JavaScript is disabled in your browser. Please enable JavaScript to view this website.
AB233294

Anti-Visfatin antibody

Be the first to review this product! Submit a review

|

(5 Publications)

Rabbit Polyclonal Visfatin antibody. Suitable for WB, IHC-P and reacts with Pig, Human samples. Cited in 5 publications. Immunogen corresponding to Recombinant Full Length Protein corresponding to Human NAMPT.

View Alternative Names

PBEF, PBEF1, NAMPT, Nicotinamide phosphoribosyltransferase, NAmPRTase, Nampt, Pre-B-cell colony-enhancing factor 1, Visfatin, Pre-B cell-enhancing factor

11 Images
Immunohistochemistry (Formalin/PFA-fixed paraffin-embedded sections) - Anti-Visfatin antibody (AB233294)
  • IHC-P

Supplier Data

Immunohistochemistry (Formalin/PFA-fixed paraffin-embedded sections) - Anti-Visfatin antibody (AB233294)

Formalin-fixed, paraffin-embedded human stomach tissue stained for Visfatin using ab233294 at 20 μg/ml in immunohistochemical analysis.

Secondary used : HRP-Linked Goat Anti-Rabbit IgG Polyclonal at 2 μg/ml. DAB staining.

Immunohistochemistry (Formalin/PFA-fixed paraffin-embedded sections) - Anti-Visfatin antibody (AB233294)
  • IHC-P

Supplier Data

Immunohistochemistry (Formalin/PFA-fixed paraffin-embedded sections) - Anti-Visfatin antibody (AB233294)

Formalin-fixed, paraffin-embedded human esophagus tissue stained for Visfatin using ab233294 at 20 μg/ml in immunohistochemical analysis.

Secondary used : HRP-Linked Goat Anti-Rabbit IgG Polyclonal at 2 μg/ml. DAB staining.

Immunohistochemistry (Formalin/PFA-fixed paraffin-embedded sections) - Anti-Visfatin antibody (AB233294)
  • IHC-P

Supplier Data

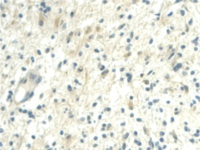
Immunohistochemistry (Formalin/PFA-fixed paraffin-embedded sections) - Anti-Visfatin antibody (AB233294)

Formalin-fixed, paraffin-embedded human glioma tissue stained for Visfatin using ab233294 at 20 μg/ml in immunohistochemical analysis.

Secondary used : HRP-Linked Goat Anti-Rabbit IgG Polyclonal at 2 μg/ml. DAB staining.

Immunohistochemistry (Formalin/PFA-fixed paraffin-embedded sections) - Anti-Visfatin antibody (AB233294)
  • IHC-P

Supplier Data

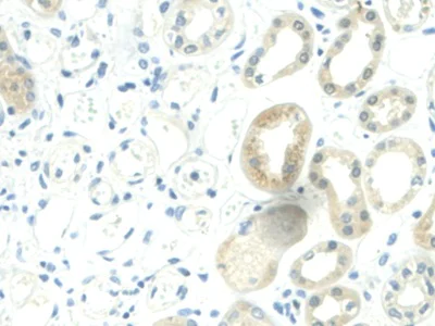
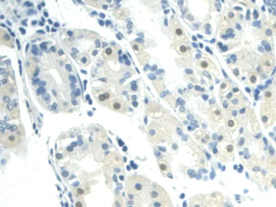
Immunohistochemistry (Formalin/PFA-fixed paraffin-embedded sections) - Anti-Visfatin antibody (AB233294)

Formalin-fixed, paraffin-embedded human kidney tissue stained for Visfatin using ab233294 at 20 μg/ml in immunohistochemical analysis.

Secondary used : HRP-Linked Goat Anti-Rabbit IgG Polyclonal at 2 μg/ml. DAB staining.

Immunohistochemistry (Formalin/PFA-fixed paraffin-embedded sections) - Anti-Visfatin antibody (AB233294)
  • IHC-P

Supplier Data

Immunohistochemistry (Formalin/PFA-fixed paraffin-embedded sections) - Anti-Visfatin antibody (AB233294)

Formalin-fixed, paraffin-embedded human cerebrum tissue stained for Visfatin using ab233294 at 20 μg/ml in immunohistochemical analysis.

Secondary used : HRP-Linked Goat Anti-Rabbit IgG Polyclonal at 2 μg/ml. DAB staining.

