JavaScript is disabled in your browser. Please enable JavaScript to view this website.
AB45939

Anti-Vimentin antibody - Cytoskeleton Marker

4

(17 Reviews)

|

(243 Publications)

Anti-Vimentin antibody - Cytoskeleton Marker (ab45939) is a rabbit polyclonal antibody detecting Vimentin in Western Blot, Flow Cytometry (Intra), Flow Cytometry, IHC-P, ICC/IF. Suitable for Human, Mouse, Rat.

- KO validated for confirmed specificity
- Over 190 publications
- Trusted since 2007

View Alternative Names

Vimentin, VIM

13 Images
Western blot - Anti-Vimentin antibody - Cytoskeleton Marker (AB45939)
  • WB

Project

Western blot - Anti-Vimentin antibody - Cytoskeleton Marker (AB45939)

All lanes:

Western blot - Anti-Vimentin antibody - Cytoskeleton Marker (ab45939) at 1 µg/mL

Lane 1:

HeLa (Human epithelial carcinoma cell line) Whole Cell Lysate at 10 µg

Lane 2:

Jurkat (Human T cell lymphoblast-like cell line) Whole Cell Lysate at 10 µg

Lane 3:

HEK293 Human embryonic kidney cell line Whole Cell Lysate at 10 µg

Lane 4:

Ramos (Human Burkitt's lymphoma cell line) Whole Cell Lysate at 10 µg

Secondary

All lanes:

IRDye 680 Conjugated Goat Anti-Rabbit IgG (H+L) at 1/10000 dilution

Predicted band size: 53 kDa

Observed band size: 54 kDa

false

Flow Cytometry (Intracellular) - Anti-Vimentin antibody - Cytoskeleton Marker (AB45939)
  • Flow Cyt (Intra)

Lab

Flow Cytometry (Intracellular) - Anti-Vimentin antibody - Cytoskeleton Marker (AB45939)

Overlay histogram showing MDA-MB-231 cells stained with ab45939 (red line). The cells were fixed with 80% methanol (5 min) and then permeabilized with 0.1% PBS-Triton X-100 for 20 min. The cells were then incubated in 1x PBS / 10% normal goat serum / 0.3M glycine to block non-specific protein-protein interactions followed by the antibody (ab45939, 0.01μg/1x106 cells) for 30 min at 22°C. The secondary antibody used was Alexa Fluor® 488 goat anti-rabbit IgG (H&L) (ab150081) at 1/4000 dilution for 30 min at 22°C. Isotype control antibody (black line) was rabbit IgG (polyclonal) (ab171870, 0.01μg/1x106 cells) used under the same conditions. Unlabelled sample (blue line) was also used as a control.

Acquisition of >5,000 events were collected using a 20mW Argon ion laser (488nm) and 525/30 bandpass filter.

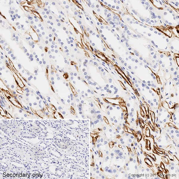
Immunohistochemistry (Formalin/PFA-fixed paraffin-embedded sections) - Anti-Vimentin antibody - Cytoskeleton Marker (AB45939)
  • IHC-P

Lab

Immunohistochemistry (Formalin/PFA-fixed paraffin-embedded sections) - Anti-Vimentin antibody - Cytoskeleton Marker (AB45939)

IHC image of ab45939 staining Vimentin in human kidney formalin fixed paraffin embedded tissue sections*, performed on a Leica Bond. The section was pre-treated using heat mediated antigen retrieval with sodium citrate buffer (pH6, epitope retrieval solution 1) for 20 mins. The section was then incubated with ab45939, 0.1μg/ml working concentration, for 15 mins at room temperature and detected using an HRP conjugated compact polymer system. DAB was used as the chromogen. The section was then counterstained with haematoxylin and mounted with DPX. No primary antibody was used in the secondary only control (shown on the inset).
For other IHC staining systems (automated and non-automated) customers should optimize variable parameters such as antigen retrieval conditions, primary antibody concentration and antibody incubation times.
*Tissue obtained from the Human Research Tissue Bank, supported by the NIHR Cambridge Biomedical Research Centre

Immunocytochemistry/ Immunofluorescence - Anti-Vimentin antibody - Cytoskeleton Marker (AB45939)
  • ICC/IF

