JavaScript is disabled in your browser. Please enable JavaScript to view this website.
AB236873

Anti-Visfatin antibody [EPR21984]

Be the first to review this product! Submit a review

|

(3 Publications)

Rabbit Recombinant Monoclonal Visfatin antibody. Suitable for IP, WB, Flow Cyt (Intra), IHC-P and reacts with Human, Mouse, Rat samples. Cited in 3 publications.

View Alternative Names

PBEF, PBEF1, NAMPT, Nicotinamide phosphoribosyltransferase, NAmPRTase, Nampt, Pre-B-cell colony-enhancing factor 1, Visfatin, Pre-B cell-enhancing factor

9 Images
Flow Cytometry (Intracellular) - Anti-Visfatin antibody [EPR21984] (AB236873)
  • Flow Cyt (Intra)

Supplier Data

Flow Cytometry (Intracellular) - Anti-Visfatin antibody [EPR21984] (AB236873)

Intracellular flow cytometric analysis of 4% paraformaldehyde-fixed, 90% methanol permeabilized HCT 116 (human colorectal carcinoma cell line) cell line labeling Visfatin with ab236873 at 1/500 (red) compared with a Rabbit monoclonal IgG (ab172730) (black) and an unlabeled control (cells without incubation with primary antibody and secondary antibody) (blue). Goat Anti-Rabbit IgG H&L (Alexa Fluor® 488) (ab150077) at 1/2000 dilution was used as the secondary antibody

Immunohistochemistry (Formalin/PFA-fixed paraffin-embedded sections) - Anti-Visfatin antibody [EPR21984] (AB236873)
  • IHC-P

Supplier Data

Immunohistochemistry (Formalin/PFA-fixed paraffin-embedded sections) - Anti-Visfatin antibody [EPR21984] (AB236873)

Immunohistochemical analysis of paraffin-embedded human bladder cancer tissue labeling Visfatin with ab236873 at 1/1000 dilution, followed by Goat Anti-Rabbit IgG H&L (HRP) Ready to use. Nuclear and cytoplasmic staining in human bladder cancer (PMID : 26396920) is observed. Counter stained with Hematoxylin.

Secondary antibody only control : Used PBS instead of primary antibody, secondary antibody is Goat Anti-Rabbit IgG H&L (HRP) Ready to use.

Perform heat mediated antigen retrieval with Tris/EDTA buffer pH 9.0 before commencing with IHC staining protocol.

Immunohistochemistry (Formalin/PFA-fixed paraffin-embedded sections) - Anti-Visfatin antibody [EPR21984] (AB236873)
  • IHC-P

Supplier Data

Immunohistochemistry (Formalin/PFA-fixed paraffin-embedded sections) - Anti-Visfatin antibody [EPR21984] (AB236873)

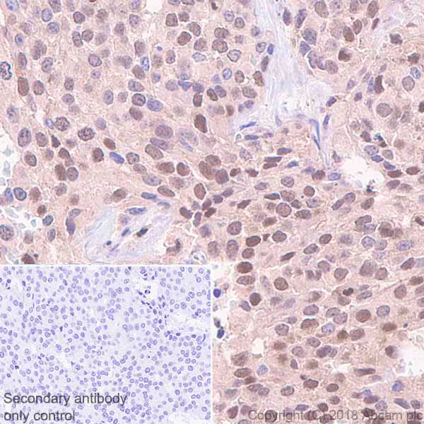
Immunohistochemical analysis of paraffin-embedded human breast cancer tissue labeling Visfatin with ab236873 at 1/1000 dilution, followed by Goat Anti-Rabbit IgG H&L (HRP) Ready to use. Nuclear and cytoplasmic staining in human breast cancer(PMID : 21784959) is observed. Counter stained with Hematoxylin.

Secondary antibody only control : Used PBS instead of primary antibody, secondary antibody is Goat Anti-Rabbit IgG H&L (HRP) Ready to use.

Perform heat mediated antigen retrieval with Tris/EDTA buffer pH 9.0 before commencing with IHC staining protocol.

Flow Cytometry (Intracellular) - Anti-Visfatin antibody [EPR21984] (AB236873)
  • Flow Cyt (Intra)

Supplier Data

Flow Cytometry (Intracellular) - Anti-Visfatin antibody [EPR21984] (AB236873)

Intracellular flow cytometric analysis of 4% paraformaldehyde-fixed, 90% methanol permeabilized K562 (human chronic myelogenous leukemia cell line from bone marrow) cell line labeling Visfatin with ab236873 at 1/500 (red) compared with a Rabbit monoclonal IgG (ab172730) (black) and an unlabeled control (cells without incubation with primary antibody and secondary antibody) (blue). Goat Anti-Rabbit IgG H&L (Alexa Fluor® 488) (ab150077) at 1/2000 dilution was used as the secondary antibody

Immunoprecipitation - Anti-Visfatin antibody [EPR21984] (AB236873)
  • IP

Supplier Data

Immunoprecipitation - Anti-Visfatin antibody [EPR21984] (AB236873)

Visfatin was immunoprecipitated from 0.35 mg HCT 116 (human colorectal carcinoma cell line) whole cell lysate with ab236873 at 1/30 dilution. Western blot was performed from the immunoprecipitate using ab236873 at 1/1000 dilution. VeriBlot for IP Detection Reagent (HRP) (ab131366), was used for detection at 1/5000 dilution.

