JavaScript is disabled in your browser. Please enable JavaScript to view this website.
AB130751

Anti-Villin antibody [SP145]

  • BOND RX™ Validated
  • 20ul selling size
  • RabMAb
  • Advanced Validation
  • Recombinant
  • What is this?

5

(5 Reviews)

|

(55 Publications)

Anti-Villin antibody [SP145] (ab130751) is a rabbit monoclonal antibody detecting Villin in Western Blot, Flow Cytometry (Intra), Flow Cytometry, IP, IHC-P, mIHC. Suitable for Human.

- Multiplex IHC validated on the Leica BOND® MAX using Opal reagents
- Biophysical QC for unrivalled batch-batch consistency
- Over 40 publications

View Alternative Names

VIL, VIL1, Villin-1

6 Images
Flow Cytometry (Intracellular) - Anti-Villin antibody [SP145] (AB130751)
  • Flow Cyt (Intra)

Lab

Flow Cytometry (Intracellular) - Anti-Villin antibody [SP145] (AB130751)

Overlay histogram showing Caco 2 cells stained with ab130751 (red line). The cells were fixed with 80% methanol (5 min) and then permeabilized with 0.1% PBS-Tween for 20 min. The cells were then incubated in 1x PBS / 10% normal goat serum / 0.3M glycine to block non-specific protein-protein interactions followed by the antibody (ab130751 1/100 dilution) for 30 min at 22°C. The secondary antibody used was Alexa Fluor® 488 goat anti-rabbit IgG (H&L) (ab150077) at 1/2000 dilution for 30 min at 22°C. Isotype control antibody (black line) was rabbit IgG (monoclonal) (1μg/1x106 cells) used under the same conditions. Unlabelled sample (blue line) was also used as a control. Acquisition of >5000 events were collected using a 20mW Argon ion laser (488nm) and 525/30 bandpass filter.

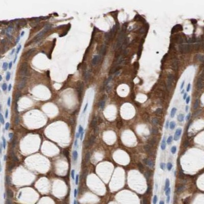
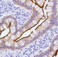
Immunohistochemistry (Formalin/PFA-fixed paraffin-embedded sections) - Anti-Villin antibody [SP145] (AB130751)
  • IHC-P

Unknown

Immunohistochemistry (Formalin/PFA-fixed paraffin-embedded sections) - Anti-Villin antibody [SP145] (AB130751)

ab130751 at 1/100 dilution staining Villin in formalin-fixed paraffin-embedded Human colon tissue by Immunohistochemistry.

Multiplex immunohistochemistry - Anti-Villin antibody [SP145] (AB130751)
  • mIHC

Lab

Multiplex immunohistochemistry - Anti-Villin antibody [SP145] (AB130751)

Fluorescence multiplex immunohistochemical analysis of the human colon (Formalin/PFA-fixed paraffin-embedded sections). Panel A : merged staining of anti-Villin (ab245749, gray; Opal™690), anti-liver FABP (ab240401, green; Opal™520) and anti-MUC2 (ab272692, red; Opal™570) on human colon. Panel B : anti-liver FABP stained on enterocytes. Panel C : anti-Villin stained on apical border. Panel D : anti-MUC2 stained on goblet cells. Rabbit specific IHC polymer detection kit HRP/DAB (ab209101) was used as a secondary antibody. The immunostaining was performed on a Leica Biosystems BOND® RX instrument with an Opal™ 4-color kit. The section was incubated in three rounds of staining : in the order of ab245749 (1/1000 dilution), ab240401 (1/8000 dilution), and ab272692 (1/5000 dilution) for 30 mins at room temperature. Each round was followed by a separate fluorescent tyramide signal amplification system. Heat mediated antigen retrieval with Tris-EDTA buffer (pH 9.0, epitope retrieval solution2) for 20 mins. DAPI (blue) was used as a nuclear counter stain. Image acquisition was performed with Leica SP8 confocal microscope.

