JavaScript is disabled in your browser. Please enable JavaScript to view this website.
AB240395

Anti-Vinculin antibody [EPR20407] - BSA and Azide free

Be the first to review this product! Submit a review

|

(1 Publication)

Rabbit Recombinant Monoclonal Vinculin antibody. Carrier free. Suitable for WB, IHC-P and reacts with Human, Mouse, Rat samples. Cited in 1 publication.

View Alternative Names

Vinculin, Metavinculin, MV, VCL

7 Images
Immunohistochemistry (Formalin/PFA-fixed paraffin-embedded sections) - Anti-Vinculin antibody [EPR20407] - BSA and Azide free (AB240395)
  • IHC-P

Supplier Data

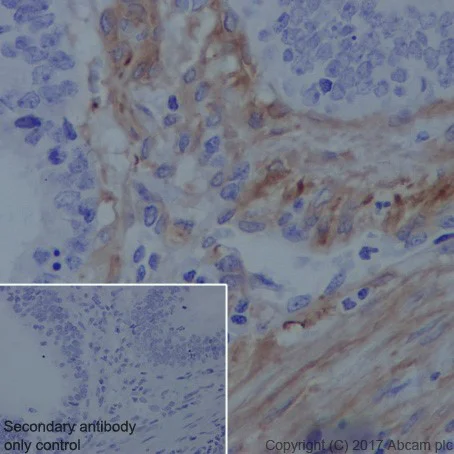
Immunohistochemistry (Formalin/PFA-fixed paraffin-embedded sections) - Anti-Vinculin antibody [EPR20407] - BSA and Azide free (AB240395)

Immunohistochemical analysis of paraffin-embedded human gastric cancer tissue labeling Vinculin with ab219649 at 1/2000 dilution, followed by Goat Anti-Rabbit IgG H&L (HRP) Ready to use.

Membranous and cytoplasmic staining on smooth muscle cells of human gastric cancer is observed.

Counter stained with Hematoxylin.

Secondary antibody only control : Used PBS instead of primary antibody, secondary antibody is Goat Anti-Rabbit IgG H&L (HRP) Ready to use.

This data was developed using the same antibody clone in a different buffer formulation containing PBS, BSA, glycerol, and sodium azide (ab219649).

Perform heat mediated antigen retrieval with Tris/EDTA buffer pH 9.0 before commencing with IHC staining protocol.

Immunohistochemistry (Formalin/PFA-fixed paraffin-embedded sections) - Anti-Vinculin antibody [EPR20407] - BSA and Azide free (AB240395)
  • IHC-P

Supplier Data

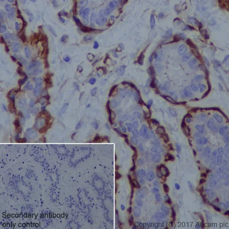
Immunohistochemistry (Formalin/PFA-fixed paraffin-embedded sections) - Anti-Vinculin antibody [EPR20407] - BSA and Azide free (AB240395)

Immunohistochemical analysis of paraffin-embedded human prostate cancer tissue labeling Vinculin with ab219649 at 1/2000 dilution, followed by Goat Anti-Rabbit IgG H&L (HRP) Ready to use.

Membranous and cytoplasmic staining on smooth muscle cells of human prostate cancer is observed.

Counter stained with Hematoxylin.

Secondary antibody only control : Used PBS instead of primary antibody, secondary antibody is Goat Anti-Rabbit IgG H&L (HRP) Ready to use.

This data was developed using the same antibody clone in a different buffer formulation containing PBS, BSA, glycerol, and sodium azide (ab219649).

Perform heat mediated antigen retrieval with Tris/EDTA buffer pH 9.0 before commencing with IHC staining protocol.

Immunohistochemistry (Formalin/PFA-fixed paraffin-embedded sections) - Anti-Vinculin antibody [EPR20407] - BSA and Azide free (AB240395)
  • IHC-P

Supplier Data

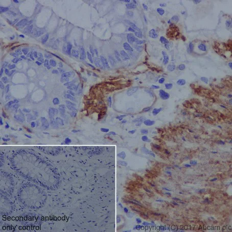
Immunohistochemistry (Formalin/PFA-fixed paraffin-embedded sections) - Anti-Vinculin antibody [EPR20407] - BSA and Azide free (AB240395)

Immunohistochemical analysis of paraffin-embedded human colon tissue labeling Vinculin with ab219649 at 1/2000 dilution, followed by Goat Anti-Rabbit IgG H&L (HRP) Ready to use.

