JavaScript is disabled in your browser. Please enable JavaScript to view this website.
AB325876

Anti-VIPR2 antibody [HL3625] - BSA and Azide free

Be the first to review this product! Submit a review

|

(0 Publication)

Rabbit Recombinant Monoclonal VPAC2 antibody. Carrier free. Suitable for WB, IHC-Fr, IHC-P and reacts with Rat, Human, Mouse, Transfected cell lysate - Human samples. Immunogen corresponding to Synthetic Peptide within Human VIPR2.

View Alternative Names

VIP2R, VIPR2, Vasoactive intestinal polypeptide receptor 2, VIP-R-2, Helodermin-preferring VIP receptor, Pituitary adenylate cyclase-activating polypeptide type III receptor, VPAC2 receptor, PACAP type III receptor, PACAP-R-3, PACAP-R3, VPAC2R

11 Images
Immunohistochemistry (Frozen sections) - Anti-VIPR2 antibody [HL3625] - BSA and Azide free (AB325876)
  • IHC-Fr

Supplier Data

Immunohistochemistry (Frozen sections) - Anti-VIPR2 antibody [HL3625] - BSA and Azide free (AB325876)

ab325876 detects VPAC2 protein by immunohistochemical analysis. Sample : Frozen-sectioned mouse pancreas. Green : VPAC2 stained by ab325876 diluted at 1 : 250. Red : Vimentin antibody diluted at 1 : 1000. Blue : Hoechst 33342 staining.

Immunohistochemistry (Formalin/PFA-fixed paraffin-embedded sections) - Anti-VIPR2 antibody [HL3625] - BSA and Azide free (AB325876)
  • IHC-P

Supplier Data

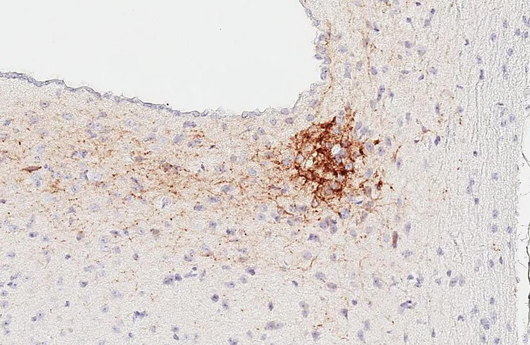
Immunohistochemistry (Formalin/PFA-fixed paraffin-embedded sections) - Anti-VIPR2 antibody [HL3625] - BSA and Azide free (AB325876)

ab325876 detects VPAC2 protein at suprachiasmatic nucleus by immunohistochemical analysis. Sample : Paraffin-embedded mouse brain. VPAC2 stained by ab325876 diluted at 1 : 200. Antigen Retrieval : Tris-EDTA buffer, pH 9.0, 15 min.

Immunohistochemistry (Formalin/PFA-fixed paraffin-embedded sections) - Anti-VIPR2 antibody [HL3625] - BSA and Azide free (AB325876)
  • IHC-P

Supplier Data

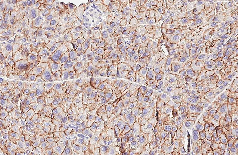
Immunohistochemistry (Formalin/PFA-fixed paraffin-embedded sections) - Anti-VIPR2 antibody [HL3625] - BSA and Azide free (AB325876)

ab325876 detects VPAC2 protein by immunohistochemical analysis. Sample : Paraffin-embedded mouse pancreas. VPAC2 stained by ab325876 diluted at 1 : 200. Antigen Retrieval : Tris-EDTA buffer, pH 9.0, 15 min.

Immunohistochemistry (Formalin/PFA-fixed paraffin-embedded sections) - Anti-VIPR2 antibody [HL3625] - BSA and Azide free (AB325876)
  • IHC-P

Supplier Data

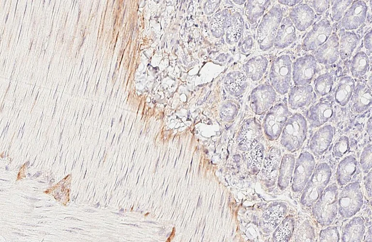
Immunohistochemistry (Formalin/PFA-fixed paraffin-embedded sections) - Anti-VIPR2 antibody [HL3625] - BSA and Azide free (AB325876)

ab325876 detects VPAC2 protein by immunohistochemical analysis. Sample : Paraffin-embedded mouse small intestine. VPAC2 stained by ab325876 diluted at 1 : 200. Antigen Retrieval : Tris-EDTA buffer, pH 9.0, 15 min.

Immunohistochemistry (Formalin/PFA-fixed paraffin-embedded sections) - Anti-VIPR2 antibody [HL3625] - BSA and Azide free (AB325876)
  • IHC-P

Supplier Data

Immunohistochemistry (Formalin/PFA-fixed paraffin-embedded sections) - Anti-VIPR2 antibody [HL3625] - BSA and Azide free (AB325876)

ab325876 detects VPAC2 protein by immunohistochemical analysis. Sample : Paraffin-embedded mouse brain. VPAC2 stained by ab325876 diluted at 1 : 200. Antigen Retrieval : Tris-EDTA buffer, pH 9.0, 15 min.

