JavaScript is disabled in your browser. Please enable JavaScript to view this website.
AB272080

Anti-VISTA antibody [BLR035F] - BSA free

Be the first to review this product! Submit a review

|

(1 Publication)

Anti-VISTA antibody [BLR035F] - BSA free (ab272080) is a rabbit monoclonal antibody detecting VISTA in Western Blot, Flow Cytometry, IP, IHC-P. Suitable for Human.

- BSA free for higher signal-to noise ratio
- Recombinant format for unrivalled batch-batch consistency

View Alternative Names

C10orf54, SISP1, VISTA, PP2135, UNQ730/PRO1412, VSIR, V-type immunoglobulin domain-containing suppressor of T-cell activation, Platelet receptor Gi24, Stress-induced secreted protein-1, V-set domain-containing immunoregulatory receptor, V-set immunoregulatory receptor, Sisp-1

6 Images
Flow Cytometry - Anti-VISTA antibody [BLR035F] - BSA free (AB272080)
  • Flow Cyt

Supplier Data

Flow Cytometry - Anti-VISTA antibody [BLR035F] - BSA free (AB272080)

Flow cytometric analysis of human peripheral blood mononuclear cells labelling VISTA with ab243891 (shaded) compared with isotype control (un-shaded). DyLight® 488-conjugated goat anti-rabbit IgG was used as the secondary antibody.

This data was developed using the same antibody clone in a different buffer formulation containing Borate buffered saline, BSA, glycerol and sodium azide (ab243891).

Immunohistochemistry (Formalin/PFA-fixed paraffin-embedded sections) - Anti-VISTA antibody [BLR035F] - BSA free (AB272080)
  • IHC-P

Unknown

Immunohistochemistry (Formalin/PFA-fixed paraffin-embedded sections) - Anti-VISTA antibody [BLR035F] - BSA free (AB272080)

Formalin-fixed, paraffin-embedded human lung carcinoma tissue stained for VISTA using ab243891 at 1/250 dilution in immunohistochemical analysis. A HRP-conjugated goat anti-rabbit antibody was used as the secondary. DAB staining.This data was developed using the same antibody clone in a different buffer formulation containing Borate buffered saline, BSA, glycerol and sodium azide (ab243891).

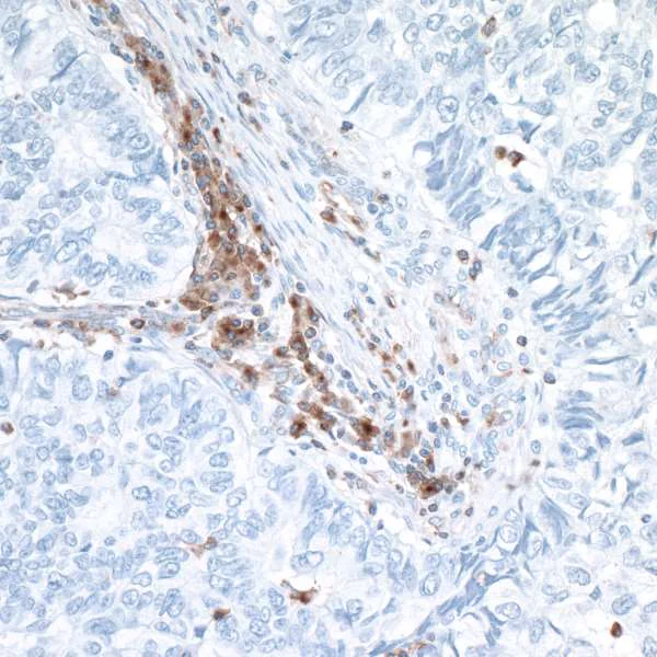
Immunohistochemistry (Formalin/PFA-fixed paraffin-embedded sections) - Anti-VISTA antibody [BLR035F] - BSA free (AB272080)
  • IHC-P

Supplier Data

Immunohistochemistry (Formalin/PFA-fixed paraffin-embedded sections) - Anti-VISTA antibody [BLR035F] - BSA free (AB272080)

Immunohistochemistry analysis of formalin-fixed, paraffin-embedded human ovarian carcinoma tissue labeling VISTA with ab243891 at a 1/250 dilution, followed by HRP-conjugated Goat Anti-Rabit IgG secondary antibody. Substrate : Opal. Counterstain : DAPI (blue).

This data was developed using the same antibody clone in a different buffer formulation containing Borate buffered saline, BSA, glycerol and sodium azide (ab243891).