Membranous and cytoplasmic staining on smooth muscle cells of human colon is observed.

Counter stained with Hematoxylin.

Secondary antibody only control : Used PBS instead of primary antibody, secondary antibody is Goat Anti-Rabbit IgG H&L (HRP) Ready to use.

This data was developed using the same antibody clone in a different buffer formulation containing PBS, BSA, glycerol, and sodium azide (ab219649).

Perform heat mediated antigen retrieval with Tris/EDTA buffer pH 9.0 before commencing with IHC staining protocol.

Immunohistochemistry (Formalin/PFA-fixed paraffin-embedded sections) - Anti-Vinculin antibody [EPR20407] - BSA and Azide free (AB240395)
  • IHC-P

Supplier Data

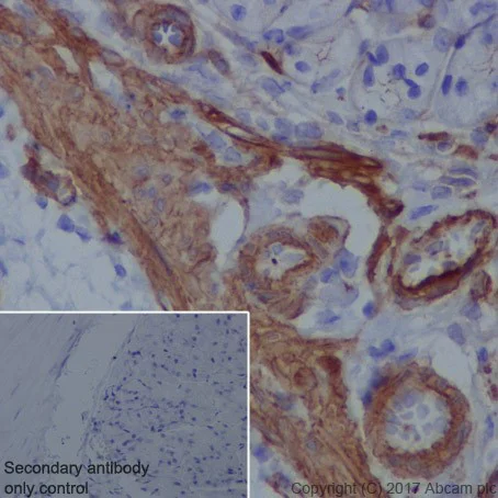
Immunohistochemistry (Formalin/PFA-fixed paraffin-embedded sections) - Anti-Vinculin antibody [EPR20407] - BSA and Azide free (AB240395)

Immunohistochemical analysis of paraffin-embedded human breast tissue labeling Vinculin with ab219649 at 1/2000 dilution, followed by Goat Anti-Rabbit IgG H&L (HRP) Ready to use.

Membranous staining on myoepithelium of human breast is observed.

Counter stained with Hematoxylin.

Secondary antibody only control : Used PBS instead of primary antibody, secondary antibody is Goat Anti-Rabbit IgG H&L (HRP) Ready to use.

This data was developed using the same antibody clone in a different buffer formulation containing PBS, BSA, glycerol, and sodium azide (ab219649).

Perform heat mediated antigen retrieval with Tris/EDTA buffer pH 9.0 before commencing with IHC staining protocol.

Immunohistochemistry (Formalin/PFA-fixed paraffin-embedded sections) - Anti-Vinculin antibody [EPR20407] - BSA and Azide free (AB240395)
  • IHC-P

Supplier Data

Immunohistochemistry (Formalin/PFA-fixed paraffin-embedded sections) - Anti-Vinculin antibody [EPR20407] - BSA and Azide free (AB240395)

Immunohistochemical analysis of paraffin-embedded mouse colon tissue labeling Vinculin with ab219649 at 1/2000 dilution, followed by Goat Anti-Rabbit IgG H&L (HRP) Ready to use.

Membranous and cytoplasmic staining on smooth muscle cells of mouse colon is observed.

Counter stained with Hematoxylin.

Secondary antibody only control : Used PBS instead of primary antibody, secondary antibody is Goat Anti-Rabbit IgG H&L (HRP) Ready to use.

This data was developed using the same antibody clone in a different buffer formulation containing PBS, BSA, glycerol, and sodium azide (ab219649).

Perform heat mediated antigen retrieval with Tris/EDTA buffer pH 9.0 before commencing with IHC staining protocol.

