JavaScript is disabled in your browser. Please enable JavaScript to view this website.
AB193555

Anti-Vimentin antibody [EPR3776] - BSA and Azide free

  • BOND RX™ Validated
  • RabMAb
  • Advanced Validation
  • Recombinant
  • KO Validated
  • What is this?

5

(4 Reviews)

|

(56 Publications)

Anti-Vimentin antibody [EPR3776] - BSA and Azide free (ab193555) is a rabbit recombinant monoclonal antibody for Western Blot, Flow Cytometry (Intra), Flow Cytometry, IHC-P, ICC/IF, mIHC. Suitable for African green monkey, Human, Mouse, Rat.

- KO validated for confirmed specificity
- BSA, sodium azide, and glycerol-free for easy conjugation
- Multiplex IHC validated on the Leica BOND® MAX using Opal reagents
- Biophysical QC for unrivalled batch-batch consistency

View Alternative Names

Vimentin, VIM

33 Images
Immunocytochemistry/ Immunofluorescence - Anti-Vimentin antibody [EPR3776] - BSA and Azide free (AB193555)
  • ICC/IF

Lab

Immunocytochemistry/ Immunofluorescence - Anti-Vimentin antibody [EPR3776] - BSA and Azide free (AB193555)

ab92547 staining VIM in wild-type HeLa cells with negative expression in VIM knockout HeLa cells. The cells were fixed with 4% formaldehyde (10 min) permeabilised with 0.1% Triton x-100 for 5 minutes and then blocked with 1% BSA/10% normal goat serum/0.3M glycine in 0.1% PBS-Tween for 1h. The cells were then incubated overnight at +4°C with ab92547 at 2 μg/ml and ab7291 Mouse monoclonal [DM1A] to alpha Tubulin at 0.5 μg/ml. Cells were then incubated with ab150081 Goat polyclonal Secondary Antibody to Rabbit IgG - H&L (Alexa Fluor® 488) pre-adsorbed at 1/1000 dilution (shown in green) and ab150119 Goat polyclonal Secondary Antibody to Mouse IgG - H&L (Alexa Fluor® 647) pre-adsorbed at 1/1000 dilution (shown in red). Nuclear DNA was labelled with DAPI (shown in blue).Image was acquired with a confocal microscope (Leica-Microsystems TCS SP8) and a single confocal section is shown.This product also work with 100% methanol (5 min) fixation under the same testing conditions.

This data was developed using the same antibody clone in a different buffer formulation containing PBS, BSA, glycerol, and sodium azide (ab92547).

Immunocytochemistry/ Immunofluorescence - Anti-Vimentin antibody [EPR3776] - BSA and Azide free (AB193555)
  • ICC/IF

AbReview

Immunocytochemistry/ Immunofluorescence - Anti-Vimentin antibody [EPR3776] - BSA and Azide free (AB193555)

Unpurified ab92547 staining vimentin in human Schlemms Canal Endothelium cells by ICC/IF (Immunocytochemistry/immunofluorescence). Cells were fixed with formaldehyde, permeabilized with Triton X-100 0.2% and blocked with 10% serum for 30 minutes at 20°C. Samples were incubated with primary antibody (1/200 in DPBS) for 3 hours at 20°C. An undiluted Alexa Fluor®488-conjugated Goat anti-rabbit IgG polyclonal was used as the secondary antibody.

This data was developed using the same antibody clone in a different buffer formulation containing PBS, BSA, glycerol, and sodium azide (ab92547).

This image is courtesy of an Abreview submitted by Thomas Read.

Immunohistochemistry (Formalin/PFA-fixed paraffin-embedded sections) - Anti-Vimentin antibody [EPR3776] - BSA and Azide free (AB193555)
  • IHC-P

PubMed

Immunohistochemistry (Formalin/PFA-fixed paraffin-embedded sections) - Anti-Vimentin antibody [EPR3776] - BSA and Azide free (AB193555)

Immunostaining of formalin fixed paraffin embedded human microtissues after exposure to MTX, TAA and TGF-β1.

Formalin fixed paraffin embedded slides of HepaRG/THP-1 macrophages/hTERT-HSC microtissues were stained with Hematoxylin & Eosin (H&E) and vimentin after 14 days of treatment with MTX, TAA and TGF-β1. Microtissues were fixed in 4% PFA and embedded in 2% agarose prior to paraffinization. Microtissues showed increase in the vimentin positive cells after MTX, TAA and TGF-β1 exposure. Vimentin stainings show proliferation of stellate cells and THP-1 macrophages in the microtissues, suggesting the onset of inflammation process.

For full image see PMID 28665955.

This data was developed using the same antibody clone in a different buffer formulation containing PBS, BSA, glycerol, and sodium azide (ab92547).

Image from Prestigiacomo V et al. PLoS One. 2017;12(6):e0179995. Fig 7.; doi: 10.1371/journal.pone.0179995.

Immunohistochemistry (Formalin/PFA-fixed paraffin-embedded sections) - Anti-Vimentin antibody [EPR3776] - BSA and Azide free (AB193555)
  • IHC-P

Unknown

Immunohistochemistry (Formalin/PFA-fixed paraffin-embedded sections) - Anti-Vimentin antibody [EPR3776] - BSA and Azide free (AB193555)

Immunohistochemical staining of paraffin embedded paraformaldehyde fixed rhesus monkey retina tissue with ab92547 (green) at a working dilution of 1/200. The sample was incubaded with the primary antibody fro 20 hours at 4°C in 2.5% serum. The secondary antibody used is a Goat anti-rabbit AlexaFluor 488 at 1/400. Heat mediated antigen retrieval was perfomed using citrate pH 6. Tissue was blocked with 5% serum for 1 hour 30 minutes at 25°C

This data was developed using the same antibody clone in a different buffer formulation containing PBS, BSA, glycerol, and sodium azide (ab92547).

Multiplex immunohistochemistry - Anti-Vimentin antibody [EPR3776] - BSA and Azide free (AB193555)
  • mIHC

Lab

Multiplex immunohistochemistry - Anti-Vimentin antibody [EPR3776] - BSA and Azide free (AB193555)

Multiplex immunohistochemistry (Formalin/PFA-fixed paraffin-embedded sections) analysis of human testis tissue.

Panel A : merged staining of anti-Vimentin (red; Opal™690), anti-CYP11A1 (cyan; Opal™520) and anti-DDX4 / MVH (green; Opal™570) on human testis.
Panel B : anti-CYP11A1 stained on Leydig cells.
Panel C : anti-DDX4 / MVH stained on all spermatogenic cell types.
Panel D : anti-Vimentin stained on Sertoli cells and fibroblasts.

