JavaScript is disabled in your browser. Please enable JavaScript to view this website.
AB273589

Anti-VIP antibody [EPR23288-43] - BSA and Azide free

4

(1 Review)

|

(0 Publication)

Rabbit Recombinant Monoclonal VIP antibody. Carrier free. Suitable for IHC-Fr, IHC-P and reacts with Rat, Mouse, Human samples.

View Alternative Names

VIP peptides, VIP

5 Images
Immunohistochemistry (Formalin/PFA-fixed paraffin-embedded sections) - Anti-VIP antibody [EPR23288-43] - BSA and Azide free (AB273589)
  • IHC-P

Supplier Data

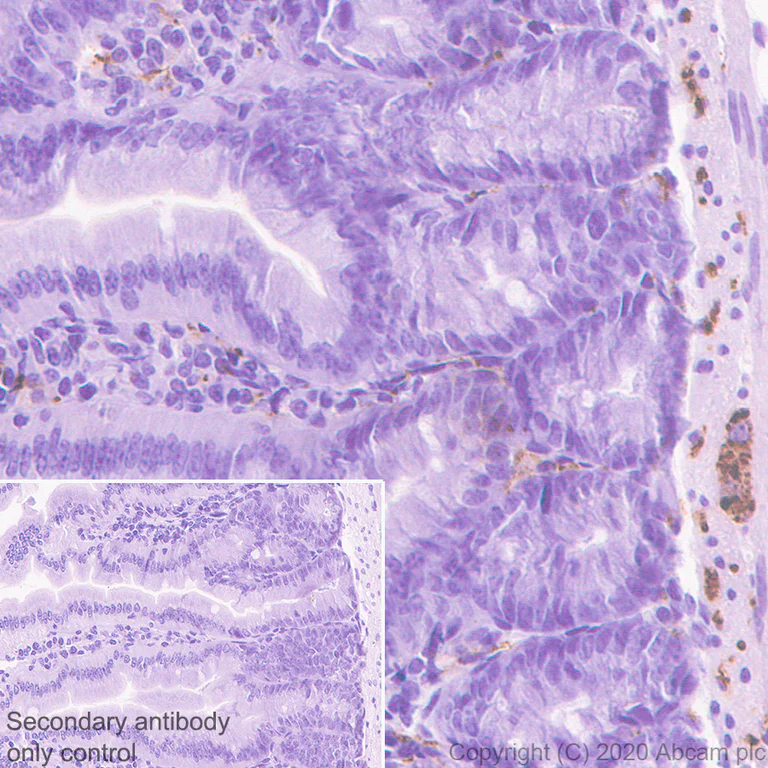
Immunohistochemistry (Formalin/PFA-fixed paraffin-embedded sections) - Anti-VIP antibody [EPR23288-43] - BSA and Azide free (AB273589)

Immunohistochemical analysis of paraffin-embedded Human duodenum tissue labeling VIP with ab272726 at 1/500 dilution followed by a ready to use Rabbit specific IHC polymer detection kit HRP/DAB (ab209101). Positive staining on enteric nerve of human duodenum. The section was incubated with ab272726 for 30 mins at room temperature. The immunostaining was performed on a Leica Biosystems BOND® RX instrument. Counterstained with Hematoxylin.

Secondary antibody only control : Secondary antibody is a ready to use Rabbit specific IHC polymer detection kit HRP/DAB (ab209101).

Heat mediated antigen retrieval with Tris-EDTA buffer (pH 9.0, epitope retrieval solution2) for 20 mins.

This data was developed using the same antibody clone in a different buffer formulation containing PBS, BSA, glycerol, and sodium azide (ab272726).

Immunohistochemistry (Formalin/PFA-fixed paraffin-embedded sections) - Anti-VIP antibody [EPR23288-43] - BSA and Azide free (AB273589)
  • IHC-P

