JavaScript is disabled in your browser. Please enable JavaScript to view this website.
AB245749

Anti-Villin antibody [SP145] - BSA and Azide free

  • BOND RX™ Validated
  • RabMAb
  • Advanced Validation
  • Recombinant
  • What is this?

Be the first to review this product! Submit a review

|

(1 Publication)

Rabbit Recombinant Monoclonal Villin antibody. Carrier free. Suitable for mIHC, IHC-P, IP, WB, Flow Cyt (Intra) and reacts with Human samples. Cited in 1 publication.

View Alternative Names

VIL, VIL1, Villin-1

6 Images
Flow Cytometry (Intracellular) - Anti-Villin antibody [SP145] - BSA and Azide free (AB245749)
  • Flow Cyt (Intra)

Lab

Flow Cytometry (Intracellular) - Anti-Villin antibody [SP145] - BSA and Azide free (AB245749)

Overlay histogram showing Caco 2 cells stained with ab130751 (red line). The cells were fixed with 80% methanol (5 min) and then permeabilized with 0.1% PBS-Tween for 20 min. The cells were then incubated in 1x PBS / 10% normal goat serum / 0.3M glycine to block non-specific protein-protein interactions followed by the antibody (ab130751 1/100 dilution) for 30 min at 22°C. The secondary antibody used was Alexa Fluor® 488 goat anti-rabbit IgG (H&L) (ab150077) at 1/2000 dilution for 30 min at 22°C. Isotype control antibody (black line) was rabbit IgG (monoclonal) (1μg/1x106 cells) used under the same conditions. Unlabelled sample (blue line) was also used as a control. Acquisition of >5000 events were collected using a 20mW Argon ion laser (488nm) and 525/30 bandpass filter.

This data was developed using the same antibody clone in a different buffer formulation containing PBS, BSA, and sodium azide (ab130751)

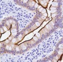
Immunohistochemistry (Formalin/PFA-fixed paraffin-embedded sections) - Anti-Villin antibody [SP145] - BSA and Azide free (AB245749)
  • IHC-P

Unknown

Immunohistochemistry (Formalin/PFA-fixed paraffin-embedded sections) - Anti-Villin antibody [SP145] - BSA and Azide free (AB245749)

Overlay histogram showing Caco 2 cells stained with ab130751 (red line). The cells were fixed with 80% methanol (5 min) and then permeabilized with 0.1% PBS-Tween for 20 min. The cells were then incubated in 1x PBS / 10% normal goat serum / 0.3M glycine to block non-specific protein-protein interactions followed by the antibody (ab130751, 1/100 dilution) for 30 min at 22°C. The secondary antibody used was Alexa Fluor® 488 goat anti-rabbit IgG (H&L) (ab150077) at 1/2000 dilution for 30 min at 22°C. Isotype control antibody (black line) was rabbit IgG (monoclonal) (1μg/1x106 cells) used under the same conditions. Unlabelled sample (blue line) was also used as a control. Acquisition of >5,000 events were collected using a 20mW Argon ion laser (488nm) and 525/30 bandpass filter.

This data was developed using the same antibody clone in a different buffer formulation containing PBS#44; BSA#44; and sodium azide (ab130751)

Multiplex immunohistochemistry - Anti-Villin antibody [SP145] - BSA and Azide free (AB245749)
  • mIHC

Lab

Multiplex immunohistochemistry - Anti-Villin antibody [SP145] - BSA and Azide free (AB245749)

Fluorescence multiplex immunohistochemical analysis of the human colon (Formalin/PFA-fixed paraffin-embedded sections). Panel A : merged staining of anti-Villin (ab245749, gray; Opal™690), anti-liver FABP (ab240401, green; Opal™520) and anti-MUC2 (ab272692, red; Opal™570) on human colon. Panel B : anti-liver FABP stained on enterocytes. Panel C : anti-Villin stained on apical border. Panel D : anti-MUC2 stained on goblet cells. Rabbit specific IHC polymer detection kit HRP/DAB (ab209101) was used as a secondary antibody. The immunostaining was performed on a Leica Biosystems BOND® RX instrument with an Opal™ 4-color kit. The section was incubated in three rounds of staining : in the order of ab245749 (1/1000 dilution), ab240401 (1/8000 dilution), and ab272692 (1/5000 dilution) for 30 mins at room temperature. Each round was followed by a separate fluorescent tyramide signal amplification system. Heat mediated antigen retrieval with Tris-EDTA buffer (pH 9.0, epitope retrieval solution2) for 20 mins. DAPI (blue) was used as a nuclear counter stain. Image acquisition was performed with Leica SP8 confocal microscope. This data was developed using the same antibody clone in a different buffer formulation containing PBS, BSA and sodium azide (ab130751).

