JavaScript is disabled in your browser. Please enable JavaScript to view this website.
AB300042

Anti-VISTA antibody [EPR25068-124]

  • BOND RX™ Validated
  • 20ul selling size
  • KO Validated
  • RabMAb
  • Recombinant
  • What is this?

Be the first to review this product! Submit a review

|

(2 Publications)

Rabbit Recombinant Monoclonal VISTA antibody. Suitable for IHC-P, WB, Flow Cyt, IP, ICC/IF and reacts with Human, Mouse, Rat samples. Cited in 2 publications.

View Alternative Names

C10orf54, SISP1, VISTA, PP2135, UNQ730/PRO1412, VSIR, V-type immunoglobulin domain-containing suppressor of T-cell activation, Platelet receptor Gi24, Stress-induced secreted protein-1, V-set domain-containing immunoregulatory receptor, V-set immunoregulatory receptor, Sisp-1

29 Images
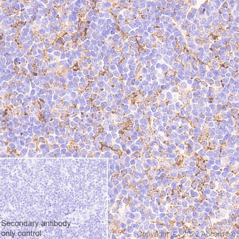
Immunohistochemistry (Formalin/PFA-fixed paraffin-embedded sections) - Anti-VISTA antibody [EPR25068-124] (AB300042)
  • IHC-P

Supplier Data

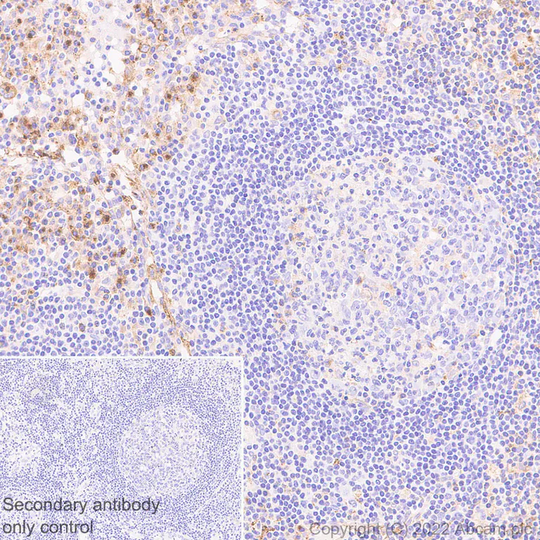
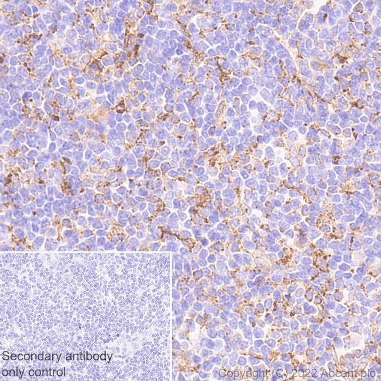
Immunohistochemistry (Formalin/PFA-fixed paraffin-embedded sections) - Anti-VISTA antibody [EPR25068-124] (AB300042)

Immunohistochemical analysis of paraffin-embedded Human non-Hodgkin's B-Cell lymphoma tissue labeling VISTA with ab300042 at 1/100 dilution (4.92 µg/ml) followed by a ready to use LeicaDS9800 (Bond™ Polymer Refine Detection) was used. Positive staining on human non-Hodgkin's B-Cell lymphoma. The section was incubated with ab300042 for 30 mins at room temperature. The immunostaining was performed on a Leica Biosystems BOND® RX instrument. Counterstained with Hematoxylin. Secondary antibody only control : Secondary antibody is a ready to use LeicaDS9800 (Bond™ Polymer Refine Detection). Heat mediated antigen retrieval with Tris-EDTA buffer (pH 9.0, epitope retrieval solution 2) for 20 mins.

Immunohistochemistry (Formalin/PFA-fixed paraffin-embedded sections) - Anti-VISTA antibody [EPR25068-124] (AB300042)
  • IHC-P

Supplier Data

Immunohistochemistry (Formalin/PFA-fixed paraffin-embedded sections) - Anti-VISTA antibody [EPR25068-124] (AB300042)

Immunohistochemical analysis of paraffin-embedded Human tonsil tissue labeling VISTA with ab300042 at 1/100 dilution (4.92 µg/ml) followed by a ready to use LeicaDS9800 (Bond™ Polymer Refine Detection). Positive staining on human tonsil. The section was incubated with ab300042 for 30 mins at room temperature. The immunostaining was performed on a Leica Biosystems BOND® RX instrument. Counterstained with Hematoxylin. Secondary antibody only control : Secondary antibody is a ready to use LeicaDS9800 (Bond™ Polymer Refine Detection). Heat mediated antigen retrieval with Tris-EDTA buffer (pH 9.0, epitope retrieval solution2) for 20 mins.

