JavaScript is disabled in your browser. Please enable JavaScript to view this website.
AB252558

Anti-Visfatin antibody [BLR058F]

Be the first to review this product! Submit a review

|

(3 Publications)

Rabbit Recombinant Monoclonal Visfatin antibody. Suitable for IHC-P, IP, WB, ICC/IF and reacts with Human, Mouse samples. Cited in 3 publications. Immunogen corresponding to Synthetic Peptide within Human NAMPT aa 400-450.

View Alternative Names

PBEF, PBEF1, NAMPT, Nicotinamide phosphoribosyltransferase, NAmPRTase, Nampt, Pre-B-cell colony-enhancing factor 1, Visfatin, Pre-B cell-enhancing factor

5 Images
Immunohistochemistry (Formalin/PFA-fixed paraffin-embedded sections) - Anti-Visfatin antibody [BLR058F] (AB252558)
  • IHC-P

Supplier Data

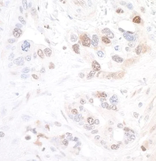
Immunohistochemistry (Formalin/PFA-fixed paraffin-embedded sections) - Anti-Visfatin antibody [BLR058F] (AB252558)

Formalin-fixed, paraffin-embedded human ovarian carcinoma tissue stained for Visfatin with ab252558 at a 1/250 dilution in immunohistochemical analysis. DAB staining. HRP-conjugated goat anti-rabbit IgG secondary.

Immunohistochemistry (Formalin/PFA-fixed paraffin-embedded sections) - Anti-Visfatin antibody [BLR058F] (AB252558)
  • IHC-P

Supplier Data

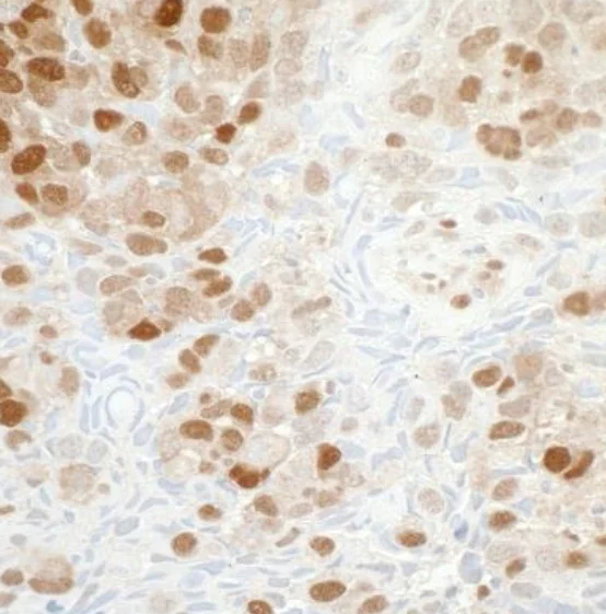
Immunohistochemistry (Formalin/PFA-fixed paraffin-embedded sections) - Anti-Visfatin antibody [BLR058F] (AB252558)

Formalin-fixed, paraffin-embedded human breast carcinoma tissue stained for Visfatin with ab252558 at a 1/250 dilution in immunohistochemical analysis. DAB staining. HRP-conjugated goat anti-rabbit IgG secondary.

Immunocytochemistry/ Immunofluorescence - Anti-Visfatin antibody [BLR058F] (AB252558)
  • ICC/IF

Supplier Data

Immunocytochemistry/ Immunofluorescence - Anti-Visfatin antibody [BLR058F] (AB252558)

FFPE section of NCI-H460 (Human lung cancer cell line) cells labeling Visfatin using ab252558 at a 1/250 dilution in ICC.

Secondary : HRP-conjugated goat anti-rabbit IgG.

Substrate : DAB.

Immunoprecipitation - Anti-Visfatin antibody [BLR058F] (AB252558)
  • IP

Supplier Data

Immunoprecipitation - Anti-Visfatin antibody [BLR058F] (AB252558)

Visfatin was immunoprecipitated from HEK-293T (Human epithelial cell line from embryonic kidney transformed with large T antigen) whole cell lysate (1 mg per IP reaction; 20% of IP loaded) prepared using NETN lysis buffer.
ab252558 used for IP at 5 μl per reaction. For WB 1/1000 dilution.

