JavaScript is disabled in your browser. Please enable JavaScript to view this website.
AB272726

Anti-VIP antibody [EPR23288-43]

  • BOND RX™ Validated
  • RabMAb
  • Recombinant
  • 20ul selling size
  • What is this?

5

(1 Review)

|

(7 Publications)

Anti-VIP antibody [EPR23288-43] (ab272726) is a rabbit monoclonal antibody detecting VIP in IHC-P, IHC-Fr. Suitable for Human, Mouse, Rat.

- Biophysical QC for unrivalled batch-batch consistency

View Alternative Names

VIP peptides, VIP

5 Images
Immunohistochemistry (Formalin/PFA-fixed paraffin-embedded sections) - Anti-VIP antibody [EPR23288-43] (AB272726)
  • IHC-P

Supplier Data

Immunohistochemistry (Formalin/PFA-fixed paraffin-embedded sections) - Anti-VIP antibody [EPR23288-43] (AB272726)

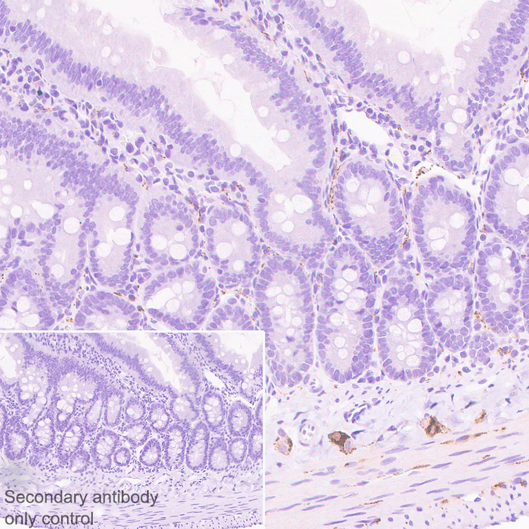
Immunohistochemical analysis of paraffin-embedded Human duodenum tissue labeling VIP with ab272726 at 1/500 dilution followed by a ready to use Rabbit specific IHC polymer detection kit HRP/DAB (ab209101). Positive staining on enteric nerve of human duodenum. The section was incubated with ab272726 for 30 mins at room temperature. The immunostaining was performed on a Leica Biosystems BOND® RX instrument. Counterstained with Hematoxylin.

Secondary antibody only control : Secondary antibody is a ready to use Rabbit specific IHC polymer detection kit HRP/DAB (ab209101).

Heat mediated antigen retrieval with Tris-EDTA buffer (pH 9.0, epitope retrieval solution2) for 20 mins.

Immunohistochemistry (Formalin/PFA-fixed paraffin-embedded sections) - Anti-VIP antibody [EPR23288-43] (AB272726)
  • IHC-P

Supplier Data

Immunohistochemistry (Formalin/PFA-fixed paraffin-embedded sections) - Anti-VIP antibody [EPR23288-43] (AB272726)

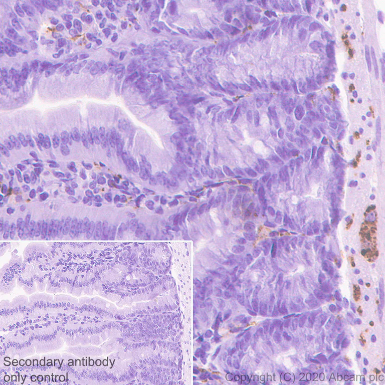
Immunohistochemical analysis of paraffin-embedded Rat small intestine tissue labeling VIP with ab272726 at 1/500 dilution followed by a ready to use Rabbit specific IHC polymer detection kit HRP/DAB (ab209101). Positive staining on enteric nerve of rat small intestine (PMID : 7014205). The section was incubated with ab272726 for 30 mins at room temperature. The immunostaining was performed on a Leica Biosystems BOND® RX instrument. Counterstained with Hematoxylin.

Secondary antibody only control : Secondary antibody is a ready to use Rabbit specific IHC polymer detection kit HRP/DAB (ab209101).

Heat mediated antigen retrieval with Tris-EDTA buffer (pH 9.0, epitope retrieval solution2) for 20 mins.

Immunohistochemistry (Formalin/PFA-fixed paraffin-embedded sections) - Anti-VIP antibody [EPR23288-43] (AB272726)
  • IHC-P

Unknown

Immunohistochemistry (Formalin/PFA-fixed paraffin-embedded sections) - Anti-VIP antibody [EPR23288-43] (AB272726)

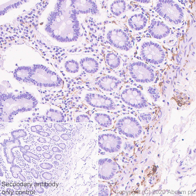
Immunohistochemical analysis of paraffin-embedded Mouse small intestine tissue labeling VIP with ab272726 at 1/500 dilution followed by a ready to use Rabbit specific IHC polymer detection kit HRP/DAB (ab209101). Positive staining on enteric nerve of mouse small intestine. The section was incubated with ab272726 for 30 mins at room temperature. The immunostaining was performed on a Leica Biosystems BOND® RX instrument. Counterstained with Hematoxylin.