The section was incubated in three rounds of staining : in the order of ab193555 (1 : 2000 dilution) and ab272494 (1 : 10000 dilution) for 30 mins, then ab270534 (1 : 2000 dlilution) for 10 mins at room temperature. Each round was followed by a separate fluorescent tyramide signal amplification system.

The immunostaining was performed on a Leica Biosystems BOND® RX instrument with an Opal™ 4-color kit. Image acquisition was performed with Leica SP8 confocal microscope.

DAPI was used as a nuclear counter stain. Opal Polymer HRP Ms + Rb was used as a secondary.

Antigen retrieval : Heat mediated antigen retrieval with Tris-EDTA buffer (pH 9.0, epitope retrieval solution2) for 20 mins.

Immunocytochemistry/ Immunofluorescence - Anti-Vimentin antibody [EPR3776] - BSA and Azide free (AB193555)
  • ICC/IF

Unknown

Immunocytochemistry/ Immunofluorescence - Anti-Vimentin antibody [EPR3776] - BSA and Azide free (AB193555)

Clone EPR3776 (ab193555) has been successfully conjugated by Abcam. This image was generated using Anti-Vimentin antibody [EPR3776] - Cytoskeleton Marker (PE). Please refer to ab209446 for protocol details.

ab209446 staining Vimentin in HeLa cells. The cells were fixed with 100% methanol (5min), permeabilized with 0.1% Triton X-100 for 5 minutes and then blocked with 1% BSA/10% normal goat serum/0.3M glycine in 0.1% PBS-Tween for 1h. The cells were then incubated overnight at +4°C with ab209446 at 1/500 dilution (Pseudocolored in green) and ab195884, Rat monoclonal to Tubulin (Alexa Fluor® 647), at 1/250 dilution (shown in red). Nuclear DNA was labelled with DAPI (shown in blue).

Image was taken with a confocal microscope (Leica-Microsystems, TCS SP8).

This product also gave a positive signal under the same testing conditions in HeLa cells fixed with 4% formaldehyde (10 min).

Flow Cytometry (Intracellular) - Anti-Vimentin antibody [EPR3776] - BSA and Azide free (AB193555)
  • Flow Cyt (Intra)

Unknown

Flow Cytometry (Intracellular) - Anti-Vimentin antibody [EPR3776] - BSA and Azide free (AB193555)

Overlay histogram showing HeLa cells stained with unpurified ab92547 (red line). The cells were fixed with 80% methanol (5 min) and then permeabilized with 0.1% PBS-Triton X-100 for 20 min. The cells were then incubated in 1x PBS / 10% normal goat serum / 0.3M glycine to block non-specific protein-protein interactions followed by the antibody (ab92547 , 1/100 dilution) for 30 min at 22°C. The secondary antibody used was Goat Anti-Rabbit IgG H&L (DyLight® 488) preadsorbed (ab96899) at 1/500 dilution for 30 min at 22°C. Isotype control antibody (black line) was rabbit IgG (monoclonal) (1μg/1x106 cells) used under the same conditions. Acquisition of >5,000 events was performed. This antibody gave a positive signal in HeLa cells fixed with 4% paraformaldehyde/permeabilized in 0.1% PBS-Triton X-100 used under the same conditions.

This data was developed using the same antibody clone in a different buffer formulation containing PBS, BSA, glycerol, and sodium azide (ab92547).

Immunocytochemistry/ Immunofluorescence - Anti-Vimentin antibody [EPR3776] - BSA and Azide free (AB193555)
  • ICC/IF

AbReview57411****

Immunocytochemistry/ Immunofluorescence - Anti-Vimentin antibody [EPR3776] - BSA and Azide free (AB193555)

ab92547 staining Vimentin in human adenocarcinoma cells by ICC/IF (Immunocytochemistry/immunofluorescence). Cells were fixed with paraformaldehyde, permeabilized with 0.1% TX-100 in PBS and blocked with 5% serum for 1 at 21°C. Samples were incubated with primary antibody (1/400) for 12 hours at 21°C. A CY3® conjugated donkey anti-rabbit polyclonal was used as the secondary antibody at 1/200.

This data was developed using the same antibody clone in a different buffer formulation containing PBS, BSA, glycerol, and sodium azide (ab92547).

This image is courtesy of an anonymous Abreview.

Immunohistochemistry (Formalin/PFA-fixed paraffin-embedded sections) - Anti-Vimentin antibody [EPR3776] - BSA and Azide free (AB193555)
  • IHC-P

Unknown

Immunohistochemistry (Formalin/PFA-fixed paraffin-embedded sections) - Anti-Vimentin antibody [EPR3776] - BSA and Azide free (AB193555)

Fluorescent immunohistochemical analysis of paraffin-embedded human normal colon tissue using unpurified ab92547. Green- Vimentin red-PI

This data was developed using the same antibody clone in a different buffer formulation containing PBS, BSA, glycerol, and sodium azide (ab92547).

Immunohistochemistry (Formalin/PFA-fixed paraffin-embedded sections) - Anti-Vimentin antibody [EPR3776] - BSA and Azide free (AB193555)
  • IHC-P

Unknown

Immunohistochemistry (Formalin/PFA-fixed paraffin-embedded sections) - Anti-Vimentin antibody [EPR3776] - BSA and Azide free (AB193555)

Fluorescent immunohistochemical analysis of paraffin-embedded human normal kidney tissue using unpurified ab92547. Green- Vimentin red-PI.

This data was developed using the same antibody clone in a different buffer formulation containing PBS, BSA, glycerol, and sodium azide (ab92547).

Immunohistochemistry (Formalin/PFA-fixed paraffin-embedded sections) - Anti-Vimentin antibody [EPR3776] - BSA and Azide free (AB193555)
  • IHC-P

Unknown

Immunohistochemistry (Formalin/PFA-fixed paraffin-embedded sections) - Anti-Vimentin antibody [EPR3776] - BSA and Azide free (AB193555)

This IHC data was generated using the same anti-Vimentin antibody clone, EPR3776, in a different buffer formulation (cat# ab92547).

IHC image of unpurified ab92547 staining Vimentin in human breast adenocarcinoma formalin-fixed paraffin-embedded tissue sections*, performed on a Leica Bond. The section was pre-treated using heat mediated antigen retrieval with sodium citrate buffer (pH6, epitope retrieval solution 1) for 20 mins. The section was then incubated with ab92547, 1/200 dilution, for 15 mins at room temperature and detected using an HRP conjugated compact polymer system. DAB was used as the chromogen. The section was then counterstained with haematoxylin and mounted with DPX. No primary antibody was used in the negative control (shown on the inset).

For other IHC staining systems (automated and non-automated) customers should optimize variable parameters such as antigen retrieval conditions, primary antibody concentration and antibody incubation times.

