JavaScript is disabled in your browser. Please enable JavaScript to view this website.
AB27608

Anti-Vimentin antibody [SP20], prediluted

Be the first to review this product! Submit a review

|

(13 Publications)

Rabbit Recombinant Monoclonal Vimentin antibody. Suitable for ICC/IF, Flow Cyt, WB, IHC-P and reacts with Human samples. Cited in 13 publications.

View Alternative Names

Vimentin, VIM

4 Images
Flow Cytometry - Anti-Vimentin antibody [SP20], prediluted (AB27608)
  • Flow Cyt

Unknown

Flow Cytometry - Anti-Vimentin antibody [SP20], prediluted (AB27608)

Overlay histogram showing HeLa cells stained with ab27608 (red line). The cells were fixed with 80% methanol (5 min) and then permeabilized with 0.1% PBS-Tween for 20 min. The cells were then incubated in 1x PBS / 10% normal goat serum / 0.3M glycine to block non-specific protein-protein interactions followed by the antibody (ab27608, neat) for 30 min at 22°C. The secondary antibody used was DyLight® 488 goat anti-rabbit IgG (H+L) (ab96899) at 1/500 dilution for 30 min at 22°C. Isotype control antibody (black line) was rabbit IgG (monoclonal) (1μg/1x106 cells) used under the same conditions. Unlabelled sample (blue line). Acquisition of >5,000 events were collected using a 20mW Argon ion laser (488nm) and 525/30 bandpass filter. This antibody gave a positive signal in HeLa cells fixed with 4% paraformaldehyde (10 min)/permeabilized with 0.1% PBS-Tween for 20 min used under the same conditions.

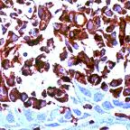
Immunohistochemistry (Formalin/PFA-fixed paraffin-embedded sections) - Anti-Vimentin antibody [SP20], prediluted (AB27608)
  • IHC-P

Unknown

Immunohistochemistry (Formalin/PFA-fixed paraffin-embedded sections) - Anti-Vimentin antibody [SP20], prediluted (AB27608)

Human melanoma stained with prediluted ab27608.

Western blot - Anti-Vimentin antibody [SP20], prediluted (AB27608)
  • WB

Unknown

Western blot - Anti-Vimentin antibody [SP20], prediluted (AB27608)

This image refers to the non-prediluted version of this product (ab16900)

This image was generated using a previous batch manufactured using the hybridoma production method.

Lane 1:

Anti-MDM2 antibody [4B11] (<a href='/en-us/products/unavailable/mdm2-antibody-4b11-ab16900'>ab16900</a>) at 1/100 dilution

Lane 1:

Western blot - Anti-Vimentin antibody [SP20] (<a href='/en-us/products/primary-antibodies/vimentin-antibody-sp20-ab16700'>ab16700</a>) at 1/100 dilution

All lanes:

HeLa cell lysate

Predicted band size: 53 kDa

Observed band size: 53 kDa

false

Western blot - Anti-Vimentin antibody [SP20], prediluted (AB27608)
  • WB

Unknown

Western blot - Anti-Vimentin antibody [SP20], prediluted (AB27608)

This image was generated using a previous batch manufactured using the hybridoma production method.

This data was developed using the same antibody clone in a different buffer formulation (ab16700).

Lanes 1 - 4 : Merged signal (red and green). Green - ab16700 observed at 53 kDa. Red - loading control, ab8245 observed at 37 kDa.

ab16700 was shown to react with Vimentin in wild-type HeLa cells. Loss of signal was observed when knockout cell line ab255446 (knockout cell lysate ab263775) was used. Wild-type and Vimentin knockout samples were subjected to SDS-PAGE. ab16700 and Anti-GAPDH antibody [6C5] - Loading Control (ab8245) were incubated overnight at 4°C at 1 in 100 dilution and 1 in 20000 dilution respectively. Blots were developed with Goat anti-Rabbit IgG H&L (IRDye® 800CW) preadsorbed (ab216773) and Goat anti-Mouse IgG H&L (IRDye® 680RD) preadsorbed (ab216776) secondary antibodies at 1 in 20000 dilution for 1 hour at room temperature before imaging.