Lane 1 : ab252558 IP in HEK-293T whole cell lysate.
Lane 2 : Control IgG IP in HEK-293Twhole cell lysate.

Chemiluminescence detection : 75 seconds.

All lanes:

Immunoprecipitation - Anti-Visfatin antibody [BLR058F] (ab252558)

Predicted band size: 55 kDa

false

Western blot - Anti-Visfatin antibody [BLR058F] (AB252558)
  • WB

Supplier Data

Western blot - Anti-Visfatin antibody [BLR058F] (AB252558)

Lysates prepared using NETN lysis buffer.

All lanes:

Western blot - Anti-Visfatin antibody [BLR058F] (ab252558) at 1/1000 dilution

Lane 1:

RKO (Human cell line) whole cell lysate at 50 µg

Lane 2:

MCF7 (Human breast adenocarcinoma cell line) whole cell lysate at 50 µg

Lane 3:

K562 (Human chronic myelogenous leukemia cell line from bone marrow) whole cell lysate at 50 µg

Lane 4:

GaMG (Human cell line) whole cell lysate at 50 µg

Lane 5:

HEK-293T (Human epithelial cell line from embryonic kidney transformed with large T antigen) whole cell lysate at 50 µg

Lane 6:

HeLa (Human epithelial cell line from cervix adenocarcinoma) whole cell lysate at 50 µg

Lane 7:

U-2 OS (Human bone osteosarcoma epithelial cell line) whole cell lysate at 50 µg

Lane 8:

LNCaP (Human prostate cancer cell line) whole cell lysate at 50 µg

Lane 9:

HepG2 (Human liver hepatocellular carcinoma cell line) whole cell lysate at 50 µg

Lane 10:

Jurkat (Human T cell leukemia cell line from peripheral blood) whole cell lysate at 50 µg

Lane 11:

NIH/3T3 (Mouse embryo fibroblast cell line) whole cell lysate at 50 µg

Predicted band size: 55 kDa

false

Exposure time: 30s

Key facts

Host species

Rabbit

Clonality

Monoclonal

Clone number

BLR058F

Isotype

IgG

Carrier free

No

Reacts with

Mouse, Human

Applications

IHC-P, IP, ICC/IF, WB

applications

Immunogen

Synthetic Peptide within Human NAMPT aa 400-450. The exact immunogen used to generate this antibody is proprietary information.

P43490

Reactivity data

{ "title": "Reactivity Data", "filters": { "stats": ["", "Species", "Dilution Info", "Notes"], "tabs": { "all-applications": {"fullname" : "All Applications", "shortname": "All Applications"}, "IHCP" : {"fullname" : "Immunohistochemistry (Formalin/PFA-fixed paraffin-embedded sections)", "shortname":"IHC-P"}, "IP" : {"fullname" : "Immunoprecipitation", "shortname":"IP"}, "WB" : {"fullname" : "Western blot", "shortname":"WB"}, "ICCIF" : {"fullname" : "Immunocytochemistry/ Immunofluorescence", "shortname":"ICC/IF"} }, "product-promise": { "all": "all", "testedAndGuaranteed": "tested", "guaranteed": "expected", "predicted": "predicted", "notRecommended": "not-recommended" } }, "values": { "Human": { "IHCP-species-checked": "testedAndGuaranteed", "IHCP-species-dilution-info": "1/100 - 1/500", "IHCP-species-notes": "<p></p>", "IP-species-checked": "testedAndGuaranteed", "IP-species-dilution-info": "", "IP-species-notes": "<p>5 μl/1 mg lysate</p>", "WB-species-checked": "testedAndGuaranteed", "WB-species-dilution-info": "1/1000", "WB-species-notes": "<p></p>", "ICCIF-species-checked": "testedAndGuaranteed", "ICCIF-species-dilution-info": "1/100 - 1/500", "ICCIF-species-notes": "<p>Epitope retrieval with citrate buffer pH 6.0 is recommended for FFPE cell sections.</p>" }, "Mouse": { "IHCP-species-checked": "guaranteed", "IHCP-species-dilution-info": "", "IHCP-species-notes": "", "IP-species-checked": "guaranteed", "IP-species-dilution-info": "", "IP-species-notes": "", "WB-species-checked": "testedAndGuaranteed", "WB-species-dilution-info": "1/1000", "WB-species-notes": "<p></p>", "ICCIF-species-checked": "guaranteed", "ICCIF-species-dilution-info": "", "ICCIF-species-notes": "" } } }