Immunocytochemistry - Anti-VISTA antibody [BLR035F] - BSA free (AB272080)
  • ICC

Unknown

Immunocytochemistry - Anti-VISTA antibody [BLR035F] - BSA free (AB272080)

Formalin-fixed, paraffin-embedded NCI H226 cells labeling VISTA using ab243891 at 1/250 dilution in ICC analysis. A HRP-conjugated goat-anti rabbit IgG was used as the secondary. DAB staining.This data was developed using the same antibody clone in a different buffer formulation containing Borate buffered saline, BSA, glycerol and sodium azide (ab243891).

Immunoprecipitation - Anti-VISTA antibody [BLR035F] - BSA free (AB272080)
  • IP

Unknown

Immunoprecipitation - Anti-VISTA antibody [BLR035F] - BSA free (AB272080)

VISTA was immunoprecipitated from 1.0 mg Jurkat (human T cell leukemia cell line from peripheral blood) whole cell lysate with ab243891 at 20 μl per reaction. Western blot was performed on the immunoprecipitate using ab243891 at 1/1000 dilution.

Lane 1 : ab243891 IP in Jurkat whole cell lysate.

Lane 2 : Contol IgG in Jurkat whole cell lysate.

Detection : Chemiluminescence with an exposure time of 30 seconds.

This data was developed using the same antibody clone in a different buffer formulation containing Borate buffered saline, BSA, glycerol and sodium azide (ab243891).

All lanes:

Immunoprecipitation - Anti-VISTA antibody [BLR035F] (<a href='/en-us/products/primary-antibodies/vista-antibody-blr035f-ab243891'>ab243891</a>)

Predicted band size: 34 kDa

false

Western blot - Anti-VISTA antibody [BLR035F] - BSA free (AB272080)
  • WB

Supplier Data

Western blot - Anti-VISTA antibody [BLR035F] - BSA free (AB272080)

Detection : chemiluminescence

This data was developed using the same antibody clone in a different buffer formulation containing Borate buffered saline, BSA, glycerol and sodium azide (ab243891).

All lanes:

Western blot - Anti-VISTA antibody [BLR035F] - BSA free (ab272080) at 1/1000 dilution

Lane 1:

Jurkat (Human T cell leukemia cell line from peripheral blood) whole cell lysate at 50 µg

Lane 2:

MOLT-4 (Human lymphoblastic leukemia cell line) whole cell lysate at 50 µg

Lane 3:

MJ whole cell lysate at 50 µg

Lane 4:

RPMI 8226 whole cell lysate at 50 µg

Lane 5:

HeLa (Human epithelial cell line from cervix adenocarcinoma) whole cell lysate at 50 µg

Lane 6:

KG-1 whole cell lysate at 50 µg

Lane 7:

HEK-293T (Human epithelial cell line from embryonic kidney transformed with large T antigen) whole cell lysate at 50 µg

Lane 8:

Sup-M2 (Human) whole cell lysate at 50 µg

Secondary

All lanes:

HRP-conjugated goat anti-rabbit IgG

Predicted band size: 34 kDa

false

Exposure time: 30s

Key facts

Host species

Rabbit

Clonality

Monoclonal

Clone number

BLR035F

Isotype

IgG

Carrier free

No

Reacts with

Human

Applications

IP, IHC-P, WB, ICC, Flow Cyt

applications

Immunogen

Synthetic Peptide within Human VSIR aa 250 to C-terminus. The exact immunogen used to generate this antibody is proprietary information.

Q9H7M9

Reactivity data

{ "title": "Reactivity Data", "filters": { "stats": ["", "Species", "Dilution Info", "Notes"], "tabs": { "all-applications": {"fullname" : "All Applications", "shortname": "All Applications"}, "IHCP" : {"fullname" : "Immunohistochemistry (Formalin/PFA-fixed paraffin-embedded sections)", "shortname":"IHC-P"}, "ICC" : {"fullname" : "Immunocytochemistry", "shortname":"ICC"}, "IP" : {"fullname" : "Immunoprecipitation", "shortname":"IP"}, "FlowCyt" : {"fullname" : "Flow Cytometry", "shortname":"Flow Cyt"}, "WB" : {"fullname" : "Western blot", "shortname":"WB"} }, "product-promise": { "all": "all", "testedAndGuaranteed": "tested", "guaranteed": "expected", "predicted": "predicted", "notRecommended": "not-recommended" } }, "values": { "Human": { "IHCP-species-checked": "testedAndGuaranteed", "IHCP-species-dilution-info": "", "IHCP-species-notes": "<p></p> Perform heat-mediated antigen retrieval with citrate buffer pH 6 before commencing with IHC staining protocol.", "ICC-species-checked": "testedAndGuaranteed", "ICC-species-dilution-info": "", "ICC-species-notes": "<p></p>", "IP-species-checked": "testedAndGuaranteed", "IP-species-dilution-info": "", "IP-species-notes": "<p></p>", "FlowCyt-species-checked": "testedAndGuaranteed", "FlowCyt-species-dilution-info": "", "FlowCyt-species-notes": "<p></p>", "WB-species-checked": "testedAndGuaranteed", "WB-species-dilution-info": "", "WB-species-notes": "<p></p>" } } }

Product details

What is this antibody validated in?
Anti-VISTA antibody [BLR035F] - BSA free (ab272080) is a rabbit recombinant monoclonal antibody and is validated for use in Western Blot (WB), Flow Cytometry (Flow Cyt), Immunoprecipitation (IP), Immunohistochemistry (IHC-P) in Human samples.

