JavaScript is disabled in your browser. Please enable JavaScript to view this website.
AB271136

Anti-VIRMA/KIAA1429 antibody [EPR24279-23]

Be the first to review this product! Submit a review

|

(13 Publications)

Rabbit Recombinant Monoclonal VIRMA/KIAA1429 antibody. Suitable for WB, Flow Cyt (Intra) and reacts with Mouse, Human samples. Cited in 13 publications.

View Alternative Names

KIAA1429, MSTP054, VIRMA, Protein virilizer homolog

5 Images
Flow Cytometry (Intracellular) - Anti-VIRMA/KIAA1429 antibody [EPR24279-23] (AB271136)
  • Flow Cyt (Intra)

Supplier Data

Flow Cytometry (Intracellular) - Anti-VIRMA/KIAA1429 antibody [EPR24279-23] (AB271136)

Flow cytometric analysis of 4% paraformaldehyde-fixed, 90% methanol permeabilized HeLa (Human cervix adenocarcinoma epithelial cell) cells labeling VIRMA/KIAA1429 with ab271136 at 1/50 dilution (red) compared with a Rabbit monoclonal IgG (ab172730) (black) and an unlabelled control (cells without incubation with primary antibody and secondary antibody) (blue). Goat Anti-Rabbit IgG (Alexa Fluor® 488, ab150081) at 1/2000 dilution was used as the secondary antibody.

Flow Cytometry (Intracellular) - Anti-VIRMA/KIAA1429 antibody [EPR24279-23] (AB271136)
  • Flow Cyt (Intra)

Unknown

Flow Cytometry (Intracellular) - Anti-VIRMA/KIAA1429 antibody [EPR24279-23] (AB271136)

Flow cytometric analysis of 4% paraformaldehyde-fixed, 90% methanol permeabilized C2C12 (Mouse myoblasts myoblast) cells labeling VIRMA/KIAA1429 with ab271136 at 1/50 dilution (red) compared with a Rabbit monoclonal IgG (ab172730) (black) and an unlabelled control (cells without incubation with primary antibody and secondary antibody) (blue). Goat Anti-Rabbit IgG (Alexa Fluor® 488, ab150081) at 1/2000 dilution was used as the secondary antibody.

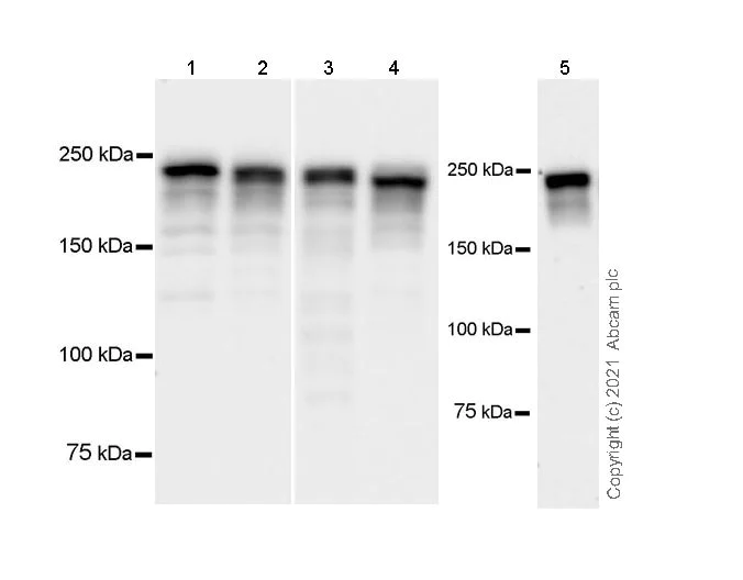
Western blot - Anti-VIRMA/KIAA1429 antibody [EPR24279-23] (AB271136)
  • WB

Lab

Western blot - Anti-VIRMA/KIAA1429 antibody [EPR24279-23] (AB271136)

The observed MW are consistent with what has been described in the literature (PMID : 34490238).

Blocking and dilution buffer : 5% NFDM/TBST.

All lanes:

Western blot - Anti-VIRMA/KIAA1429 antibody [EPR24279-23] (ab271136) at 1/1000 dilution

Lane 1:

PC-3 (human prostate adenocarcinoma epithelial cell), whole cell lysate at 20 µg

Lane 2:

SK-OV-3 (human ovarian cancer epithelial cell), whole cell lysate at 20 µg

Lane 3:

T-47D (human ductal breast epithelial tumor epithelial cell), whole cell lysate at 20 µg

Lane 4:

C2C12 (mouse myoblasts), whole cell lysate at 20 µg

Lane 5:

Mouse liver cancer lysate at 20 µg

Secondary

All lanes:

Western blot - Goat Anti-Rabbit IgG H&L (HRP) (<a href='/en-us/products/secondary-antibodies/goat-rabbit-igg-h-l-hrp-ab97051'>ab97051</a>) at 1/100000 dilution

Predicted band size: 202 kDa

Observed band size: 202 kDa

false

Exposure time: 26s

Western blot - Anti-VIRMA/KIAA1429 antibody [EPR24279-23] (AB271136)
  • WB

Supplier Data

Western blot - Anti-VIRMA/KIAA1429 antibody [EPR24279-23] (AB271136)

Lysates should be made freshly and used in WB immediately to minimize protein degradation.

