JavaScript is disabled in your browser. Please enable JavaScript to view this website.
AB223871

Anti-Vimentin antibody [V9] - BSA and Azide free

Be the first to review this product! Submit a review

|

(2 Publications)

Mouse Monoclonal Vimentin antibody. Carrier free. Suitable for IHC-P, Flow Cyt (Intra), WB, ICC/IF and reacts with Human, Rat samples. Cited in 2 publications.

View Alternative Names

Vimentin, VIM

10 Images
Flow Cytometry (Intracellular) - Anti-Vimentin antibody [V9] - BSA and Azide free (AB223871)
  • Flow Cyt (Intra)

Lab

Flow Cytometry (Intracellular) - Anti-Vimentin antibody [V9] - BSA and Azide free (AB223871)

This image was produced using ab8069, the same antibody clone, but in a different formulation,

Flow cytometry overlay histogram showing wild-type HAP1 (green line) and VIM knockout HAP1 cells stained with ab8069 (magenta line). The cells were fixed with 80% methanol (5 min) and then permeabilized with 0.1% PBS-Triton X-100 for 15 min. The cells were then incubated in 1x PBS containing 10% normal goat serum to block non-specific protein-protein interaction followed by the antibody (ab8069) (1x106 in 100 μl at 0.04 μg/ml) for 30 min at 22°C.

The secondary antibody Goat anti-mouse IgG H&L (Alexa Fluor® 488, pre-adsorbed) (ab150117) was used at 1/4000 for 30 min at 22°C.

Isotype control antibody was mouse IgG1κ (ab170190) used at the same concentration and conditions as the primary antibody (wild-type HAP1 - black line, VIM knockout HAP1 - grey line). Unlabelled sample was also used as a control (this line is not shown for the purpose of simplicity).

Acquisition of >5000 events were collected using a 50 mW Blue laser (488nm) and 525/40 bandpass filter.

Immunocytochemistry/ Immunofluorescence - Anti-Vimentin antibody [V9] - BSA and Azide free (AB223871)
  • ICC/IF

Supplier Data

Immunocytochemistry/ Immunofluorescence - Anti-Vimentin antibody [V9] - BSA and Azide free (AB223871)

This image was produced using the same antibody clone, but in a different formulation, ab8069.

ab8069 staining Vimentin in HeLa cells. The cells were fixed with 4% formaldehyde (10min), permeabilized with 0.1% Triton X-100 for 5 minutes and then blocked with 1% BSA/10% normal goat serum/0.3M glycine in 0.1%PBS-Tween for 1h. The cells were then incubated overnight at +4°C with ab8069 at 1/100 dilution (shown in green) and ab195889, Mouse monoclonal to alpha Tubulin (Alexa Fluor® 594), at 2μg/ml (shown in red). Nuclear DNA was labeled with DAPI (shown in blue).
Image was taken with a confocal microscope (Leica-Microsystems, TCS SP8).

Flow Cytometry (Intracellular) - Anti-Vimentin antibody [V9] - BSA and Azide free (AB223871)
  • Flow Cyt (Intra)

Unknown

Flow Cytometry (Intracellular) - Anti-Vimentin antibody [V9] - BSA and Azide free (AB223871)

Flow cytometry overlay histogram showing wild-type HAP1 (green line) and VIM knockout HAP1 cells stained with ab223871 (red line). The cells were fixed with 80% methanol (5 min) and then permeabilized with 0.1% PBS-Triton X-100 for 15 min. The cells were then incubated in 1x PBS containing 10% normal goat serum to block non-specific protein-protein interaction followed by the antibody (ab223871) (1x106 in 100 μl at 0.04 μg/ml) for 30 min at 22°C.

The secondary antibody Goat anti-mouse IgG H&L (Alexa Fluor® 488, pre-adsorbed) (ab150117) was used at 1/2000 for 30 min at 22°C.

Isotype control antibody was mouse IgG1κ (ab170190) used at the same concentration and conditions as the primary antibody (wild-type HAP1 - black line VIM knockout HAP1 - grey line). Unlabelled sample was also used as a control (this line is not shown for the purpose of simplicity).

