JavaScript is disabled in your browser. Please enable JavaScript to view this website.
AB188106

Anti-VILIP1 antibody [EPR9833] - BSA and Azide free

Be the first to review this product! Submit a review

|

(0 Publication)

Rabbit Recombinant Monoclonal VILIP1 antibody. Carrier free. Suitable for IHC-P, WB and reacts with Human samples.

View Alternative Names

VISL1, VSNL1, Visinin-like protein 1, VILIP, VLP-1, Hippocalcin-like protein 3, HLP3

7 Images
Western blot - Anti-VILIP1 antibody [EPR9833] - BSA and Azide free (AB188106)
  • WB

Unknown

Western blot - Anti-VILIP1 antibody [EPR9833] - BSA and Azide free (AB188106)

This data was developed using ab151741, the same antibody clone in a different buffer formulation.

All lanes:

Western blot - Anti-VILIP1 antibody [EPR9833] (<a href='/en-us/products/primary-antibodies/vilip1-antibody-epr9833-ab151741'>ab151741</a>) at 1/1000 dilution

Lane 1:

Human fetal brain lysate at 10 µg

Lane 2:

Human cerebellum lysate at 10 µg

Secondary

All lanes:

Goat anti-rabbit HRP at 1/2000 dilution

Predicted band size: 22 kDa

false

Immunohistochemistry (Formalin/PFA-fixed paraffin-embedded sections) - Anti-VILIP1 antibody [EPR9833] - BSA and Azide free (AB188106)
  • IHC-P

Unknown

Immunohistochemistry (Formalin/PFA-fixed paraffin-embedded sections) - Anti-VILIP1 antibody [EPR9833] - BSA and Azide free (AB188106)

This data was developed using ab151741, the same antibody clone in a different buffer formulation.

Immunohistochemical analysis of paraffin-embedded Human brain tissue labeling VILIP1 with ab151741 at 1/100 diluton.

Perform heat mediated antigen retrieval before commencing with IHC staining protocol.

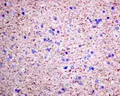
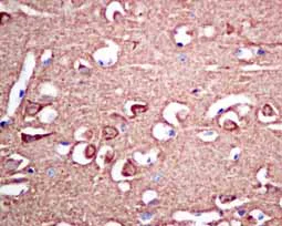
Immunohistochemistry (Formalin/PFA-fixed paraffin-embedded sections) - Anti-VILIP1 antibody [EPR9833] - BSA and Azide free (AB188106)
  • IHC-P

Unknown

Immunohistochemistry (Formalin/PFA-fixed paraffin-embedded sections) - Anti-VILIP1 antibody [EPR9833] - BSA and Azide free (AB188106)

This data was developed using ab151741, the same antibody clone in a different buffer formulation.

Immunohistochemical analysis of paraffin-embedded Human glioma tissue labeling VILIP1 with ab151741 at 1/100 dilution.

Perform heat mediated antigen retrieval before commencing with IHC staining protocol.

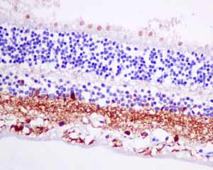
Immunohistochemistry (Formalin/PFA-fixed paraffin-embedded sections) - Anti-VILIP1 antibody [EPR9833] - BSA and Azide free (AB188106)
  • IHC-P

Unknown

Immunohistochemistry (Formalin/PFA-fixed paraffin-embedded sections) - Anti-VILIP1 antibody [EPR9833] - BSA and Azide free (AB188106)

This data was developed using ab151741, the same antibody clone in a different buffer formulation.

Immunohistochemical analysis of paraffin embedded Human Retina tissue using ab151741 showing +ve staining.

Perform heat mediated antigen retrieval before commencing with IHC staining protocol.