Immunohistochemistry (Formalin/PFA-fixed paraffin-embedded sections) - Anti-VIPR2 antibody [HL3625] - BSA and Azide free (AB325876)
  • IHC-P

Supplier Data

Immunohistochemistry (Formalin/PFA-fixed paraffin-embedded sections) - Anti-VIPR2 antibody [HL3625] - BSA and Azide free (AB325876)

ab325876 detects VPAC2 protein by immunohistochemical analysis. Sample : Paraffin-embedded mouse tissues. VPAC2 stained by ab325876 diluted at 1 : 200. Antigen Retrieval : Tris-EDTA buffer, pH 9.0, 15 min.

Western blot - Anti-VIPR2 antibody [HL3625] - BSA and Azide free (AB325876)
  • WB

Supplier Data

Western blot - Anti-VIPR2 antibody [HL3625] - BSA and Azide free (AB325876)

Unboiled RMS 13 whole cell and membrane extracts (30 ug) were separated by 10% SDS-PAGE, and the membrane was blotted with ab325876 diluted at 1 : 1000. The HRP-conjugated anti-rabbit IgG antibody was used to detect the primary antibody, and the signal was developed with Trident ECL plus-Enhanced.

All lanes:

Western blot - Anti-VIPR2 antibody [HL3625] - BSA and Azide free (ab325876) at 1/1000 dilution

Lane 1:

Unboiled RMS 13 whole cell extracts at 30 µg

Lane 2:

Unboiled RMS 13 membrane extracts at 30 µg

Secondary

All lanes:

HRP-conjugated anti-rabbit IgG antibody

true

Western blot - Anti-VIPR2 antibody [HL3625] - BSA and Azide free (AB325876)
  • WB

Supplier Data

Western blot - Anti-VIPR2 antibody [HL3625] - BSA and Azide free (AB325876)

Boiled and unboiled rat tissue extracts (50 ug) were separated by 10% SDS-PAGE, and the membrane was blotted with ab325876 diluted at 1 : 1000. The HRP-conjugated anti-rabbit IgG antibody was used to detect the primary antibody.

All lanes:

Western blot - Anti-VIPR2 antibody [HL3625] - BSA and Azide free (ab325876) at 1/1000 dilution

Lane 1:

Boiled rat stomach tissue extracts at 50 µg

Lane 2:

Unboiled rat stomach tissue extracts at 50 µg

Secondary

All lanes:

HRP-conjugated anti-rabbit IgG antibody

false

Western blot - Anti-VIPR2 antibody [HL3625] - BSA and Azide free (AB325876)
  • WB

Supplier Data

Western blot - Anti-VIPR2 antibody [HL3625] - BSA and Azide free (AB325876)

Unboiled mouse tissue extracts (50 ug) were separated by 10% SDS-PAGE, and the membrane was blotted with ab325876 diluted at 1 : 1000. The HRP-conjugated anti-rabbit IgG antibody was used to detect the primary antibody.

All lanes:

Western blot - Anti-VIPR2 antibody [HL3625] - BSA and Azide free (ab325876) at 1/1000 dilution

Lane 1:

Unboiled mouse stomach tissue extracts at 50 µg

Lane 2:

Unboiled mouse testis tissue extracts at 50 µg

Secondary

All lanes:

HRP-conjugated anti-rabbit IgG antibody

false

Western blot - Anti-VIPR2 antibody [HL3625] - BSA and Azide free (AB325876)
  • WB

Supplier Data

Western blot - Anti-VIPR2 antibody [HL3625] - BSA and Azide free (AB325876)

Non-transfected (–) and transfected (+) boiled and unboiled 293T whole cell extracts (30 ug) were separated by 10% SDS-PAGE, and the membrane was blotted with ab325876 diluted at 1 : 5000. The HRP-conjugated anti-rabbit IgG antibody was used to detect the primary antibody.

All lanes:

Western blot - Anti-VIPR2 antibody [HL3625] - BSA and Azide free (ab325876) at 1/5000 dilution

Lane 1:

Non-transfected (–) boiled 293T whole cell extracts at 30 µg

Lane 2:

DDDDK-tagged VIPR2 transfected (+) boiled 293T whole cell extracts at 30 µg

Lane 3:

Non-transfected (–) unboiled 293T whole cell extracts at 30 µg

Lane 4:

DDDDK-tagged VIPR2 transfected (+) unboiled 293T whole cell extracts at 30 µg

Secondary

All lanes:

HRP-conjugated anti-rabbit IgG antibody

false

Western blot - Anti-VIPR2 antibody [HL3625] - BSA and Azide free (AB325876)
  • WB

Supplier Data

Western blot - Anti-VIPR2 antibody [HL3625] - BSA and Azide free (AB325876)

Unboiled non-transfected (–) and transfected (+) 293T whole cell extracts (30 ug) were separated by 10% SDS-PAGE, and the membrane was blotted with ab325876 diluted at 1 : 100000. The HRP-conjugated anti-rabbit IgG antibody was used to detect the primary antibody.