Lanes 1 - 4:

Western blot - Anti-Vimentin antibody [SP20], prediluted (ab27608) at 1/100 dilution

Lanes 1 - 4:

Western blot - Anti-Vimentin antibody [SP20] (<a href='/en-us/products/primary-antibodies/vimentin-antibody-sp20-ab16700'>ab16700</a>) at 1/100 dilution

Lane 1:

U20S cell lysate at 20 µg

Lane 2:

Human tonsil cell lysate at 20 µg

Lane 2:

Western blot - Human VIM (Vimentin) knockout HeLa cell line (<a href='/en-us/products/cell-lines/human-vim-vimentin-knockout-hela-cell-line-ab255446'>ab255446</a>)

Lane 3:

Wild-type HeLa cell lysate at 20 µg

Lane 4:

VIM knockout HeLa cell lysate at 20 µg

Secondary

All lanes:

Western blot - Goat anti-Rabbit IgG H&L (IRDye® 800CW) preadsorbed (<a href='/en-us/products/secondary-antibodies/goat-rabbit-igg-h-l-irdye-800cw-preadsorbed-ab216773'>ab216773</a>) at 1/20000 dilution

Predicted band size: 53 kDa

Observed band size: 37 kDa,53 kDa

false

Key facts

Host species

Rabbit

Clonality

Monoclonal

Clone number

SP20

Isotype

IgG

Carrier free

No

Reacts with

Human

Applications

Flow Cyt, WB, ICC/IF, IHC-P

applications

Immunogen

The exact immunogen used to generate this antibody is proprietary information.

Reactivity data

{ "title": "Reactivity Data", "filters": { "stats": ["", "Species", "Dilution Info", "Notes"], "tabs": { "all-applications": {"fullname" : "All Applications", "shortname": "All Applications"}, "ICCIF" : {"fullname" : "Immunocytochemistry/ Immunofluorescence", "shortname":"ICC/IF"}, "FlowCyt" : {"fullname" : "Flow Cytometry", "shortname":"Flow Cyt"}, "WB" : {"fullname" : "Western blot", "shortname":"WB"}, "IHCP" : {"fullname" : "Immunohistochemistry (Formalin/PFA-fixed paraffin-embedded sections)", "shortname":"IHC-P"} }, "product-promise": { "all": "all", "testedAndGuaranteed": "tested", "guaranteed": "expected", "predicted": "predicted", "notRecommended": "not-recommended" } }, "values": { "Human": { "ICCIF-species-checked": "testedAndGuaranteed", "ICCIF-species-dilution-info": "", "ICCIF-species-notes": "<p></p>", "FlowCyt-species-checked": "testedAndGuaranteed", "FlowCyt-species-dilution-info": "1/1", "FlowCyt-species-notes": "<p>Use neat.</p><p><a href='/en-us/products/primary-antibodies/rabbit-igg-monoclonal-epr25a-isotype-control-ab172730'>ab172730</a> - Rabbit monoclonal IgG, is suitable for use as an isotype control with this antibody.</p>", "WB-species-checked": "testedAndGuaranteed", "WB-species-dilution-info": "", "WB-species-notes": "<p></p>", "IHCP-species-checked": "testedAndGuaranteed", "IHCP-species-dilution-info": "", "IHCP-species-notes": "<p></p> Do not perform antigen retrieval." } } }

Properties and storage information

Form
Liquid
Purity
Tissue culture supernatant
Storage buffer
pH: 7.6 Preservative: 0.1% Sodium azide Constituents: Tissue culture supernatant, Tris buffered saline, 1% BSA
Shipped at conditions
Blue Ice
Appropriate short-term storage conditions
+4°C
Appropriate long-term storage conditions
+4°C

Product protocols

For this product, it's our understanding that no specific protocols are required. You can visit:

Target data

Vimentin, a class-III intermediate filament, is present in various non-epithelial cells, particularly mesenchymal cells, and connects either laterally or terminally to the nucleus, endoplasmic reticulum, and mitochondria. It is involved with LARP6 in stabilizing type I collagen mRNAs for CO1A1 and CO1A2. This supplementary information is collated from multiple sources and compiled automatically.
See full target information VIM

Publications (13)

Recent publications for all applications. Explore the full list and refine your search

Journal of controlled release : official journal of the Controlled Release Society 357:287-298 PubMed37019285

2023

Radiosensitisation by olaparib through focused ultrasound delivery in a diffuse midline glioma model.

Applications

Unspecified application

Species

Unspecified reactive species

E 't Hart,J Bianco,M A C Bruin,M Derieppe,H C Besse,K Berkhout,L A Chin Joe Kie,Y Su,E W Hoving,A D R Huitema,M G Ries,D G van Vuurden

Biomedicines 11: PubMed36831063

2023

Towards Standardisation of a Diffuse Midline Glioma Patient-Derived Xenograft Mouse Model Based on Suspension Matrices for Preclinical Research.