Blocking and dilution buffer : 5% NFDM/TBST.

All lanes:

Western blot - Anti-VIRMA/KIAA1429 antibody [EPR24279-23] (ab271136) at 1/1000 dilution

Lane 1:

HeLa transfected with scrambled siRNA control whole cell lysate at 20 µg

Lane 2:

HeLa transfected with GATA-2 siRNA 1 whole cell lysate at 20 µg

Lane 3:

HeLa transfected with GATA-2 siRNA 2 whole cell lysate at 20 µg

Secondary

All lanes:

Western blot - Goat Anti-Rabbit IgG H&L (HRP) (<a href='/en-us/products/secondary-antibodies/goat-rabbit-igg-h-l-hrp-ab97051'>ab97051</a>) at 1/100000 dilution

Predicted band size: 202 kDa

Observed band size: 202 kDa

false

Exposure time: 59s

Western blot - Anti-VIRMA/KIAA1429 antibody [EPR24279-23] (AB271136)
  • WB

Supplier Data

Western blot - Anti-VIRMA/KIAA1429 antibody [EPR24279-23] (AB271136)

Lysates should be made freshly and used in WB immediately to minimize protein degradation.

Blocking and dilution buffer : 5% NFDM/TBST.

All lanes:

Western blot - Anti-VIRMA/KIAA1429 antibody [EPR24279-23] (ab271136) at 1/1000 dilution

Lane 1:

MCF7 (human breast adenocarcinoma epithelial cell), whole cell lysate at 20 µg

Lane 2:

HeLa (human cervix adenocarcinoma epithelial cell), whole cell lysate at 20 µg

Lane 3:

K562 (human chronic myelogenous leukemia lymphoblast), whole cell lysate at 20 µg

Secondary

All lanes:

Western blot - Goat Anti-Rabbit IgG H&L (HRP) (<a href='/en-us/products/secondary-antibodies/goat-rabbit-igg-h-l-hrp-ab97051'>ab97051</a>) at 1/100000 dilution

Predicted band size: 202 kDa

Observed band size: 202 kDa

false

Exposure time: 26s

  • Carrier free

    Anti-VIRMA/KIAA1429 antibody [EPR24279-23] - BSA and Azide free

Key facts

Host species

Rabbit

Clonality

Monoclonal

Clone number

EPR24279-23

Isotype

IgG

Carrier free

No

Reacts with

Mouse, Human

Applications

WB, Flow Cyt (Intra)

applications

Immunogen

The exact immunogen used to generate this antibody is proprietary information.

Reactivity data

{ "title": "Reactivity Data", "filters": { "stats": ["", "Species", "Dilution Info", "Notes"], "tabs": { "all-applications": {"fullname" : "All Applications", "shortname": "All Applications"}, "IHC" : {"fullname" : "Immunohistochemistry", "shortname":"IHC"}, "WB" : {"fullname" : "Western blot", "shortname":"WB"}, "FlowCytIntra" : {"fullname" : "Flow Cytometry (Intracellular)", "shortname":"Flow Cyt (Intra)"}, "ICCIF" : {"fullname" : "Immunocytochemistry/ Immunofluorescence", "shortname":"ICC/IF"}, "IHCP" : {"fullname" : "Immunohistochemistry (Formalin/PFA-fixed paraffin-embedded sections)", "shortname":"IHC-P"} }, "product-promise": { "all": "all", "testedAndGuaranteed": "tested", "guaranteed": "expected", "predicted": "predicted", "notRecommended": "not-recommended" } }, "values": { "Human": { "IHC-species-checked": "notRecommended", "IHC-species-dilution-info": "", "IHC-species-notes": "<p></p>", "WB-species-checked": "testedAndGuaranteed", "WB-species-dilution-info": "1/1000", "WB-species-notes": "<p></p>", "FlowCytIntra-species-checked": "testedAndGuaranteed", "FlowCytIntra-species-dilution-info": "1/50", "FlowCytIntra-species-notes": "<p></p>", "ICCIF-species-checked": "notRecommended", "ICCIF-species-dilution-info": "", "ICCIF-species-notes": "<p></p>", "IHCP-species-checked": "notRecommended", "IHCP-species-dilution-info": "", "IHCP-species-notes": "<p></p>" }, "Mouse": { "IHC-species-checked": "notRecommended", "IHC-species-dilution-info": "", "IHC-species-notes": "<p></p>", "WB-species-checked": "testedAndGuaranteed", "WB-species-dilution-info": "1/1000", "WB-species-notes": "<p></p>", "FlowCytIntra-species-checked": "testedAndGuaranteed", "FlowCytIntra-species-dilution-info": "1/50", "FlowCytIntra-species-notes": "<p></p>", "ICCIF-species-checked": "notRecommended", "ICCIF-species-dilution-info": "", "ICCIF-species-notes": "<p></p>", "IHCP-species-checked": "notRecommended", "IHCP-species-dilution-info": "", "IHCP-species-notes": "<p></p>" }, "Rat": { "IHC-species-checked": "notRecommended", "IHC-species-dilution-info": "", "IHC-species-notes": "", "WB-species-checked": "notRecommended", "WB-species-dilution-info": "", "WB-species-notes": "", "FlowCytIntra-species-checked": "notRecommended", "FlowCytIntra-species-dilution-info": "", "FlowCytIntra-species-notes": "", "ICCIF-species-checked": "notRecommended", "ICCIF-species-dilution-info": "", "ICCIF-species-notes": "", "IHCP-species-checked": "notRecommended", "IHCP-species-dilution-info": "", "IHCP-species-notes": "<p></p>" } } }