*Tissue obtained from the Human Research Tissue Bank, supported by the NIHR Cambridge Biomedical Research Centre

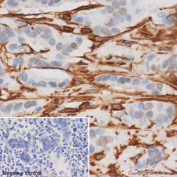
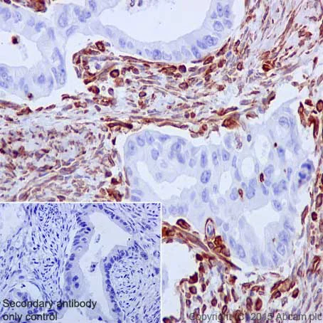
Immunohistochemistry (Formalin/PFA-fixed paraffin-embedded sections) - Anti-Vimentin antibody [EPR3776] - BSA and Azide free (AB193555)
  • IHC-P

Unknown

Immunohistochemistry (Formalin/PFA-fixed paraffin-embedded sections) - Anti-Vimentin antibody [EPR3776] - BSA and Azide free (AB193555)

Immunohistochemical staining of paraffin embedded human cervical carcinoma with purified ab92547 at a working dilution of 1/250. The secondary antibody used is HRP goat anti-rabbit IgG H&L (ab97051) at 1/500. The sample is counter-stained with hematoxylin. Antigen retrieval was perfomed using Tris-EDTA buffer, pH 9.0. PBS was used instead of the primary antibody as the negative control, and is shown in the inset.This data was developed using the same antibody clone in a different buffer formulation containing PBS, BSA, glycerol, and sodium azide (ab92547).

Immunocytochemistry/ Immunofluorescence - Anti-Vimentin antibody [EPR3776] - BSA and Azide free (AB193555)
  • ICC/IF

Unknown

Immunocytochemistry/ Immunofluorescence - Anti-Vimentin antibody [EPR3776] - BSA and Azide free (AB193555)

ab92547 staining Vimentin in HeLa (human epithelial cell line from cervix adenocarcinoma) cells. The cells were fixed with 100% methanol (5min) and then blocked in 1% BSA/10% normal goat serum/0.3M glycine in 0.1%PBS-Tween for 1h. The cells were then incubated with ab92547 at 5μg/ml and ab7291 at 1μg/ml overnight at +4°C followed by a further incubation at room temperature for 1h with Goat Anti-Rabbit IgG H&L (Alexa Fluor® 488) preadsorbed (ab150081) secondary antibody at 2 μg/ml (shown in green) and Goat Anti-Mouse IgG H&L (Alexa Fluor® 594) preadsorbed (ab150120) at 2 μg/ml (shown in pseudo color red). Nuclear DNA was labelled in blue with DAPI.

Negative controls : 1– Rabbit primary antibody and anti-mouse secondary antibody; 2 – Mouse primary antibody and anti-rabbit secondary antibody. Controls 1 and 2 indicate that there is no unspecific reaction between primary and secondary antibodies used.

This data was developed using the same antibody clone in a different buffer formulation containing PBS, BSA, glycerol, and sodium azide (ab92547).

Immunohistochemistry (Formalin/PFA-fixed paraffin-embedded sections) - Anti-Vimentin antibody [EPR3776] - BSA and Azide free (AB193555)
  • IHC-P

Unknown

Immunohistochemistry (Formalin/PFA-fixed paraffin-embedded sections) - Anti-Vimentin antibody [EPR3776] - BSA and Azide free (AB193555)

Formalin-fixed, paraffin-embedded human AD brain tissue stained for vimentin using ab92547 at 1/2000 dilution in immunohistochemical analysis.

This data was developed using the same antibody clone in a different buffer formulation containing PBS, BSA, glycerol, and sodium azide (ab92547).

Flow Cytometry (Intracellular) - Anti-Vimentin antibody [EPR3776] - BSA and Azide free (AB193555)
  • Flow Cyt (Intra)

Unknown

Flow Cytometry (Intracellular) - Anti-Vimentin antibody [EPR3776] - BSA and Azide free (AB193555)

Overlay histogram showing HeLa cells fixed in 2% PFA and stained with purified ab92547 at a dilution of 1 in 50 (red line). The secondary antibody used was FITC goat anti-rabbit at a dilution of 1 in 500. Rabbit monoclonal IgG was used as an isotype control (black line) and cells incubated in the absence of both primary and secondary antibody were used as a negative control (blue line).

This data was developed using the same antibody clone in a different buffer formulation containing PBS, BSA, glycerol, and sodium azide (ab92547).

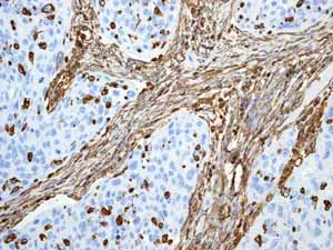
Immunohistochemistry (Formalin/PFA-fixed paraffin-embedded sections) - Anti-Vimentin antibody [EPR3776] - BSA and Azide free (AB193555)
  • IHC-P

Unknown

Immunohistochemistry (Formalin/PFA-fixed paraffin-embedded sections) - Anti-Vimentin antibody [EPR3776] - BSA and Azide free (AB193555)

Immunohistochemical analysis of formalin/PFA-fixed paraffin-embedded human cervical carcinoma tissue sections labeling Vimentin with ab92547.

This data was developed using the same antibody clone in a different buffer formulation containing PBS, BSA, glycerol, and sodium azide (ab92547).

Multiplex immunohistochemistry - Anti-Vimentin antibody [EPR3776] - BSA and Azide free (AB193555)
  • mIHC

Collaborator

Multiplex immunohistochemistry - Anti-Vimentin antibody [EPR3776] - BSA and Azide free (AB193555)

Immunofluorescence analysis of human rectum adenocarcinoma labelled with ab193555. Image was acquired using Cell DIVE Multiplexed Imaging Solution (Leica Microsystems).

Formalin fixed paraffin embedded (FFPE) sections were incubated with ab193555 at 1/100 dilution, for 1h at room temperature. Nuclear DNA was labelled with DAPI (Red). Deparaffinization, antigen retrieval, biomarker labeling and imaging was performed following Cell DIVE recommended standard protocol. Cell DIVE automatically processed the image to perform autofluorescence removal, distortion correction, blank glass subtraction, flat-field correction, and stitching.