Applications

Unspecified application

Species

Unspecified reactive species

Elvin 't Hart,John Bianco,Helena C Besse,Lois A Chin Joe Kie,Lesley Cornet,Kimberly L Eikelenboom,Thijs J M van den Broek,Marc Derieppe,Yan Su,Eelco W Hoving,Mario G Ries,Dannis G van Vuurden

Frontiers in cell and developmental biology 9:628573 PubMed34249903

2021

Extracellular Vesicles Carry lncRNA SNHG16 to Promote Metastasis of Breast Cancer Cells the miR-892b/PPAPDC1A Axis.

Applications

Unspecified application

Species

Unspecified reactive species

Wenfei Xia,Yun Liu,Teng Cheng,Tao Xu,Menglu Dong,Xiaopeng Hu

Frontiers in oncology 11:605025 PubMed33718155

2021

FOXA2-Interacting FOXP2 Prevents Epithelial-Mesenchymal Transition of Breast Cancer Cells by Stimulating E-Cadherin and PHF2 Transcription.

Applications

Unspecified application

Species

Unspecified reactive species

Yuxiang Liu,Taolin Chen,Mingyue Guo,Yu Li,Qian Zhang,Guixiang Tan,Li Yu,Yongjun Tan

International journal of molecular sciences 22: PubMed33562500

2021

Nuclear Receptor Nur77 Controls Cardiac Fibrosis through Distinct Actions on Fibroblasts and Cardiomyocytes.

Applications

Unspecified application

Species

Unspecified reactive species

Lejla Medzikovic,Hylja Heese,Pieter B van Loenen,Cindy P A A van Roomen,Ingeborg B Hooijkaas,Vincent M Christoffels,Esther E Creemers,Carlie J M de Vries,Vivian de Waard

Oncology letters 16:4970-4976 PubMed30250562

2018

WTX inhibits gastric cancer migration through the reversal of epithelial-mesenchymal transition.

Applications

Unspecified application

Species

Unspecified reactive species

Danli Ye,Wenxia Ma,Jiahui Xu,Guifang Zhu,Deying Liu,Chun Liu,Yanqing Ding,Qingling Zhang

Scientific reports 8:3453 PubMed29472628

2018

Ultrastructural and Immunohistochemical Features of Telocytes in Placental Villi in Preeclampsia.

Applications

IHC-P

Species

Human

Natalia V Nizyaeva,Tatiana V Sukhacheva,Roman A Serov,Galina V Kulikova,Marina N Nagovitsyna,Natalia E Kan,Victor L Tyutyunnik,Stanislav V Pavlovich,Rimma A Poltavtseva,Ekaterina L Yarotskaya,Aleksandr I Shchegolev,Gennadiy T Sukhikh

Nucleic acids research 45:4131-4141 PubMed27994032

2016

Rapid decay of engulfed extracellular miRNA by XRN1 exonuclease promotes transient epithelial-mesenchymal transition.

Applications

WB

Species

Human

Joséphine Zangari,Marius Ilie,Florian Rouaud,Laurie Signetti,Mickaël Ohanna,Robin Didier,Barnabé Roméo,Dana Goldoni,Nicolas Nottet,Cathy Staedel,Jocelyn Gal,Bernard Mari,Baharia Mograbi,Paul Hofman,Patrick Brest

Brain pathology (Zurich, Switzerland) 25:517-30 PubMed25175564

2014

Oligodendrocyte Lineage Cells in Chronic Demyelination of Multiple Sclerosis Optic Nerve.

Applications

Unspecified application

Species

Unspecified reactive species

Alison Ruth Jennings,William M Carroll

Molecular imaging and biology 16:608-18 PubMed24705781

2014

Microscopic detection of quenched activity-based optical imaging probes using an antibody detection system: localizing protease activity.

Applications

Unspecified application

Species

Unspecified reactive species

Ethan Walker,Ramamurthy Gopalakrishnan,Matthew Bogyo,James P Basilion
View all publications

Product promise

We are committed to supporting your work with high-quality reagents, and we're here for you every step of the way. In the unlikely event that one of our products does not perform as expected, you're protected by our Product Promise.
For full details, please see our Terms & Conditions

Please note: All products are 'FOR RESEARCH USE ONLY. NOT FOR USE IN DIAGNOSTIC OR THERAPEUTIC PROCEDURES'.

For licensing inquiries, please contact partnerships@abcam.com