JavaScript is disabled in your browser. Please enable JavaScript to view this website.
AB204374

Anti-VIP2 antibody

5

(1 Review)

|

(3 Publications)

Rabbit Polyclonal VIP2 antibody. Suitable for IHC-P, ICC/IF and reacts with Human samples. Cited in 3 publications. Immunogen corresponding to Recombinant Fragment Protein within Human PPIP5K2 aa 850-1000.

View Alternative Names

HISPPD1, KIAA0433, VIP2, PPIP5K2, Inositol hexakisphosphate and diphosphoinositol-pentakisphosphate kinase 2, Diphosphoinositol pentakisphosphate kinase 2, Histidine acid phosphatase domain-containing protein 1, InsP6 and PP-IP5 kinase 2, VIP1 homolog 2, hsVIP2

2 Images
Immunocytochemistry/ Immunofluorescence - Anti-VIP2 antibody (AB204374)
  • ICC/IF

Supplier Data

Immunocytochemistry/ Immunofluorescence - Anti-VIP2 antibody (AB204374)

Immunofluorescent analysis of PFA-fixed, Triton X-100 permeabilized U-2OS cells labeling VIP2 with ab204374 at 4 μg/ml (green).

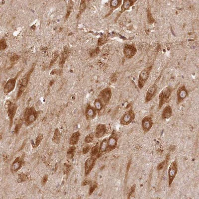
Immunohistochemistry (Formalin/PFA-fixed paraffin-embedded sections) - Anti-VIP2 antibody (AB204374)
  • IHC-P

Supplier Data

Immunohistochemistry (Formalin/PFA-fixed paraffin-embedded sections) - Anti-VIP2 antibody (AB204374)

Immunohistochemical analysis of Human paraffin-embedded hippocampus tissue labeling VIP2 with ab204374 at 1/1000 dilution.

Key facts

Host species

Rabbit

Clonality

Polyclonal

Isotype

IgG

Carrier free

No

Reacts with

Human

Applications

IHC-P, ICC/IF

applications

Immunogen

Recombinant Fragment Protein within Human PPIP5K2 aa 850-1000. The exact immunogen used to generate this antibody is proprietary information.

O43314

Reactivity data

{ "title": "Reactivity Data", "filters": { "stats": ["", "Species", "Dilution Info", "Notes"], "tabs": { "all-applications": {"fullname" : "All Applications", "shortname": "All Applications"}, "IHCP" : {"fullname" : "Immunohistochemistry (Formalin/PFA-fixed paraffin-embedded sections)", "shortname":"IHC-P"}, "ICCIF" : {"fullname" : "Immunocytochemistry/ Immunofluorescence", "shortname":"ICC/IF"} }, "product-promise": { "all": "all", "testedAndGuaranteed": "tested", "guaranteed": "expected", "predicted": "predicted", "notRecommended": "not-recommended" } }, "values": { "Human": { "IHCP-species-checked": "testedAndGuaranteed", "IHCP-species-dilution-info": "1/1000 - 1/2500", "IHCP-species-notes": "<p></p> Perform heat-mediated antigen retrieval with citrate buffer pH 6 before commencing with IHC staining protocol.", "ICCIF-species-checked": "testedAndGuaranteed", "ICCIF-species-dilution-info": "0.25-2 µg/mL", "ICCIF-species-notes": "<p></p>" }, "Orangutan": { "IHCP-species-checked": "predicted", "IHCP-species-dilution-info": "", "IHCP-species-notes": "", "ICCIF-species-checked": "predicted", "ICCIF-species-dilution-info": "", "ICCIF-species-notes": "" } } }

Properties and storage information

Form
Liquid
Purification technique
Affinity purification Immunogen
Storage buffer
pH: 7.2 Preservative: 0.02% Sodium azide Constituents: PBS, 40% Glycerol (glycerin, glycerine)
Shipped at conditions
Blue Ice
Appropriate short-term storage duration
1-2 weeks
Appropriate short-term storage conditions
+4°C
Appropriate long-term storage conditions
-20°C
Aliquoting information
Upon delivery aliquot
Storage information
Avoid freeze / thaw cycle

Supplementary information

This supplementary information is collated from multiple sources and compiled automatically.

The vasointestinal peptide receptor type 2 (VIP2) also known as VIPR2 is a transmembrane G protein-coupled receptor with a mass of approximately 52 kDa. VIP2 mediates its effects through the binding of vasoactive intestinal peptide (VIP). It predominantly expresses in the central nervous system including the hippocampus and cerebral cortex and some peripheral tissues such as the gastrointestinal tract. VIPR2 plays an important role in transmitting extracellular signals into intracellular responses.
Biological function summary

Within different tissues VIP2 functions in regulating circadian rhythms immune responses and neuroprotection. VIP2 serves as an important component of a receptor complex that interacts with other neuropeptides and neurotransmitters. Its activity influences the modulation of neurophysiological processes such as neurotransmission and hormone secretion. The receptor's ability to initiate cAMP production following VIP binding is central to its biological activity.

