JavaScript is disabled in your browser. Please enable JavaScript to view this website.
AB269690

Anti-Vinculin antibody [VCL/2575] - BSA and Azide free

Be the first to review this product! Submit a review

|

(0 Publication)

Mouse Monoclonal Vinculin antibody. Carrier free. Suitable for WB, Protein Array, IHC-P and reacts with Mouse, Human, Recombinant full length protein - Human samples. Immunogen corresponding to Recombinant Fragment Protein within Human VCL aa 150-350.

View Alternative Names

Vinculin, Metavinculin, MV, VCL

3 Images
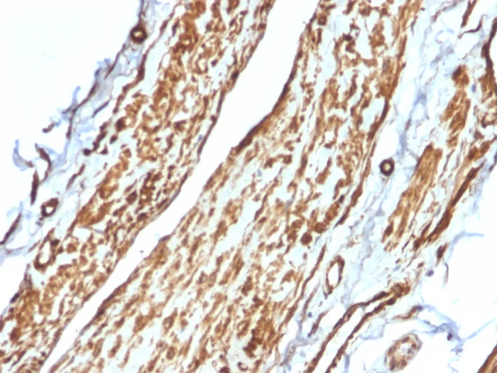
Immunohistochemistry (Formalin/PFA-fixed paraffin-embedded sections) - Anti-Vinculin antibody [VCL/2575] - BSA and Azide free (AB269690)
  • IHC-P

Unknown

Immunohistochemistry (Formalin/PFA-fixed paraffin-embedded sections) - Anti-Vinculin antibody [VCL/2575] - BSA and Azide free (AB269690)

Formalin/PFA-fixed paraffin-embedded human testicular carcinoma tissue stained for Vinculin using ab269680 at 2 μg/ml in immunohistochemistry.

This image was produced using the same antibody clone but in a different formulation containing PBS, BSA and Sodium Azide (ab269680).

Western blot - Anti-Vinculin antibody [VCL/2575] - BSA and Azide free (AB269690)
  • WB

Supplier Data

Western blot - Anti-Vinculin antibody [VCL/2575] - BSA and Azide free (AB269690)

This image was produced using the same antibody clone but in a different formulation containing PBS, BSA and Sodium Azide (ab269680).

All lanes:

Western blot - Anti-Vinculin antibody [VCL/2575] - BSA and Azide free (ab269690) at 2 µg/mL

Lane 1:

A431 (Human epidermoid carcinoma cell line) cell lysate

Lane 2:

K562 (Human chronic myelogenous leukemia cell line from bone marrow) cell lysate

Lane 3:

NIH/3T3 (Mouse embryo fibroblast cell line) cell lysate

Predicted band size: 124 kDa

false

Protein Array - Anti-Vinculin antibody [VCL/2575] - BSA and Azide free (AB269690)
  • Protein Array

Supplier Data

Protein Array - Anti-Vinculin antibody [VCL/2575] - BSA and Azide free (AB269690)

Analysis of Protein Array containing more than 19,000 full-length human proteins using ab269680.- and S- Score : The Z-score represents the strength of a signal that a monoclonal antibody (MAb) (in combination with a fluorescently-tagged anti-IgG secondary antibody) produces when binding to a particular protein on the HuProtTM array. Z-scores are described in units of standard deviations (SD's) above the mean value of all signals generated on that array. If targets on HuProtTM are arranged in descending order of the Z-score, the S-score is the difference (also in units of SD's) between the Z-score. S-score therefore represents the relative target specificity of a MAb to its intended target. A MAb is considered to specific to its intended target, if the MAb has an S-score of at least 2.5. For example, if a MAb binds to protein X with a Z-score of 43 and to protein Y with a Z-score of 14, then the S-score for the binding of that MAb to protein X is equal to 29.

This image was produced using the same antibody clone but in a different formulation containing PBS, BSA and Sodium Azide (ab269680).

Key facts

Host species

Mouse

Clonality

Monoclonal

Clone number

VCL/2575

Isotype

IgG2b

Light chain type

kappa

Carrier free

Yes

Reacts with

Mouse, Human

Applications

WB, IHC-P, Protein Array

applications

Immunogen

Recombinant Fragment Protein within Human VCL aa 150-350. The exact immunogen used to generate this antibody is proprietary information.