Flow Cytometry (Intracellular) - Anti-Villin antibody [SP145] - BSA and Azide free (AB245749)
  • Flow Cyt (Intra)

Lab

Flow Cytometry (Intracellular) - Anti-Villin antibody [SP145] - BSA and Azide free (AB245749)

This data was developed using the same antibody clone in a different buffer formulation containing PBS, BSA, glycerol, and sodium azide (ab130751).

Flow cytometry overlay histogram showing left HT-29 positive cells and right negative PANC-1 stained with ab130751 (red line). The cells were fixed with 80% methanol (5 min) and then permeabilised with 0.1% PBS-Triton X-100 for 15 min. The cells were then incubated in 1x PBS containing 10% normal goat serum to block non-specific protein-protein interaction followed by the antibody (ab130751) (1x 106 in 100μl at 0.2μg/ml (1/11200)) for 30min at 22°C.

The secondary antibody Goat Anti-Rabbit IgG H&L (Alexa Fluor® 488) preadsorbed was incubated at 1/4000 for 30min at 22°C

Isotype control antibody (black line) was Recombinant Rabbit IgG, monoclonal [EPR25A] - Isotype Control used at the same concentration and conditions as the primary antibody. Unlabelled sample (blue line) was also used as a control.

Acquisition of >5000 events were collected using a 50 mW Blue laser (488nm) and 525/40 bandpass filter.

This antibody gave a positive signal in HT-29 Fixed with 4% formaldehyde (10 min) / permeabilised with 0.1% PBS-Triton X-100 for 15 min under the same conditions.

Immunoprecipitation - Anti-Villin antibody [SP145] - BSA and Azide free (AB245749)
  • IP

Lab

Immunoprecipitation - Anti-Villin antibody [SP145] - BSA and Azide free (AB245749)

Villin was immunoprecipitated using 0.5mg SW480 whole cell extract, 5μg of Rabbit polyclonal to Villin and 50μl of protein G magnetic beads (+). No antibody was added to the control (-).

The antibody was incubated under agitation with Protein G beads for 10min, SW480 whole cell extract lysate diluted in RIPA buffer was added to each sample and incubated for a further 10min under agitation.

Proteins were eluted by addition of 40μl SDS loading buffer and incubated for 10min at 70°C; 10μl of each sample was separated on a SDS PAGE gel, transferred to a nitrocellulose membrane, blocked with 5% BSA and probed with ab130751.

Secondary : Mouse monoclonal [SB62a] Secondary Antibody to Rabbit IgG light chain (HRP) (ab99697).

Band : 93kDa; Villin

This data was developed using the same antibody clone in a different buffer formulation containing PBS, BSA and sodium azide (ab130751).

All lanes:

Immunoprecipitation - Anti-Villin antibody [SP145] (<a href='/en-us/products/primary-antibodies/villin-antibody-sp145-ab130751'>ab130751</a>)

Predicted band size: 93 kDa

true

Exposure time: 16min

Western blot - Anti-Villin antibody [SP145] - BSA and Azide free (AB245749)
  • WB

Unknown

Western blot - Anti-Villin antibody [SP145] - BSA and Azide free (AB245749)

This data was developed using the same antibody clone in a different buffer formulation containing PBS, BSA, glycerol, and sodium azide (ab130751).

All lanes:

Western blot - Anti-Villin antibody [SP145] (<a href='/en-us/products/primary-antibodies/villin-antibody-sp145-ab130751'>ab130751</a>) at 1/100 dilution

All lanes:

HT-29 cell lysate

Predicted band size: 93 kDa

false

Key facts

Host species

Rabbit

Clonality

Monoclonal

Clone number

SP145

Isotype

IgG

Carrier free

Yes

Reacts with

Human

Applications

mIHC, Flow Cyt (Intra), WB, IHC-P, IP

applications

Immunogen

The exact immunogen used to generate this antibody is proprietary information.