Flow Cytometry (Intracellular) - Anti-Villin antibody [SP145] (AB130751)
  • Flow Cyt (Intra)

Lab

Flow Cytometry (Intracellular) - Anti-Villin antibody [SP145] (AB130751)

Flow cytometry overlay histogram showing left HT-29 positive cells and right negative PANC-1 stained with ab130751 (red line). The cells were fixed with 80% methanol (5 min) and then permeabilised with 0.1% PBS-Triton X-100 for 15 min. The cells were then incubated in 1x PBS containing 10% normal goat serum to block non-specific protein-protein interaction followed by the antibody (ab130751) (1x 106 in 100μl at 0.2μg/ml (1/11200)) for 30min at 22°C.

The secondary antibody Goat Anti-Rabbit IgG H&L (Alexa Fluor® 488) preadsorbed was incubated at 1/4000 for 30min at 22°C

Isotype control antibody (black line) was Recombinant Rabbit IgG, monoclonal [EPR25A] - Isotype Control used at the same concentration and conditions as the primary antibody. Unlabelled sample (blue line) was also used as a control.

Acquisition of >5000 events were collected using a 50 mW Blue laser (488nm) and 525/40 bandpass filter.

This antibody gave a positive signal in HT-29 Fixed with 4% formaldehyde (10 min) / permeabilised with 0.1% PBS-Triton X-100 for 15 min under the same conditions.

Immunoprecipitation - Anti-Villin antibody [SP145] (AB130751)
  • IP

Lab

Immunoprecipitation - Anti-Villin antibody [SP145] (AB130751)

Villin was immunoprecipitated using 0.5mg SW480 whole cell extract, 5μg of Rabbit polyclonal to Villin and 50μl of protein G magnetic beads (+). No antibody was added to the control (-).

The antibody was incubated under agitation with Protein G beads for 10min, SW480 whole cell extract lysate diluted in RIPA buffer was added to each sample and incubated for a further 10min under agitation.

Proteins were eluted by addition of 40μl SDS loading buffer and incubated for 10min at 70°C; 10μl of each sample was separated on a SDS PAGE gel, transferred to a nitrocellulose membrane, blocked with 5% BSA and probed with ab130751.

Secondary : Mouse monoclonal [SB62a] Secondary Antibody to Rabbit IgG light chain (HRP) (ab99697).

Band : 93kDa; Villin

All lanes:

Immunoprecipitation - Anti-Villin antibody [SP145] (ab130751)

Predicted band size: 93 kDa

true

Exposure time: 16min

Western blot - Anti-Villin antibody [SP145] (AB130751)
  • WB

Unknown

Western blot - Anti-Villin antibody [SP145] (AB130751)

All lanes:

Western blot - Anti-Villin antibody [SP145] (ab130751) at 1/100 dilution

All lanes:

HT-29 cell lysate

Predicted band size: 93 kDa

false

Key facts

Host species

Rabbit

Clonality

Monoclonal

Clone number

SP145

Isotype

IgG

Carrier free

No

Reacts with

Human

Applications

Flow Cyt (Intra), mIHC, WB, IHC-P, IP

applications

Immunogen

The exact immunogen used to generate this antibody is proprietary information.