Supplier Data

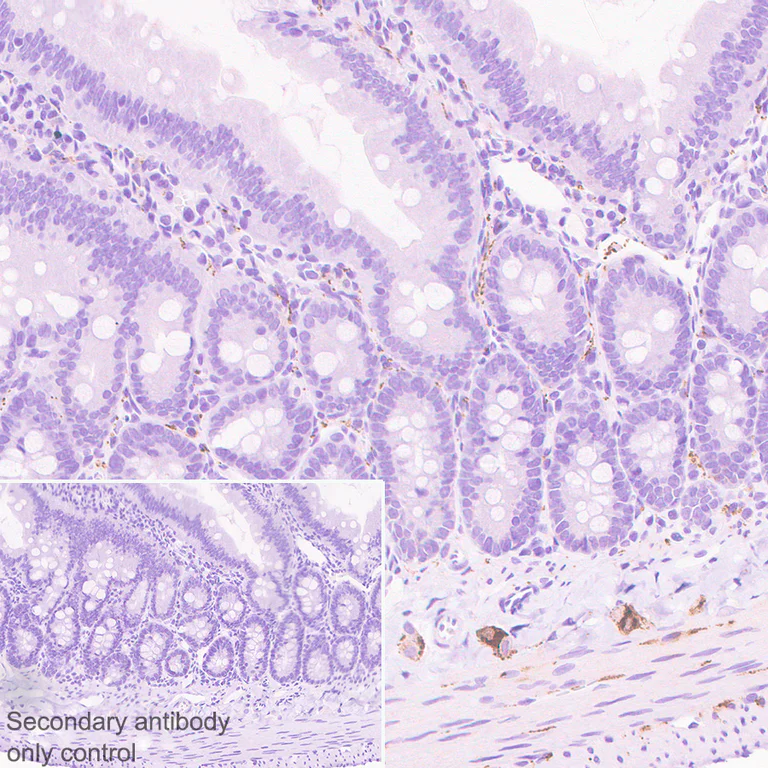
Immunohistochemistry (Formalin/PFA-fixed paraffin-embedded sections) - Anti-VIP antibody [EPR23288-43] - BSA and Azide free (AB273589)

Immunohistochemical analysis of paraffin-embedded Rat small intestine tissue labeling VIP with ab272726 at 1/500 dilution followed by a ready to use Rabbit specific IHC polymer detection kit HRP/DAB (ab209101). Positive staining on enteric nerve of rat small intestine (PMID : 7014205). The section was incubated with ab272726 for 30 mins at room temperature. The immunostaining was performed on a Leica Biosystems BOND® RX instrument. Counterstained with Hematoxylin.

Secondary antibody only control : Secondary antibody is a ready to use Rabbit specific IHC polymer detection kit HRP/DAB (ab209101).

Heat mediated antigen retrieval with Tris-EDTA buffer (pH 9.0, epitope retrieval solution2) for 20 mins.

This data was developed using the same antibody clone in a different buffer formulation containing PBS, BSA, glycerol, and sodium azide (ab272726).

Immunohistochemistry (Formalin/PFA-fixed paraffin-embedded sections) - Anti-VIP antibody [EPR23288-43] - BSA and Azide free (AB273589)
  • IHC-P

Unknown

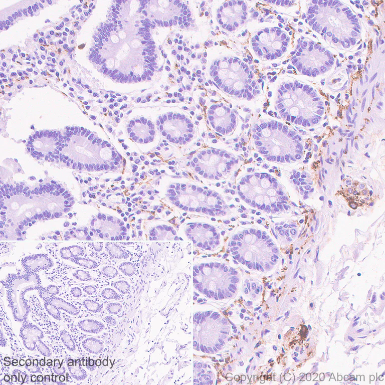
Immunohistochemistry (Formalin/PFA-fixed paraffin-embedded sections) - Anti-VIP antibody [EPR23288-43] - BSA and Azide free (AB273589)

Immunohistochemical analysis of paraffin-embedded Mouse small intestine tissue labeling VIP with ab272726 at 1/500 dilution followed by a ready to use Rabbit specific IHC polymer detection kit HRP/DAB (ab209101). Positive staining on enteric nerve of mouse small intestine. The section was incubated with ab272726 for 30 mins at room temperature. The immunostaining was performed on a Leica Biosystems BOND® RX instrument. Counterstained with Hematoxylin.

Secondary antibody only control : Secondary antibody is a ready to use Rabbit specific IHC polymer detection kit HRP/DAB (ab209101).

Heat mediated antigen retrieval with Tris-EDTA buffer (pH 9.0, epitope retrieval solution2) for 20 mins.

This data was developed using the same antibody clone in a different buffer formulation containing PBS, BSA, glycerol, and sodium azide (ab272726).

Immunohistochemistry (Frozen sections) - Anti-VIP antibody [EPR23288-43] - BSA and Azide free (AB273589)
  • IHC-Fr

Supplier Data

Immunohistochemistry (Frozen sections) - Anti-VIP antibody [EPR23288-43] - BSA and Azide free (AB273589)

Immunohistochemical analysis of 4% PFA-fixed, 0.2% Triton X-100 permeabilized frozen Mouse colon tissue labeling VIP with ab272726 at 1/100 dilution followed by ab150077 Goat Anti-Rabbit IgG H&L (Alexa Fluor® 488) at 1/1000 dilution (Green). Positive staining on enteric nerve of mouse colon (PMID : 26446924) is observed. The nuclear counterstain was DAPI (Blue).