Immunohistochemistry (Formalin/PFA-fixed paraffin-embedded sections) - Anti-VISTA antibody [EPR25068-124] (AB300042)
  • IHC-P

Supplier Data

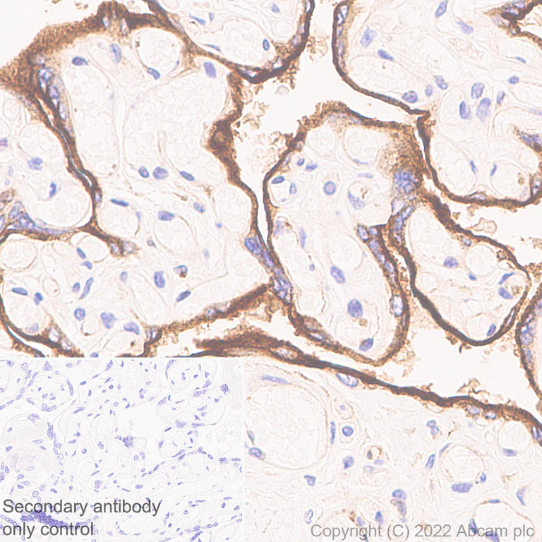
Immunohistochemistry (Formalin/PFA-fixed paraffin-embedded sections) - Anti-VISTA antibody [EPR25068-124] (AB300042)

Immunohistochemical analysis of paraffin-embedded Human placenta tissue labeling VISTA with ab300042 at 1/100 dilution (4.92 µg/ml) followed by a ready to use LeicaDS9800 (Bond™ Polymer Refine Detection). Positive staining on human placenta. The section was incubated with ab300042 for 30 mins at room temperature. The immunostaining was performed on a Leica Biosystems BOND® RX instrument. Counterstained with Hematoxylin. Secondary antibody only control : Secondary antibody is a ready to use LeicaDS9800 (Bond™ Polymer Refine Detection). Heat mediated antigen retrieval with Tris-EDTA buffer (pH 9.0, epitope retrieval solution 2) for 20 mins.

Immunohistochemistry (Formalin/PFA-fixed paraffin-embedded sections) - Anti-VISTA antibody [EPR25068-124] (AB300042)
  • IHC-P

Supplier Data

Immunohistochemistry (Formalin/PFA-fixed paraffin-embedded sections) - Anti-VISTA antibody [EPR25068-124] (AB300042)

Immunohistochemical analysis of paraffin-embedded Human spleen tissue labeling VISTA with ab300042 at 1/100 dilution (4.92 µg/ml) followed by a ready to use LeicaDS9800 (Bond™ Polymer Refine Detection). Positive staining on human spleen. The section was incubated with ab300042 for 30 mins at room temperature. The immunostaining was performed on a Leica Biosystems BOND® RX instrument. Counterstained with Hematoxylin. Secondary antibody only control : Secondary antibody is a ready to use LeicaDS9800 (Bond™ Polymer Refine Detection). Heat mediated antigen retrieval with Tris-EDTA buffer (pH 9.0, epitope retrieval solution 2) for 20 mins.

Immunohistochemistry (Formalin/PFA-fixed paraffin-embedded sections) - Anti-VISTA antibody [EPR25068-124] (AB300042)
  • IHC-P

Supplier Data

Immunohistochemistry (Formalin/PFA-fixed paraffin-embedded sections) - Anti-VISTA antibody [EPR25068-124] (AB300042)

Immunohistochemical analysis of paraffin-embedded Human cerebrum tissue labeling VISTA with ab300042 at 1/100 dilution (4.92 µg/ml) followed by a ready to use LeicaDS9800 (Bond™ Polymer Refine Detection). Positive staining on endothelial cells of human cerebrum. The section was incubated with ab300042 for 30 mins at room temperature. The immunostaining was performed on a Leica Biosystems BOND® RX instrument. Counterstained with Hematoxylin. Secondary antibody only control : Secondary antibody is a ready to use LeicaDS9800 (Bond™ Polymer Refine Detection). Heat mediated antigen retrieval with Tris-EDTA buffer (pH 9.0, epitope retrieval solution 2) for 20 mins.

Immunohistochemistry (Formalin/PFA-fixed paraffin-embedded sections) - Anti-VISTA antibody [EPR25068-124] (AB300042)
  • IHC-P

Supplier Data

Immunohistochemistry (Formalin/PFA-fixed paraffin-embedded sections) - Anti-VISTA antibody [EPR25068-124] (AB300042)

Immunohistochemical analysis of paraffin-embedded Human cerebrum tissue labeling VISTA with ab300042 at 1/100 dilution (4.92 μg/ml) followed by a ready to use LeicaDS9800 (BOND™ Polymer Refine Detection). Positive staining on endothelial cells of human cerebrum. The section was incubated with ab300042 for 30 mins at room temperature. The immunostaining was performed on a Leica Biosystems BOND® RX instrument. Counterstained with Hematoxylin.