P18206

Reactivity data

{ "title": "Reactivity Data", "filters": { "stats": ["", "Species", "Dilution Info", "Notes"], "tabs": { "all-applications": {"fullname" : "All Applications", "shortname": "All Applications"}, "WB" : {"fullname" : "Western blot", "shortname":"WB"}, "ProteinArray" : {"fullname" : "Protein Array", "shortname":"Protein Array"}, "IHCP" : {"fullname" : "Immunohistochemistry (Formalin/PFA-fixed paraffin-embedded sections)", "shortname":"IHC-P"} }, "product-promise": { "all": "all", "testedAndGuaranteed": "tested", "guaranteed": "expected", "predicted": "predicted", "notRecommended": "not-recommended" } }, "values": { "Human": { "WB-species-checked": "testedAndGuaranteed", "WB-species-dilution-info": "1-2 µg/mL", "WB-species-notes": "<p></p>", "ProteinArray-species-checked": "guaranteed", "ProteinArray-species-dilution-info": "", "ProteinArray-species-notes": "", "IHCP-species-checked": "testedAndGuaranteed", "IHCP-species-dilution-info": "1-2 µg/mL", "IHCP-species-notes": "<p></p>" }, "Mouse": { "WB-species-checked": "testedAndGuaranteed", "WB-species-dilution-info": "1-2 µg/mL", "WB-species-notes": "<p></p>", "ProteinArray-species-checked": "guaranteed", "ProteinArray-species-dilution-info": "", "ProteinArray-species-notes": "", "IHCP-species-checked": "guaranteed", "IHCP-species-dilution-info": "", "IHCP-species-notes": "" }, "Recombinant full length protein - Human": { "WB-species-checked": "notRecommended", "WB-species-dilution-info": "", "WB-species-notes": "", "ProteinArray-species-checked": "testedAndGuaranteed", "ProteinArray-species-dilution-info": "", "ProteinArray-species-notes": "<p></p>", "IHCP-species-checked": "notRecommended", "IHCP-species-dilution-info": "", "IHCP-species-notes": "" } } }

Product details

ab269690 is the carrier-free version of ab269680.

Conjugation ready
Our carrier-free antibodies are typically supplied in a PBS-only formulation, purified and free of BSA, sodium azide and glycerol. This conjugation-ready format is designed for use with fluorochromes, metal isotopes, oligonucleotides, and enzymes, which makes them ideal for antibody labelling, functional and cell-based assays, flow-based assays (e.g. mass cytometry) and Multiplex Imaging applications.

Use our conjugation kits for antibody conjugates that are ready-to-use in as little as 20 minutes with 1 minute hands-on-time and 100% antibody recovery: available for fluorescent dyes, HRP, biotin and gold.

Properties and storage information

Form
Liquid
Purification technique
Affinity purification Protein A/G
Purification notes
Purified from bioreactor concentrate.
Storage buffer
pH: 7.2 - 7.4 Constituents: PBS
Shipped at conditions
Blue Ice
Appropriate short-term storage duration
1-2 weeks
Appropriate short-term storage conditions
+4°C
Appropriate long-term storage conditions
-20°C
Aliquoting information
Upon delivery aliquot
Storage information
Avoid freeze / thaw cycle

Product protocols

For this product, it's our understanding that no specific protocols are required. You can visit:

Target data

Actin filament (F-actin)-binding protein involved in cell-matrix adhesion and cell-cell adhesion. Regulates cell-surface E-cadherin expression and potentiates mechanosensing by the E-cadherin complex. May also play important roles in cell morphology and locomotion.
See full target information VCL

Product promise

We are committed to supporting your work with high-quality reagents, and we're here for you every step of the way. In the unlikely event that one of our products does not perform as expected, you're protected by our Product Promise.
For full details, please see our Terms & Conditions

Please note: All products are 'FOR RESEARCH USE ONLY. NOT FOR USE IN DIAGNOSTIC OR THERAPEUTIC PROCEDURES'.

For licensing inquiries, please contact partnerships@abcam.com