Product details

Patented technology
Our RabMAb® technology is a patented hybridoma-based technology for making rabbit monoclonal antibodies. For details on our patents, please refer to RabMAb® patents.

What are the advantages of a recombinant monoclonal antibody?
This product is a recombinant monoclonal antibody, which offers several advantages including:

  • - High batch-to-batch consistency and reproducibility
  • - Improved sensitivity and specificity
  • - Long-term security of supply
  • - Animal-free batch production

For more information, read more on recombinant antibodies.

Properties and storage information

Form
Liquid
Purification technique
Affinity purification Protein A
Storage buffer
pH: 7.2 - 7.4 Preservative: 0.01% Sodium azide Constituents: PBS, 40% Glycerol (glycerin, glycerine), 0.05% BSA
Shipped at conditions
Blue Ice
Appropriate short-term storage duration
1-2 weeks
Appropriate short-term storage conditions
+4°C
Appropriate long-term storage conditions
-20°C
Aliquoting information
Upon delivery aliquot
Storage information
Avoid freeze / thaw cycle

Supplementary information

This supplementary information is collated from multiple sources and compiled automatically.

VIRMA also known as KIAA1429 is a protein with an essential role in the RNA N6-adenosine methylation process often referred to as m6A modification. It has a molecular mass around 200 kDa and is expressed widely across various tissues prominently in the brain liver and kidney. As a component of the m6A methylation machinery it associates with other proteins that determine m6A methyltransferase activity.
Biological function summary

This protein plays a significant part in mRNA modification by acting as an important component of the m6A writer complex. It contributes to the regulation of gene expression by modulating mRNA stability and translation. The m6A writer complex which includes METTL3 METTL14 and WTAP often coordinates with VIRMA to ensure proper mRNA methylation affecting cellular processes such as differentiation and proliferation. Its involvement in this complex implies its importance for mRNA metabolism and gene expression regulation.

Pathways

VIRMA significantly impacts the RNA processing and degradation pathways. Within these pathways it interacts with proteins such as METTL3 and METTL14 to influence mRNA splicing and degradation which are vital for cellular homeostasis. Moreover VIRMA is closely linked to the circadian rhythm pathway. It regulates mRNA targets affecting the rhythmic expression of clock genes underlining cellular timing mechanisms.

VIRMA is connected to cancer and metabolic disorders. Alterations in its methylation activity correlate with tumorigenesis and cancer progression particularly in liver cancer. It cooperates with proteins like METTL3 in promoting oncogenic mRNA translation leading to uncontrolled cell growth. Additionally dysregulation of RNA methylation involving VIRMA influences the metabolism contributing to disorders like obesity. This makes it an attractive target for therapeutic strategies aiming to modulate abnormal methylation patterns.

Product protocols

For this product, it's our understanding that no specific protocols are required. You can visit:

Target data

Associated component of the WMM complex, a complex that mediates N6-methyladenosine (m6A) methylation of RNAs, a modification that plays a role in the efficiency of mRNA splicing and RNA processing (PubMed : 24981863, PubMed : 29507755). Acts as a key regulator of m6A methylation by promoting m6A methylation of mRNAs in the 3'-UTR near the stop codon : recruits the catalytic core components METTL3 and METTL14, thereby guiding m6A methylation at specific sites (PubMed : 29507755). Required for mRNA polyadenylation via its role in selective m6A methylation : m6A methylation of mRNAs in the 3'-UTR near the stop codon correlating with alternative polyadenylation (APA) (PubMed : 29507755).
See full target information VIRMA

Publications (13)

Recent publications for all applications. Explore the full list and refine your search

Oncology letters 30:453 PubMed40747381

2025

KIAA1429-mediated ZFPM2-AS1 mA modification promotes the proliferation, migration and invasion of osteosarcoma cells.