Lane 1 : HTC 116 whole cell lysate 10 μg (Input).
Lane 2 : ab236873 IP in HCT 116 whole cell lysate (+).
Lane 3 : Rabbit monoclonal IgG (ab172730) instead of ab236873 in HCT 116 whole cell lysate (-).

Blocking/Dilution buffer and concentration : 5% NFDM/TBST.
Exposure time : 1 second.

All lanes:

Immunoprecipitation - Anti-Visfatin antibody [EPR21984] (ab236873)

Predicted band size: 55 kDa

false

Immunohistochemistry (Formalin/PFA-fixed paraffin-embedded sections) - Anti-Visfatin antibody [EPR21984] (AB236873)
  • IHC-P

Supplier Data

Immunohistochemistry (Formalin/PFA-fixed paraffin-embedded sections) - Anti-Visfatin antibody [EPR21984] (AB236873)

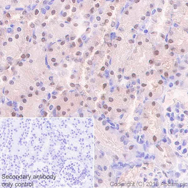
Immunohistochemical analysis of paraffin-embedded mouse kidney tissue labeling Visfatin with ab236873 at 1/1000 dilution, followed by Goat Anti-Rabbit IgG H&L (HRP) Ready to use. Nuclear and cytoplasmic staining in mouse kidney (PMID : 29104634; PMID : 24287278) is observed. Counter stained with Hematoxylin.

Secondary antibody only control : Used PBS instead of primary antibody, secondary antibody is Goat Anti-Rabbit IgG H&L (HRP) Ready to use.

Perform heat mediated antigen retrieval with Tris/EDTA buffer pH 9.0 before commencing with IHC staining protocol.

Immunohistochemistry (Formalin/PFA-fixed paraffin-embedded sections) - Anti-Visfatin antibody [EPR21984] (AB236873)
  • IHC-P

Unknown

Immunohistochemistry (Formalin/PFA-fixed paraffin-embedded sections) - Anti-Visfatin antibody [EPR21984] (AB236873)

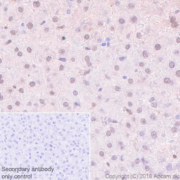
Immunohistochemical analysis of paraffin-embedded rat liver tissue labeling Visfatin with ab236873 at 1/1000 dilution, followed by Goat Anti-Rabbit IgG H&L (HRP) Ready to use. Nuclear and cytoplasmic staining in rat liver (PMID : 29104634; PMID : 24603648) is observed. Counter stained with Hematoxylin.

Secondary antibody only control : Used PBS instead of primary antibody, secondary antibody is Goat Anti-Rabbit IgG H&L (HRP) Ready to use.

Perform heat mediated antigen retrieval with Tris/EDTA buffer pH 9.0 before commencing with IHC staining protocol.

Western blot - Anti-Visfatin antibody [EPR21984] (AB236873)
  • WB

Supplier Data

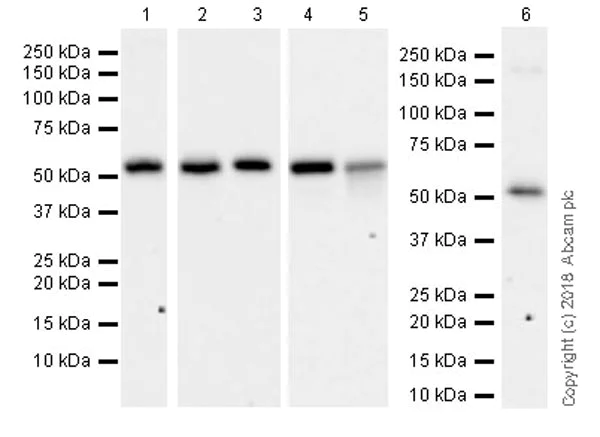
Western blot - Anti-Visfatin antibody [EPR21984] (AB236873)

Exposure time : Lanes 1-3 : 37 seconds; Lanes 4-5 : 8 seconds; Lane 6 : 26 seconds.

Blocking and diluting buffer : 5% NFDM/TBST.

The molecular weight observed is consistent with what has been described in the literature (PMID : 25368373, PMID : 12782293).