Immunohistochemistry (Formalin/PFA-fixed paraffin-embedded sections) - Anti-VILIP1 antibody [EPR9833] - BSA and Azide free (AB188106)
  • IHC-P

Unknown

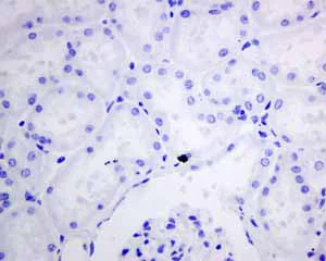
Immunohistochemistry (Formalin/PFA-fixed paraffin-embedded sections) - Anti-VILIP1 antibody [EPR9833] - BSA and Azide free (AB188106)

This data was developed using ab151741, the same antibody clone in a different buffer formulation.

Immunohistochemical analysis of paraffin embedded normal Human kidney tissue using ab151741 showing -ve staining.

Perform heat mediated antigen retrieval before commencing with IHC staining protocol.

Immunohistochemistry (Formalin/PFA-fixed paraffin-embedded sections) - Anti-VILIP1 antibody [EPR9833] - BSA and Azide free (AB188106)
  • IHC-P

Unknown

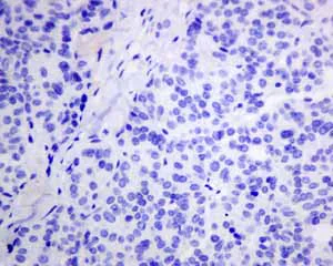
Immunohistochemistry (Formalin/PFA-fixed paraffin-embedded sections) - Anti-VILIP1 antibody [EPR9833] - BSA and Azide free (AB188106)

This data was developed using ab151741, the same antibody clone in a different buffer formulation.

Immunohistochemical analysis of paraffin embedded Human Thyroid gland carcinoma tissue using ab151741 showing -ve staining.

Perform heat mediated antigen retrieval before commencing with IHC staining protocol.

Immunohistochemistry (Formalin/PFA-fixed paraffin-embedded sections) - Anti-VILIP1 antibody [EPR9833] - BSA and Azide free (AB188106)
  • IHC-P

Unknown

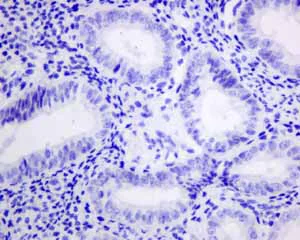
Immunohistochemistry (Formalin/PFA-fixed paraffin-embedded sections) - Anti-VILIP1 antibody [EPR9833] - BSA and Azide free (AB188106)

This data was developed using ab151741, the same antibody clone in a different buffer formulation.

Immunohistochemical analysis of paraffin embedded normal Human uterus tissue using ab151741 showing -ve staining.

Perform heat mediated antigen retrieval before commencing with IHC staining protocol.

Key facts

Host species

Rabbit

Clonality

Monoclonal

Clone number

EPR9833

Isotype

IgG

Carrier free

Yes

Reacts with

Human

Applications

WB, IHC-P

applications

Immunogen

The exact immunogen used to generate this antibody is proprietary information.

Reactivity data

{ "title": "Reactivity Data", "filters": { "stats": ["", "Species", "Dilution Info", "Notes"], "tabs": { "all-applications": {"fullname" : "All Applications", "shortname": "All Applications"}, "IHCP" : {"fullname" : "Immunohistochemistry (Formalin/PFA-fixed paraffin-embedded sections)", "shortname":"IHC-P"}, "IP" : {"fullname" : "Immunoprecipitation", "shortname":"IP"}, "WB" : {"fullname" : "Western blot", "shortname":"WB"}, "ICCIF" : {"fullname" : "Immunocytochemistry/ Immunofluorescence", "shortname":"ICC/IF"} }, "product-promise": { "all": "all", "testedAndGuaranteed": "tested", "guaranteed": "expected", "predicted": "predicted", "notRecommended": "not-recommended" } }, "values": { "Human": { "IHCP-species-checked": "testedAndGuaranteed", "IHCP-species-dilution-info": "", "IHCP-species-notes": "<p></p>", "IP-species-checked": "notRecommended", "IP-species-dilution-info": "", "IP-species-notes": "<p></p>", "WB-species-checked": "testedAndGuaranteed", "WB-species-dilution-info": "", "WB-species-notes": "<p></p>", "ICCIF-species-checked": "notRecommended", "ICCIF-species-dilution-info": "", "ICCIF-species-notes": "<p></p>" }, "Mouse": { "IHCP-species-checked": "predicted", "IHCP-species-dilution-info": "", "IHCP-species-notes": "", "IP-species-checked": "notRecommended", "IP-species-dilution-info": "", "IP-species-notes": "", "WB-species-checked": "predicted", "WB-species-dilution-info": "", "WB-species-notes": "", "ICCIF-species-checked": "notRecommended", "ICCIF-species-dilution-info": "", "ICCIF-species-notes": "" }, "Rat": { "IHCP-species-checked": "predicted", "IHCP-species-dilution-info": "", "IHCP-species-notes": "", "IP-species-checked": "notRecommended", "IP-species-dilution-info": "", "IP-species-notes": "", "WB-species-checked": "predicted", "WB-species-dilution-info": "", "WB-species-notes": "", "ICCIF-species-checked": "notRecommended", "ICCIF-species-dilution-info": "", "ICCIF-species-notes": "" } } }