Acquisition of >5000 events were collected using a .

This antibody gave a positive signal in VIM HAP1 knockout cells fixed with 4% formaldehyde (10 min) / permeabilized with 0.1% PBS-Triton X-100 for 15 min used under the same conditions.

Immunohistochemistry (Formalin/PFA-fixed paraffin-embedded sections) - Anti-Vimentin antibody [V9] - BSA and Azide free (AB223871)
  • IHC-P

Supplier Data

Immunohistochemistry (Formalin/PFA-fixed paraffin-embedded sections) - Anti-Vimentin antibody [V9] - BSA and Azide free (AB223871)

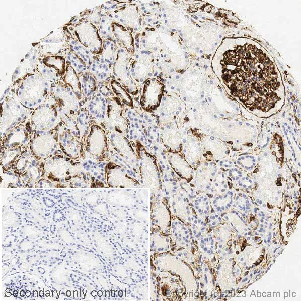
IHC image of Vimentin staining in a section of formalin-fixed paraffin-embedded human normal kidney* performed on a Leica Biosystems BOND® RX instrument. The section was pre-treated using heat mediated antigen retrieval with sodium citrate buffer (pH6, epitope retrieval solution 1) for 20mins. The section was then incubated with ab8069, 0.5ug/ml, for 15 mins at room temperature and detected using an HRP conjugated compact polymer system. DAB was used as the chromogen. The section was then counterstained with haematoxylin and mounted with DPX. The inset secondary-only control image is taken from an identical assay without primary antibody. For other IHC staining systems (automated and non-automated) customers should optimize variable parameters such as antigen retrieval conditions, primary antibody concentration and antibody incubation times. *Tissue obtained from the Human Research Tissue Bank, supported by the NIHR Cambridge Biomedical Research Centre. This image was produced using the same antibody clone, but in a different formulation, ab8069.

Lab

Flow Cytometry (Intracellular) - Anti-Vimentin antibody [V9] - BSA and Azide free (AB223871)
  • Flow Cyt (Intra)

Supplier Data

Flow Cytometry (Intracellular) - Anti-Vimentin antibody [V9] - BSA and Azide free (AB223871)

This image was produced using the same antibody clone, but in a different formulation, ab8069.

Overlay histogram showing MDA-MB-231 cells stained with ab8069 (red line). The cells were fixed with 4% formaldehyde (10 min) and then permeabilized with 0.1% PBS-Triton X-100 for 20 min. The cells were then incubated in 1x PBS / 10% normal goat serum / 0.3M glycine to block non-specific protein-protein interactions followed by the antibody (ab8069, 1μg/1x106 cells) for 30 min at 22°C. The secondary antibody used was Alexa Fluor® 488 goat anti-mouse IgG (H&L) (ab150113) at 1/2000 dilution for 30 min at 22°C. Isotype control antibody (black line) was mouse IgG1 [ICIGG1] (ab91353, 1μg/1x106 cells) used under the same conditions. Unlabeled sample (blue line) was also used as a control.

Acquisition of >5,000 events were collected using a 20mW Argon ion laser (488nm) and 525/30 bandpass filter.

This antibody gave a positive signal in MDA-MB-231 cells fixed with 80% methanol (5 min)/permeabilized with 0.1% PBS-Triton X-100 for 20 min used under the same conditions.

Immunocytochemistry/ Immunofluorescence - Anti-Vimentin antibody [V9] - BSA and Azide free (AB223871)
  • ICC/IF

Supplier Data

Immunocytochemistry/ Immunofluorescence - Anti-Vimentin antibody [V9] - BSA and Azide free (AB223871)

This image was produced using the same antibody clone, but in a different formulation, ab8069.

ab8069 staining Vimentin (colored green) in wild-type HAP1 cells (top panel) and VIM knockout HAP1 cells (bottom panel). The cells were fixed with 100% methanol (5min), permeabilized with 0.1% Triton X-100 for 5 minutes and then blocked with 1% BSA/10% normal goat serum/0.3M glycine in 0.1% PBS-Tween for 1h. The cells were then incubated with ab8069 at 0.5μg/ml and ab202272 (Rabbit monoclonal [EP1332Y] to alpha Tubulin (Alexa Fluor® 594) at 1/250 dilution overnight at +4°C, followed by a further incubation at room temperature for 1h with ab150117 (Goat secondary antibody to Mouse IgG (Alexa Fluor® 488) at 2 μg/ml (colored green). Nuclear DNA was labeled in blue with DAPI.