Product details

REACH authorisation
Abcam has not and does not intend to apply for the REACH Authorisation of customers' uses of products that contain European Authorisation list (Annex XIV) substances.
It is the responsibility of our customers to check the necessity of application of REACH Authorisation, and any other relevant authorisations, for their intended uses.

This product is sold under License from Bethyl Laboratories, Inc.

Properties and storage information

Form
Liquid
Purification notes
Purified from cell culture supernatant.
Storage buffer
pH: 7.8 - 8.6 Preservative: 0.09% Sodium azide Constituents: 99% Borate buffered saline, 0.1% BSA
Shipped at conditions
Blue Ice
Appropriate short-term storage duration
1-2 weeks
Appropriate short-term storage conditions
+4°C
Appropriate long-term storage conditions
+4°C
Aliquoting information
Upon delivery aliquot
Storage information
Avoid freeze / thaw cycle

Product protocols

For this product, it's our understanding that no specific protocols are required. You can visit:

Target data

Catalyzes the condensation of nicotinamide with 5-phosphoribosyl-1-pyrophosphate to yield nicotinamide mononucleotide, an intermediate in the biosynthesis of NAD. It is the rate limiting component in the mammalian NAD biosynthesis pathway. The secreted form behaves both as a cytokine with immunomodulating properties and an adipokine with anti-diabetic properties, it has no enzymatic activity, partly because of lack of activation by ATP, which has a low level in extracellular space and plasma. Plays a role in the modulation of circadian clock function. NAMPT-dependent oscillatory production of NAD regulates oscillation of clock target gene expression by releasing the core clock component : CLOCK-BMAL1 heterodimer from NAD-dependent SIRT1-mediated suppression (By similarity).
See full target information NAMPT

Publications (3)

Recent publications for all applications. Explore the full list and refine your search

Open medicine (Warsaw, Poland) 19:20241007 PubMed39308922

2024

Decreased BIRC5-206 promotes epithelial-mesenchymal transition in nasopharyngeal carcinoma through sponging miR-145-5p.

Applications

Unspecified application

Species

Unspecified reactive species

Weihua Xu,Junjie Hu,Zhichao Ma,Wanyi Feng,Wei Gong,Shengmiao Fu,Xinping Chen

Journal of cachexia, sarcopenia and muscle 14:1003-1018 PubMed36864250

2023

Nicotinamide Phosphoribosyltransferase-elevated NAD biosynthesis prevents muscle disuse atrophy by reversing mitochondrial dysfunction.

Applications

Unspecified application

Species

Unspecified reactive species

Yao Zhang,Yingming Wang,Shuai Lu,Rui Zhong,Zhilin Liu,Qichun Zhao,Chongyang Wang

Microbiology and immunology 67:129-141 PubMed36540014

2023

Silencing of circ-NT5C2 retards the progression of IL-1β-induced osteoarthritis in an in vitro cell model by targeting the miR-142-5p/NAMPT axis.

Applications

Unspecified application

Species

Unspecified reactive species

Wei Zhang,Yan-Dong Wang,Yong-Jun Xing,Peng-Jun Liu,Jian-Hui Yang
View all publications

Product promise

We are committed to supporting your work with high-quality reagents, and we're here for you every step of the way. In the unlikely event that one of our products does not perform as expected, you're protected by our Product Promise.
For full details, please see our Terms & Conditions

Please note: All products are 'FOR RESEARCH USE ONLY. NOT FOR USE IN DIAGNOSTIC OR THERAPEUTIC PROCEDURES'.

For licensing inquiries, please contact partnerships@abcam.com