Secondary antibody only control : Secondary antibody is a ready to use Rabbit specific IHC polymer detection kit HRP/DAB (ab209101).

Heat mediated antigen retrieval with Tris-EDTA buffer (pH 9.0, epitope retrieval solution2) for 20 mins.

Immunohistochemistry (Frozen sections) - Anti-VIP antibody [EPR23288-43] (AB272726)
  • IHC-Fr

Supplier Data

Immunohistochemistry (Frozen sections) - Anti-VIP antibody [EPR23288-43] (AB272726)

Immunohistochemical analysis of 4% PFA-fixed, 0.2% Triton X-100 permeabilized frozen Mouse colon tissue labeling VIP with ab272726 at 1/100 dilution followed by ab150077 Goat Anti-Rabbit IgG H&L (Alexa Fluor® 488) at 1/1000 dilution (Green). Positive staining on enteric nerve of mouse colon (PMID : 26446924) is observed. The nuclear counterstain was DAPI (Blue).

Secondary antibody control : Secondary antibody is ab150077 Goat Anti-Rabbit IgG H&L (Alexa Fluor® 488)at 1/1000 dilution.

Heat mediated antigen retrieval using sodium citrate buffer (10mM citrate pH 6.0 + 0.05% Tween-20).

Immunohistochemistry (Frozen sections) - Anti-VIP antibody [EPR23288-43] (AB272726)
  • IHC-Fr

Unknown

Immunohistochemistry (Frozen sections) - Anti-VIP antibody [EPR23288-43] (AB272726)

Immunohistochemical analysis of 4% PFA-fixed, 0.2% Triton X-100 permeabilized frozen Rat colon tissue labeling VIP with ab272726 at 1/100 dilution followed by ab150077 Goat Anti-Rabbit IgG H&L (Alexa Fluor® 488) at 1/1000 dilution (Green). Positive staining on enteric nerve of rat colon (PMID : 26446924) is observed. The nuclear counterstain was DAPI (Blue).

Secondary antibody control : Secondary antibody is ab150077 Goat Anti-Rabbit IgG H&L (Alexa Fluor® 488)at 1/1000 dilution.

Heat mediated antigen retrieval using sodium citrate buffer (10mM citrate pH 6.0 + 0.05% Tween-20).

Key facts

Host species

Rabbit

Clonality

Monoclonal

Clone number

EPR23288-43

Isotype

IgG

Carrier free

No

Reacts with

Mouse, Rat, Human

Applications

IHC-P, IHC-Fr

applications

Immunogen

The exact immunogen used to generate this antibody is proprietary information.

Reactivity data

{ "title": "Reactivity Data", "filters": { "stats": ["", "Species", "Dilution Info", "Notes"], "tabs": { "all-applications": {"fullname" : "All Applications", "shortname": "All Applications"}, "IP" : {"fullname" : "Immunoprecipitation", "shortname":"IP"}, "WB" : {"fullname" : "Western blot", "shortname":"WB"}, "IHCFr" : {"fullname" : "Immunohistochemistry (Frozen sections)", "shortname":"IHC-Fr"}, "IHCP" : {"fullname" : "Immunohistochemistry (Formalin/PFA-fixed paraffin-embedded sections)", "shortname":"IHC-P"} }, "product-promise": { "all": "all", "testedAndGuaranteed": "tested", "guaranteed": "expected", "predicted": "predicted", "notRecommended": "not-recommended" } }, "values": { "Human": { "IP-species-checked": "notRecommended", "IP-species-dilution-info": "", "IP-species-notes": "<p></p>", "WB-species-checked": "notRecommended", "WB-species-dilution-info": "", "WB-species-notes": "<p></p>", "IHCFr-species-checked": "guaranteed", "IHCFr-species-dilution-info": "", "IHCFr-species-notes": "", "IHCP-species-checked": "testedAndGuaranteed", "IHCP-species-dilution-info": "1/500", "IHCP-species-notes": "<p></p> Perform heat-mediated antigen retrieval with Tris/EDTA buffer pH 9.0 before commencing with IHC staining protocol." }, "Mouse": { "IP-species-checked": "notRecommended", "IP-species-dilution-info": "", "IP-species-notes": "", "WB-species-checked": "notRecommended", "WB-species-dilution-info": "", "WB-species-notes": "<p></p>", "IHCFr-species-checked": "testedAndGuaranteed", "IHCFr-species-dilution-info": "1/100", "IHCFr-species-notes": "<p>Heat mediated antigen retrieval using sodium citrate buffer (10mM citrate pH 6.0 + 0.05% Tween-20).</p>", "IHCP-species-checked": "testedAndGuaranteed", "IHCP-species-dilution-info": "1/500", "IHCP-species-notes": "<p></p> Perform heat-mediated antigen retrieval with Tris/EDTA buffer pH 9.0 before commencing with IHC staining protocol." }, "Rat": { "IP-species-checked": "notRecommended", "IP-species-dilution-info": "", "IP-species-notes": "", "WB-species-checked": "notRecommended", "WB-species-dilution-info": "", "WB-species-notes": "<p></p>", "IHCFr-species-checked": "testedAndGuaranteed", "IHCFr-species-dilution-info": "1/100", "IHCFr-species-notes": "<p>Heat mediated antigen retrieval using sodium citrate buffer (10mM citrate pH 6.0 + 0.05% Tween-20).</p>", "IHCP-species-checked": "testedAndGuaranteed", "IHCP-species-dilution-info": "1/500", "IHCP-species-notes": "<p></p> Perform heat-mediated antigen retrieval with Tris/EDTA buffer pH 9.0 before commencing with IHC staining protocol." } } }