Immunohistochemistry (Formalin/PFA-fixed paraffin-embedded sections) - Anti-Vinculin antibody [EPR20407] - BSA and Azide free (AB240395)
  • IHC-P

Supplier Data

Immunohistochemistry (Formalin/PFA-fixed paraffin-embedded sections) - Anti-Vinculin antibody [EPR20407] - BSA and Azide free (AB240395)

Immunohistochemical analysis of paraffin-embedded rat stomach tissue labeling Vinculin with ab219649 at 1/2000 dilution, followed by Goat Anti-Rabbit IgG H&L (HRP) Ready to use.

Membranous and cytoplasmic staining on smooth muscle cells of rat stomach is observed.

Counter stained with Hematoxylin.

Secondary antibody only control : Used PBS instead of primary antibody, secondary antibody is Goat Anti-Rabbit IgG H&L (HRP) Ready to use.

This data was developed using the same antibody clone in a different buffer formulation containing PBS, BSA, glycerol, and sodium azide (ab219649).

Perform heat mediated antigen retrieval with Tris/EDTA buffer pH 9.0 before commencing with IHC staining protocol.

Western blot - Anti-Vinculin antibody [EPR20407] - BSA and Azide free (AB240395)
  • WB

Lab

Western blot - Anti-Vinculin antibody [EPR20407] - BSA and Azide free (AB240395)

This data was developed using the same antibody clone in a different buffer formulation (ab219649).

Lanes 1 - 4 : Merged signal (red and green). Green - ab219649 observed at 124 kDa. Red - loading control, ab8245 (Mouse anti-GAPDH antibody [6C5]) observed at 37kDa.

ab219649 was shown to react with VCL in A431 wild-type cells in Western blot. Loss of signal was observed when VCL knockout sample was used. A431 wild-type and VCL knockout cell lysates were subjected to SDS-PAGE. Membranes were blocked in 3% Milk in TBS-T (0.1% Tween®) before incubation with ab219649 and ab8245 (Mouse anti-GAPDH antibody [6C5]) overnight at 4°C at a 1 in 1000 dilution and a 1 in 20000 dilution respectively. Blots were developed with Goat anti-Rabbit IgG H&L (IRDye® 800CW) preabsorbed (ab216773) and Goat anti-Mouse IgG H&L (IRDye® 680RD) preabsorbed (ab216776) secondary antibodies at 1 in 20000 dilution for 1 hour at room temperature before imaging.

All lanes:

Western blot - Anti-Vinculin antibody [EPR20407] - Loading Control (<a href='/en-us/products/primary-antibodies/vinculin-antibody-epr20407-loading-control-ab219649'>ab219649</a>) at 1/1000 dilution

Lane 1:

Wild-type A-431 (Human epidermoid carcinoma cell line) whole cell lysate at 20 µg

Lane 2:

VCL knockout A-431 (Human epidermoid carcinoma cell line) whole cell lysate at 20 µg

Lane 2:

Western blot - Human VCL (Vinculin) knockout A-431 cell line (<a href='/en-us/products/cell-lines/human-vcl-vinculin-knockout-a-431-cell-line-ab261898'>ab261898</a>)

Lane 3:

HeLa (Human epithelial cell line from cervix adenocarcinoma) whole cell lysate at 20 µg

Lane 4:

Jurkat (Human T cell leukemia cell line from peripheral blood) whole cell lysate at 20 µg

Predicted band size: 124 kDa

Observed band size: 124 kDa

false

  • Unconjugated

    Anti-Vinculin antibody [EPR20407] - Loading Control

Key facts

Host species

Rabbit

Clonality

Monoclonal

Clone number

EPR20407

Isotype

IgG

Carrier free

Yes

Reacts with

Mouse, Rat, Human

Applications

WB, IHC-P

applications

Immunogen

The exact immunogen used to generate this antibody is proprietary information.