Secondary antibody only control : Secondary antibody is a ready to use LeicaDS9800 (BOND™ Polymer Refine Detection).

Heat mediated antigen retrieval with Tris-EDTA buffer (pH 9.0, epitope retrieval solution 2) for 20 mins.

Immunocytochemistry/ Immunofluorescence - Anti-VISTA antibody [EPR25068-124] (AB300042)
  • ICC/IF

Supplier Data

Immunocytochemistry/ Immunofluorescence - Anti-VISTA antibody [EPR25068-124] (AB300042)

Immunofluorescent analysis of 4% Paraformaldehyde-fixed, 0.1% TritonX-100 permeabilized Human PBMC cells lebeling VISTA with ab300042 at 1/50 (9.84 μg/ml) dilution, followed by ab150081 Goat Anti-Rabbit IgG H&L (Alexa Fluor® 488) preadsorbed antibody at 1/1000 (2 μ/ml) dilution (Green). Confocal image showing cytoplasmic and membranous staining in subsets of human PBMCs. ab195889 Anti-alpha Tubulin mouse monoclonal antibody - Microtubule Marker (Alexa Fluor® 594) was used to counterstain tubulin at 1/200 (2.5 μg/ml) dilution (Red). The Nuclear counterstain was DAPI (Blue).

Secondary antibody only control : Secondary antibody is ab150081 Goat Anti-Rabbit IgG H&L (Alexa Fluor® 488) preadsorbed at 1/1000 (2 μg/ml) dilution.

Immunohistochemistry (Formalin/PFA-fixed paraffin-embedded sections) - Anti-VISTA antibody [EPR25068-124] (AB300042)
  • IHC-P

Supplier Data

Immunohistochemistry (Formalin/PFA-fixed paraffin-embedded sections) - Anti-VISTA antibody [EPR25068-124] (AB300042)

Immunohistochemical analysis of paraffin-embedded Human non-Hodgkin's B-Cell lymphoma tissue labeling VISTA with ab300042 at 1/100 dilution (4.92 μg/ml) followed by a ready to use LeicaDS9800 (BOND™ Polymer Refine Detection) was used. Positive staining on human non-Hodgkin's B-Cell lymphoma. The section was incubated with ab300042 for 30 mins at room temperature. The immunostaining was performed on a Leica Biosystems BOND® RX instrument. Counterstained with Hematoxylin.

Secondary antibody only control : Secondary antibody is a ready to use LeicaDS9800 (BOND™ Polymer Refine Detection).

Heat mediated antigen retrieval with Tris-EDTA buffer (pH 9.0, epitope retrieval solution 2) for 20 mins.

Flow Cytometry - Anti-VISTA antibody [EPR25068-124] (AB300042)
  • Flow Cyt

Supplier Data

Flow Cytometry - Anti-VISTA antibody [EPR25068-124] (AB300042)

Flow cytometric analysis of Human peripheral blood mononuclear cells (PBMC) labeling VISTA with ab300042 at 1/500 dilution (0.1 ug)/ Right compared with a Rabbit monoclonal IgG (ab172730) / Left isotype control. Goat Anti-Rabbit IgG (Alexa Fluor® 488, ab150081) at 1/2000 dilution was used as the secondary antibody. Cells were stained with rabbit IgG or ab300042. Then stained with anti-CD14 conjugated to Alexa Fluor® 647. Gated on viable cells.

Immunohistochemistry (Formalin/PFA-fixed paraffin-embedded sections) - Anti-VISTA antibody [EPR25068-124] (AB300042)
  • IHC-P

Supplier Data

Immunohistochemistry (Formalin/PFA-fixed paraffin-embedded sections) - Anti-VISTA antibody [EPR25068-124] (AB300042)

Immunohistochemical analysis of paraffin-embedded Human tonsil tissue labeling VISTA with ab300042 at 1/100 dilution (4.92 μg/ml) followed by a ready to use LeicaDS9800 (BOND™ Polymer Refine Detection). Positive staining on human tonsil. The section was incubated with ab300042 for 30 mins at room temperature. The immunostaining was performed on a Leica Biosystems BOND® RX instrument. Counterstained with Hematoxylin.

Secondary antibody only control : Secondary antibody is a ready to use LeicaDS9800 (BOND™ Polymer Refine Detection).

Heat mediated antigen retrieval with Tris-EDTA buffer (pH 9.0, epitope retrieval solution2) for 20 mins.