Reactivity data

{ "title": "Reactivity Data", "filters": { "stats": ["", "Species", "Dilution Info", "Notes"], "tabs": { "all-applications": {"fullname" : "All Applications", "shortname": "All Applications"}, "mIHC" : {"fullname" : "Multiplex immunohistochemistry", "shortname":"mIHC"}, "IHCP" : {"fullname" : "Immunohistochemistry (Formalin/PFA-fixed paraffin-embedded sections)", "shortname":"IHC-P"}, "IP" : {"fullname" : "Immunoprecipitation", "shortname":"IP"}, "FlowCytIntra" : {"fullname" : "Flow Cytometry (Intracellular)", "shortname":"Flow Cyt (Intra)"}, "WB" : {"fullname" : "Western blot", "shortname":"WB"} }, "product-promise": { "all": "all", "testedAndGuaranteed": "tested", "guaranteed": "expected", "predicted": "predicted", "notRecommended": "not-recommended" } }, "values": { "Human": { "mIHC-species-checked": "testedAndGuaranteed", "mIHC-species-dilution-info": "", "mIHC-species-notes": "<p></p>", "IHCP-species-checked": "testedAndGuaranteed", "IHCP-species-dilution-info": "1/100", "IHCP-species-notes": "<p>Primary incubation for 10 minutes at room temperature.</p> Perform heat-mediated antigen retrieval with citrate buffer pH 6 before commencing with IHC staining protocol.", "IP-species-checked": "testedAndGuaranteed", "IP-species-dilution-info": "5 µg/mL", "IP-species-notes": "<p></p>", "FlowCytIntra-species-checked": "testedAndGuaranteed", "FlowCytIntra-species-dilution-info": "1/100", "FlowCytIntra-species-notes": "<p><a href='/en-us/products/primary-antibodies/rabbit-igg-monoclonal-epr25a-isotype-control-ab172730'>ab172730</a> - Rabbit monoclonal IgG, is suitable for use as an isotype control with this antibody.</p>", "WB-species-checked": "testedAndGuaranteed", "WB-species-dilution-info": "1/100", "WB-species-notes": "<p>Incubate for 1 hour at room temperature.</p>" }, "Mouse": { "mIHC-species-checked": "predicted", "mIHC-species-dilution-info": "", "mIHC-species-notes": "", "IHCP-species-checked": "predicted", "IHCP-species-dilution-info": "", "IHCP-species-notes": "", "IP-species-checked": "predicted", "IP-species-dilution-info": "", "IP-species-notes": "", "FlowCytIntra-species-checked": "predicted", "FlowCytIntra-species-dilution-info": "", "FlowCytIntra-species-notes": "", "WB-species-checked": "predicted", "WB-species-dilution-info": "", "WB-species-notes": "" }, "Chicken": { "mIHC-species-checked": "predicted", "mIHC-species-dilution-info": "", "mIHC-species-notes": "", "IHCP-species-checked": "predicted", "IHCP-species-dilution-info": "", "IHCP-species-notes": "", "IP-species-checked": "predicted", "IP-species-dilution-info": "", "IP-species-notes": "", "FlowCytIntra-species-checked": "predicted", "FlowCytIntra-species-dilution-info": "", "FlowCytIntra-species-notes": "", "WB-species-checked": "predicted", "WB-species-dilution-info": "", "WB-species-notes": "" }, "Cow": { "mIHC-species-checked": "predicted", "mIHC-species-dilution-info": "", "mIHC-species-notes": "", "IHCP-species-checked": "predicted", "IHCP-species-dilution-info": "", "IHCP-species-notes": "", "IP-species-checked": "predicted", "IP-species-dilution-info": "", "IP-species-notes": "", "FlowCytIntra-species-checked": "predicted", "FlowCytIntra-species-dilution-info": "", "FlowCytIntra-species-notes": "", "WB-species-checked": "predicted", "WB-species-dilution-info": "", "WB-species-notes": "" }, "Pig": { "mIHC-species-checked": "predicted", "mIHC-species-dilution-info": "", "mIHC-species-notes": "", "IHCP-species-checked": "predicted", "IHCP-species-dilution-info": "", "IHCP-species-notes": "", "IP-species-checked": "predicted", "IP-species-dilution-info": "", "IP-species-notes": "", "FlowCytIntra-species-checked": "predicted", "FlowCytIntra-species-dilution-info": "", "FlowCytIntra-species-notes": "", "WB-species-checked": "predicted", "WB-species-dilution-info": "", "WB-species-notes": "" } } }

Product details

What is this antibody validated in?
Anti-Villin antibody [SP145] (ab130751) is a rabbit recombinant monoclonal antibody and is validated for use in Western Blot (WB), Flow Cytometry (Intra), Flow Cytometry (Flow Cyt), Immunoprecipitation (IP), Immunohistochemistry (IHC-P), Multiplex IHC (mIHC) in Human samples.