Immunocytochemistry/ Immunofluorescence - Anti-Vimentin antibody [EPR3776] - BSA and Azide free (AB193555)
  • ICC/IF

Unknown

Immunocytochemistry/ Immunofluorescence - Anti-Vimentin antibody [EPR3776] - BSA and Azide free (AB193555)

This ICC data was generated using the same anti-Vimentin antibody clone, EPR3776, in a different buffer formulation (cat# ab92547).

ab92547 staining Vimentin in wild-type HAP1 cells (top panel) and VIM knockout HAP1 cells (bottom panel). The cells were fixed with 100% methanol (5min), permeabilized with 0.1% Triton X-100 for 5 minutes and then blocked with 1% BSA/10% normal goat serum/0.3M glycine in 0.1% PBS-Tween for 1h. The cells were then incubated with ab92547 at 0.5μg/ml and ab195889 at 1/250 dilution (shown in pseudocolour red) overnight at +4°C, followed by a further incubation at room temperature for 1h with a goat secondary antibody to Rabbit IgG (Alexa Fluor® 488) (ab150081) at 2 μg/ml (shown in green). Nuclear DNA was labelled in blue with DAPI.

Image was taken with a confocal microscope (Leica-Microsystems, TCS SP8).

Flow Cytometry (Intracellular) - Anti-Vimentin antibody [EPR3776] - BSA and Azide free (AB193555)
  • Flow Cyt (Intra)

Unknown

Flow Cytometry (Intracellular) - Anti-Vimentin antibody [EPR3776] - BSA and Azide free (AB193555)

Overlay histogram showing HAP1 wildtype (green line) and HAP1-VIM knockout cells (red line) stained with ab92547. The cells were fixed with 80% methanol (5 min) and then permeabilized with 0.1% PBS-Triton X-100 for 15 min. The cells were then incubated in 1x PBS / 10% normal goat serum to block non-specific protein-protein interactions followed by the antibody (ab92547, 0.5μg/ml) for 30 min at 22°C. The secondary antibody used was Goat Anti-Rabbit IgG H&L (Alexa Fluor® 488) preadsorbed (ab150081) secondary antibody at 1/2000 dilution for 30 min at 22°C. A Rabbit IgG isotype control antibody (ab172730) was used at the same concentration and conditions as the primary antibody (HAP1 wildtype - black line, HAP1-VIM knockout - grey line). Unlabelled sample was also used as a control (this line is not shown for the purpose of simplicity). Acquisition of >5,000 events were collected using a 50 mW Blue laser (488nm) and 530/30 bandpass filter. This data was developed using the same antibody clone in a different buffer formulation containing PBS, BSA, glycerol, and sodium azide (ab92547).

Immunocytochemistry/ Immunofluorescence - Anti-Vimentin antibody [EPR3776] - BSA and Azide free (AB193555)
  • ICC/IF

Unknown

Immunocytochemistry/ Immunofluorescence - Anti-Vimentin antibody [EPR3776] - BSA and Azide free (AB193555)

Unpurified ab92547 staining Vimentin in HeLa cells. The cells were fixed with 100% methanol (5 min) permeabilized in 0.1% Triton X-100 for 5 minutes and then blocked in 1% BSA/10% normal goat serum/0.3M glycine in 0.1% PBS-Tween for 1h. The cells were then incubated with ab92547 at a working concentration of 5μg/ml and ab195889 Mouse monoclonal [DM1A] to alpha Tubulin (Alexa Fluor® 594 shown in red) at 1/250 dilution overnight at +4°C followed by a further incubation at room temperature for 1h with Goat Anti-Rabbit IgG H&L (Alexa Fluor® 488) preadsorbed (ab150081) secondary antibody at 2 μg/ml (shown in green). Nuclear DNA was labelled in blue with DAPI.

Image was taken with a confocal microscope (Leica-Microsystems TCS SP8).

This data was developed using the same antibody clone in a different buffer formulation containing PBS, BSA, glycerol, and sodium azide (ab92547).

Immunohistochemistry (Formalin/PFA-fixed paraffin-embedded sections) - Anti-Vimentin antibody [EPR3776] - BSA and Azide free (AB193555)
  • IHC-P

Unknown

Immunohistochemistry (Formalin/PFA-fixed paraffin-embedded sections) - Anti-Vimentin antibody [EPR3776] - BSA and Azide free (AB193555)

Immunohistochemical analysis of formalin/PFA-fixed paraffin-embedded human kidney tissue sections labeling Vimentin with ab92547.

This data was developed using the same antibody clone in a different buffer formulation containing PBS, BSA, glycerol, and sodium azide (ab92547).

Immunocytochemistry/ Immunofluorescence - Anti-Vimentin antibody [EPR3776] - BSA and Azide free (AB193555)
  • ICC/IF

Unknown

Immunocytochemistry/ Immunofluorescence - Anti-Vimentin antibody [EPR3776] - BSA and Azide free (AB193555)

Immunofluorescence staining of HeLa (human epithelial cell line from cervix adenocarcinoma) cells with purified ab92547 at a working dilution of 1/250 counter-stained with DAPI. The secondary antibody was Goat Anti-Rabbit IgG H&L (Alexa Fluor® 488) (ab150077) secondary antibody used at a dilution of 1/1000. ab7291 a mouse anti-tubulin antibody (1/1000) was used to stain tubulin along with Goat Anti-Mouse IgG H&L (Alexa Fluor® 594) preadsorbed (ab150120) 1/1000 shown in the top right hand panel. The cells were fixed in 4% PFA and permeabilized using 0.1% Triton X 100. The negative controls are shown in bottom middle and right hand panels - for negative control 1 purified ab92547 was used at a dilution of 1/500 followed by Goat Anti-Mouse IgG H&L (Alexa Fluor® 594) preadsorbed (ab150120) at a dilution of 1/500. For negative control 2 ab7291 (mouse anti-tubulin) was used at a dilution of 1/500 followed by Goat Anti-Rabbit IgG H&L (Alexa Fluor® 488) (ab150077) secondary antibody at a dilution of 1/400.

This data was developed using the same antibody clone in a different buffer formulation containing PBS, BSA, glycerol, and sodium azide (ab92547).

Immunohistochemistry (Formalin/PFA-fixed paraffin-embedded sections) - Anti-Vimentin antibody [EPR3776] - BSA and Azide free (AB193555)
  • IHC-P

Unknown

Immunohistochemistry (Formalin/PFA-fixed paraffin-embedded sections) - Anti-Vimentin antibody [EPR3776] - BSA and Azide free (AB193555)

Anti-vimentin (ab92547) staining in human ovarian cancer tissue using immunohistochemistry (formaldehyde-fixed, paraffin-embedded sections). Heat-mediated antigen retrieval was carried out using citric acid. Samples were incubated with primary antibody (1/2000) for two hours at room temperature. A biotin-conjugated goat anti-rabbit IgG polyclonal was used as the secondary antibody.

Image courtesy of Mr Carl Hobbs, Kings College London.

This data was developed using the same antibody clone in a different buffer formulation containing PBS, BSA, glycerol, and sodium azide (ab92547).