Flow Cytometry - Anti-VISTA antibody [EPR25068-124] (AB300042)
  • Flow Cyt

Supplier Data

Flow Cytometry - Anti-VISTA antibody [EPR25068-124] (AB300042)

Flow cytometric analysis of Human peripheral blood mononuclear cells (PBMC) labeling VISTA with ab300042 at 1/500 dilution (0.1 ug)/ Right compared with a Rabbit monoclonal IgG (ab172730) / Left isotype control. Goat Anti-Rabbit IgG (Alexa Fluor® 488, ab150081) at 1/2000 dilution was used as the secondary antibody. Cells were stained with rabbit IgG or ab300042. Then stained with anti-CD14 conjugated to Alexa Fluor® 647. Gated on viable cells.

Immunohistochemistry (Formalin/PFA-fixed paraffin-embedded sections) - Anti-VISTA antibody [EPR25068-124] (AB300042)
  • IHC-P

Supplier Data

Immunohistochemistry (Formalin/PFA-fixed paraffin-embedded sections) - Anti-VISTA antibody [EPR25068-124] (AB300042)

Immunohistochemical analysis of paraffin-embedded Human spleen tissue labeling VISTA with ab300042 at 1/100 dilution (4.92 μg/ml) followed by a ready to use LeicaDS9800 (BOND™ Polymer Refine Detection). Positive staining on human spleen. The section was incubated with ab300042 for 30 mins at room temperature. The immunostaining was performed on a Leica Biosystems BOND® RX instrument. Counterstained with Hematoxylin.

Secondary antibody only control : Secondary antibody is a ready to use LeicaDS9800 (BOND™ Polymer Refine Detection).

Heat mediated antigen retrieval with Tris-EDTA buffer (pH 9.0, epitope retrieval solution 2) for 20 mins.

Immunohistochemistry (Formalin/PFA-fixed paraffin-embedded sections) - Anti-VISTA antibody [EPR25068-124] (AB300042)
  • IHC-P

Supplier Data

Immunohistochemistry (Formalin/PFA-fixed paraffin-embedded sections) - Anti-VISTA antibody [EPR25068-124] (AB300042)

Immunohistochemical analysis of paraffin-embedded Human placenta tissue labeling VISTA with ab300042 at 1/100 dilution (4.92 μg/ml) followed by a ready to use LeicaDS9800 (BOND™ Polymer Refine Detection). Positive staining on human placenta. The section was incubated with ab300042 for 30 mins at room temperature.The immunostaining was performed on a Leica Biosystems BOND® RX instrument. Counterstained with Hematoxylin.

Secondary antibody only control : Secondary antibody is a ready to use LeicaDS9800 (BOND™ Polymer Refine Detection).

Heat mediated antigen retrieval with Tris-EDTA buffer (pH 9.0, epitope retrieval solution 2) for 20 mins.

Immunocytochemistry - Anti-VISTA antibody [EPR25068-124] (AB300042)
  • ICC

Supplier Data

Immunocytochemistry - Anti-VISTA antibody [EPR25068-124] (AB300042)

Immunofluorescent analysis of 4% Paraformaldehyde-fixed, 0.1% TritonX-100 permeabilized Human PBMC cells lebeling VISTA with ab300042 at 1/50 (9.84 µg/ml) dilution, followed by ab150081 Goat Anti-Rabbit IgG H&L (Alexa Fluor® 488) preadsorbed antibody at 1/1000 (2 µ/ml) dilution (Green). Confocal image showing cytoplasmic and membranous staining in subsets of human PBMCs. ab195889 Anti-alpha Tubulin mouse monoclonal antibody - Microtubule Marker (Alexa Fluor® 594) was used to counterstain tubulin at 1/200 (2.5 µg/ml) dilution (Red). The Nuclear counterstain was DAPI (Blue). Secondary antibody only control : Secondary antibody is ab150081 Goat Anti-Rabbit IgG H&L (Alexa Fluor® 488) preadsorbed at 1/1000 (2 µg/ml) dilution.

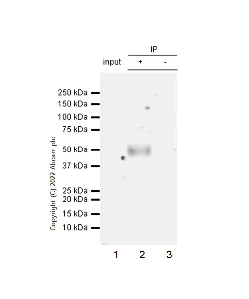
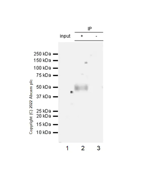
Immunoprecipitation - Anti-VISTA antibody [EPR25068-124] (AB300042)
  • IP

Supplier Data

Immunoprecipitation - Anti-VISTA antibody [EPR25068-124] (AB300042)

VISTA was immunoprecipitated from 0.35 mg DU-145 (Human prostate carcinoma epithelial) whole cell lysate with ab300042 at 1/30 dilution (2 μg in 0.35mg lysates). Western blot was performed on the immunoprecipitate using ab300042 at 1/1000 dilution. VeriBlot for IP secondary antibody(HRP) (ab131366) was used at 1/5000 dilution.