All lanes:

Western blot - Anti-Visfatin antibody [EPR21984] (ab236873) at 1/1000 dilution

Lane 1:

Jurkat (human T cell leukemia cell line from peripheral blood) whole cell lysate at 20 µg

Lane 2:

HT1080 (human fibrosarcoma cell line) whole cell lysate at 20 µg

Lane 3:

PC-3 (human prostate adenocarcinoma cell line) whole cell lysate at 20 µg

Lane 4:

NCI-H460 (human lung cancer cell line) whole cell lysate at 20 µg

Lane 5:

Human breast cancer lysate at 20 µg

Lane 6:

K562 (human chronic myelogenous leukemia cell line from bone marrow) whole cell lysate at 10 µg

Secondary

All lanes:

Western blot - Goat Anti-Rabbit IgG H&L (HRP) (<a href='/en-us/products/secondary-antibodies/goat-rabbit-igg-h-l-hrp-ab97051'>ab97051</a>) at 1/100000 dilution

Predicted band size: 55 kDa

Observed band size: 56 kDa

false

Western blot - Anti-Visfatin antibody [EPR21984] (AB236873)
  • WB

Supplier Data

Western blot - Anti-Visfatin antibody [EPR21984] (AB236873)

Blocking and diluting buffer : 5% NFDM/TBST.

The molecular weight observed is consistent with what has been described in the literature (PMID : 25368373, PMID : 12782293).

All lanes:

Western blot - Anti-Visfatin antibody [EPR21984] (ab236873) at 1/1000 dilution

Lane 1:

MCF7 (human breast adenocarcinoma cell line) whole cell lysate at 20 µg

Lane 2:

HCT 116 (human colorectal carcinoma cell line) whole cell lysate at 20 µg

Lane 3:

PC-12 (rat adrenal gland pheochromocytoma cell line) whole cell lysate at 20 µg

Lane 4:

C2C12 (mouse myoblast cell line) whole cell lysate at 20 µg

Lane 5:

Human fetal brain lysate at 10 µg

Lane 6:

Human heart lysate at 10 µg

Lane 7:

Human fetal kidney lysate at 10 µg

Secondary

All lanes:

Western blot - Goat Anti-Rabbit IgG H&L (HRP) (<a href='/en-us/products/secondary-antibodies/goat-rabbit-igg-h-l-hrp-ab97051'>ab97051</a>) at 1/100000 dilution

Predicted band size: 55 kDa

Observed band size: 56 kDa

false

Exposure time: 3min

  • Carrier free

    Anti-Visfatin antibody [EPR21984] - BSA and Azide free

Key facts

Host species

Rabbit

Clonality

Monoclonal

Clone number

EPR21984

Isotype

IgG

Carrier free

No

Reacts with

Mouse, Rat, Human

Applications

IHC-P, WB, IP, Flow Cyt (Intra)

applications

Immunogen

The exact immunogen used to generate this antibody is proprietary information.

Reactivity data

{ "title": "Reactivity Data", "filters": { "stats": ["", "Species", "Dilution Info", "Notes"], "tabs": { "all-applications": {"fullname" : "All Applications", "shortname": "All Applications"}, "IP" : {"fullname" : "Immunoprecipitation", "shortname":"IP"}, "WB" : {"fullname" : "Western blot", "shortname":"WB"}, "FlowCytIntra" : {"fullname" : "Flow Cytometry (Intracellular)", "shortname":"Flow Cyt (Intra)"}, "IHCP" : {"fullname" : "Immunohistochemistry (Formalin/PFA-fixed paraffin-embedded sections)", "shortname":"IHC-P"} }, "product-promise": { "all": "all", "testedAndGuaranteed": "tested", "guaranteed": "expected", "predicted": "predicted", "notRecommended": "not-recommended" } }, "values": { "Human": { "IP-species-checked": "testedAndGuaranteed", "IP-species-dilution-info": "1/30", "IP-species-notes": "<p></p>", "WB-species-checked": "testedAndGuaranteed", "WB-species-dilution-info": "1/1000", "WB-species-notes": "<p></p>", "FlowCytIntra-species-checked": "testedAndGuaranteed", "FlowCytIntra-species-dilution-info": "1/500", "FlowCytIntra-species-notes": "<p></p>", "IHCP-species-checked": "testedAndGuaranteed", "IHCP-species-dilution-info": "1/1000", "IHCP-species-notes": "<p></p>" }, "Mouse": { "IP-species-checked": "guaranteed", "IP-species-dilution-info": "", "IP-species-notes": "", "WB-species-checked": "testedAndGuaranteed", "WB-species-dilution-info": "1/1000", "WB-species-notes": "<p></p>", "FlowCytIntra-species-checked": "guaranteed", "FlowCytIntra-species-dilution-info": "", "FlowCytIntra-species-notes": "", "IHCP-species-checked": "testedAndGuaranteed", "IHCP-species-dilution-info": "1/1000", "IHCP-species-notes": "<p></p>" }, "Rat": { "IP-species-checked": "guaranteed", "IP-species-dilution-info": "", "IP-species-notes": "", "WB-species-checked": "testedAndGuaranteed", "WB-species-dilution-info": "1/1000", "WB-species-notes": "<p></p>", "FlowCytIntra-species-checked": "guaranteed", "FlowCytIntra-species-dilution-info": "", "FlowCytIntra-species-notes": "", "IHCP-species-checked": "testedAndGuaranteed", "IHCP-species-dilution-info": "1/1000", "IHCP-species-notes": "<p></p>" } } }