Immunohistochemistry (Formalin/PFA-fixed paraffin-embedded sections) - Anti-Visfatin antibody (AB233294)
  • IHC-P

Supplier Data

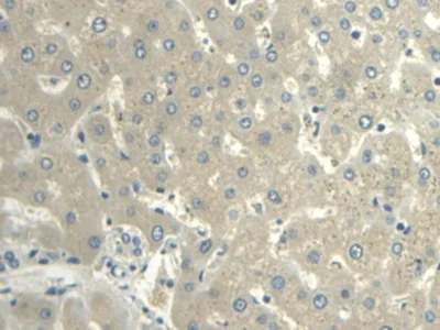
Immunohistochemistry (Formalin/PFA-fixed paraffin-embedded sections) - Anti-Visfatin antibody (AB233294)

Formalin-fixed, paraffin-embedded human liver tissue stained for Visfatin using ab233294 at 20 μg/ml in immunohistochemical analysis.

Secondary used : HRP-Linked Goat Anti-Rabbit IgG Polyclonal at 2 μg/ml. DAB staining.

Western blot - Anti-Visfatin antibody (AB233294)
  • WB

Supplier Data

Western blot - Anti-Visfatin antibody (AB233294)

All lanes:

Western blot - Anti-Visfatin antibody (ab233294) at 2 µg/mL

All lanes:

HEK-293T (human epithelial cell line from embryonic kidney transformed with large T antigen) cell lysate

Secondary

All lanes:

HRP-Linked Goat Anti-Rabbit IgG Polyclonal at 0.2 µg/mL

Predicted band size: 55 kDa

false

Western blot - Anti-Visfatin antibody (AB233294)
  • WB

Supplier Data

Western blot - Anti-Visfatin antibody (AB233294)

All lanes:

Western blot - Anti-Visfatin antibody (ab233294) at 2 µg/mL

All lanes:

Recombinant human Visfatin protein

Predicted band size: 55 kDa

false

Western blot - Anti-Visfatin antibody (AB233294)
  • WB

Supplier Data

Western blot - Anti-Visfatin antibody (AB233294)

All lanes:

Western blot - Anti-Visfatin antibody (ab233294) at 1 µg/mL

All lanes:

Pig liver lysate

Secondary

All lanes:

HRP-Linked Goat Anti-Rabbit IgG Polyclonal at 0.2 µg/mL

Predicted band size: 55 kDa

false

Western blot - Anti-Visfatin antibody (AB233294)
  • WB

Supplier Data

Western blot - Anti-Visfatin antibody (AB233294)

All lanes:

Western blot - Anti-Visfatin antibody (ab233294) at 2 µg

All lanes:

Pig stomach lysate

Secondary

All lanes:

HRP-Linked Goat Anti-Rabbit IgG Polyclonal at 0.2 µg/mL

Predicted band size: 55 kDa

false

Western blot - Anti-Visfatin antibody (AB233294)
  • WB

Supplier Data

Western blot - Anti-Visfatin antibody (AB233294)

Western Blot; Sample : Porcine Heart lysate; Primary Ab : 1μg/ml Rabbit Anti-Human VF Antibody Second Ab : 0.2μg/mL HRP-Linked Caprine Anti-Rabbit IgG Polyclonal Antibody (Catalog : SAA544Rb19)

All lanes:

Western blot - Anti-Visfatin antibody (ab233294) at 1 µg/mL

All lanes:

Pig heart lysate

Secondary

All lanes:

HRP-Linked Goat Anti-Rabbit IgG Polyclonal at 0.2 µg/mL

Predicted band size: 55 kDa

false

Key facts

Host species

Rabbit

Clonality

Polyclonal

Isotype

IgG

Carrier free

No

Reacts with

Human, Pig

Applications

WB, IHC-P

applications

Immunogen

Recombinant Full Length Protein corresponding to Human NAMPT.

P43490

Reactivity data

{ "title": "Reactivity Data", "filters": { "stats": ["", "Species", "Dilution Info", "Notes"], "tabs": { "all-applications": {"fullname" : "All Applications", "shortname": "All Applications"}, "WB" : {"fullname" : "Western blot", "shortname":"WB"}, "IHCP" : {"fullname" : "Immunohistochemistry (Formalin/PFA-fixed paraffin-embedded sections)", "shortname":"IHC-P"} }, "product-promise": { "all": "all", "testedAndGuaranteed": "tested", "guaranteed": "expected", "predicted": "predicted", "notRecommended": "not-recommended" } }, "values": { "Human": { "WB-species-checked": "testedAndGuaranteed", "WB-species-dilution-info": "0.2-2 µg/mL", "WB-species-notes": "<p></p>", "IHCP-species-checked": "testedAndGuaranteed", "IHCP-species-dilution-info": "5-20 µg/mL", "IHCP-species-notes": "<p></p>" }, "Mouse": { "WB-species-checked": "predicted", "WB-species-dilution-info": "", "WB-species-notes": "", "IHCP-species-checked": "predicted", "IHCP-species-dilution-info": "", "IHCP-species-notes": "" }, "Rat": { "WB-species-checked": "predicted", "WB-species-dilution-info": "", "WB-species-notes": "", "IHCP-species-checked": "predicted", "IHCP-species-dilution-info": "", "IHCP-species-notes": "" }, "Pig": { "WB-species-checked": "testedAndGuaranteed", "WB-species-dilution-info": "0.2-2 µg/mL", "WB-species-notes": "<p></p>", "IHCP-species-checked": "guaranteed", "IHCP-species-dilution-info": "", "IHCP-species-notes": "" } } }