Lane 1 : DU-145 (Human prostate carcinoma epithelial) whole cell lysate 10 μg

Lane 2 : ab300042 in DU-145 whole cell lysate

Lane 3 : Rabbit monoclonal IgG (ab172730) instead of ab300042 in DU-145 whole cell lysate

Blocking and dilution buffer and concentration : 5% NFDM/TBST.

Exposure time : 32.368 seconds

All lanes:

Immunoprecipitation - Anti-VISTA antibody [EPR25068-124] (ab300042)

Predicted band size: 34 kDa

false

Immunoprecipitation - Anti-VISTA antibody [EPR25068-124] (AB300042)
  • IP

Supplier Data

Immunoprecipitation - Anti-VISTA antibody [EPR25068-124] (AB300042)

VISTA was immunoprecipitated from 0.35 mg DU-145 (Human prostate carcinoma epithelial) whole cell lysate with ab300042 at 1/30 dilution (2 µg in 0.35mg lysates). Western blot was performed on the immunoprecipitate using ab300042 at 1/1000 dilution. VeriBlot for IP secondary antibody(HRP) (ab131366) was used at 1/5000 dilution. Lane 1 : DU-145 (Human prostate carcinoma epithelial) whole cell lysate 10 µg. Lane 2 : ab300042 in DU-145 whole cell lysate. Lane 3 : Rabbit monoclonal IgG (ab172730) instead of ab300042 in DU-145 whole cell lysate. Blocking and dilution buffer and concentration : 5% NFDM/TBST. Exposure time : 32.368 seconds

All lanes:

Immunoprecipitation - Anti-VISTA antibody [EPR25068-124] (ab300042) at 1/30 dilution

Lane 1:

DU-145 (Human prostate carcinoma epithelial) whole cell lysate at 10 µg

Lane 2:

ab300042 in DU-145 whole cell lysate

Lane 3:

Rabbit monoclonal IgG (<a href='/en-us/products/primary-antibodies/rabbit-igg-monoclonal-epr25a-isotype-control-ab172730'>ab172730</a>) instead of ab300042 in DU-145 whole cell lysate

false

Immunoprecipitation - Anti-VISTA antibody [EPR25068-124] (AB300042)
  • IP

Supplier Data

Immunoprecipitation - Anti-VISTA antibody [EPR25068-124] (AB300042)

VISTA was immunoprecipitated from 0.35 mg bEnd.3 (mouse brain endothelioma) whole cell lysate with ab300042 at 1/30 dilution (2 μg in 0.35mg lysates). Western blot was performed on the immunoprecipitate using ab300042 at 1/1000 dilution. VeriBlot for IP secondary antibody(HRP) (ab131366) was used at 1/5000 dilution.

Lane 1 : bEnd.3 (mouse brain endothelioma) whole cell lysate 10 μg

Lane 2 : ab300042 in bEnd.3 whole cell lysate

Lane 3 : Rabbit monoclonal IgG (ab172730) instead of ab300042 in bEnd.3 whole cell lysate

Blocking and dilution buffer and concentration : 5% NFDM/TBST.

Exposure time : 32 seconds

All lanes:

Immunoprecipitation - Anti-VISTA antibody [EPR25068-124] (ab300042)

Predicted band size: 34 kDa

false

Immunoprecipitation - Anti-VISTA antibody [EPR25068-124] (AB300042)
  • IP

Supplier Data

Immunoprecipitation - Anti-VISTA antibody [EPR25068-124] (AB300042)

VISTA was immunoprecipitated from 0.35 mg bEnd.3 (mouse brain endothelioma) whole cell lysate with ab300042 at 1/30 dilution (2 µg in 0.35mg lysates). Western blot was performed on the immunoprecipitate using ab300042 at 1/1000 dilution. VeriBlot for IP secondary antibody(HRP) (ab131366) was used at 1/5000 dilution. Lane 1 : bEnd.3 (mouse brain endothelioma) whole cell lysate 10 µg. Lane 2 : ab300042 in bEnd.3 whole cell lysate. Lane 3 : Rabbit monoclonal IgG (ab172730) instead of ab300042 in bEnd.3 whole cell lysate. Blocking and dilution buffer and concentration : 5% NFDM/TBST. Exposure time : 32 seconds

All lanes:

Immunoprecipitation - Anti-VISTA antibody [EPR25068-124] (ab300042) at 1/30 dilution

Lane 1:

bEnd.3 (Mouse brain endothelioma) at 10 µg

Lane 2:

ab300042 in bEnd.3 whole cell lysate

Lane 3:

Rabbit monoclonal IgG (<a href='/en-us/products/primary-antibodies/rabbit-igg-monoclonal-epr25a-isotype-control-ab172730'>ab172730</a>) instead of ab300042 in bEnd.3 whole cell lysate

false

Western blot - Anti-VISTA antibody [EPR25068-124] (AB300042)
  • WB

Unknown

Western blot - Anti-VISTA antibody [EPR25068-124] (AB300042)