Reactivity data

{ "title": "Reactivity Data", "filters": { "stats": ["", "Species", "Dilution Info", "Notes"], "tabs": { "all-applications": {"fullname" : "All Applications", "shortname": "All Applications"}, "mIHC" : {"fullname" : "Multiplex immunohistochemistry", "shortname":"mIHC"}, "IHCP" : {"fullname" : "Immunohistochemistry (Formalin/PFA-fixed paraffin-embedded sections)", "shortname":"IHC-P"}, "IP" : {"fullname" : "Immunoprecipitation", "shortname":"IP"}, "WB" : {"fullname" : "Western blot", "shortname":"WB"}, "FlowCytIntra" : {"fullname" : "Flow Cytometry (Intracellular)", "shortname":"Flow Cyt (Intra)"} }, "product-promise": { "all": "all", "testedAndGuaranteed": "tested", "guaranteed": "expected", "predicted": "predicted", "notRecommended": "not-recommended" } }, "values": { "Human": { "mIHC-species-checked": "testedAndGuaranteed", "mIHC-species-dilution-info": "", "mIHC-species-notes": "<p></p>", "IHCP-species-checked": "testedAndGuaranteed", "IHCP-species-dilution-info": "", "IHCP-species-notes": "<p>Primary incubation for 10 minutes at room temperature.</p>", "IP-species-checked": "testedAndGuaranteed", "IP-species-dilution-info": "", "IP-species-notes": "<p></p>", "WB-species-checked": "testedAndGuaranteed", "WB-species-dilution-info": "", "WB-species-notes": "<p>Incubate for 1 hour at room temperature.</p>", "FlowCytIntra-species-checked": "testedAndGuaranteed", "FlowCytIntra-species-dilution-info": "", "FlowCytIntra-species-notes": "<p><a href='/en-us/products/primary-antibodies/rabbit-igg-monoclonal-epr25a-isotype-control-ab172730'>ab172730</a> - Rabbit monoclonal IgG, is suitable for use as an isotype control with this antibody.</p>" }, "Mouse": { "mIHC-species-checked": "predicted", "mIHC-species-dilution-info": "", "mIHC-species-notes": "", "IHCP-species-checked": "predicted", "IHCP-species-dilution-info": "", "IHCP-species-notes": "", "IP-species-checked": "predicted", "IP-species-dilution-info": "", "IP-species-notes": "", "WB-species-checked": "predicted", "WB-species-dilution-info": "", "WB-species-notes": "", "FlowCytIntra-species-checked": "predicted", "FlowCytIntra-species-dilution-info": "", "FlowCytIntra-species-notes": "" }, "Chicken": { "mIHC-species-checked": "predicted", "mIHC-species-dilution-info": "", "mIHC-species-notes": "", "IHCP-species-checked": "predicted", "IHCP-species-dilution-info": "", "IHCP-species-notes": "", "IP-species-checked": "predicted", "IP-species-dilution-info": "", "IP-species-notes": "", "WB-species-checked": "predicted", "WB-species-dilution-info": "", "WB-species-notes": "", "FlowCytIntra-species-checked": "predicted", "FlowCytIntra-species-dilution-info": "", "FlowCytIntra-species-notes": "" }, "Cow": { "mIHC-species-checked": "predicted", "mIHC-species-dilution-info": "", "mIHC-species-notes": "", "IHCP-species-checked": "predicted", "IHCP-species-dilution-info": "", "IHCP-species-notes": "", "IP-species-checked": "predicted", "IP-species-dilution-info": "", "IP-species-notes": "", "WB-species-checked": "predicted", "WB-species-dilution-info": "", "WB-species-notes": "", "FlowCytIntra-species-checked": "predicted", "FlowCytIntra-species-dilution-info": "", "FlowCytIntra-species-notes": "" }, "Pig": { "mIHC-species-checked": "predicted", "mIHC-species-dilution-info": "", "mIHC-species-notes": "", "IHCP-species-checked": "predicted", "IHCP-species-dilution-info": "", "IHCP-species-notes": "", "IP-species-checked": "predicted", "IP-species-dilution-info": "", "IP-species-notes": "", "WB-species-checked": "predicted", "WB-species-dilution-info": "", "WB-species-notes": "", "FlowCytIntra-species-checked": "predicted", "FlowCytIntra-species-dilution-info": "", "FlowCytIntra-species-notes": "" } } }

Product details

ab245749 is the carrier-free version of ab130751.