Secondary antibody control : Secondary antibody is ab150077 Goat Anti-Rabbit IgG H&L (Alexa Fluor® 488)at 1/1000 dilution.

Heat mediated antigen retrieval using sodium citrate buffer (10mM citrate pH 6.0 + 0.05% Tween-20).

This data was developed using the same antibody clone in a different buffer formulation containing PBS, BSA, glycerol, and sodium azide (ab272726).

Immunohistochemistry (Frozen sections) - Anti-VIP antibody [EPR23288-43] - BSA and Azide free (AB273589)
  • IHC-Fr

Unknown

Immunohistochemistry (Frozen sections) - Anti-VIP antibody [EPR23288-43] - BSA and Azide free (AB273589)

Immunohistochemical analysis of 4% PFA-fixed, 0.2% Triton X-100 permeabilized frozen Rat colon tissue labeling VIP with ab272726 at 1/100 dilution followed by ab150077 Goat Anti-Rabbit IgG H&L (Alexa Fluor® 488) at 1/1000 dilution (Green). Positive staining on enteric nerve of rat colon (PMID : 26446924) is observed. The nuclear counterstain was DAPI (Blue).

Secondary antibody control : Secondary antibody is ab150077 Goat Anti-Rabbit IgG H&L (Alexa Fluor® 488)at 1/1000 dilution.

Heat mediated antigen retrieval using sodium citrate buffer (10mM citrate pH 6.0 + 0.05% Tween-20).

This data was developed using the same antibody clone in a different buffer formulation containing PBS, BSA, glycerol, and sodium azide (ab272726).

Key facts

Host species

Rabbit

Clonality

Monoclonal

Clone number

EPR23288-43

Isotype

IgG

Carrier free

Yes

Reacts with

Mouse, Rat, Human

Applications

IHC-P, IHC-Fr

applications

Immunogen

The exact immunogen used to generate this antibody is proprietary information.

Reactivity data

{ "title": "Reactivity Data", "filters": { "stats": ["", "Species", "Dilution Info", "Notes"], "tabs": { "all-applications": {"fullname" : "All Applications", "shortname": "All Applications"}, "IP" : {"fullname" : "Immunoprecipitation", "shortname":"IP"}, "WB" : {"fullname" : "Western blot", "shortname":"WB"}, "IHCFr" : {"fullname" : "Immunohistochemistry (Frozen sections)", "shortname":"IHC-Fr"}, "IHCP" : {"fullname" : "Immunohistochemistry (Formalin/PFA-fixed paraffin-embedded sections)", "shortname":"IHC-P"} }, "product-promise": { "all": "all", "testedAndGuaranteed": "tested", "guaranteed": "expected", "predicted": "predicted", "notRecommended": "not-recommended" } }, "values": { "Human": { "IP-species-checked": "notRecommended", "IP-species-dilution-info": "", "IP-species-notes": "<p></p>", "WB-species-checked": "notRecommended", "WB-species-dilution-info": "", "WB-species-notes": "<p></p>", "IHCFr-species-checked": "guaranteed", "IHCFr-species-dilution-info": "", "IHCFr-species-notes": "", "IHCP-species-checked": "testedAndGuaranteed", "IHCP-species-dilution-info": "", "IHCP-species-notes": "<p></p>" }, "Mouse": { "IP-species-checked": "notRecommended", "IP-species-dilution-info": "", "IP-species-notes": "<p></p>", "WB-species-checked": "notRecommended", "WB-species-dilution-info": "", "WB-species-notes": "<p></p>", "IHCFr-species-checked": "testedAndGuaranteed", "IHCFr-species-dilution-info": "", "IHCFr-species-notes": "<p>Heat mediated antigen retrieval using sodium citrate buffer (10mM citrate pH 6.0 + 0.05% Tween-20).</p>", "IHCP-species-checked": "testedAndGuaranteed", "IHCP-species-dilution-info": "", "IHCP-species-notes": "<p></p>" }, "Rat": { "IP-species-checked": "notRecommended", "IP-species-dilution-info": "", "IP-species-notes": "<p></p>", "WB-species-checked": "notRecommended", "WB-species-dilution-info": "", "WB-species-notes": "<p></p>", "IHCFr-species-checked": "testedAndGuaranteed", "IHCFr-species-dilution-info": "", "IHCFr-species-notes": "<p>Heat mediated antigen retrieval using sodium citrate buffer (10mM citrate pH 6.0 + 0.05% Tween-20).</p>", "IHCP-species-checked": "testedAndGuaranteed", "IHCP-species-dilution-info": "", "IHCP-species-notes": "<p></p>" } } }

Product details

ab273589 is the carrier-free version of ab272726.