Lab

Immunocytochemistry/ Immunofluorescence - Anti-Vimentin antibody - Cytoskeleton Marker (AB45939)

ab45939 staining Vimentin in HeLa cells. The cells were fixed with 100% methanol (5min), permeabilized with 0.1% Triton X-100 for 5 minutes and then blocked with 1% BSA/10% normal goat serum/0.3M glycine in 0.1%PBS-Tween for 1h. The cells were then incubated overnight at +4°C with ab45939 at 1μg/ml and ab7291, Mouse monoclonal [DM1A] to alpha Tubulin - Loading Control, at 1/1000 dilution. Cells were then incubated with ab150120, Goat polyclonal Secondary Antibody to Mouse at 1/1000 dilution (shown in pseudocolour red) and ab150081, Goat polyclonal Secondary Antibody to Rabbit IgG at 1/1000 dilution (shown in green). Nuclear DNA was labelled with DAPI (shown in blue).

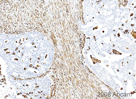
Immunohistochemistry (Formalin/PFA-fixed paraffin-embedded sections) - Anti-Vimentin antibody - Cytoskeleton Marker (AB45939)
  • IHC-P

Collaborator

Immunohistochemistry (Formalin/PFA-fixed paraffin-embedded sections) - Anti-Vimentin antibody - Cytoskeleton Marker (AB45939)

Immunohistochemical detection (formaldehyde/paraffin-embedded sections) of vimentin protein using vimentin antibody - Neural Stem Cell Marker (ab45939) on human ovarian carcinoma sections. Antigen retrieval step : Heat mediated. Blocking step : 1% BSA for 10 mins at RT°C. ab45939 was used at 1/700 for 1 hour. Secondary Antibody : Biotin-conjugated anti rabbit IG (1/300).

This image is courtesy of Carl Hobbs, King's College London, United Kingdom

Immunocytochemistry/ Immunofluorescence - Anti-Vimentin antibody - Cytoskeleton Marker (AB45939)
  • ICC/IF

Lab

Immunocytochemistry/ Immunofluorescence - Anti-Vimentin antibody - Cytoskeleton Marker (AB45939)

ab45939 staining Vimentin in wild-type HAP1 cells (top panel) and Vimentin knockout HAP1 cells (bottom panel). The cells were fixed with 100% methanol (5min), permeabilized with 0.1% Triton X-100 for 5 minutes and then blocked with 1% BSA/10% normal goat serum/0.3M glycine in 0.1% PBS-Tween for 1h. The cells were then incubated with ab45939 at 1μg/ml dilution and ab195889 at 1/250 dilution (shown in pseudo-color red) overnight at +4°C. The cells were then incubated with ab150081 (Goat Anti-Rabbit IgG H&L (Alexa Fluor® 488)) at 1/1000 dilution for 1 hour. Nuclear DNA was labelled in blue with DAPI.

Image was taken with a confocal microscope (Leica-Microsystems, TCS SP8).

Flow Cytometry (Intracellular) - Anti-Vimentin antibody - Cytoskeleton Marker (AB45939)
  • Flow Cyt (Intra)

Lab

Flow Cytometry (Intracellular) - Anti-Vimentin antibody - Cytoskeleton Marker (AB45939)

Overlay histogram showing NIH3T3 cells stained with ab45939 (red line). The cells were fixed with 80% methanol (5 min) and then permeabilized with 0.1% PBS-Triton X-100 for 20 min. The cells were then incubated in 1x PBS / 10% normal goat serum / 0.3M glycine to block non-specific protein-protein interactions followed by the antibody (ab45939, 0.1μg/1x106 cells) for 30 min at 22°C. The secondary antibody used was Alexa Fluor® 488 goat anti-rabbit IgG (H&L) (ab150081) at 1/4000 dilution for 30 min at 22°C. Isotype control antibody (black line) was rabbit IgG (polyclonal) (ab171870, 0.1μg/1x106 cells) used under the same conditions. Unlabelled sample (blue line) was also used as a control.

Acquisition of >5,000 events were collected using a 20mW Argon ion laser (488nm) and 525/30 bandpass filter.