Blocking / Diluting buffer and concentration :

5% NFDM/TBST

All lanes:

Western blot - Anti-VISTA antibody [EPR25068-124] (ab300042) at 1/1000 dilution

Lane 1:

Jurkat (Human T cell leukemia T lymphocyte) whole cell lysate at 20 µg

Lane 2:

MCF7 (Human breast adenocarcinoma epithelial cell) whole cell lysate at 20 µg

Lane 3:

HEK-293T (human embryonic kidney) whole cell lysate at 20 µg

Secondary

All lanes:

Western blot - Goat Anti-Rabbit IgG H&L (HRP) (<a href='/en-us/products/secondary-antibodies/goat-rabbit-igg-h-l-hrp-ab97051'>ab97051</a>) at 1/20000 dilution

Predicted band size: 34 kDa

Observed band size: 50 kDa

false

Exposure time: 37s

Western blot - Anti-VISTA antibody [EPR25068-124] (AB300042)
  • WB

Supplier Data

Western blot - Anti-VISTA antibody [EPR25068-124] (AB300042)

Blocking / Diluting buffer and concentration : 5% NFDM/TBST

All lanes:

Western blot - Anti-VISTA antibody [EPR25068-124] (ab300042) at 1/1000 dilution

All lanes:

Human heart tissue lysate at 20 µg

Secondary

All lanes:

Goat Anti-Rabbit IgG (HRP) with minimal cross-reactivity with human IgG at 1/1000 dilution

Observed band size: 50 kDa

false

Exposure time: 59s

Western blot - Anti-VISTA antibody [EPR25068-124] (AB300042)
  • WB

Supplier Data

Western blot - Anti-VISTA antibody [EPR25068-124] (AB300042)

Blocking / Diluting buffer and concentration : 5% NFDM/TBST

All lanes:

Western blot - Anti-VISTA antibody [EPR25068-124] (ab300042) at 1/1000 dilution

Lane 1:

Jurkat (Human T cell leukemia T lymphocyte) whole cell lysate at 20 µg

Lane 2:

MCF7 (Human breast adenocarcinoma epithelial cell) whole cell lysate at 20 µg

Lane 3:

HEK-293T (Human embryonic kidney) whole cell lysate at 20 µg

Secondary

All lanes:

Western blot - Goat Anti-Rabbit IgG H&L (HRP) (<a href='/en-us/products/secondary-antibodies/goat-rabbit-igg-h-l-hrp-ab97051'>ab97051</a>) at 1/20000 dilution

Observed band size: 50 kDa

false

Exposure time: 37s

Western blot - Anti-VISTA antibody [EPR25068-124] (AB300042)
  • WB

Unknown

Western blot - Anti-VISTA antibody [EPR25068-124] (AB300042)

Blocking / Diluting buffer and concentration :

5% NFDM/TBST

All lanes:

Western blot - Anti-VISTA antibody [EPR25068-124] (ab300042) at 1/1000 dilution

Lane 1:

DU-145 (Human prostate carcinoma epithelial) whole cell lysate treated with Protein Deglycosylation MIX II at 15 µg

Lane 2:

Untreated DU-145 whole cell lysate at 15 µg

Secondary

All lanes:

Western blot - Goat Anti-Rabbit IgG H&L (HRP) (<a href='/en-us/products/secondary-antibodies/goat-rabbit-igg-h-l-hrp-ab97051'>ab97051</a>) at 1/50000 dilution

Predicted band size: 34 kDa

Observed band size: 34 kDa,50 kDa

false

Exposure time: 48s

Western blot - Anti-VISTA antibody [EPR25068-124] (AB300042)
  • WB

Supplier Data

Western blot - Anti-VISTA antibody [EPR25068-124] (AB300042)

Blocking / Diluting buffer and concentration : 5% NFDM/TBST

All lanes:

Western blot - Anti-VISTA antibody [EPR25068-124] (ab300042) at 1/1000 dilution

Lane 1:

DU-145 (Human prostate carcinoma epithelial) whole cell lysate treated with Protein Deglycosylation MIX II at 15 µg

Lane 2:

Untreated DU-145 whole cell lysate at 15 µg

Secondary

All lanes:

Western blot - Goat Anti-Rabbit IgG H&L (HRP) (<a href='/en-us/products/secondary-antibodies/goat-rabbit-igg-h-l-hrp-ab97051'>ab97051</a>) at 1/50000 dilution

Observed band size: 34 kDa,50 kDa

false

Exposure time: 48s

Western blot - Anti-VISTA antibody [EPR25068-124] (AB300042)
  • WB

Unknown

Western blot - Anti-VISTA antibody [EPR25068-124] (AB300042)

Blocking / Diluting buffer and concentration :