Applications

Unspecified application

Species

Unspecified reactive species

Yuanzhuang Zhang,Yuxin Bao,Hanjie Zhai,Chenghao Li,Hongchao Shi,Keyang Gong,Xiaohe Bao

Scientific reports 15:24858 PubMed40640307

2025

KIAA1429 promotes non-small-cell lung cancer cell proliferation through the TRERNA1/HOXA6 axis.

Applications

Unspecified application

Species

Unspecified reactive species

Yunxia Li,Shiyao Tian,Biao Yang

Scientific reports 15:13628 PubMed40254620

2025

VIRMA promotes NSCLC progression by modifying ADAR mA and increasing the activity of the TGF-β signaling pathway.

Applications

Unspecified application

Species

Unspecified reactive species

Yuchen Shan,Yongfei Fan,Xudong Zhu,Yi Zhao,Xiangseng Liu,Xiaoyu Duan,Zhaojia Gao,Ming Lou,Kai Yuan

Journal of biochemical and molecular toxicology 38:e23829 PubMed39215765

2024

Silencing of KIAA1429, a N6-methyladenine methyltransferase, inhibits the progression of colon adenocarcinoma via blocking the hypoxia-inducible factor 1 signalling pathway.

Applications

Unspecified application

Species

Unspecified reactive species

Canhui Ouyang,Guofeng Xu,Jun Xie,Yun Xie,Yun Zhou

Cell biology and toxicology 40:58 PubMed39060874

2024

KIAA1429 increases FOXM1 expression through YTHDF1-mediated m6A modification to promote aerobic glycolysis and tumorigenesis in multiple myeloma.

Applications

Unspecified application

Species

Unspecified reactive species

Yue Wu,Yi Luo,Xingchen Yao,Xiangjun Shi,Ziyu Xu,Jie Re,Ming Shi,Meng Li,Junpeng Liu,Youzhi He,Xinru Du

Biomolecules & biomedicine 24:1669-1681 PubMed38843497

2024

Role and mechanism of KIAA1429 in regulating cellular ferroptosis and radioresistance in colorectal cancer.

Applications

Unspecified application

Species

Unspecified reactive species

Hao Chen,Peipei Zhu,Dan Zhu,Juan Jin,Qianni Yang,Xiaodong Han

Journal of cellular and molecular medicine 27:4118-4132 PubMed37830241

2023

KIAA1429 protects hepatocellular carcinoma cells from ferroptotic cell death with a m A-dependent posttranscriptional modification of SLC7A11.

Applications

Unspecified application

Species

Unspecified reactive species

Houhong Wang,Wenli Chen,Yayun Cui,Huihui Gong,Heng Li

Molecular medicine (Cambridge, Mass.) 29:103 PubMed37528369

2023

HNRNPC promotes collagen fiber alignment and immune evasion in breast cancer via activation of the VIRMA-mediated TFAP2A/DDR1 axis.

Applications

Unspecified application

Species

Unspecified reactive species

Bin Lian,Shuxun Yan,Jiayi Li,Zhengyang Bai,Jinping Li

Cell biology international 47:1327-1343 PubMed37191290

2023

HPV E6 promotes cell proliferation of cervical cancer cell by accelerating accumulation of RBM15 dependently of autophagy inhibition.

Applications

Unspecified application

Species

Unspecified reactive species

Gang Nie,Bo Tang,Mingfen Lv,Danyang Li,Tian Li,Rongying Ou,Yunsheng Xu,Juan Wen

The Journal of biological chemistry 299:104677 PubMed37028765

2023

VIRMA promotes nasopharyngeal carcinoma, tumorigenesis, and metastasis by upregulation of E2F7 in an m6A-dependent manner.

Applications

Unspecified application

Species

Unspecified reactive species

Zi-Qi Zheng,Zhuo-Hui Huang,Ye-Lin Liang,Wei-Hong Zheng,Cheng Xu,Zhi-Xuan Li,Na Liu,Pan-Yang Yang,Ying-Qin Li,Jun Ma,Ying Sun,Ling-Long Tang,Denghui Wei
View all publications

Product promise

We are committed to supporting your work with high-quality reagents, and we're here for you every step of the way. In the unlikely event that one of our products does not perform as expected, you're protected by our Product Promise.
For full details, please see our Terms & Conditions

Please note: All products are 'FOR RESEARCH USE ONLY. NOT FOR USE IN DIAGNOSTIC OR THERAPEUTIC PROCEDURES'.

For licensing inquiries, please contact partnerships@abcam.com