JavaScript is disabled in your browser. Please enable JavaScript to view this website.
AB238886

Anti-VISTA antibody [EPR21050] - BSA and Azide free

4

(1 Review)

|

(3 Publications)

Knockout Tested Rabbit Recombinant Monoclonal VISTA antibody. Carrier free. Suitable for IP, WB, IHC-P and reacts with Human samples. Cited in 3 publications.

View Alternative Names

C10orf54, SISP1, VISTA, PP2135, UNQ730/PRO1412, VSIR, V-type immunoglobulin domain-containing suppressor of T-cell activation, Platelet receptor Gi24, Stress-induced secreted protein-1, V-set domain-containing immunoregulatory receptor, V-set immunoregulatory receptor, Sisp-1

5 Images
Immunohistochemistry (Formalin/PFA-fixed paraffin-embedded sections) - Anti-VISTA antibody [EPR21050] - BSA and Azide free (AB238886)
  • IHC-P

Supplier Data

Immunohistochemistry (Formalin/PFA-fixed paraffin-embedded sections) - Anti-VISTA antibody [EPR21050] - BSA and Azide free (AB238886)

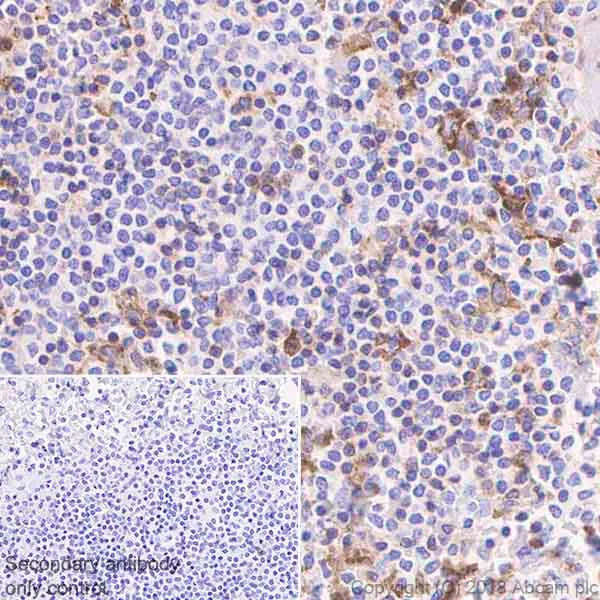
Immunohistochemical analysis of paraffin-embedded human spleen tissue labeling VISTA with ab230950 at 1/1000 dilution, followed by a ready to use Goat Anti-Rabbit IgG H&L (HRP) secondary antibody. Membranous and cytoplasmic staining in leukocytes of human spleen (PMID : 21383057, PMID : 24691993) is observed. Counterstained with hematoxylin.

Secondary antibody only control : Used PBS instead of primary antibody, secondary antibody is a ready to use Goat Anti-Rabbit IgG H&L (HRP).

Perform heat mediated antigen retrieval using ab93684 (Tris/EDTA buffer, pH 9.0).

This data was developed using the same antibody clone in a different buffer formulation containing PBS, BSA, glycerol and sodium azide (ab230950).

Immunohistochemistry (Formalin/PFA-fixed paraffin-embedded sections) - Anti-VISTA antibody [EPR21050] - BSA and Azide free (AB238886)
  • IHC-P

Supplier Data

Immunohistochemistry (Formalin/PFA-fixed paraffin-embedded sections) - Anti-VISTA antibody [EPR21050] - BSA and Azide free (AB238886)

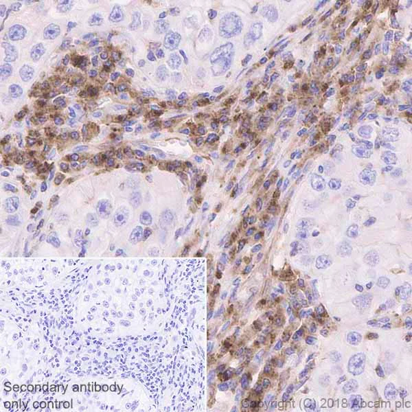
Immunohistochemical analysis of paraffin-embedded human lung cancer tissue labeling VISTA with ab230950 at 1/1000 dilution, followed by a ready to use Goat Anti-Rabbit IgG H&L (HRP) secondary antibody. Membranous and cytoplasmic staining in tumor-infiltrating leukocytes of human lung cancer (PMID : 28236118, PMID : 28507801) is observed. Counterstained with hematoxylin.