Immunocytochemistry/ Immunofluorescence - Anti-Vimentin antibody - Cytoskeleton Marker (AB45939)
  • ICC/IF

Lab

Immunocytochemistry/ Immunofluorescence - Anti-Vimentin antibody - Cytoskeleton Marker (AB45939)

ab45939 staining Vimentin in NIH3T3 cells. The cells were fixed with 100% methanol (5min), permeabilized with 0.1% Triton X-100 for 5 minutes and then blocked with 1% BSA/10% normal goat serum/0.3M glycine in 0.1%PBS-Tween for 1h. The cells were then incubated overnight at +4°C with ab45939 at 1μg/ml (shown in green) and ab195889, Mouse monoclonal [DM1A] to alpha Tubulin - Microtubule Marker (Alexa Fluor® 594), at 1/250 dilution (shown in red). Nuclear DNA was labelled with DAPI (shown in blue).
Image was taken with a confocal microscope (Leica-Microsystems, TCS SP8).

Immunohistochemistry (Formalin/PFA-fixed paraffin-embedded sections) - Anti-Vimentin antibody - Cytoskeleton Marker (AB45939)
  • IHC-P

AbReview23046****

Immunohistochemistry (Formalin/PFA-fixed paraffin-embedded sections) - Anti-Vimentin antibody - Cytoskeleton Marker (AB45939)

ab45939 staining Vimentin in murine kidney tissue by Immunohistochemistry (Formalin/PFA-fixed paraffin-embedded sections). Tissue was fixed with formaldehyde and a heat mediated antigen retrieval step was performed. Samples were then blocked with 10% serum for 30 minutes at room temperature followed by incubation with the primary antibody at a 1/2100 dilution for 18 hours at 4°C. A biotin-conjugated goat anti-rabbit polyclonal was used as secondary antibody at a 1/200 dilution.

Image courtesy of Mike Forbes by Abreview.

Western blot - Anti-Vimentin antibody - Cytoskeleton Marker (AB45939)
  • WB

Unknown

Western blot - Anti-Vimentin antibody - Cytoskeleton Marker (AB45939)

ab45939 recognizes full length recombinant Human vimentin (ab73843) which has an expected molecular weight of 54 kDa.

All lanes:

Western blot - Anti-Vimentin antibody - Cytoskeleton Marker (ab45939) at 1 µg/mL

Lane 1:

Recombinant Human Vimentin protein (<a href='/en-us/products/unavailable/recombinant-human-vimentin-protein-ab73843'>ab73843</a>) at 0.1 µg

Lane 2:

Recombinant Human Vimentin protein (<a href='/en-us/products/unavailable/recombinant-human-vimentin-protein-ab73843'>ab73843</a>) at 0.01 µg

Secondary

All lanes:

Western blot - Goat Anti-Rabbit IgG H&L (HRP) preadsorbed (<a href='/en-us/products/secondary-antibodies/goat-rabbit-igg-h-l-hrp-preadsorbed-ab97080'>ab97080</a>) at 1/5000 dilution

Predicted band size: 53 kDa

Observed band size: 54 kDa

true

Exposure time: 10s

Western blot - Anti-Vimentin antibody - Cytoskeleton Marker (AB45939)
  • WB

Lab

Western blot - Anti-Vimentin antibody - Cytoskeleton Marker (AB45939)

This blot was produced using a 4-12% Bis-tris gel under the MOPS buffer system. The gel was run at 200V for 50 minutes before being transferred onto a Nitrocellulose membrane at 30V for 70 minutes. The membrane was then blocked for an hour using Licor blocking buffer before being incubated with ab45939 overnight at 4°C. The membrane was then blocked for an hour using LI-COR® blocking buffer before being incubated with ab92547 overnight at 4°C. Antibody binding was detected using the IRDye® 800CW Goat Anti-Rabbit secondary at a 1 : 10,000 dilution for 1hr at room temperature and then imaged using the Odyssey® CLx Imaging System.

All lanes:

Western blot - Anti-Vimentin antibody - Cytoskeleton Marker (ab45939) at 1 µg/mL

Lane 1:

HeLa (Human epithelial carcinoma cell line) Whole Cell Lysate at 20 µg

Lane 2:

HEK293 (Human embryonic kidney cell line) Whole Cell Lysate at 20 µg

Lane 3:

Jurkat (Human T cell lymphoblast-like cell line) Whole cell lysate at 20 µg

Lane 4:

A549 (Human lung adenocarcinoma epithelial cell line) Whole cell lysate at 20 µg

Lane 5:

NIH 3T3 (Mouse embryonic fibroblast cell line) Whole Cell Lysate at 20 µg

Lane 6:

PC12 (Rat adrenal pheochromocytoma cell line) Whole Cell Lysate at 20 µg

Lane 7:

HUVEC (Human umbilical vein endothelial cell line) Whole cell lysate at 20 µg

Lane 8:

A431 (Human epithelial carcinoma cell line) Whole cell lysate at 20 µg

Lane 9:

Daudi (Human B lymphoblast) Whole cell lysate at 20 µg

Lane 10:

Caco 2 (Human colonic carcinoma cell line) Whole Cell Lysate at 20 µg

Secondary

All lanes:

IRDye® 800CW Goat Anti-Rabbit at 1/10000 dilution

Predicted band size: 53 kDa

Observed band size: 53 kDa

false

Flow Cytometry (Intracellular) - Anti-Vimentin antibody - Cytoskeleton Marker (AB45939)
  • Flow Cyt (Intra)

Lab

Flow Cytometry (Intracellular) - Anti-Vimentin antibody - Cytoskeleton Marker (AB45939)

Overlay histogram showing SV40LT-SMC cells stained with ab45939 (red line). The cells were fixed with 80% methanol (5 min) and then permeabilized with 0.1% PBS-Triton X-100 for 20 min. The cells were then incubated in 1x PBS / 10% normal goat serum / 0.3M glycine to block non-specific protein-protein interactions followed by the antibody (ab45939, 0.01μg/1x106 cells) for 30 min at 22°C. The secondary antibody used was Alexa Fluor® 488 goat anti-rabbit IgG (H&L) (ab150081) at 1/4000 dilution for 30 min at 22°C. Isotype control antibody (black line) was rabbit IgG (polyclonal) (ab171870, 0.01μg/1x106 cells) used under the same conditions. Unlabelled sample (blue line) was also used as a control.

Acquisition of >5,000 events were collected using a 20mW Argon ion laser (488nm) and 525/30 bandpass filter.

Immunocytochemistry/ Immunofluorescence - Anti-Vimentin antibody - Cytoskeleton Marker (AB45939)
  • ICC/IF

Lab

Immunocytochemistry/ Immunofluorescence - Anti-Vimentin antibody - Cytoskeleton Marker (AB45939)

ab45939 staining Vimentin in SV40LT-SMC cells. The cells were fixed with 4% formaldehyde (10min), permeabilized with 0.1% Triton X-100 for 5 minutes and then blocked with 1% BSA/10% normal goat serum/0.3M glycine in 0.1%PBS-Tween for 1h. The cells were then incubated overnight at +4°C with ab45939 at 1μg/ml (shown in green) and ab195889, Mouse monoclonal [DM1A] to alpha Tubulin - Microtubule Marker (Alexa Fluor® 594), at 1/250 dilution (shown in red). Nuclear DNA was labelled with DAPI (shown in blue).
Image was taken with a confocal microscope (Leica-Microsystems, TCS SP8).

Key facts

Host species

Rabbit

Clonality

Polyclonal

Isotype

IgG

Carrier free

No

Reacts with

Mouse, Rat, Human

Applications

WB, IHC-P, ICC/IF, Flow Cyt (Intra)

applications

Immunogen

The exact immunogen used to generate this antibody is proprietary information.

Specificity

Replenishment batches of our polyclonal antibody, ab45939 are tested in WB. Previous batches were additionally validated in Flow Cyt, ICC/IF and IHC-P. These applications are still expected to work and are covered by our Abpromise guarantee. You may also be interested in our alternative recombinant antibody, ab92547.