What is the molecular weight of Villin?
Anti-Villin [SP145] (ab130751) specifically detects a band for Villin (UniProt: P09327) at a molecular weight of 93kDa.

Collaboration
Anti-Villin [SP145] (ab130751) is a clone from the portfolio of Spring Bioscience (Roche) SP clones which have been optimised for immunohistochemistry (IHC).

Trusted by the scientific community
Anti-Villin [SP145] (ab130751) was first used in a scientific publication in 2012 and has been cited over 40 times in peer-reviewed journals.

Trial sizes available!
Test your antibody or perform pre-screening before committing to a larger quantity. Sold in 10µl. Discover our selection of trial-size antibodies.

Other related products
We have a range of other formats of antibody clone [SP145] also available for your convenience: ab130751, Carrier free - ab245749, Alexa Fluor® 488 - ab270921, Alexa Fluor® 647 - ab270922, ab279636, APC - ab319336, PE - ab319472, Alexa Fluor® 594 - ab319829, Alexa Fluor® 555 - ab319970, Alexa Fluor® 750 - ab321039

What are the advantages of a recombinant monoclonal antibody?
This product is a recombinant monoclonal antibody, which offers several advantages including:

  • - High batch-to-batch consistency and reproducibility
  • - Improved sensitivity and specificity
  • - Long-term security of supply
  • - Animal-free batch production

For more information, read more on recombinant antibodies.

Properties and storage information

Form
Liquid
Purification technique
Affinity purification Protein A/G
Purification notes
Purified from TCS by protein A/G.
Storage buffer
pH: 7.6 Preservative: 0.1% Sodium azide Constituents: PBS, 1% BSA
Shipped at conditions
Blue Ice
Appropriate short-term storage conditions
+4°C
Appropriate long-term storage conditions
+4°C
Storage information
Do Not Freeze

Product protocols

For this product, it's our understanding that no specific protocols are required. You can visit:

Target data

Epithelial cell-specific Ca(2+)-regulated actin-modifying protein that modulates the reorganization of microvillar actin filaments. Plays a role in the actin nucleation, actin filament bundle assembly, actin filament capping and severing. Binds phosphatidylinositol 4,5-bisphosphate (PIP2) and lysophosphatidic acid (LPA); binds LPA with higher affinity than PIP2. Binding to LPA increases its phosphorylation by SRC and inhibits all actin-modifying activities. Binding to PIP2 inhibits actin-capping and -severing activities but enhances actin-bundling activity. Regulates the intestinal epithelial cell morphology, cell invasion, cell migration and apoptosis. Protects against apoptosis induced by dextran sodium sulfate (DSS) in the gastrointestinal epithelium. Appears to regulate cell death by maintaining mitochondrial integrity. Enhances hepatocyte growth factor (HGF)-induced epithelial cell motility, chemotaxis and wound repair. Upon S.flexneri cell infection, its actin-severing activity enhances actin-based motility of the bacteria and plays a role during the dissemination.
See full target information VIL1

Publications (55)

Recent publications for all applications. Explore the full list and refine your search

Bioengineering (Basel, Switzerland) 12: PubMed40868322

2025

Human Small Intestinal Tissue Models to Assess Barrier Permeability: Comparative Analysis of Caco-2 Cells, Jejunal and Duodenal Enteroid-Derived Cells, and EpiIntestinal Tissues in Membrane-Based Cultures with and Without Flow.

Applications

Unspecified application

Species

Unspecified reactive species

Haley L Moyer,Leoncio Vergara,Clifford Stephan,Courtney Sakolish,Hsing-Chieh Lin,Weihsueh A Chiu,Remi Villenave,Philip Hewitt,Stephen S Ferguson,Ivan Rusyn

Frontiers in medicine 12:1556611 PubMed40495972

2025

Hsa_circ_0020095 modulates chemoresistance of CRC in a PDO model.