Secondary antibody only control : Used PBS instead of primary antibody, secondary antibody is a ready to use Goat Anti-Rabbit IgG H&L (HRP).

Perform heat mediated antigen retrieval using ab93684 (Tris/EDTA buffer, pH 9.0).

This data was developed using the same antibody clone in a different buffer formulation containing PBS, BSA, glycerol, and sodium azide (ab230950).

Immunohistochemistry (Formalin/PFA-fixed paraffin-embedded sections) - Anti-VISTA antibody [EPR21050] - BSA and Azide free (AB238886)
  • IHC-P

Lab

Immunohistochemistry (Formalin/PFA-fixed paraffin-embedded sections) - Anti-VISTA antibody [EPR21050] - BSA and Azide free (AB238886)

Tissue Microarrays stained for "Anti-VISTA antibody [EPR21050]" using "ab230950"in immunohistochemical analysis. This table provides a detailed overview of positive (tick mark) and negative (cross mark) staining per sample type tested. The sections were pre-treated using Heat mediated antigen retrieval using ab93684 (Tris/EDTA buffer, pH 9.0). The sections were incubated with ab230950 at +4°C overnight followed by a ready to use Goat Anti-Rabbit IgG H&L (HRP polymer).

Immunoprecipitation - Anti-VISTA antibody [EPR21050] - BSA and Azide free (AB238886)
  • IP

Supplier Data

Immunoprecipitation - Anti-VISTA antibody [EPR21050] - BSA and Azide free (AB238886)

VISTA was immunoprecipitated from 0.35 mg DU145 (Human prostate carcinoma epithelial cell) whole cell lysate with ab230950 at 1/30 dilution. Western blot was performed from the immunoprecipitate using ab230950 at 1/1000 dilution. VeriBlot for IP Detection Reagent (HRP) (ab131366), was used for detection at 1/5000 dilution.
Lane 1 : DU154 whole cell lysate 10 μg (Input).
Lane 2 : ab230950 IP in DU154 whole cell lysate.
Lane 3 : Rabbit monoclonal IgG (ab172730) instead of ab230950 in DU154 whole cell lysate.
Blocking/Dilution buffer : 5% NFDM/TBST.
Exposure time : 3 minutes.

This data was developed using the same antibody clone in a different buffer formulation containing PBS, BSA, glycerol, and sodium azide (ab230950).

All lanes:

Immunoprecipitation - Anti-VISTA antibody [EPR21050] (<a href='/en-us/products/primary-antibodies/vista-antibody-epr21050-ab230950'>ab230950</a>)

Predicted band size: 34 kDa

false

Western blot - Anti-VISTA antibody [EPR21050] - BSA and Azide free (AB238886)
  • WB

Lab

Western blot - Anti-VISTA antibody [EPR21050] - BSA and Azide free (AB238886)

Western blot : Anti-VSIR antibody [EPR21050] (ab230950) staining at 1/1000 dilution, shown in green; Mouse anti-GAPDH antibody [6C5] (ab8245) loading control staining at 1/20000 dilution, shown in magenta. In Western blot, ab230950 was shown to bind specifically to VSIR. A band was observed at 50-60 kDa in wild-type A549 cell lysates with no signal observed at this size in VSIR knockout cell line. To generate this image, wild-type and VSIR knockout A549 cell lysates were analysed. First, samples were run on an SDS-PAGE gel then transferred onto a nitrocellulose membrane. Membranes were blocked in 3 % milk in TBS-0.1 % Tween® 20 (TBS-T) before incubation with primary antibodies overnight at 4 °C. Blots were washed four times in TBS-T, incubated with secondary antibodies for 1 h at room temperature, washed again four times then imaged. Secondary antibodies used were Goat anti-Rabbit IgG H&L 800CW and Goat anti-Mouse IgG H&L 680RD at 1/20000 dilution.