Reactivity data

{ "title": "Reactivity Data", "filters": { "stats": ["", "Species", "Dilution Info", "Notes"], "tabs": { "all-applications": {"fullname" : "All Applications", "shortname": "All Applications"}, "WB" : {"fullname" : "Western blot", "shortname":"WB"}, "IHCP" : {"fullname" : "Immunohistochemistry (Formalin/PFA-fixed paraffin-embedded sections)", "shortname":"IHC-P"} }, "product-promise": { "all": "all", "testedAndGuaranteed": "tested", "guaranteed": "expected", "predicted": "predicted", "notRecommended": "not-recommended" } }, "values": { "Human": { "WB-species-checked": "testedAndGuaranteed", "WB-species-dilution-info": "", "WB-species-notes": "<p></p>", "IHCP-species-checked": "testedAndGuaranteed", "IHCP-species-dilution-info": "", "IHCP-species-notes": "<p></p>" }, "Mouse": { "WB-species-checked": "testedAndGuaranteed", "WB-species-dilution-info": "", "WB-species-notes": "<p></p>", "IHCP-species-checked": "testedAndGuaranteed", "IHCP-species-dilution-info": "", "IHCP-species-notes": "<p></p>" }, "Rat": { "WB-species-checked": "testedAndGuaranteed", "WB-species-dilution-info": "", "WB-species-notes": "<p></p>", "IHCP-species-checked": "testedAndGuaranteed", "IHCP-species-dilution-info": "", "IHCP-species-notes": "<p></p>" } } }

Product details

ab240395 is the carrier-free version of ab219649.

Patented technology
Our RabMAb® technology is a patented hybridoma-based technology for making rabbit monoclonal antibodies. For details on our patents, please refer to RabMAb® patents.

What are the advantages of a recombinant monoclonal antibody?
This product is a recombinant monoclonal antibody, which offers several advantages including:

  • - High batch-to-batch consistency and reproducibility
  • - Improved sensitivity and specificity
  • - Long-term security of supply
  • - Animal-free batch production

For more information, read more on recombinant antibodies.

Conjugation ready
Our carrier-free antibodies are typically supplied in a PBS-only formulation, purified and free of BSA, sodium azide and glycerol. This conjugation-ready format is designed for use with fluorochromes, metal isotopes, oligonucleotides, and enzymes, which makes them ideal for antibody labelling, functional and cell-based assays, flow-based assays (e.g. mass cytometry) and Multiplex Imaging applications.

Use our conjugation kits for antibody conjugates that are ready-to-use in as little as 20 minutes with 1 minute hands-on-time and 100% antibody recovery: available for fluorescent dyes, HRP, biotin and gold.

Compatibility
This product is compatible with the Maxpar® Antibody Labeling Kit from Fluidigm, without the need for antibody preparation. Maxpar® is a trademark of Fluidigm Canada Inc.

Properties and storage information

Form
Liquid
Purification technique
Affinity purification Protein A
Storage buffer
pH: 7.2 - 7.4 Constituents: PBS
Shipped at conditions
Blue Ice
Appropriate short-term storage conditions
+4°C
Appropriate long-term storage conditions
+4°C
Storage information
Do Not Freeze

Product protocols

For this product, it's our understanding that no specific protocols are required. You can visit:

Target data

Actin filament (F-actin)-binding protein involved in cell-matrix adhesion and cell-cell adhesion. Regulates cell-surface E-cadherin expression and potentiates mechanosensing by the E-cadherin complex. May also play important roles in cell morphology and locomotion.
See full target information VCL

Publications (1)

Recent publications for all applications. Explore the full list and refine your search

Scientific reports 13:15508 PubMed37726363

2023

A 3D adrenocortical carcinoma tumor platform for preclinical modeling of drug response and matrix metalloproteinase activity.

Applications

Unspecified application

Species

Unspecified reactive species

Priya H Dedhia,Hemamylammal Sivakumar,Marco A Rodriguez,Kylie G Nairon,Joshua M Zent,Xuguang Zheng,Katie Jones,Liudmila V Popova,Jennifer L Leight,Aleksander Skardal
View all publications

Product promise

We are committed to supporting your work with high-quality reagents, and we're here for you every step of the way. In the unlikely event that one of our products does not perform as expected, you're protected by our Product Promise.
For full details, please see our Terms & Conditions

Please note: All products are 'FOR RESEARCH USE ONLY. NOT FOR USE IN DIAGNOSTIC OR THERAPEUTIC PROCEDURES'.

For licensing inquiries, please contact partnerships@abcam.com