Other related products
We have a range of other formats of antibody clone [BLR035F] also available for your convenience: ab243891, ab272080

REACH authorisation
Abcam has not and does not intend to apply for the REACH Authorisation of customers' uses of products that contain European Authorisation list (Annex XIV) substances.
It is the responsibility of our customers to check the necessity of application of REACH Authorisation, and any other relevant authorisations, for their intended uses.

This product is sold under License from Bethyl Laboratories, Inc.

Properties and storage information

Form
Liquid
Purification notes
Recombinant antibody was purified from cell culture supernatant.
Storage buffer
pH: 8.2 Preservative: 0.09% Sodium azide Constituents: 98% Borate buffered saline
Shipped at conditions
Blue Ice
Appropriate short-term storage duration
1-2 weeks
Appropriate short-term storage conditions
+4°C
Appropriate long-term storage conditions
+4°C
Aliquoting information
Upon delivery aliquot
Storage information
Avoid freeze / thaw cycle

Supplementary information

This supplementary information is collated from multiple sources and compiled automatically.

VISTA also known as V-domain Ig suppressor of T cell activation or Gi24 is a protein significant in immune regulation. It is a type I transmembrane glycoprotein with an apparent mass of approximately 55 kDa. VISTA is expressed on hematopoietic cells specifically within immune system components such as myeloid cells and T cells. Researchers have identified biotinylated chimeric proteins which facilitate the study of VISTA's expression and interactions in various immunological research models.
Biological function summary

VISTA functions in immune checkpoint regulation by modulating T cell activity. It acts as both a ligand and a receptor influencing immune responses. As part of an immune complex VISTA interacts with other checkpoint proteins to maintain immune homeostasis and prevent autoimmunity. Its role mirrors those of other B7 family members like PD-1 and CTLA-4 which are involved in negative immune regulation.

Pathways

VISTA integrates into the broader framework of immune signaling pathways. It contributes significantly to the immune checkpoint pathway similar to CTLA-4 and PD-1 which mediate immune cell proliferation and activation. By interacting with these proteins VISTA plays an important role in maintaining self-tolerance and regulating inflammatory responses functioning parallel to other proteins such as CD28 and B7-H5 in the immune checkpoint pathway.

VISTA's improper regulation associates with autoimmune diseases and cancer. Its expression influences the progression of conditions like rheumatoid arthritis where it modulates immune responses and inflammation. Additionally in oncology VISTA acts as an inhibitory molecule; hence targeting it can enhance anti-tumor immunity similar to therapies targeting proteins like PD-1 and PD-L1. Understanding VISTA's intricate connections helps in developing therapies for these diseases.

Product protocols

For this product, it's our understanding that no specific protocols are required. You can visit:

Target data

Immunoregulatory receptor which inhibits the T-cell response (PubMed : 24691993). May promote differentiation of embryonic stem cells, by inhibiting BMP4 signaling (By similarity). May stimulate MMP14-mediated MMP2 activation (PubMed : 20666777).
See full target information VSIR

Publications (1)

Recent publications for all applications. Explore the full list and refine your search

Acta pharmaceutica Sinica. B 15:1415-1429 PubMed40370549

2025

Effective therapeutic targeting of tumor lineage plasticity in neuroendocrine prostate cancer by BRD4 inhibitors.

Applications

Unspecified application

Species

Unspecified reactive species

Xiong Zhang,Yatian Yang,Hongye Zou,Yang Yang,Xingling Zheng,Eva Corey,Amina Zoubeidi,Nicolas Mitsiades,Ai-Ming Yu,Yuanpei Li,Hong-Wu Chen
View all publications

Product promise

We are committed to supporting your work with high-quality reagents, and we're here for you every step of the way. In the unlikely event that one of our products does not perform as expected, you're protected by our Product Promise.
For full details, please see our Terms & Conditions

Please note: All products are 'FOR RESEARCH USE ONLY. NOT FOR USE IN DIAGNOSTIC OR THERAPEUTIC PROCEDURES'.

For licensing inquiries, please contact partnerships@abcam.com