All lanes:

Western blot - Anti-VISTA antibody [EPR21050] (<a href='/en-us/products/primary-antibodies/vista-antibody-epr21050-ab230950'>ab230950</a>) at 1/1000 dilution

Lane 1:

Wild-type A549 cell lysate at 20 µg

Lane 2:

VSIR knockout A549 cell lysate at 20 µg

Lane 3:

DU 145 cell lysate at 20 µg

Lane 4:

MCF7 cell lysate at 20 µg

Secondary

All lanes:

Goat anti-Rabbit IgG H&L 800CW and Goat anti-Mouse IgG H&L 680RD at 1/20000 dilution

false

Key facts

Host species

Rabbit

Clonality

Monoclonal

Clone number

EPR21050

Isotype

IgG

Carrier free

Yes

Reacts with

Human

Applications

WB, IP, IHC-P

applications

Immunogen

The exact immunogen used to generate this antibody is proprietary information.

Reactivity data

{ "title": "Reactivity Data", "filters": { "stats": ["", "Species", "Dilution Info", "Notes"], "tabs": { "all-applications": {"fullname" : "All Applications", "shortname": "All Applications"}, "IP" : {"fullname" : "Immunoprecipitation", "shortname":"IP"}, "WB" : {"fullname" : "Western blot", "shortname":"WB"}, "IHCP" : {"fullname" : "Immunohistochemistry (Formalin/PFA-fixed paraffin-embedded sections)", "shortname":"IHC-P"} }, "product-promise": { "all": "all", "testedAndGuaranteed": "tested", "guaranteed": "expected", "predicted": "predicted", "notRecommended": "not-recommended" } }, "values": { "Human": { "IP-species-checked": "testedAndGuaranteed", "IP-species-dilution-info": "", "IP-species-notes": "<p></p>", "WB-species-checked": "testedAndGuaranteed", "WB-species-dilution-info": "", "WB-species-notes": "<p></p>", "IHCP-species-checked": "testedAndGuaranteed", "IHCP-species-dilution-info": "", "IHCP-species-notes": "<p></p>" } } }

Product details

ab238886 is the carrier-free version of ab230950.

Patented technology
Our RabMAb® technology is a patented hybridoma-based technology for making rabbit monoclonal antibodies. For details on our patents, please refer to RabMAb® patents.

What are the advantages of a recombinant monoclonal antibody?
This product is a recombinant monoclonal antibody, which offers several advantages including:

  • - High batch-to-batch consistency and reproducibility
  • - Improved sensitivity and specificity
  • - Long-term security of supply
  • - Animal-free batch production

For more information, read more on recombinant antibodies.

Conjugation ready
Our carrier-free antibodies are typically supplied in a PBS-only formulation, purified and free of BSA, sodium azide and glycerol. This conjugation-ready format is designed for use with fluorochromes, metal isotopes, oligonucleotides, and enzymes, which makes them ideal for antibody labelling, functional and cell-based assays, flow-based assays (e.g. mass cytometry) and Multiplex Imaging applications.

Use our conjugation kits for antibody conjugates that are ready-to-use in as little as 20 minutes with 1 minute hands-on-time and 100% antibody recovery: available for fluorescent dyes, HRP, biotin and gold.

Compatibility
This product is compatible with the Maxpar® Antibody Labeling Kit from Fluidigm, without the need for antibody preparation. Maxpar® is a trademark of Fluidigm Canada Inc.

Properties and storage information

Form
Liquid
Purification technique
Affinity purification Protein A
Storage buffer
pH: 7.2 - 7.4 Constituents: PBS
Shipped at conditions
Blue Ice
Appropriate short-term storage conditions
+4°C
Appropriate long-term storage conditions
+4°C
Storage information
Do Not Freeze

Supplementary information

This supplementary information is collated from multiple sources and compiled automatically.