Product details

Patented technology
Our RabMAb® technology is a patented hybridoma-based technology for making rabbit monoclonal antibodies. For details on our patents, please refer to RabMAb® patents.

What are the advantages of a recombinant monoclonal antibody?
This product is a recombinant monoclonal antibody, which offers several advantages including:

  • - High batch-to-batch consistency and reproducibility
  • - Improved sensitivity and specificity
  • - Long-term security of supply
  • - Animal-free batch production

For more information, read more on recombinant antibodies.

Properties and storage information

Form
Liquid
Purification technique
Affinity purification Protein A
Storage buffer
pH: 7.2 - 7.4 Preservative: 0.01% Sodium azide Constituents: PBS, 40% Glycerol (glycerin, glycerine), 0.05% BSA
Shipped at conditions
Blue Ice
Appropriate short-term storage duration
1-2 weeks
Appropriate short-term storage conditions
+4°C
Appropriate long-term storage conditions
-20°C
Aliquoting information
Upon delivery aliquot
Storage information
Avoid freeze / thaw cycle

Product protocols

For this product, it's our understanding that no specific protocols are required. You can visit:

Target data

Catalyzes the condensation of nicotinamide with 5-phosphoribosyl-1-pyrophosphate to yield nicotinamide mononucleotide, an intermediate in the biosynthesis of NAD. It is the rate limiting component in the mammalian NAD biosynthesis pathway. The secreted form behaves both as a cytokine with immunomodulating properties and an adipokine with anti-diabetic properties, it has no enzymatic activity, partly because of lack of activation by ATP, which has a low level in extracellular space and plasma. Plays a role in the modulation of circadian clock function. NAMPT-dependent oscillatory production of NAD regulates oscillation of clock target gene expression by releasing the core clock component : CLOCK-BMAL1 heterodimer from NAD-dependent SIRT1-mediated suppression (By similarity).
See full target information NAMPT

Publications (3)

Recent publications for all applications. Explore the full list and refine your search

iScience 28:112283 PubMed40241769

2025

Exploiting the therapeutic vulnerability of IDH-mutant gliomas with zotiraciclib.

Applications

Unspecified application

Species

Unspecified reactive species

Ying Pang,Qi Li,Zach Sergi,Guangyang Yu,Olga Kim,Peng Lu,Marina Chan,Xueyu Sang,Herui Wang,Alice Ranjan,Robert W Robey,Ferri Soheilian,Bao Tran,Felipe J Núñez,Meili Zhang,Hua Song,Wei Zhang,Dionne Davis,Mark R Gilbert,Michael M Gottesman,Zhenggang Liu,Craig J Thomas,Maria G Castro,Taranjit S Gujral,Jing Wu

Journal of ginseng research 47:199-209 PubMed36926612

2023

Notoginseng leaf triterpenes ameliorates mitochondrial oxidative injury via the NAMPT-SIRT1/2/3 signaling pathways in cerebral ischemic model rats.

Applications

Unspecified application

Species

Unspecified reactive species

Weijie Xie,Ting Zhu,Ping Zhou,Huibo Xu,Xiangbao Meng,Tao Ding,Fengwei Nan,Guibo Sun,Xiaobo Sun

Cancer management and research 13:8915-8928 PubMed34876854

2021

Is the Fixed Periodic Treatment Effective for the Tumor System without Complete Information?

Applications

Unspecified application

Species

Unspecified reactive species

Jiali Wang,Yixuan Zhang,Xiaoquan Liu,Haochen Liu
View all publications

Product promise

We are committed to supporting your work with high-quality reagents, and we're here for you every step of the way. In the unlikely event that one of our products does not perform as expected, you're protected by our Product Promise.
For full details, please see our Terms & Conditions

Please note: All products are 'FOR RESEARCH USE ONLY. NOT FOR USE IN DIAGNOSTIC OR THERAPEUTIC PROCEDURES'.

For licensing inquiries, please contact partnerships@abcam.com