Patented technology
Our RabMAb® technology is a patented hybridoma-based technology for making rabbit monoclonal antibodies. For details on our patents, please refer to RabMAb® patents.

What are the advantages of a recombinant monoclonal antibody?
This product is a recombinant monoclonal antibody, which offers several advantages including:

  • - High batch-to-batch consistency and reproducibility
  • - Improved sensitivity and specificity
  • - Long-term security of supply
  • - Animal-free batch production

For more information, read more on recombinant antibodies.

Conjugation ready
Our carrier-free antibodies are typically supplied in a PBS-only formulation, purified and free of BSA, sodium azide and glycerol. This conjugation-ready format is designed for use with fluorochromes, metal isotopes, oligonucleotides, and enzymes, which makes them ideal for antibody labelling, functional and cell-based assays, flow-based assays (e.g. mass cytometry) and Multiplex Imaging applications.

Use our conjugation kits for antibody conjugates that are ready-to-use in as little as 20 minutes with 1 minute hands-on-time and 100% antibody recovery: available for fluorescent dyes, HRP, biotin and gold.

Compatibility
This product is compatible with the Maxpar® Antibody Labeling Kit from Fluidigm, without the need for antibody preparation. Maxpar® is a trademark of Fluidigm Canada Inc.

Properties and storage information

Form
Liquid
Purification technique
Affinity purification Protein A/G
Purification notes
Purified from TCS by protein A/G.
Storage buffer
pH: 7.2 - 7.4 Constituents: PBS
Shipped at conditions
Blue Ice
Appropriate short-term storage conditions
+4°C
Appropriate long-term storage conditions
+4°C
Storage information
Do Not Freeze

Product protocols

For this product, it's our understanding that no specific protocols are required. You can visit:

Target data

Epithelial cell-specific Ca(2+)-regulated actin-modifying protein that modulates the reorganization of microvillar actin filaments. Plays a role in the actin nucleation, actin filament bundle assembly, actin filament capping and severing. Binds phosphatidylinositol 4,5-bisphosphate (PIP2) and lysophosphatidic acid (LPA); binds LPA with higher affinity than PIP2. Binding to LPA increases its phosphorylation by SRC and inhibits all actin-modifying activities. Binding to PIP2 inhibits actin-capping and -severing activities but enhances actin-bundling activity. Regulates the intestinal epithelial cell morphology, cell invasion, cell migration and apoptosis. Protects against apoptosis induced by dextran sodium sulfate (DSS) in the gastrointestinal epithelium. Appears to regulate cell death by maintaining mitochondrial integrity. Enhances hepatocyte growth factor (HGF)-induced epithelial cell motility, chemotaxis and wound repair. Upon S.flexneri cell infection, its actin-severing activity enhances actin-based motility of the bacteria and plays a role during the dissemination.
See full target information VIL1

Publications (1)

Recent publications for all applications. Explore the full list and refine your search

iScience 25:103785 PubMed35146396

2022

PD-L1CD8 T cells enrichment in lung cancer exerted regulatory function and tumor-promoting tolerance.

Applications

Unspecified application

Species

Unspecified reactive species

Yingxia Zheng,Li Han,Zheyi Chen,Yiyang Li,Bingqian Zhou,Rui Hu,Shiyu Chen,Haibo Xiao,Yanhui Ma,Guohua Xie,Junyao Yang,Xianting Ding,Lisong Shen
View all publications

Product promise

We are committed to supporting your work with high-quality reagents, and we're here for you every step of the way. In the unlikely event that one of our products does not perform as expected, you're protected by our Product Promise.
For full details, please see our Terms & Conditions

Please note: All products are 'FOR RESEARCH USE ONLY. NOT FOR USE IN DIAGNOSTIC OR THERAPEUTIC PROCEDURES'.

For licensing inquiries, please contact partnerships@abcam.com