Product details

What is this antibody validated in?
Anti-VIP antibody [EPR23288-43] (ab272726) is a rabbit recombinant monoclonal antibody and is validated for use in Immunohistochemistry (IHC-P), Immunohistochemistry (IHC-Fr) in Human, Mouse, Rat samples.

Trial sizes available!
Test your antibody or perform pre-screening before committing to a larger quantity. Sold in 10µl. Discover our selection of trial-size antibodies.

Other related products
We have a range of other formats of antibody clone [EPR23288-43] also available for your convenience: ab272726, Carrier free - ab273589, Alexa Fluor® 647 - ab275202

Patented technology
Our RabMAb® technology is a patented hybridoma-based technology for making rabbit monoclonal antibodies. For details on our patents, please refer to RabMAb® patents.

What are the advantages of a recombinant monoclonal antibody?
This product is a recombinant monoclonal antibody, which offers several advantages including:

  • - High batch-to-batch consistency and reproducibility
  • - Improved sensitivity and specificity
  • - Long-term security of supply
  • - Animal-free batch production

For more information, read more on recombinant antibodies.

Properties and storage information

Form
Liquid
Purification technique
Affinity purification Protein A
Storage buffer
pH: 7.2 - 7.4 Preservative: 0.01% Sodium azide Constituents: PBS, 40% Glycerol (glycerin, glycerine), 0.05% BSA
Shipped at conditions
Blue Ice
Appropriate short-term storage duration
1-2 weeks
Appropriate short-term storage conditions
+4°C
Appropriate long-term storage conditions
-20°C
Aliquoting information
Upon delivery aliquot
Storage information
Avoid freeze / thaw cycle

Supplementary information

This supplementary information is collated from multiple sources and compiled automatically.

Vasoactive Intestinal Peptide (VIP) also known as VIP or Alexa VIP is a 28-amino acid neuropeptide with a molecular mass of approximately 3326 Da. VIP is broadly expressed in both the central and peripheral nervous systems. It plays a mechanical role as a neurotransmitter and neuromodulator impacting various physiological functions such as vasodilation regulation of prolactin secretion and modulation of intestinal motility. By engaging in these processes VIP affects multiple bodily systems and acts at many sites within the human body.
Biological function summary

This protein influences immune response smooth muscle activity and circadian rhythm. VIP operates independently and as part of a complex in the body interacting with specific receptor types on the cellular surface like VPAC1 and VPAC2 receptors which are part of the G-protein coupled receptors family. VIP's role as a regulator of immune response includes modulation of cytokine production and influencing lymphocyte activity implicating it as a significant player in homeostasis.

Pathways

A well-known function of VIP involves its participation in the cAMP signaling pathway which contributes to various cellular responses like neurotransmitter release and neuropeptide-mediated pathways influencing endocrine systems. VIP's activity in these pathways connects it to other proteins such as adenylate cyclase which it influences to increase cAMP levels further affecting processes such as synaptic transmission and the regulation of circadian rhythms. Through these pathways VIP affects physiological processes across the nervous and endocrine systems coordinating different aspects of bodily function.