Reactivity data

{ "title": "Reactivity Data", "filters": { "stats": ["", "Species", "Dilution Info", "Notes"], "tabs": { "all-applications": {"fullname" : "All Applications", "shortname": "All Applications"}, "IHCP" : {"fullname" : "Immunohistochemistry (Formalin/PFA-fixed paraffin-embedded sections)", "shortname":"IHC-P"}, "FlowCytIntra" : {"fullname" : "Flow Cytometry (Intracellular)", "shortname":"Flow Cyt (Intra)"}, "WB" : {"fullname" : "Western blot", "shortname":"WB"}, "ICCIF" : {"fullname" : "Immunocytochemistry/ Immunofluorescence", "shortname":"ICC/IF"} }, "product-promise": { "all": "all", "testedAndGuaranteed": "tested", "guaranteed": "expected", "predicted": "predicted", "notRecommended": "not-recommended" } }, "values": { "Human": { "IHCP-species-checked": "testedAndGuaranteed", "IHCP-species-dilution-info": "0.1 µg/mL", "IHCP-species-notes": "<p></p> Perform heat-mediated antigen retrieval before commencing with IHC staining protocol.", "FlowCytIntra-species-checked": "testedAndGuaranteed", "FlowCytIntra-species-dilution-info": "0.01-0.1 µg for 10^5 Cells", "FlowCytIntra-species-notes": "<p></p>", "WB-species-checked": "testedAndGuaranteed", "WB-species-dilution-info": "1 µg/mL", "WB-species-notes": "<p></p>", "ICCIF-species-checked": "testedAndGuaranteed", "ICCIF-species-dilution-info": "1 µg/mL", "ICCIF-species-notes": "<p></p>" }, "Mouse": { "IHCP-species-checked": "guaranteed", "IHCP-species-dilution-info": "", "IHCP-species-notes": "", "FlowCytIntra-species-checked": "testedAndGuaranteed", "FlowCytIntra-species-dilution-info": "0.01-0.1 µg for 10^5 Cells", "FlowCytIntra-species-notes": "<p></p>", "WB-species-checked": "testedAndGuaranteed", "WB-species-dilution-info": "1 µg/mL", "WB-species-notes": "<p></p>", "ICCIF-species-checked": "testedAndGuaranteed", "ICCIF-species-dilution-info": "1 µg/mL", "ICCIF-species-notes": "<p></p>" }, "Rat": { "IHCP-species-checked": "guaranteed", "IHCP-species-dilution-info": "", "IHCP-species-notes": "", "FlowCytIntra-species-checked": "testedAndGuaranteed", "FlowCytIntra-species-dilution-info": "0.01-0.1 µg for 10^5 Cells", "FlowCytIntra-species-notes": "<p></p>", "WB-species-checked": "testedAndGuaranteed", "WB-species-dilution-info": "1 µg/mL", "WB-species-notes": "<p></p>", "ICCIF-species-checked": "guaranteed", "ICCIF-species-dilution-info": "", "ICCIF-species-notes": "" }, "Chicken": { "IHCP-species-checked": "predicted", "IHCP-species-dilution-info": "", "IHCP-species-notes": "", "FlowCytIntra-species-checked": "predicted", "FlowCytIntra-species-dilution-info": "", "FlowCytIntra-species-notes": "", "WB-species-checked": "predicted", "WB-species-dilution-info": "", "WB-species-notes": "", "ICCIF-species-checked": "predicted", "ICCIF-species-dilution-info": "", "ICCIF-species-notes": "" }, "Chimpanzee": { "IHCP-species-checked": "predicted", "IHCP-species-dilution-info": "", "IHCP-species-notes": "", "FlowCytIntra-species-checked": "predicted", "FlowCytIntra-species-dilution-info": "", "FlowCytIntra-species-notes": "", "WB-species-checked": "predicted", "WB-species-dilution-info": "", "WB-species-notes": "", "ICCIF-species-checked": "predicted", "ICCIF-species-dilution-info": "", "ICCIF-species-notes": "" }, "Cow": { "IHCP-species-checked": "predicted", "IHCP-species-dilution-info": "", "IHCP-species-notes": "", "FlowCytIntra-species-checked": "predicted", "FlowCytIntra-species-dilution-info": "", "FlowCytIntra-species-notes": "", "WB-species-checked": "predicted", "WB-species-dilution-info": "", "WB-species-notes": "", "ICCIF-species-checked": "predicted", "ICCIF-species-dilution-info": "", "ICCIF-species-notes": "" }, "Horse": { "IHCP-species-checked": "predicted", "IHCP-species-dilution-info": "", "IHCP-species-notes": "", "FlowCytIntra-species-checked": "predicted", "FlowCytIntra-species-dilution-info": "", "FlowCytIntra-species-notes": "", "WB-species-checked": "predicted", "WB-species-dilution-info": "", "WB-species-notes": "", "ICCIF-species-checked": "predicted", "ICCIF-species-dilution-info": "", "ICCIF-species-notes": "" }, "Pig": { "IHCP-species-checked": "predicted", "IHCP-species-dilution-info": "", "IHCP-species-notes": "", "FlowCytIntra-species-checked": "predicted", "FlowCytIntra-species-dilution-info": "", "FlowCytIntra-species-notes": "", "WB-species-checked": "predicted", "WB-species-dilution-info": "", "WB-species-notes": "", "ICCIF-species-checked": "predicted", "ICCIF-species-dilution-info": "", "ICCIF-species-notes": "" }, "Rabbit": { "IHCP-species-checked": "predicted", "IHCP-species-dilution-info": "", "IHCP-species-notes": "", "FlowCytIntra-species-checked": "predicted", "FlowCytIntra-species-dilution-info": "", "FlowCytIntra-species-notes": "", "WB-species-checked": "predicted", "WB-species-dilution-info": "", "WB-species-notes": "", "ICCIF-species-checked": "predicted", "ICCIF-species-dilution-info": "", "ICCIF-species-notes": "" }, "Sheep": { "IHCP-species-checked": "predicted", "IHCP-species-dilution-info": "", "IHCP-species-notes": "", "FlowCytIntra-species-checked": "predicted", "FlowCytIntra-species-dilution-info": "", "FlowCytIntra-species-notes": "", "WB-species-checked": "predicted", "WB-species-dilution-info": "", "WB-species-notes": "", "ICCIF-species-checked": "predicted", "ICCIF-species-dilution-info": "", "ICCIF-species-notes": "" } } }