All lanes:

Western blot - Anti-VIPR2 antibody [HL3625] - BSA and Azide free (ab325876) at 1/100000 dilution

Lanes 1 and 3:

Unboiled non-transfected (–) 293T whole cell extracts at 30 µg

Lane 2:

Unboiled VIPR1 transfected (+) 293T whole cell extracts at 30 µg

Lane 4:

Unboiled VIPR2 transfected (+) 293T whole cell extracts at 30 µg

Secondary

All lanes:

HRP-conjugated anti-rabbit IgG antibody

false

Key facts

Host species

Rabbit

Clonality

Monoclonal

Clone number

HL3625

Isotype

IgG

Carrier free

Yes

Reacts with

Rat, Mouse, Human

Applications

WB, IHC-Fr, IHC-P

applications

Immunogen

Synthetic Peptide within Human VIPR2.

P41587

Reactivity data

{ "title": "Reactivity Data", "filters": { "stats": ["", "Species", "Dilution Info", "Notes"], "tabs": { "all-applications": {"fullname" : "All Applications", "shortname": "All Applications"}, "WB" : {"fullname" : "Western blot", "shortname":"WB"}, "IHCFr" : {"fullname" : "Immunohistochemistry (Frozen sections)", "shortname":"IHC-Fr"}, "IHCP" : {"fullname" : "Immunohistochemistry (Formalin/PFA-fixed paraffin-embedded sections)", "shortname":"IHC-P"} }, "product-promise": { "all": "all", "testedAndGuaranteed": "tested", "guaranteed": "expected", "predicted": "predicted", "notRecommended": "not-recommended" } }, "values": { "Human": { "WB-species-checked": "testedAndGuaranteed", "WB-species-dilution-info": "1/1000", "WB-species-notes": "<p></p>", "IHCFr-species-checked": "guaranteed", "IHCFr-species-dilution-info": "", "IHCFr-species-notes": "", "IHCP-species-checked": "guaranteed", "IHCP-species-dilution-info": "", "IHCP-species-notes": "" }, "Mouse": { "WB-species-checked": "testedAndGuaranteed", "WB-species-dilution-info": "1/1000", "WB-species-notes": "<p></p>", "IHCFr-species-checked": "testedAndGuaranteed", "IHCFr-species-dilution-info": "1/250", "IHCFr-species-notes": "<p></p>", "IHCP-species-checked": "testedAndGuaranteed", "IHCP-species-dilution-info": "1/200", "IHCP-species-notes": "<p></p> Perform heat-mediated antigen retrieval with Tris/EDTA buffer pH 9.0 before commencing with IHC staining protocol." }, "Rat": { "WB-species-checked": "testedAndGuaranteed", "WB-species-dilution-info": "1/1000", "WB-species-notes": "<p></p>", "IHCFr-species-checked": "guaranteed", "IHCFr-species-dilution-info": "", "IHCFr-species-notes": "", "IHCP-species-checked": "guaranteed", "IHCP-species-dilution-info": "", "IHCP-species-notes": "" }, "Transfected cell lysate - Human": { "WB-species-checked": "testedAndGuaranteed", "WB-species-dilution-info": "1/5000 - 1/100000", "WB-species-notes": "<p></p>", "IHCFr-species-checked": "notRecommended", "IHCFr-species-dilution-info": "", "IHCFr-species-notes": "", "IHCP-species-checked": "notRecommended", "IHCP-species-dilution-info": "", "IHCP-species-notes": "" } } }

Properties and storage information

Form
Liquid
Purification technique
Affinity purification Protein A
Storage buffer
pH: 7.4 Constituents: PBS
Shipped at conditions
Blue Ice
Appropriate short-term storage duration
1-2 weeks
Appropriate short-term storage conditions
+4°C
Appropriate long-term storage conditions
-20°C
Aliquoting information
Upon delivery aliquot
Storage information
Avoid freeze / thaw cycle

Product protocols

For this product, it's our understanding that no specific protocols are required. You can visit:

Target data

G protein-coupled receptor activated by the neuropeptides vasoactive intestinal peptide (VIP) and pituitary adenylate cyclase-activating polypeptide (ADCYAP1/PACAP) (PubMed : 7811244, PubMed : 35477937, PubMed : 8933357). Binds VIP and both PACAP27 and PACAP38 bioactive peptides with the following order of potency PACAP38 = VIP > PACAP27 (PubMed : 35477937, PubMed : 8933357). Ligand binding causes a conformation change that triggers signaling via guanine nucleotide-binding proteins (G proteins) and modulates the activity of downstream effectors. Activates cAMP-dependent pathway (PubMed : 7811244, PubMed : 35477937, PubMed : 8933357). May be coupled to phospholipase C.
See full target information VIPR2

Product promise

We are committed to supporting your work with high-quality reagents, and we're here for you every step of the way. In the unlikely event that one of our products does not perform as expected, you're protected by our Product Promise.
For full details, please see our Terms & Conditions

Please note: All products are 'FOR RESEARCH USE ONLY. NOT FOR USE IN DIAGNOSTIC OR THERAPEUTIC PROCEDURES'.

For licensing inquiries, please contact partnerships@abcam.com