5% NFDM/TBST

All lanes:

Western blot - Anti-VISTA antibody [EPR25068-124] (ab300042) at 1/1000 dilution

All lanes:

Human heart tissue lysate at 20 µg

Secondary

All lanes:

Goat Anti-Rabbit IgG (HRP) with minimal cross-reactivity with human IgG at 1/1000 dilution

Predicted band size: 34 kDa

Observed band size: 50 kDa

false

Exposure time: 59s

Western blot - Anti-VISTA antibody [EPR25068-124] (AB300042)
  • WB

Unknown

Western blot - Anti-VISTA antibody [EPR25068-124] (AB300042)

Blocking / Diluting buffer and concentration :

5% NFDM/TBST

All lanes:

Western blot - Anti-VISTA antibody [EPR25068-124] (ab300042) at 1/1000 dilution

All lanes:

Human spleen tissue lysate at 20 µg

Secondary

All lanes:

Goat Anti-Rabbit IgG (HRP) with minimal cross-reactivity with human IgG at 1/1000 dilution

Predicted band size: 34 kDa

Observed band size: 37-50 kDa

false

Exposure time: 10s

Western blot - Anti-VISTA antibody [EPR25068-124] (AB300042)
  • WB

Lab

Western blot - Anti-VISTA antibody [EPR25068-124] (AB300042)

Western blot : Anti-VSIR antibody [EPR25068-124] (ab300042) staining at 1/1000 dilution, shown in green; Mouse anti-GAPDH antibody [6C5] (ab8245) loading control staining at 1/20000 dilution, shown in magenta. In Western blot, ab300042 was shown to bind specifically to VSIR. A band was observed at 50-60 kDa in wild-type A549 cell lysates with no signal observed at this size in VSIR knockout cell line. To generate this image, wild-type and VSIR knockout A549 cell lysates were analysed. First, samples were run on an SDS-PAGE gel then transferred onto a nitrocellulose membrane. Membranes were blocked in 3 % milk in TBS-0.1 % Tween® 20 (TBS-T) before incubation with primary antibodies overnight at 4 °C. Blots were washed four times in TBS-T, incubated with secondary antibodies for 1 h at room temperature, washed again four times then imaged. Secondary antibodies used were Goat anti-Rabbit IgG H&L 800CW and Goat anti-Mouse IgG H&L 680RD at 1/20000 dilution.

All lanes:

Western blot - Anti-VISTA antibody [EPR25068-124] (ab300042) at 1/1000 dilution

Lane 1:

Wild-type A549 cell lysate at 20 µg

Lane 2:

VSIR knockout A549 cell lysate at 20 µg

Lane 3:

DU 145 cell lysate at 20 µg

Lane 4:

MCF7 cell lysate at 20 µg

Secondary

All lanes:

Goat anti-Rabbit IgG H&L 800CW and Goat anti-Mouse IgG H&L 680RD at 1/20000 dilution

false

Western blot - Anti-VISTA antibody [EPR25068-124] (AB300042)
  • WB

Supplier Data

Western blot - Anti-VISTA antibody [EPR25068-124] (AB300042)

Blocking / Diluting buffer and concentration : 5% NFDM/TBST

All lanes:

Western blot - Anti-VISTA antibody [EPR25068-124] (ab300042) at 1/1000 dilution

Lane 1:

bEnd.3 (mouse brain endothelioma) whole cell lysate treated with Protein Deglycosylation MIX II at 15 µg

Lane 2:

Untreated bEnd.3 whole cell lysate at 15 µg

Secondary

All lanes:

Western blot - Goat Anti-Rabbit IgG H&L (HRP) (<a href='/en-us/products/secondary-antibodies/goat-rabbit-igg-h-l-hrp-ab97051'>ab97051</a>) at 1/50000 dilution

Predicted band size: 34 kDa

Observed band size: 34 kDa,50 kDa

false

Exposure time: 125s

Western blot - Anti-VISTA antibody [EPR25068-124] (AB300042)
  • WB

Unknown

Western blot - Anti-VISTA antibody [EPR25068-124] (AB300042)

Blocking / Diluting buffer and concentration :

5% NFDM/TBST

All lanes:

Western blot - Anti-VISTA antibody [EPR25068-124] (ab300042) at 1/1000 dilution

Lane 1:

bEnd.3 (mouse brain endothelioma) whole cell lysate at 20 µg

Lane 2:

EL4 (mouse lymphoma T lymphocyte) whole cell lysate at 20 µg

Lane 3:

NIH/3T3 (mouse embryonic fibroblast) whole cell lysate at 50 µg

Secondary

All lanes:

Western blot - Goat Anti-Rabbit IgG H&L (HRP) (<a href='/en-us/products/secondary-antibodies/goat-rabbit-igg-h-l-hrp-ab97051'>ab97051</a>) at 1/20000 dilution