Image was taken with a confocal microscope (Leica-Microsystems, TCS SP8).

Immunohistochemistry (Formalin/PFA-fixed paraffin-embedded sections) - Anti-Vimentin antibody [V9] - BSA and Azide free (AB223871)
  • IHC-P

Supplier Data

Immunohistochemistry (Formalin/PFA-fixed paraffin-embedded sections) - Anti-Vimentin antibody [V9] - BSA and Azide free (AB223871)

This image was produced using the same antibody clone, but in a different formulation, ab8069.

IHC image showing no staining when ab8069 was used on mouse kidney formalin fixed paraffin embedded tissue, using MOM detection kit, ab127055. The section was pre-treated using pressure cooker heat mediated antigen retrieval with sodium citrate buffer (pH6) for 30 mins. The section was incubated with ab8069 at 5 μg/ml for 15 mins at room temperature. DAB was used as the chromogen. The section was counterstained with hematoxylin and mounted with DPX.

For other IHC staining systems (automated and non-automated) customers should optimize variable parameters such as antigen retrieval conditions, primary antibody concentration and antibody incubation times.

Western blot - Anti-Vimentin antibody [V9] - BSA and Azide free (AB223871)
  • WB

Lab

Western blot - Anti-Vimentin antibody [V9] - BSA and Azide free (AB223871)

This data was developed using the same antibody clone in a different buffer formulation (ab8069).

Lanes 1 - 4 : Merged signal (red and green). Green - ab8069 observed at 53 kDa. Red - loading control, ab181602 observed at 37 kDa.

ab8069 was shown to react with Vimentin in wild-type HeLa cells. Loss of signal was observed when knockout cell line ab255446 (knockout cell lysate ab263775) was used. Wild-type and Vimentin knockout samples were subjected to SDS-PAGE. ab8069 and Anti-GAPDH antibody [EPR16891] - Loading Control (ab181602) were incubated overnight at 4°C at 1 μg/ml and 1 in 20000 dilution respectively. Blots were developed with Goat anti-Mouse IgG H&L (IRDye® 800CW) preadsorbed (ab216772) and Goat Anti-Rabbit IgG H&L (IRDye® 680RD) preadsorbed (ab216777) secondary antibodies at 1 in 20000 dilution for 1 hour at room temperature before imaging.

All lanes:

Western blot - Anti-Vimentin antibody [V9] - Cytoskeleton Marker (<a href='/en-us/products/primary-antibodies/vimentin-antibody-v9-cytoskeleton-marker-ab8069'>ab8069</a>) at 1 µg/mL

Lane 1:

U-2 OS (Human bone osteosarcoma epithelial cell line) cell lysate at 20 µg

Lane 2:

Human tonsil cell lysate at 20 µg

Lane 2:

Western blot - Human VIM (Vimentin) knockout HeLa cell line (<a href='/en-us/products/cell-lines/human-vim-vimentin-knockout-hela-cell-line-ab255446'>ab255446</a>)

Lane 3:

Wild-type HeLa cell lysate at 20 µg

Lane 4:

VIM knockout HeLa cell lysate at 20 µg

Secondary

All lanes:

Western blot - Goat anti-Mouse IgG H&L (IRDye® 800CW) preadsorbed (<a href='/en-us/products/secondary-antibodies/goat-mouse-igg-h-l-irdye-800cw-preadsorbed-ab216772'>ab216772</a>) at 1/20000 dilution

Predicted band size: 53 kDa

Observed band size: 50 kDa,53 kDa

false

Western blot - Anti-Vimentin antibody [V9] - BSA and Azide free (AB223871)
  • WB

Lab

Western blot - Anti-Vimentin antibody [V9] - BSA and Azide free (AB223871)

This image was produced using the same antibody clone, but in a different formulation, ab8069.