VIP has notable associations with conditions such as inflammatory bowel disease (IBD) and asthma. The modulation of inflammatory processes by VIP impacts these diseases by influencing immune responses which can either exacerbate or alleviate symptoms. In IBD VIP interacts with elements of the immune system reducing inflammation and helping maintain mucosal integrity. In asthma VIP can alter airway inflammation and smooth muscle contraction through its pathways connected to the immune system and smooth muscle tissues interacting with proteins like cytokines that play roles in these conditions.

Product protocols

For this product, it's our understanding that no specific protocols are required. You can visit:

Target data

VIP causes vasodilation, lowers arterial blood pressure, stimulates myocardial contractility, increases glycogenolysis and relaxes the smooth muscle of trachea, stomach and gall bladder.. PHM and PHV also cause vasodilation. PHM-27 is a potent agonist of the calcitonin receptor CALCR, with similar efficacy as calcitonin.
See full target information VIP

Publications (7)

Recent publications for all applications. Explore the full list and refine your search

Molecular medicine reports 32: PubMed40999952

2025

HSPD1 regulates angiotensin II‑induced atrial fibrillation via the PPAR signaling pathway.

Applications

Unspecified application

Species

Unspecified reactive species

Yimeng Zhou,Lianzhi Zhang,Shunping Zhou,Wenjia Zhang,Qunlin Gong,Nan Xu,Jiahong Wang,Zhong Zhang,Nannan Chen

Cellular and molecular gastroenterology and hepatology 19:101439 PubMed39667579

2024

Elevated Bile Acids Induce Circadian Rhythm Sleep Disorders in Chronic Liver Diseases.

Applications

Unspecified application

Species

Unspecified reactive species

Lan Zhou,Min Yan,Qin Luo,Wen Qiu,Yu-Ru Guo,Xiao-Qing Guo,Hong-Bin Yu,Jing-Ru Huo,Yan-Lin Feng,De-Ping Wang,Teng Sun,Kai-Fang Wang,Jian-Yun Shi,Xuan Shang,Mei-Na Wu,Lin Wang,Ji-Min Cao

International journal of molecular sciences 25: PubMed38612517

2024

Differences in Neuropathology between Nitroglycerin-Induced Mouse Models of Episodic and Chronic Migraine.

Applications

Unspecified application

Species

Unspecified reactive species

Songyi Park,Harry Jung,Sang-Won Han,Sang-Hwa Lee,Jong-Hee Sohn

Investigative ophthalmology & visual science 64:27 PubMed37707834

2023

Regulation of Axon Guidance by Slit2 and Netrin-1 Signaling in the Lacrimal Gland of Aqp5 Knockout Mice.

Applications

Unspecified application

Species

Unspecified reactive species

Ying Bai,Guohu Di,Huanhuan Ge,Bin Li,Kaier Zhang,Di Zhang,Dianqiang Wang,Peng Chen

Nature communications 14:3958 PubMed37402769

2023

Whole genome sequencing identifies genetic variants associated with neurogenic inflammation in rosacea.

Applications

Unspecified application

Species

Unspecified reactive species

Zhili Deng,Mengting Chen,Zhixiang Zhao,Wenqin Xiao,Tangxiele Liu,Qinqin Peng,Zheng Wu,San Xu,Wei Shi,Dan Jian,Ben Wang,Fangfen Liu,Yan Tang,Yingxue Huang,Yiya Zhang,Qian Wang,Lunquan Sun,Hongfu Xie,Guohong Zhang,Ji Li

Frontiers in molecular neuroscience 15:828891 PubMed35571372

2022

Dysfunction of the Hippocampal-Lateral Septal Circuit Impairs Risk Assessment in Epileptic Mice.

Applications

Unspecified application

Species

Unspecified reactive species

Yi Cao,Chongyang Sun,Jianyu Huang,Peng Sun,Lulu Wang,Shuyu He,Jianxiang Liao,Zhonghua Lu,Yi Lu,Cheng Zhong

Frontiers in neuroscience 15:691931 PubMed34290586

2021

Electroacupuncture Ameliorates Chronic Inflammatory Pain-Related Anxiety by Activating PV Interneurons in the Anterior Cingulate Cortex.

Applications

Unspecified application

Species

Unspecified reactive species

Fangbing Shao,Junfan Fang,Mengting Qiu,Sisi Wang,Danning Xi,Xiaomei Shao,Xiaofen He,Jianqiao Fang,Junying Du
View all publications

Product promise

We are committed to supporting your work with high-quality reagents, and we're here for you every step of the way. In the unlikely event that one of our products does not perform as expected, you're protected by our Product Promise.
For full details, please see our Terms & Conditions

Please note: All products are 'FOR RESEARCH USE ONLY. NOT FOR USE IN DIAGNOSTIC OR THERAPEUTIC PROCEDURES'.

For licensing inquiries, please contact partnerships@abcam.com