Patented technology
Our RabMAb® technology is a patented hybridoma-based technology for making rabbit monoclonal antibodies. For details on our patents, please refer to RabMAb® patents.

What are the advantages of a recombinant monoclonal antibody?
This product is a recombinant monoclonal antibody, which offers several advantages including:

  • - High batch-to-batch consistency and reproducibility
  • - Improved sensitivity and specificity
  • - Long-term security of supply
  • - Animal-free batch production

For more information, read more on recombinant antibodies.

Conjugation ready
Our carrier-free antibodies are typically supplied in a PBS-only formulation, purified and free of BSA, sodium azide and glycerol. This conjugation-ready format is designed for use with fluorochromes, metal isotopes, oligonucleotides, and enzymes, which makes them ideal for antibody labelling, functional and cell-based assays, flow-based assays (e.g. mass cytometry) and Multiplex Imaging applications.

Use our conjugation kits for antibody conjugates that are ready-to-use in as little as 20 minutes with 1 minute hands-on-time and 100% antibody recovery: available for fluorescent dyes, HRP, biotin and gold.

Compatibility
This product is compatible with the Maxpar® Antibody Labeling Kit from Fluidigm, without the need for antibody preparation. Maxpar® is a trademark of Fluidigm Canada Inc.

Properties and storage information

Form
Liquid
Purification technique
Affinity purification Protein A
Storage buffer
pH: 7.2 - 7.4 Constituents: PBS
Shipped at conditions
Blue Ice
Appropriate short-term storage conditions
+4°C
Appropriate long-term storage conditions
+4°C
Storage information
Do Not Freeze

Supplementary information

This supplementary information is collated from multiple sources and compiled automatically.

Vasoactive Intestinal Peptide (VIP) also known as VIP or Alexa VIP is a 28-amino acid neuropeptide with a molecular mass of approximately 3326 Da. VIP is broadly expressed in both the central and peripheral nervous systems. It plays a mechanical role as a neurotransmitter and neuromodulator impacting various physiological functions such as vasodilation regulation of prolactin secretion and modulation of intestinal motility. By engaging in these processes VIP affects multiple bodily systems and acts at many sites within the human body.
Biological function summary

This protein influences immune response smooth muscle activity and circadian rhythm. VIP operates independently and as part of a complex in the body interacting with specific receptor types on the cellular surface like VPAC1 and VPAC2 receptors which are part of the G-protein coupled receptors family. VIP’s role as a regulator of immune response includes modulation of cytokine production and influencing lymphocyte activity implicating it as a significant player in homeostasis.

Pathways

A well-known function of VIP involves its participation in the cAMP signaling pathway which contributes to various cellular responses like neurotransmitter release and neuropeptide-mediated pathways influencing endocrine systems. VIP's activity in these pathways connects it to other proteins such as adenylate cyclase which it influences to increase cAMP levels further affecting processes such as synaptic transmission and the regulation of circadian rhythms. Through these pathways VIP affects physiological processes across the nervous and endocrine systems coordinating different aspects of bodily function.

VIP has notable associations with conditions such as inflammatory bowel disease (IBD) and asthma. The modulation of inflammatory processes by VIP impacts these diseases by influencing immune responses which can either exacerbate or alleviate symptoms. In IBD VIP interacts with elements of the immune system reducing inflammation and helping maintain mucosal integrity. In asthma VIP can alter airway inflammation and smooth muscle contraction through its pathways connected to the immune system and smooth muscle tissues interacting with proteins like cytokines that play roles in these conditions.

Product protocols

For this product, it's our understanding that no specific protocols are required. You can visit:

Target data

VIP causes vasodilation, lowers arterial blood pressure, stimulates myocardial contractility, increases glycogenolysis and relaxes the smooth muscle of trachea, stomach and gall bladder.. PHM and PHV also cause vasodilation. PHM-27 is a potent agonist of the calcitonin receptor CALCR, with similar efficacy as calcitonin.
See full target information VIP

Product promise

We are committed to supporting your work with high-quality reagents, and we're here for you every step of the way. In the unlikely event that one of our products does not perform as expected, you're protected by our Product Promise.
For full details, please see our Terms & Conditions

Please note: All products are 'FOR RESEARCH USE ONLY. NOT FOR USE IN DIAGNOSTIC OR THERAPEUTIC PROCEDURES'.

For licensing inquiries, please contact partnerships@abcam.com