Properties and storage information

Form
Liquid
Purification technique
Affinity purification Protein A
Purification notes
Antigen-specific affinity chromatography followed by Protein A affinity chromatography.
Storage buffer
pH: 7.4 Preservative: 0.011% Proclin 300 Constituents: PBS, 55.77% Glycerol (glycerin, glycerine)
Shipped at conditions
Blue Ice
Appropriate short-term storage duration
1-2 weeks
Appropriate short-term storage conditions
+4°C
Appropriate long-term storage conditions
-20°C
Aliquoting information
Upon delivery aliquot
Storage information
Avoid freeze / thaw cycle

Product protocols

For this product, it's our understanding that no specific protocols are required. You can visit:

Target data

Catalyzes the condensation of nicotinamide with 5-phosphoribosyl-1-pyrophosphate to yield nicotinamide mononucleotide, an intermediate in the biosynthesis of NAD. It is the rate limiting component in the mammalian NAD biosynthesis pathway. The secreted form behaves both as a cytokine with immunomodulating properties and an adipokine with anti-diabetic properties, it has no enzymatic activity, partly because of lack of activation by ATP, which has a low level in extracellular space and plasma. Plays a role in the modulation of circadian clock function. NAMPT-dependent oscillatory production of NAD regulates oscillation of clock target gene expression by releasing the core clock component : CLOCK-BMAL1 heterodimer from NAD-dependent SIRT1-mediated suppression (By similarity).
See full target information NAMPT

Publications (5)

Recent publications for all applications. Explore the full list and refine your search

PloS one 19:e0310389 PubMed39292698

2024

Visfatin (NAMPT) expression in human placenta cells in normal and pathological conditions and its hormonal regulation in trophoblast JEG-3 cells.

Applications

Unspecified application

Species

Unspecified reactive species

Monika Dawid,Patrycja Kurowska,Piotr Pawlicki,Małgorzata Kotula-Balak,Tomasz Milewicz,Joelle Dupont,Agnieszka Rak

Scientific reports 13:18253 PubMed37880346

2023

Visfatin in the porcine pituitary gland: expression and regulation of secretion during the oestrous cycle and early pregnancy.

Applications

Unspecified application

Species

Unspecified reactive species

Karolina Szymanska,Ewa Zaobidna,Edyta Rytelewska,Ewa Mlyczynska,Patrycja Kurowska,Kamil Dobrzyn,Marta Kiezun,Barbara Kaminska,Nina Smolinska,Agnieszka Rak,Tadeusz Kaminski

Reproduction (Cambridge, England) 165:521-531 PubMed36880885

2023

Visfatin increases the invasive potential of ovarian granulosa tumor spheroids by reprogramming glucose metabolism.

Applications

Unspecified application

Species

Unspecified reactive species

Justyna Gogola-Mruk,Weronika Marynowicz,Kinga Krawczyk,Anna Ptak

Scientific reports 11:8698 PubMed33888798

2021

Plasma level and expression of visfatin in the porcine hypothalamus during the estrous cycle and early pregnancy.

Applications

Unspecified application

Species

Unspecified reactive species

Tadeusz Kaminski,Marta Kiezun,Ewa Zaobidna,Kamil Dobrzyn,Barbara Wasilewska,Ewa Mlyczynska,Edyta Rytelewska,Katarzyna Kisielewska,Marlena Gudelska,Kinga Bors,Grzegorz Kopij,Karolina Szymanska,Barbara Kaminska,Agnieszka Rak,Nina Smolinska

Journal of the American Heart Association 10:e019685 PubMed33372525

2020

New Cardiomyokine Reduces Myocardial Ischemia/Reperfusion Injury by PI3K-AKT Pathway Via a Putative KDEL-Receptor Binding.

Applications

Unspecified application

Species

Unspecified reactive species

Leonardo Maciel,Dahienne Ferreira de Oliveira,Fernanda Mesquita,Hercules Antônio da Silva Souza,Leandro Oliveira,Michelle Lopes Araújo Christie,Fernando L Palhano,Antônio Carlos Campos de Carvalho,José Hamilton Matheus Nascimento,Debora Foguel
View all publications

Product promise

We are committed to supporting your work with high-quality reagents, and we're here for you every step of the way. In the unlikely event that one of our products does not perform as expected, you're protected by our Product Promise.
For full details, please see our Terms & Conditions

Please note: All products are 'FOR RESEARCH USE ONLY. NOT FOR USE IN DIAGNOSTIC OR THERAPEUTIC PROCEDURES'.

For licensing inquiries, please contact partnerships@abcam.com