VISTA also known as V-domain Ig suppressor of T cell activation or Gi24 is a protein significant in immune regulation. It is a type I transmembrane glycoprotein with an apparent mass of approximately 55 kDa. VISTA is expressed on hematopoietic cells specifically within immune system components such as myeloid cells and T cells. Researchers have identified biotinylated chimeric proteins which facilitate the study of VISTA's expression and interactions in various immunological research models.
Biological function summary

VISTA functions in immune checkpoint regulation by modulating T cell activity. It acts as both a ligand and a receptor influencing immune responses. As part of an immune complex VISTA interacts with other checkpoint proteins to maintain immune homeostasis and prevent autoimmunity. Its role mirrors those of other B7 family members like PD-1 and CTLA-4 which are involved in negative immune regulation.

Pathways

VISTA integrates into the broader framework of immune signaling pathways. It contributes significantly to the immune checkpoint pathway similar to CTLA-4 and PD-1 which mediate immune cell proliferation and activation. By interacting with these proteins VISTA plays an important role in maintaining self-tolerance and regulating inflammatory responses functioning parallel to other proteins such as CD28 and B7-H5 in the immune checkpoint pathway.

VISTA's improper regulation associates with autoimmune diseases and cancer. Its expression influences the progression of conditions like rheumatoid arthritis where it modulates immune responses and inflammation. Additionally in oncology VISTA acts as an inhibitory molecule; hence targeting it can enhance anti-tumor immunity similar to therapies targeting proteins like PD-1 and PD-L1. Understanding VISTA's intricate connections helps in developing therapies for these diseases.

Product protocols

For this product, it's our understanding that no specific protocols are required. You can visit:

Target data

Immunoregulatory receptor which inhibits the T-cell response (PubMed : 24691993). May promote differentiation of embryonic stem cells, by inhibiting BMP4 signaling (By similarity). May stimulate MMP14-mediated MMP2 activation (PubMed : 20666777).
See full target information VSIR

Publications (3)

Recent publications for all applications. Explore the full list and refine your search

Cell reports methods 3:100595 PubMed37741277

2023

Dual-modality imaging of immunofluorescence and imaging mass cytometry for whole-slide imaging and accurate segmentation.

Applications

Unspecified application

Species

Unspecified reactive species

Eun Na Kim,Phyllis Zixuan Chen,Dario Bressan,Monika Tripathi,Ahmad Miremadi,Massimiliano di Pietro,Lisa M Coussens,Gregory J Hannon,Rebecca C Fitzgerald,Lizhe Zhuang,Young Hwan Chang

Cell reports. Medicine 4:101151 PubMed37567173

2023

CD39 inhibition and VISTA blockade may overcome radiotherapy resistance by targeting exhausted CD8+ T cells and immunosuppressive myeloid cells.

Applications

Unspecified application

Species

Unspecified reactive species

Yuhan Zhang,Junyi Hu,Kai Ji,Shengpeng Jiang,Yang Dong,Lin Sun,Jun Wang,Guangyuan Hu,Dawei Chen,Ke Chen,Zhen Tao

iScience 25:105358 PubMed36339256

2022

Cellular plasticity and immune microenvironment of malignant pleural effusion are associated with EGFR-TKI resistance in non-small-cell lung carcinoma.

Applications

Unspecified application

Species

Unspecified reactive species

Hyoung-Oh Jeong,Hayoon Lee,Hyemin Kim,Jinho Jang,Seunghoon Kim,Taejoo Hwang,David Whee-Young Choi,Hong Sook Kim,Naeun Lee,Yoo Mi Lee,Sehhoon Park,Hyun Ae Jung,Jong-Mu Sun,Jin Seok Ahn,Myung-Ju Ahn,Keunchil Park,Semin Lee,Se-Hoon Lee
View all publications

Product promise

We are committed to supporting your work with high-quality reagents, and we're here for you every step of the way. In the unlikely event that one of our products does not perform as expected, you're protected by our Product Promise.
For full details, please see our Terms & Conditions

Please note: All products are 'FOR RESEARCH USE ONLY. NOT FOR USE IN DIAGNOSTIC OR THERAPEUTIC PROCEDURES'.

For licensing inquiries, please contact partnerships@abcam.com