Lanes 1 - 4 : Merged signal (red and green). Green - ab8069 observed at 57 kDa. Red - loading control, ab181602, observed at 37 kDa.

ab8069 was shown to specifically react with Vimentin in wild-type HAP1 cells as signal was lost in VIM (Vimentin) knockout cells. Wild-type and VIM (Vimentin) knockout samples were subjected to SDS-PAGE. ab8069 and ab181602 (Rabbit anti-GAPDH loading control) were incubated overnight at 4°C at 1 μg/ml and 1/10000 dilution respectively. Blots were developed with goat anti-mouse IgG H&L (IRDye® 800CW) preabsorbed ab216772 and goat anti-rabbit IgG H&L (IRDye® 680RD) preabsorbed ab216777 secondary antibodies at 1/10000 dilution for 1 hour at room temperature before imaging.

All lanes:

Western blot - Anti-Vimentin antibody [V9] - Cytoskeleton Marker (<a href='/en-us/products/primary-antibodies/vimentin-antibody-v9-cytoskeleton-marker-ab8069'>ab8069</a>) at 1 µg/mL

Lane 1:

Wild-type HAP1 whole cell lysate at 20 µg

Lane 2:

VIM (Vimentin) knockout HAP1 whole cell lysate at 20 µg

Lane 3:

HeLa whole cell lysate at 20 µg

Lane 4:

MOLT4 whole cell lysate at 20 µg

Predicted band size: 53 kDa

false

Flow Cytometry (Intracellular) - Anti-Vimentin antibody [V9] - BSA and Azide free (AB223871)
  • Flow Cyt (Intra)

Supplier Data

Flow Cytometry (Intracellular) - Anti-Vimentin antibody [V9] - BSA and Azide free (AB223871)

This image was produced using the same antibody clone, but in a different formulation, ab8069.

Overlay histogram showing SV40LT-SMC cells stained with ab8069 (red line). The cells were fixed with 4% formaldehyde (10 min) and then permeabilized with 0.1% PBS-Triton X-100 for 20 min. The cells were then incubated in 1x PBS / 10% normal goat serum / 0.3M glycine to block non-specific protein-protein interactions followed by the antibody (ab8069, 0.1μg/1x106 cells) for 30 min at 22°C. The secondary antibody used was Alexa Fluor® 488 goat anti-mouse IgG (H&L) (ab150113) at 1/2000 dilution for 30 min at 22°C. Isotype control antibody (black line) was mouse IgG1 [ICIGG1] (ab91353, 0.1μg/1x106 cells) used under the same conditions. Unlabeled sample (blue line) was also used as a control.

Acquisition of >5,000 events were collected using a 20mW Argon ion laser (488nm) and 525/30 bandpass filter.

This antibody gave a positive signal in SV40LT-SMC cells fixed with 80% methanol (5 min)/permeabilized with 0.1% PBS-Triton X-100 for 20 min used under the same conditions.

  • HRP

    HRP Anti-Vimentin antibody [V9] - Cytoskeleton Marker

  • 519 Alexa Fluor® 488

    Alexa Fluor® 488 Anti-Vimentin antibody [V9] - Cytoskeleton Marker

  • 665 Alexa Fluor® 647

    Alexa Fluor® 647 Anti-Vimentin antibody [V9] - Cytoskeleton Marker

Key facts

Host species

Mouse

Clonality

Monoclonal

Clone number

V9

Isotype

IgG1

Carrier free

Yes

Reacts with

Rat, Human

Applications

ICC/IF, Flow Cyt (Intra), IHC-P, WB

applications

Immunogen

The exact immunogen used to generate this antibody is proprietary information.