Immunocytochemistry/ Immunofluorescence - Anti-Vimentin antibody [EPR3776] - BSA and Azide free (AB193555)
  • ICC/IF

Lab

Immunocytochemistry/ Immunofluorescence - Anti-Vimentin antibody [EPR3776] - BSA and Azide free (AB193555)

Clone EPR3776 (ab193555) has been successfully conjugated by Abcam. This image was generated using Anti-Vimentin antibody [EPR3776] - Cytoskeleton Marker (Alexa Fluor® 488). Please refer to ab185030 for protocol details.

ab185030 staining Vimentin in wild-type HAP1 cells (top panel) and Vimentin knockout HAP1 cells (bottom panel). The cells were fixed with 100% methanol (5min), permeabilized with 0.1% Triton X-100 for 5 minutes and then blocked with 1% BSA/10% normal goat serum/0.3M glycine in 0.1% PBS-Tween for 1h. The cells were then incubated overnight at +4°C with ab185030 at a 1/500 dilution (shown in green) and ab195889, Mouse monoclonal to alpha Tubulin (Alexa Fluor® 594), at a 1/250 dilution (shown in red). Nuclear DNA was labelled with DAPI (shown in blue).

Image was taken with a confocal microscope (Leica-Microsystems, TCS SP8).

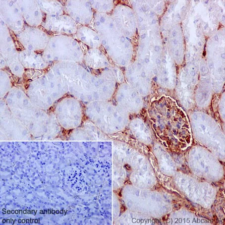
Immunohistochemistry (Formalin/PFA-fixed paraffin-embedded sections) - Anti-Vimentin antibody [EPR3776] - BSA and Azide free (AB193555)
  • IHC-P

Unknown

Immunohistochemistry (Formalin/PFA-fixed paraffin-embedded sections) - Anti-Vimentin antibody [EPR3776] - BSA and Azide free (AB193555)

Immunohistochemical staining of paraffin embedded mouse kidney with purified ab92547 at a working dilution of 1/250. The secondary antibody used is Goat Anti-Rabbit IgG H&L (HRP) (ab97051) secondary antibody at 1/500. The sample is counter-stained with hematoxylin. Antigen retrieval was perfomed using Tris-EDTA buffer, pH 9.0. PBS was used instead of the primary antibody as the negative control, and is shown in the inset.

This data was developed using the same antibody clone in a different buffer formulation containing PBS, BSA, glycerol, and sodium azide (ab92547).

Immunohistochemistry (Formalin/PFA-fixed paraffin-embedded sections) - Anti-Vimentin antibody [EPR3776] - BSA and Azide free (AB193555)
  • IHC-P

Unknown

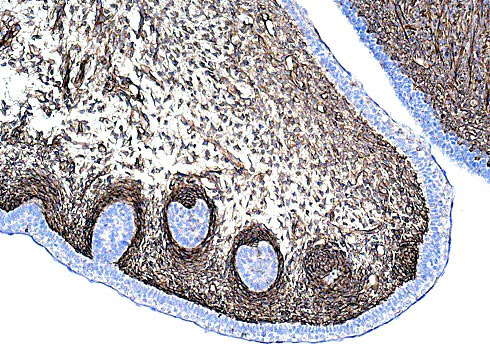
Immunohistochemistry (Formalin/PFA-fixed paraffin-embedded sections) - Anti-Vimentin antibody [EPR3776] - BSA and Azide free (AB193555)

Anti-vimentin (ab92547) staining in E17 rat cheek sections using immunohistochemistry (formaldehyde-fixed, paraffin-embedded sections). Heat-mediated antigen retrieval was carried out using citric acid. Samples were incubated with primary antibody (1/2000) for two hours at room temperature. A biotin-conjugated goat anti-rabbit IgG polyclonal was used as the secondary antibody.

Image courtesy of Mr Carl Hobbs, Kings College London.

This data was developed using the same antibody clone in a different buffer formulation containing PBS, BSA, glycerol, and sodium azide (ab92547).

Immunohistochemistry (Formalin/PFA-fixed paraffin-embedded sections) - Anti-Vimentin antibody [EPR3776] - BSA and Azide free (AB193555)
  • IHC-P

PubMed

Immunohistochemistry (Formalin/PFA-fixed paraffin-embedded sections) - Anti-Vimentin antibody [EPR3776] - BSA and Azide free (AB193555)

JhylacZ/lacZ mice exhibit delayed radial glial to ependymal cell differentiation.

Immunohistochemical analysis of P10 lateral ventricle coronal sections from Jhy+/+ (A, E) and JhylacZ/lacZ (I, M) mice for expression of Vimentin (pink, ab92547), Glast (green) and Acα-Tub (orange) in dorsal (A-D, I-L) and ventral (E-H, M-P) brain regions. Lower right panels (D, L, H, P) represent a higher magnification view of the merged image. In Jhy+/+, medial wall dorsal and ventral cells express the differentiated ependymal markers Vimentin (A, B, E, F) and Acα-Tub (A, D, E, H), but are negative for the radial glial marker Glast (A, C, E, G). In JhylacZ/lacZ brains, some dorsal cells remain positive for the undifferentiated marker Glast (I, K), while also expressing the differentiated markers Vimentin and Acα-Tub (I, J, L). JhylacZ/lacZ ventral cells express only Vimentin and Acα-Tub (M-P). The dotted line indicates the medial wall ependymal cells in (C, G, K, O). (Q-R) Graphical representation of the percentage of Glast(-)Vimentin(+)Acα-Tub(+) (black bar) and Glast(+)Vimentin(+)Acα-Tub(+) (grey bar) cells in dorsal (Q) and ventral (R) ependymal cells. MW, medial wall; LW, lateral wall; LV, lateral ventricle; * denotes p≤0.05. Scale bars : 50μm (A-P).

This data was developed using the same antibody clone in a different buffer formulation containing PBS, BSA, glycerol, and sodium azide (ab92547).

Image from Muniz-Talavera H and Schmidt JV. PLoS One. 2017;12(12):e0184957. Fig 3.; doi: 10.1371/journal.pone.0184957.

Immunohistochemistry (Formalin/PFA-fixed paraffin-embedded sections) - Anti-Vimentin antibody [EPR3776] - BSA and Azide free (AB193555)
  • IHC-P

Unknown

Immunohistochemistry (Formalin/PFA-fixed paraffin-embedded sections) - Anti-Vimentin antibody [EPR3776] - BSA and Azide free (AB193555)

Anti-vimentin (ab92547) staining in adult mouse brain (the dentate gyrus region of the hippocampus) using immunohistochemistry (formaldehyde-fixed, paraffin-embedded sections). Heat-mediated antigen retrieval was carried out using citric acid. Samples were incubated with primary antibody (1/2000) for two hours at room temperature. A biotin-conjugated goat anti-rabbit IgG polyclonal was used as the secondary antibody.

