
Biological function summary

Visinin-like protein 1 modulates various physiological processes within neurons. It regulates signal transduction pathways by mediating calcium-dependent interactions with other proteins. VILIP1 may be part of complexes with other signaling proteins that participate in neurotransmitter release and synaptic plasticity. Its ability to modulate the phosphorylation status of its binding partners can influence neuronal excitability and synaptic communication.

Pathways

Various studies highlight how visinin-like protein 1 participates in critical signaling modules. This protein contributes to the regulation of the cAMP signaling pathway where it can affect the activation of adenylate cyclase. Moreover VILIP1 interacts with signaling pathways related to nicotinic acetylcholine receptors affecting the transmission of nerve impulses. It influences the dynamics between calcium signaling and cAMP affecting processes like learning and memory.

Visinin-like protein 1 relates significantly to neurodegenerative diseases. Research findings associate elevated VILIP1 levels with Alzheimer's disease where it can serve as a biomarker for disease progression. Furthermore it connects to Parkinson's disease given its role in neuronal calcium homeostasis a critical factor in disease pathology. In Alzheimer's disease VILIP1 levels can correlate with beta-amyloid plaque development and tau protein phosphorylation.

Product protocols

For this product, it's our understanding that no specific protocols are required. You can visit:

Target data

Regulates (in vitro) the inhibition of rhodopsin phosphorylation in a calcium-dependent manner.
See full target information VSNL1

Publications (2)

Recent publications for all applications. Explore the full list and refine your search

Neural regeneration research 19:863-871 PubMed37843222

2023

regulates neurogenesis and reduces Alzheimer's disease-associated pathology in the dentate gyrus of 5×FAD mice.

Applications

Unspecified application

Species

Unspecified reactive species

Chenlu Zhu,Xiao Ren,Chen Liu,Yawei Liu,Yonggang Wang

Experimental and therapeutic medicine 26:503 PubMed37822583

2023

Downregulation of lncRNA SATB2‑AS1 facilitates glioma cell proliferation by sponging miR‑671‑5p.

Applications

Unspecified application

Species

Unspecified reactive species

Jia Gu,Yongqing Ye,Rauniyar Sunil,Wenjian Zhan,Rutong Yu
View all publications

Product promise

We are committed to supporting your work with high-quality reagents, and we're here for you every step of the way. In the unlikely event that one of our products does not perform as expected, you're protected by our Product Promise.
For full details, please see our Terms & Conditions

Please note: All products are 'FOR RESEARCH USE ONLY. NOT FOR USE IN DIAGNOSTIC OR THERAPEUTIC PROCEDURES'.

For licensing inquiries, please contact partnerships@abcam.com