Reactivity data

{ "title": "Reactivity Data", "filters": { "stats": ["", "Species", "Dilution Info", "Notes"], "tabs": { "all-applications": {"fullname" : "All Applications", "shortname": "All Applications"}, "IHCP" : {"fullname" : "Immunohistochemistry (Formalin/PFA-fixed paraffin-embedded sections)", "shortname":"IHC-P"}, "FlowCytIntra" : {"fullname" : "Flow Cytometry (Intracellular)", "shortname":"Flow Cyt (Intra)"}, "WB" : {"fullname" : "Western blot", "shortname":"WB"}, "ICCIF" : {"fullname" : "Immunocytochemistry/ Immunofluorescence", "shortname":"ICC/IF"} }, "product-promise": { "all": "all", "testedAndGuaranteed": "tested", "guaranteed": "expected", "predicted": "predicted", "notRecommended": "not-recommended" } }, "values": { "Human": { "IHCP-species-checked": "testedAndGuaranteed", "IHCP-species-dilution-info": "", "IHCP-species-notes": "<p></p>", "FlowCytIntra-species-checked": "testedAndGuaranteed", "FlowCytIntra-species-dilution-info": "", "FlowCytIntra-species-notes": "<p><a href='/en-us/products/primary-antibodies/mouse-igg1-kappa-monoclonal-15-6e10a7-isotype-control-ab170190'>ab170190</a> - Mouse monoclonal IgG1, is suitable for use as an isotype control with this antibody.</p>", "WB-species-checked": "testedAndGuaranteed", "WB-species-dilution-info": "", "WB-species-notes": "<p></p>", "ICCIF-species-checked": "testedAndGuaranteed", "ICCIF-species-dilution-info": "", "ICCIF-species-notes": "<p></p>" }, "Rat": { "IHCP-species-checked": "guaranteed", "IHCP-species-dilution-info": "", "IHCP-species-notes": "", "FlowCytIntra-species-checked": "testedAndGuaranteed", "FlowCytIntra-species-dilution-info": "", "FlowCytIntra-species-notes": "<p><a href='/en-us/products/primary-antibodies/mouse-igg1-kappa-monoclonal-15-6e10a7-isotype-control-ab170190'>ab170190</a> - Mouse monoclonal IgG1, is suitable for use as an isotype control with this antibody.</p>", "WB-species-checked": "guaranteed", "WB-species-dilution-info": "", "WB-species-notes": "", "ICCIF-species-checked": "testedAndGuaranteed", "ICCIF-species-dilution-info": "", "ICCIF-species-notes": "<p></p>" }, "Cat": { "IHCP-species-checked": "predicted", "IHCP-species-dilution-info": "", "IHCP-species-notes": "", "FlowCytIntra-species-checked": "predicted", "FlowCytIntra-species-dilution-info": "", "FlowCytIntra-species-notes": "", "WB-species-checked": "predicted", "WB-species-dilution-info": "", "WB-species-notes": "", "ICCIF-species-checked": "predicted", "ICCIF-species-dilution-info": "", "ICCIF-species-notes": "" }, "Chicken": { "IHCP-species-checked": "predicted", "IHCP-species-dilution-info": "", "IHCP-species-notes": "", "FlowCytIntra-species-checked": "predicted", "FlowCytIntra-species-dilution-info": "", "FlowCytIntra-species-notes": "", "WB-species-checked": "predicted", "WB-species-dilution-info": "", "WB-species-notes": "", "ICCIF-species-checked": "predicted", "ICCIF-species-dilution-info": "", "ICCIF-species-notes": "" }, "Cow": { "IHCP-species-checked": "predicted", "IHCP-species-dilution-info": "", "IHCP-species-notes": "", "FlowCytIntra-species-checked": "predicted", "FlowCytIntra-species-dilution-info": "", "FlowCytIntra-species-notes": "", "WB-species-checked": "predicted", "WB-species-dilution-info": "", "WB-species-notes": "", "ICCIF-species-checked": "predicted", "ICCIF-species-dilution-info": "", "ICCIF-species-notes": "" }, "Dog": { "IHCP-species-checked": "predicted", "IHCP-species-dilution-info": "", "IHCP-species-notes": "", "FlowCytIntra-species-checked": "predicted", "FlowCytIntra-species-dilution-info": "", "FlowCytIntra-species-notes": "", "WB-species-checked": "predicted", "WB-species-dilution-info": "", "WB-species-notes": "", "ICCIF-species-checked": "predicted", "ICCIF-species-dilution-info": "", "ICCIF-species-notes": "" }, "Horse": { "IHCP-species-checked": "predicted", "IHCP-species-dilution-info": "", "IHCP-species-notes": "", "FlowCytIntra-species-checked": "predicted", "FlowCytIntra-species-dilution-info": "", "FlowCytIntra-species-notes": "", "WB-species-checked": "predicted", "WB-species-dilution-info": "", "WB-species-notes": "", "ICCIF-species-checked": "predicted", "ICCIF-species-dilution-info": "", "ICCIF-species-notes": "" }, "Pig": { "IHCP-species-checked": "predicted", "IHCP-species-dilution-info": "", "IHCP-species-notes": "", "FlowCytIntra-species-checked": "predicted", "FlowCytIntra-species-dilution-info": "", "FlowCytIntra-species-notes": "", "WB-species-checked": "predicted", "WB-species-dilution-info": "", "WB-species-notes": "", "ICCIF-species-checked": "predicted", "ICCIF-species-dilution-info": "", "ICCIF-species-notes": "" } } }