Applications

Unspecified application

Species

Unspecified reactive species

Xinyu Li,Tao Li,Yan Zhao,Junqi Shan,Yang Gao,Changchun Zhou,Yanlai Sun

Communications biology 7:1318 PubMed39397107

2024

ARL13B controls male reproductive tract physiology through primary and Motile Cilia.

Applications

Unspecified application

Species

Unspecified reactive species

Céline Augière,Gabriel Campolina-Silva,Aaran Vijayakumaran,Odara Medagedara,Camille Lavoie-Ouellet,Charles Joly Beauparlant,Arnaud Droit,Ferran Barrachina,Kiera Ottino,Maria Agustina Battistone,Kedar Narayan,Rex Hess,Vito Mennella,Clémence Belleannée

Andrology 13:894-910 PubMed39212979

2024

Human efferent ductules and epididymis display unique cell lineages with motile and primary cilia.

Applications

Unspecified application

Species

Unspecified reactive species

Ludovic Vinay,Rex A Hess,Clémence Belleannée

Virulence 15:2384553 PubMed39080852

2024

promotes activation of intestinal ILC3 through TLR2 receptor and inhibits infection in mice.

Applications

Unspecified application

Species

Unspecified reactive species

Junhong Wang,Ming Gao,Jiarui Wang,Yan Zeng,Chunfeng Wang,Xin Cao

Cellular and molecular gastroenterology and hepatology 17:745-767 PubMed38309455

2024

Gut Bacteria-derived Membrane Vesicles Induce Colonic Dysplasia by Inducing DNA Damage in Colon Epithelial Cells.

Applications

Unspecified application

Species

Unspecified reactive species

Yu Miyakawa,Motoyuki Otsuka,Chikako Shibata,Takahiro Seimiya,Keisuke Yamamoto,Rei Ishibashi,Takahiro Kishikawa,Eri Tanaka,Takayuki Isagawa,Norihiko Takeda,Noriaki Kamio,Kenichi Imai,Mitsuhiro Fujishiro

Poultry science 102:102864 PubMed37517361

2023

Establishment and characterization of an SV40 immortalized chicken intestinal epithelial cell line.

Applications

Unspecified application

Species

Unspecified reactive species

Federico Ghiselli,Martina Felici,Andrea Piva,Ester Grilli

Emerging microbes & infections 12:2239937 PubMed37483148

2023

Infection of porcine enteroids and 2D differentiated intestinal epithelial cells with rotavirus A to study cell tropism and polarized immune response.

Applications

Unspecified application

Species

Unspecified reactive species

Miaomiao Yan,Ang Su,Suvarin Pavasutthipaisit,Rebecca Spriewald,Guntram A Graßl,Andreas Beineke,Doris Hoeltig,Georg Herrler,Paul Becher

Cancer medicine 12:3931-3951 PubMed36779496

2023

Molecular genetic and clinical characteristic analysis of primary signet ring cell carcinoma of urinary bladder identified by a novel OR2L5 mutation.

Applications

Unspecified application

Species

Unspecified reactive species

Mohammed Alradhi,Shuang Wen,Mohammed Safi,Abdullah Al-Danakh,Honglong Wang,Abdullah Shopit,Min Sun,Bo Fan,Xiancheng Li

Nutrients 15: PubMed36615722

2022

Sex Differences of Radiation Damage in High-Fat-Diet-Fed Mice and the Regulatory Effect of Melatonin.

Applications

Unspecified application

Species

Unspecified reactive species

Jingming Ren,Tong Yuan,Hang Li,Xin Wu,Junling Zhang,Deguan Li,Lu Lu,Saijun Fan
View all publications

Product promise

We are committed to supporting your work with high-quality reagents, and we're here for you every step of the way. In the unlikely event that one of our products does not perform as expected, you're protected by our Product Promise.
For full details, please see our Terms & Conditions

Please note: All products are 'FOR RESEARCH USE ONLY. NOT FOR USE IN DIAGNOSTIC OR THERAPEUTIC PROCEDURES'.

For licensing inquiries, please contact partnerships@abcam.com