You may be interested in:

AB300310

VILIP1 ELISA Kit

0

0 Reviews

View product

We recommend this product because it’s often used in the same experiment or related research.

We advise that you always check the datasheet to ensure it fits your experiments, or contact ourtechnical teamfor help.

Product details

Properties and storage information

Form
Liquid
Purification technique
Affinity purification Protein A
Storage buffer
pH: 7.2 - 7.4 Constituents: PBS
Shipped at conditions
Blue Ice
Appropriate short-term storage conditions
+4°C
Appropriate long-term storage conditions
+4°C
Storage information
Do Not Freeze

Supplementary information

This supplementary information is collated from multiple sources and compiled automatically.

Visinin-like protein 1 commonly abbreviated as VILIP1 is a neuronal calcium sensor protein. It has a mass of about 22 kDa and consists of four EF-hand motifs that bind calcium ions. VILIP1 is primarily expressed in the central nervous system including regions such as the hippocampus and cerebral cortex. This protein interacts with membranes and other intracellular molecular targets in response to changes in calcium levels influencing cellular activities associated with calcium signaling.
Biological function summary

Visinin-like protein 1 modulates various physiological processes within neurons. It regulates signal transduction pathways by mediating calcium-dependent interactions with other proteins. VILIP1 may be part of complexes with other signaling proteins that participate in neurotransmitter release and synaptic plasticity. Its ability to modulate the phosphorylation status of its binding partners can influence neuronal excitability and synaptic communication.

Pathways

Various studies highlight how visinin-like protein 1 participates in critical signaling modules. This protein contributes to the regulation of the cAMP signaling pathway where it can affect the activation of adenylate cyclase. Moreover VILIP1 interacts with signaling pathways related to nicotinic acetylcholine receptors affecting the transmission of nerve impulses. It influences the dynamics between calcium signaling and cAMP affecting processes like learning and memory.

Visinin-like protein 1 relates significantly to neurodegenerative diseases. Research findings associate elevated VILIP1 levels with Alzheimer's disease where it can serve as a biomarker for disease progression. Furthermore it connects to Parkinson's disease given its role in neuronal calcium homeostasis a critical factor in disease pathology. In Alzheimer's disease VILIP1 levels can correlate with beta-amyloid plaque development and tau protein phosphorylation.

Product protocols

For this product, it's our understanding that no specific protocols are required. You can visit:

Target data

Regulates (in vitro) the inhibition of rhodopsin phosphorylation in a calcium-dependent manner.
See full target information VSNL1

Product promise

We are committed to supporting your work with high-quality reagents, and we're here for you every step of the way. In the unlikely event that one of our products does not perform as expected, you're protected by our Product Promise.
For full details, please see our Terms & Conditions

Please note: All products are 'FOR RESEARCH USE ONLY. NOT FOR USE IN DIAGNOSTIC OR THERAPEUTIC PROCEDURES'.

For licensing inquiries, please contact partnerships@abcam.com