Product details

ab223871 is the carrier-free version of ab8069.

This monoclonal antibody to vimentin has been knockout validated in ICC/IF. The expected staining was observed in wild type cells and no staining was seen in vimentin knockout cells.

Want a custom formulation?
This antibody clone is manufactured by Abcam. If you require a custom buffer formulation or conjugation for your experiments, please contact orders@abcam.com

Conjugation ready
Our carrier-free antibodies are typically supplied in a PBS-only formulation, purified and free of BSA, sodium azide and glycerol. This conjugation-ready format is designed for use with fluorochromes, metal isotopes, oligonucleotides, and enzymes, which makes them ideal for antibody labelling, functional and cell-based assays, flow-based assays (e.g. mass cytometry) and Multiplex Imaging applications.

Use our conjugation kits for antibody conjugates that are ready-to-use in as little as 20 minutes with 1 minute hands-on-time and 100% antibody recovery: available for fluorescent dyes, HRP, biotin and gold.

Compatibility
This product is compatible with the Maxpar® Antibody Labeling Kit from Fluidigm, without the need for antibody preparation. Maxpar® is a trademark of Fluidigm Canada Inc.

Properties and storage information

Form
Liquid
Purity
IgG fraction
Storage buffer
Constituents: PBS
Shipped at conditions
Blue Ice
Appropriate short-term storage conditions
+4°C
Appropriate long-term storage conditions
+4°C
Storage information
Do Not Freeze

Product protocols

For this product, it's our understanding that no specific protocols are required. You can visit:

Target data

Vimentin, a class-III intermediate filament, is present in various non-epithelial cells, particularly mesenchymal cells, and connects either laterally or terminally to the nucleus, endoplasmic reticulum, and mitochondria. It is involved with LARP6 in stabilizing type I collagen mRNAs for CO1A1 and CO1A2. This supplementary information is collated from multiple sources and compiled automatically.
See full target information VIM

Publications (2)

Recent publications for all applications. Explore the full list and refine your search

Frontiers in oncology 14:1433256 PubMed39717750

2024

Neuroblastoma response to RAS-MAPK inhibitors and APR-246 (eprenetapopt) co-treatment is dependent on SLC7A11.

Applications

Unspecified application

Species

Unspecified reactive species

Vid Mlakar,Ina Oehme,Laurence Lesne,Sara Najafi,Marc Ansari,Fabienne Gumy-Pause

Microbiology spectrum :e0448922 PubMed36912679

2023

Vimentin Is an Attachment Receptor for Mycoplasma pneumoniae P1 Protein.

Applications

Unspecified application

Species

Unspecified reactive species

Kailan Peng,Yating Liao,Xia Li,Dongdong Zeng,Youyuan Ye,Li Chen,Zhuo Zeng,Yanhua Zeng
View all publications

Product promise

We are committed to supporting your work with high-quality reagents, and we're here for you every step of the way. In the unlikely event that one of our products does not perform as expected, you're protected by our Product Promise.
For full details, please see our Terms & Conditions

Please note: All products are 'FOR RESEARCH USE ONLY. NOT FOR USE IN DIAGNOSTIC OR THERAPEUTIC PROCEDURES'.

For licensing inquiries, please contact partnerships@abcam.com