Image courtesy of Mr Carl Hobbs, Kings College London.

This data was developed using the same antibody clone in a different buffer formulation containing PBS, BSA, glycerol, and sodium azide (ab92547).

Immunocytochemistry/ Immunofluorescence - Anti-Vimentin antibody [EPR3776] - BSA and Azide free (AB193555)
  • ICC/IF

Unknown

Immunocytochemistry/ Immunofluorescence - Anti-Vimentin antibody [EPR3776] - BSA and Azide free (AB193555)

Clone EPR3776 (ab193555) has been successfully conjugated by Abcam. This image was generated using Anti-Vimentin antibody [EPR3776] - Cytoskeleton Marker (Alexa Fluor® 647). Please refer to ab194719 for protocol details.

ab194719 staining Vimentin in NIH3T3 cells. The cells were fixed with 4% formaldehyde (10 min), permeabilized in 0.1% Triton X-100 for 5 minutes and then blocked in 1% BSA/10% normal goat serum/0.3M glycine in 0.1% PBS-Tween for 1h. The cells were then incubated with ab194719 at 1/100 dilution(shown in red) and ab195887, Mouse monoclonal [DM1A] to alpha Tubulin (Alexa Fluor® 488, shown in green) at 2µg/ml overnight at +4°C. Nuclear DNA was labelled in blue with DAPI.

Image was taken with a confocal microscope (Leica-Microsystems, TCS SP8).

Immunohistochemistry (Formalin/PFA-fixed paraffin-embedded sections) - Anti-Vimentin antibody [EPR3776] - BSA and Azide free (AB193555)
  • IHC-P

AbReview53787****

Immunohistochemistry (Formalin/PFA-fixed paraffin-embedded sections) - Anti-Vimentin antibody [EPR3776] - BSA and Azide free (AB193555)

ab92547 staining Vimentin in rat skin tissue sections by Immunohistochemistry (IHC-P - paraformaldehyde-fixed, paraffin-embedded sections). Tissue was fixed with 10% buffered normal formalin and blocked with 5% serum for 60 minutes at 21°C; antigen retrieval was by heat mediation in a 10mM Sodium citrate buffer. Samples were incubated with primary antibody (1/200 in blocking buffer) for 12 hours at 4°C. A Cy3®-conjugated donkey anti-rabbit IgG polyclonal (1/200) was used as the secondary antibody.

This data was developed using the same antibody clone in a different buffer formulation containing PBS, BSA, glycerol, and sodium azide (ab92547).

This image is courtesy of an anonymous Abreview.

Western blot - Anti-Vimentin antibody [EPR3776] - BSA and Azide free (AB193555)
  • WB

Lab

Western blot - Anti-Vimentin antibody [EPR3776] - BSA and Azide free (AB193555)

This data was developed using ab92547, the same antibody clone in a different buffer formulation. Different batches of ab92547 were tested on HEK-293 (Human embryonic kidney epithelial cell) lysate at 0.02 µg/ml. 15 µg of lysate was loaded in each lane. Bands observed at 54 kDa.

All lanes:

Western blot - Anti-Vimentin antibody [EPR3776] - Cytoskeleton Marker (<a href='/en-us/products/primary-antibodies/vimentin-antibody-epr3776-cytoskeleton-marker-ab92547'>ab92547</a>)

Predicted band size: 53 kDa

false

Immunohistochemistry (Formalin/PFA-fixed paraffin-embedded sections) - Anti-Vimentin antibody [EPR3776] - BSA and Azide free (AB193555)
  • IHC-P

Supplier Data

Immunohistochemistry (Formalin/PFA-fixed paraffin-embedded sections) - Anti-Vimentin antibody [EPR3776] - BSA and Azide free (AB193555)

This data was developed using ab92547, the same antibody clone in a different buffer formulation. Tissue Microarrays stained for Anti-Vimentin antibody [EPR3776] - Cytoskeleton Marker using ab92547 in immunohistochemical analysis. This table provides a detailed overview of positive (tick mark) and negaive (cross mark) staining per sample type tested. The section was incubated with ab92547 at 4°C overnight followed by a ready to use Goat Anti-Rabbit IgG H&L (HRP polymer) secondary antibody (ab214880). Heat mediated antigen retrieval was performed using ab93684 (Tris/EDTA buffer, pH 9.0).

OI-RD Scanning - Anti-Vimentin antibody [EPR3776] - BSA and Azide free (AB193555)
  • OI-RD Scanning

Unknown

OI-RD Scanning - Anti-Vimentin antibody [EPR3776] - BSA and Azide free (AB193555)

We have systematically measured KD (the equilibrium dissociation constant between the antibody and its antigen), of more than 840 recombinant antibodies to assess not only their individual KD values but also to see the average affinity of antibody. Based on the comparison with published literature values for mouse monoclonal antibodies, Recombinant antibodies appear to be on average 1-2 order of magnitude higher affinity.

  • Unconjugated

    Anti-Vimentin antibody [EPR3776] - Cytoskeleton Marker

  • 775 Alexa Fluor® 750

    Alexa Fluor® 750 Anti-Vimentin antibody [EPR3776] - Cytoskeleton Marker

  • HRP

    HRP Anti-Vimentin antibody [EPR3776] - Cytoskeleton Marker

  • 421 Alexa Fluor® 405

    Alexa Fluor® 405 Anti-Vimentin antibody [EPR3776] - Cytoskeleton Marker

  • 578 PE

    PE Anti-Vimentin antibody [EPR3776] - Cytoskeleton Marker

  • 565 Alexa Fluor® 555

    Alexa Fluor® 555 Anti-Vimentin antibody [EPR3776] - Cytoskeleton Marker

  • 617 Alexa Fluor® 594

    Alexa Fluor® 594 Anti-Vimentin antibody [EPR3776] - Cytoskeleton Marker

  • 519 Alexa Fluor® 488

    Alexa Fluor® 488 Anti-Vimentin antibody [EPR3776] - Cytoskeleton Marker

  • 665 Alexa Fluor® 647

    Alexa Fluor® 647 Anti-Vimentin antibody [EPR3776] - Cytoskeleton Marker

  • 603 Alexa Fluor® 568

    Alexa Fluor® 568 Anti-Vimentin antibody [EPR3776] - Cytoskeleton Marker

  • 660 APC

    APC Anti-Vimentin antibody [EPR3776] - Cytoskeleton Marker

Key facts

Host species

Rabbit

Clonality

Monoclonal

Clone number

EPR3776

Isotype

IgG

Carrier free

Yes

Reacts with

Mouse, Rat, Human, African green monkey

Applications

ICC/IF, IHC-P, WB, Flow Cyt (Intra), mIHC

applications

Immunogen

The exact immunogen used to generate this antibody is proprietary information.