Product details

What is this antibody validated in?
Anti-Vimentin antibody - Cytoskeleton Marker (ab45939) is a rabbit polyclonal antibody and is validated for use in Western Blot (WB), Flow Cytometry (Intra), Flow Cytometry (Flow Cyt), Immunohistochemistry (IHC-P), Immunocytochemistry/immunofluorescence (ICC/IF) in Human, Mouse, Rat samples.

What is the molecular weight of Vimentin?
Anti-Vimentin - Cytoskeleton Marker (ab45939) specifically detects a band for Vimentin (UniProt: P08670) at a molecular weight of 54kDa.

Trusted by the scientific community
Anti-Vimentin - Cytoskeleton Marker (ab45939) was first used in a scientific publication in 2007 and has been cited over 190 times in peer-reviewed journals.

Reviewed by scientists
Anti-Vimentin - Cytoskeleton Marker (ab45939) has over 15 independent reviews from customers.

Specificity confirmed
The specificity of Anti-Vimentin antibody - Cytoskeleton Marker (ab45939) has been confirmed by Immunocytochemistry testing in VIM Knockout HAP1 cells.

Properties and storage information

Form
Liquid
Purification technique
Affinity purification Immunogen
Storage buffer
pH: 7.4 Preservative: 0.02% Sodium azide Constituents: PBS, 1% BSA
Shipped at conditions
Blue Ice
Appropriate short-term storage duration
1-2 weeks
Appropriate short-term storage conditions
+4°C
Appropriate long-term storage conditions
-20°C
Aliquoting information
Upon delivery aliquot
Storage information
Avoid freeze / thaw cycle

Product protocols

For this product, it's our understanding that no specific protocols are required. You can visit:

Target data

Vimentin, a class-III intermediate filament, is present in various non-epithelial cells, particularly mesenchymal cells, and connects either laterally or terminally to the nucleus, endoplasmic reticulum, and mitochondria. It is involved with LARP6 in stabilizing type I collagen mRNAs for CO1A1 and CO1A2. This supplementary information is collated from multiple sources and compiled automatically.
See full target information VIM

Publications (243)

Recent publications for all applications. Explore the full list and refine your search

International journal of molecular sciences 26: PubMed40508115

2025

Myofibroblast-like Cells and Junctional Complex Development Play a Role in Mouse Pubic Symphysis Remodeling During Pregnancy and Postpartum.

Applications

Unspecified application

Species

Unspecified reactive species

Viviane Souza Rosa,Bianca Gazieri Castelucci,Monica Moreira,Paulo Pinto Joazeiro,Sílvio Roberto Consonni

Proceedings of the National Academy of Sciences of the United States of America 122:e2418624122 PubMed40030010

2025

Vimentin undergoes liquid-liquid phase separation to form droplets which wet and stabilize actin fibers.

Applications

Unspecified application

Species

Unspecified reactive species

Arkaprabha Basu,Tommy Krug,Benjamin du Pont,Qiaoling Huang,Sijie Sun,Stephen A Adam,Robert D Goldman,David A Weitz

Investigative ophthalmology & visual science 66:21 PubMed39918478

2025

Regional Alterations in Müller Cell Protein Expression in Human and a Rat Model of Geographic Atrophy.