Pathways

VIP2 is involved in critical signaling pathways like the cAMP-PKA signaling pathway and the circadian rhythm regulation pathway. These pathways allow the integration of environmental signals to maintain homeostasis and organism health. In the cAMP-PKA pathway VIP2 interacts closely with related receptors such as VPAC1 and VPAC2 sharing similar downstream effects that ultimately impact gene expression and cellular communication.

VIP2 has been associated with schizotypal personality disorder and certain autoimmune conditions. There is evidence suggesting VIP2 variations may contribute to altered neurodevelopment processes linked to psychiatric conditions. The receptor's dysfunction impacts neuroinflammation where it might connect with proteins like cytokines and chemokines that mediate immune responses. Understanding VIP2's role could lead to potential therapeutic targets for these challenging conditions.

Product protocols

For this product, it's our understanding that no specific protocols are required. You can visit:

Target data

Bifunctional inositol kinase that acts in concert with the IP6K kinases IP6K1, IP6K2 and IP6K3 to synthesize the diphosphate group-containing inositol pyrophosphates diphosphoinositol pentakisphosphate, PP-InsP5, and bis-diphosphoinositol tetrakisphosphate, (PP)2-InsP4 (PubMed : 17690096, PubMed : 17702752, PubMed : 21222653, PubMed : 29590114). PP-InsP5 and (PP)2-InsP4, also respectively called InsP7 and InsP8, regulate a variety of cellular processes, including apoptosis, vesicle trafficking, cytoskeletal dynamics, exocytosis, insulin signaling and neutrophil activation (PubMed : 17690096, PubMed : 17702752, PubMed : 21222653, PubMed : 29590114). Phosphorylates inositol hexakisphosphate (InsP6) at position 1 to produce PP-InsP5 which is in turn phosphorylated by IP6Ks to produce (PP)2-InsP4 (PubMed : 17690096, PubMed : 17702752). Alternatively, phosphorylates PP-InsP5 at position 1, produced by IP6Ks from InsP6, to produce (PP)2-InsP4 (PubMed : 17690096, PubMed : 17702752). Required for normal hearing (PubMed : 29590114).
See full target information PPIP5K2

Publications (3)

Recent publications for all applications. Explore the full list and refine your search

Acta neuropathologica communications 13:142 PubMed40581690

2025

Impaired splicing machinery in craniopharyngiomas unveils PRPF8 and RAVER1 as novel biomarkers and therapeutic targets.

Applications

Unspecified application

Species

Unspecified reactive species

Antonio C Fuentes-Fayos,Miguel E G-García,Teresa Sánchez-Medianero,John Apps,Álvaro Flores-Martínez,Ana S De la Rosa-Herencia,Ignacio Gil-Duque,Georg Otto,Eva Venegas-Moreno,Eugenio Cárdenas Ruiz-Valdepeñas,Aura D Herrera-Martínez,Juan Solivera,Manuel D Gahete,David A Cano,Rosa Ortega,Alfonso Soto-Moreno,María A Gálvez-Moreno,Juan Pedro Martínez-Barberá,Raúl M Luque

International journal of biological sciences 18:3697-3713 PubMed35813475

2022

Suppressing MDSC Infiltration in Tumor Microenvironment Serves as an Option for Treating Ovarian Cancer Metastasis.

Applications

Unspecified application

Species

Unspecified reactive species

Yichen Li,Qian Zhang,Mandi Wu,Peidong Zhang,Liang Huang,Xiaolin Ai,Zhengnan Yang,Qiuhong Shen,Yiran Wang,Ping Wang,Shengtao Zhou,Ming-Liang He

Scientific reports 9:19406 PubMed31852976

2019

PPIP5K2 and PCSK1 are Candidate Genetic Contributors to Familial Keratoconus.

Applications

Unspecified application

Species

Unspecified reactive species

Mariam Lofty Khaled,Yelena Bykhovskaya,Chunfang Gu,Alice Liu,Michelle D Drewry,Zhong Chen,Barbara A Mysona,Emily Parker,Ryan P McNabb,Hongfang Yu,Xiaowen Lu,Jing Wang,Xiaohui Li,Abdulrahman Al-Muammar,Jerome I Rotter,Louise F Porter,Amy Estes,Mitchell A Watsky,Sylvia B Smith,Hongyan Xu,Khaled K Abu-Amero,Anthony Kuo,Stephen B Shears,Yaron S Rabinowitz,Yutao Liu
View all publications

Product promise

We are committed to supporting your work with high-quality reagents, and we're here for you every step of the way. In the unlikely event that one of our products does not perform as expected, you're protected by our Product Promise.
For full details, please see our Terms & Conditions

Please note: All products are 'FOR RESEARCH USE ONLY. NOT FOR USE IN DIAGNOSTIC OR THERAPEUTIC PROCEDURES'.

For licensing inquiries, please contact partnerships@abcam.com