Reactivity data

{ "title": "Reactivity Data", "filters": { "stats": ["", "Species", "Dilution Info", "Notes"], "tabs": { "all-applications": {"fullname" : "All Applications", "shortname": "All Applications"}, "ICCIF" : {"fullname" : "Immunocytochemistry/ Immunofluorescence", "shortname":"ICC/IF"}, "mIHC" : {"fullname" : "Multiplex immunohistochemistry", "shortname":"mIHC"}, "WB" : {"fullname" : "Western blot", "shortname":"WB"}, "FlowCytIntra" : {"fullname" : "Flow Cytometry (Intracellular)", "shortname":"Flow Cyt (Intra)"}, "IHCP" : {"fullname" : "Immunohistochemistry (Formalin/PFA-fixed paraffin-embedded sections)", "shortname":"IHC-P"} }, "product-promise": { "all": "all", "testedAndGuaranteed": "tested", "guaranteed": "expected", "predicted": "predicted", "notRecommended": "not-recommended" } }, "values": { "Human": { "ICCIF-species-checked": "testedAndGuaranteed", "ICCIF-species-dilution-info": "", "ICCIF-species-notes": "<p>This product gave a positive signal in HeLa (VIM knockout HeLa cells were used as a negative control) fixed with 4% formaldehyde (10 min) and 100% methanol (5 min).</p>", "mIHC-species-checked": "testedAndGuaranteed", "mIHC-species-dilution-info": "1/100", "mIHC-species-notes": "<p></p>", "WB-species-checked": "testedAndGuaranteed", "WB-species-dilution-info": "", "WB-species-notes": "<p></p>", "FlowCytIntra-species-checked": "testedAndGuaranteed", "FlowCytIntra-species-dilution-info": "", "FlowCytIntra-species-notes": "<p><a href='/en-us/products/primary-antibodies/rabbit-igg-monoclonal-epr25a-isotype-control-low-endotoxin-azide-free-ab199376'>ab199376</a> - Rabbit monoclonal IgG, is suitable for use as an isotype control with this antibody.</p>", "IHCP-species-checked": "testedAndGuaranteed", "IHCP-species-dilution-info": "", "IHCP-species-notes": "<p></p>" }, "Mouse": { "ICCIF-species-checked": "guaranteed", "ICCIF-species-dilution-info": "", "ICCIF-species-notes": "", "mIHC-species-checked": "guaranteed", "mIHC-species-dilution-info": "", "mIHC-species-notes": "", "WB-species-checked": "testedAndGuaranteed", "WB-species-dilution-info": "", "WB-species-notes": "<p></p>", "FlowCytIntra-species-checked": "guaranteed", "FlowCytIntra-species-dilution-info": "", "FlowCytIntra-species-notes": "", "IHCP-species-checked": "testedAndGuaranteed", "IHCP-species-dilution-info": "", "IHCP-species-notes": "<p></p>" }, "Rat": { "ICCIF-species-checked": "guaranteed", "ICCIF-species-dilution-info": "", "ICCIF-species-notes": "", "mIHC-species-checked": "guaranteed", "mIHC-species-dilution-info": "", "mIHC-species-notes": "", "WB-species-checked": "testedAndGuaranteed", "WB-species-dilution-info": "", "WB-species-notes": "<p></p>", "FlowCytIntra-species-checked": "guaranteed", "FlowCytIntra-species-dilution-info": "", "FlowCytIntra-species-notes": "", "IHCP-species-checked": "testedAndGuaranteed", "IHCP-species-dilution-info": "", "IHCP-species-notes": "<p></p>" }, "African green monkey": { "ICCIF-species-checked": "guaranteed", "ICCIF-species-dilution-info": "", "ICCIF-species-notes": "", "mIHC-species-checked": "guaranteed", "mIHC-species-dilution-info": "", "mIHC-species-notes": "", "WB-species-checked": "testedAndGuaranteed", "WB-species-dilution-info": "", "WB-species-notes": "<p></p>", "FlowCytIntra-species-checked": "guaranteed", "FlowCytIntra-species-dilution-info": "", "FlowCytIntra-species-notes": "", "IHCP-species-checked": "guaranteed", "IHCP-species-dilution-info": "", "IHCP-species-notes": "" }, "Rhesus monkey": { "ICCIF-species-checked": "predicted", "ICCIF-species-dilution-info": "", "ICCIF-species-notes": "", "mIHC-species-checked": "predicted", "mIHC-species-dilution-info": "", "mIHC-species-notes": "", "WB-species-checked": "predicted", "WB-species-dilution-info": "", "WB-species-notes": "", "FlowCytIntra-species-checked": "predicted", "FlowCytIntra-species-dilution-info": "", "FlowCytIntra-species-notes": "", "IHCP-species-checked": "predicted", "IHCP-species-dilution-info": "", "IHCP-species-notes": "" } } }

Product details

What is this antibody validated in?
Anti-Vimentin antibody [EPR3776] - BSA and Azide free (ab193555) is a rabbit recombinant monoclonal antibody and is validated for use in Western Blot (WB), Flow Cytometry (Intra), Flow Cytometry (Flow Cyt), Immunohistochemistry (IHC-P), Immunocytochemistry/immunofluorescence (ICC/IF), Multiplex IHC (mIHC) in African green monkey, Human, Mouse, Rat samples.

What is the molecular weight of Vimentin?
Anti-Vimentin [EPR3776] - BSA and Azide free (ab193555) specifically detects a band for Vimentin (UniProt: P08670) at a molecular weight of 54kDa.

Trusted by the scientific community
Anti-Vimentin [EPR3776] - BSA and Azide free (ab193555) was first used in a scientific publication in 2014 and has been cited over 40 times in peer-reviewed journals.

Specificity confirmed
The specificity of Anti-Vimentin antibody [EPR3776] - BSA and Azide free (ab193555) has been confirmed by Immunocytochemistry/ Immunofluorescence testing in VIM Knockout HeLa cells.

Other related products
We have a range of other formats of antibody clone [EPR3776] also available for your convenience: ab92547, Alexa Fluor® 594 - ab154207, Alexa Fluor® 488 - ab185030, Carrier free - ab193555, HRP - ab194718, Alexa Fluor® 647 - ab194719, Alexa Fluor® 568 - ab202504, Alexa Fluor® 555 - ab203428, PE - ab209446, Alexa Fluor® 405 - ab210152, Alexa Fluor® 568 - ab236866, Carrier free - ab307988, APC - ab314250, ab316214, Carrier free - ab316215, Alexa Fluor® 750 - ab321763, ab323238, Carrier free - ab323247

Patented technology
Our RabMAb® technology is a patented hybridoma-based technology for making rabbit monoclonal antibodies. For details on our patents, please refer to RabMAb® patents.