Applications

Unspecified application

Species

Unspecified reactive species

Poonam Naik,D Scott McLeod,Imran A Bhutto,Malia M Edwards

Cell communication and signaling : CCS 23:64 PubMed39910535

2025

Extracellular vimentin is a damage-associated molecular pattern protein serving as an agonist of TLR4 in human neutrophils.

Applications

Unspecified application

Species

Unspecified reactive species

Łukasz Suprewicz,Krzysztof Fiedoruk,Karol Skłodowski,Evan Hutt,Magdalena Zakrzewska,Alicja Walewska,Piotr Deptuła,Agata Lesiak,Sławomir Okła,Peter A Galie,Alison E Patteson,Paul A Janmey,Robert Bucki

Communications biology 7:1711 PubMed39739005

2025

CAF-EVs carry lncRNA MAPKAPK5-AS1 into hepatocellular carcinoma cells and promote malignant cell proliferation.

Applications

Unspecified application

Species

Unspecified reactive species

Lin Sheng,Junmei Lin,Yili Zhang,Yanping Chen,Xuxing Ye,Xiaobo Wang

CytoJournal 21:49 PubMed39737117

2024

Immunoglobulin superfamily member 1 upregulates myc proto-oncogene to accelerate invasion and metastasis of endometrial cancer: Molecular mechanisms and therapeutic prospects.

Applications

Unspecified application

Species

Unspecified reactive species

Jing Wei,Jinxiang Jiang,Shuhong Zhang,Shuai Dong

International journal of molecular sciences 25: PubMed39684590

2024

Gliotic Response and Reprogramming Potential of Human Müller Cell Line MIO-M1 Exposed to High Glucose and Glucose Fluctuations.

Applications

Unspecified application

Species

Unspecified reactive species

Benedetta Russo,Giorgia D'Addato,Giulia Salvatore,Marika Menduni,Simona Frontoni,Luigi Carbone,Antonella Camaioni,Francesca Gioia Klinger,Massimo De Felici,Fabiana Picconi,Gina La Sala

Cell reports. Medicine 5:101795 PubMed39454569

2024

A humanized monoclonal antibody targeting an ectonucleotidase rescues cardiac metabolism and heart function after myocardial infarction.

Applications

Unspecified application

Species

Unspecified reactive species

Shen Li,Bo Tao,Jijun Wan,Enca Montecino-Rodriguez,Ping Wang,Feiyang Ma,Baiming Sun,Yiqian Gu,Sivakumar Ramadoss,Lianjiu Su,Qihao Sun,Johanna Ten Hoeve,Linsey Stiles,Jeffrey Collins,R Michael van Dam,Mikayla Tamboline,Richard Taschereau,Orian Shirihai,Douglas B Kitchen,Matteo Pellegrini,Thomas Graeber,Kenneth Dorshkind,Shili Xu,Arjun Deb

Nature communications 15:7638 PubMed39266515

2024

Protein kinase N promotes cardiac fibrosis in heart failure by fibroblast-to-myofibroblast conversion.

Applications

Unspecified application

Species

Unspecified reactive species

Satoya Yoshida,Tatsuya Yoshida,Kohei Inukai,Katsuhiro Kato,Yoshimitsu Yura,Tomoki Hattori,Atsushi Enomoto,Koji Ohashi,Takahiro Okumura,Noriyuki Ouchi,Haruya Kawase,Nina Wettschureck,Stefan Offermanns,Toyoaki Murohara,Mikito Takefuji

Reproductive sciences (Thousand Oaks, Calif.) 32:1331-1337 PubMed39218837

2024

ZEB1 Promotes Epithelial-Mesenchymal Transition of Endometrial Epithelial Cells and Plays a Critical Role in Embryo Implantation in Mice.

Applications

Unspecified application

Species

Unspecified reactive species

Zhong Xu,Huan-Huan Yang,Hou-Zhi Chen,Bi-Zhen Huang,Ming Yang,Zhen-Hua Liao,Bi-Qing Xiao,Hong-Qin Chen,Jing Ran
View all publications

Product promise

We are committed to supporting your work with high-quality reagents, and we're here for you every step of the way. In the unlikely event that one of our products does not perform as expected, you're protected by our Product Promise.
For full details, please see our Terms & Conditions

Please note: All products are 'FOR RESEARCH USE ONLY. NOT FOR USE IN DIAGNOSTIC OR THERAPEUTIC PROCEDURES'.

For licensing inquiries, please contact partnerships@abcam.com