What are the advantages of a recombinant monoclonal antibody?
This product is a recombinant monoclonal antibody, which offers several advantages including:

  • - High batch-to-batch consistency and reproducibility
  • - Improved sensitivity and specificity
  • - Long-term security of supply
  • - Animal-free batch production

For more information, read more on recombinant antibodies.

Conjugation ready
Our carrier-free antibodies are typically supplied in a PBS-only formulation, purified and free of BSA, sodium azide and glycerol. This conjugation-ready format is designed for use with fluorochromes, metal isotopes, oligonucleotides, and enzymes, which makes them ideal for antibody labelling, functional and cell-based assays, flow-based assays (e.g. mass cytometry) and Multiplex Imaging applications.

Use our conjugation kits for antibody conjugates that are ready-to-use in as little as 20 minutes with 1 minute hands-on-time and 100% antibody recovery: available for fluorescent dyes, HRP, biotin and gold.

Compatibility
This product is compatible with the Maxpar® Antibody Labeling Kit from Fluidigm, without the need for antibody preparation. Maxpar® is a trademark of Fluidigm Canada Inc.

Properties and storage information

Form
Liquid
Purification technique
Affinity purification Protein A
Storage buffer
pH: 7.2 - 7.4 Constituents: PBS
Shipped at conditions
Blue Ice
Appropriate short-term storage conditions
+4°C
Appropriate long-term storage conditions
+4°C
Storage information
Do Not Freeze

Product protocols

For this product, it's our understanding that no specific protocols are required. You can visit:

Target data

Vimentin, a class-III intermediate filament, is present in various non-epithelial cells, particularly mesenchymal cells, and connects either laterally or terminally to the nucleus, endoplasmic reticulum, and mitochondria. It is involved with LARP6 in stabilizing type I collagen mRNAs for CO1A1 and CO1A2. This supplementary information is collated from multiple sources and compiled automatically.
See full target information VIM

Publications (56)

Recent publications for all applications. Explore the full list and refine your search

Frontiers in veterinary science 12:1661930 PubMed41070386

2025

Different responses of luminal and glandular epithelium during mouse embryo implantation.

Applications

Unspecified application

Species

Unspecified reactive species

Wenjing Cui,Xiangrui Guan,Peisen Liu,Qi-Xin Xu,Juan Xie,Yaqi Jiao,Lin Jin,Peng-Chao Wang,Zhenshan Yang

Journal of Cancer 15:3441-3451 PubMed38817851

2024

5-Fluorouracil resistant CRC cells derived exosomes promote cancer-associated fibroblasts secreting more CXCL12.

Applications

Unspecified application

Species

Unspecified reactive species

Tongxin Zhang,Zilong He,Xiaowei Qi,Yu Zhang,Yankui Liu,Linfang Jin,Teng Wang

Cancer cell 42:396-412.e5 PubMed38242124

2024

Cancer-associated fibroblast phenotypes are associated with patient outcome in non-small cell lung cancer.

Applications

Unspecified application

Species

Unspecified reactive species

Lena Cords,Stefanie Engler,Martina Haberecker,Jan Hendrik Rüschoff,Holger Moch,Natalie de Souza,Bernd Bodenmiller

Journal of gastrointestinal oncology 13:1444-1453 PubMed35837197

2022

UBE2C promotes the progression of pancreatic cancer and glycolytic activity via EGFR stabilization-mediated PI3K-Akt pathway activation.

Applications

Unspecified application

Species

Unspecified reactive species

Jing-Zhu Cao,Gang Nie,Hao Hu,Xiao Zhang,Chen-Ming Ni,Zhi-Ping Huang,Guang-Lei Qiao,Liu Ouyang

NPJ precision oncology 6:41 PubMed35729213

2022

Identification of epithelial and mesenchymal circulating tumor cells in clonal lineage of an aggressive prostate cancer case.

Applications

Unspecified application

Species

Unspecified reactive species

Shoujie Chai,Carmen Ruiz-Velasco,Amin Naghdloo,Milind Pore,Mohan Singh,Nicholas Matsumoto,Anand Kolatkar,Liya Xu,Stephanie Shishido,Ana Aparicio,Amado J Zurita,James Hicks,Peter Kuhn

Annals of translational medicine 9:1722 PubMed35071416

2022

Aloe-emodin inhibits the proliferation, migration, and invasion of melanoma cells via inactivation of the Wnt/beta-catenin signaling pathway.

Applications

Unspecified application

Species

Unspecified reactive species

Maotao Du,Pan Shen,Ranjing Tan,Dengyan Wu,Shenghao Tu

Journal of bone oncology 32:100411 PubMed35145841

2022

m6A-dependent upregulation of TRAF6 by METTL3 is associated with metastatic osteosarcoma.

Applications

Unspecified application

Species

Unspecified reactive species

Jing Wang,Wentao Wang,Xing Huang,Jiashi Cao,Shuming Hou,Xiangzhi Ni,Cheng Peng,Tielong Liu

Oncology reports 46: PubMed34396428

2021

Ultrasound‑targeted microbubble destruction‑mediated overexpression of Sirtuin 3 inhibits the progression of ovarian cancer.

Applications

Unspecified application

Species

Unspecified reactive species

Li Cheng,Dongmei Zhang,Wei Yan

Bioengineered 12:2563-2575 PubMed34130593

2021

Lysine Acetyltransferase 2B predicts favorable prognosis and functions as anti-oncogene in cervical carcinoma.

Applications

Unspecified application

Species

Unspecified reactive species

Lei Li,Juntao Zhang,Shuping Cao

Open medicine (Warsaw, Poland) 16:805-815 PubMed34027108

2021

Functional implications of PABPC1 in the development of ovarian cancer.

Applications

Unspecified application

Species

Unspecified reactive species

Cong Feng,Yan-Hua Han,Na Qi,Jia Li,Qing-Hua Sheng,Yu Liu,Li-Li Yang
View all publications

Product promise

We are committed to supporting your work with high-quality reagents, and we're here for you every step of the way. In the unlikely event that one of our products does not perform as expected, you're protected by our Product Promise.
For full details, please see our Terms & Conditions

Please note: All products are 'FOR RESEARCH USE ONLY. NOT FOR USE IN DIAGNOSTIC OR THERAPEUTIC PROCEDURES'.

For licensing inquiries, please contact partnerships@abcam.com