Predicted band size: 34 kDa

Observed band size: 50 kDa,70 kDa

false

Western blot - Anti-VISTA antibody [EPR25068-124] (AB300042)
  • WB

Supplier Data

Western blot - Anti-VISTA antibody [EPR25068-124] (AB300042)

Blocking / Diluting buffer and concentration : 5% NFDM/TBST

All lanes:

Western blot - Anti-VISTA antibody [EPR25068-124] (ab300042) at 1/1000 dilution

Lane 1:

bEnd.3 (Mouse brain endothelioma) whole cell lysate at 20 µg

Lane 2:

EL4 (Mouse lymphoma T lymphocyte) whole cell lysate at 20 µg

Lane 3:

NIH/3T3 (Mouse embryonic fibroblast) whole cell lysate at 50 µg

Secondary

All lanes:

Western blot - Goat Anti-Rabbit IgG H&L (HRP) (<a href='/en-us/products/secondary-antibodies/goat-rabbit-igg-h-l-hrp-ab97051'>ab97051</a>) at 1/20000 dilution

Observed band size: 50 kDa,70 kDa

false

  • Carrier free

    Anti-VISTA antibody [EPR25068-124] (BSA and Azide free)

Key facts

Host species

Rabbit

Clonality

Monoclonal

Clone number

EPR25068-124

Isotype

IgG

Carrier free

No

Reacts with

Human, Mouse, Rat

Applications

IHC-P, ICC/IF, WB, Flow Cyt, IP

applications

Immunogen

The exact immunogen used to generate this antibody is proprietary information.

Reactivity data

{ "title": "Reactivity Data", "filters": { "stats": ["", "Species", "Dilution Info", "Notes"], "tabs": { "all-applications": {"fullname" : "All Applications", "shortname": "All Applications"}, "IHCP" : {"fullname" : "Immunohistochemistry (Formalin/PFA-fixed paraffin-embedded sections)", "shortname":"IHC-P"}, "WB" : {"fullname" : "Western blot", "shortname":"WB"}, "FlowCyt" : {"fullname" : "Flow Cytometry", "shortname":"Flow Cyt"}, "IP" : {"fullname" : "Immunoprecipitation", "shortname":"IP"}, "ICCIF" : {"fullname" : "Immunocytochemistry/ Immunofluorescence", "shortname":"ICC/IF"} }, "product-promise": { "all": "all", "testedAndGuaranteed": "tested", "guaranteed": "expected", "predicted": "predicted", "notRecommended": "not-recommended" } }, "values": { "Human": { "IHCP-species-checked": "guaranteed", "IHCP-species-dilution-info": "1/100", "IHCP-species-notes": "<p></p> Perform heat-mediated antigen retrieval with Tris/EDTA buffer pH 9.0 before commencing with IHC staining protocol.", "WB-species-checked": "testedAndGuaranteed", "WB-species-dilution-info": "1/1000", "WB-species-notes": "<p></p>", "FlowCyt-species-checked": "testedAndGuaranteed", "FlowCyt-species-dilution-info": "1/500", "FlowCyt-species-notes": "<p></p>", "IP-species-checked": "testedAndGuaranteed", "IP-species-dilution-info": "1/30", "IP-species-notes": "<p></p>", "ICCIF-species-checked": "testedAndGuaranteed", "ICCIF-species-dilution-info": "1/50", "ICCIF-species-notes": "<p></p>" }, "Mouse": { "IHCP-species-checked": "notRecommended", "IHCP-species-dilution-info": "1/100", "IHCP-species-notes": "<p></p> Perform heat-mediated antigen retrieval with Tris/EDTA buffer pH 9.0 before commencing with IHC staining protocol.", "WB-species-checked": "guaranteed", "WB-species-dilution-info": "", "WB-species-notes": "", "FlowCyt-species-checked": "guaranteed", "FlowCyt-species-dilution-info": "1/500", "FlowCyt-species-notes": "<p></p>", "IP-species-checked": "testedAndGuaranteed", "IP-species-dilution-info": "1/30", "IP-species-notes": "<p></p>", "ICCIF-species-checked": "guaranteed", "ICCIF-species-dilution-info": "", "ICCIF-species-notes": "" }, "Rat": { "IHCP-species-checked": "notRecommended", "IHCP-species-dilution-info": "1/100", "IHCP-species-notes": "<p></p> Perform heat-mediated antigen retrieval with Tris/EDTA buffer pH 9.0 before commencing with IHC staining protocol.", "WB-species-checked": "guaranteed", "WB-species-dilution-info": "1/1000", "WB-species-notes": "<p></p>", "FlowCyt-species-checked": "guaranteed", "FlowCyt-species-dilution-info": "1/500", "FlowCyt-species-notes": "<p></p>", "IP-species-checked": "guaranteed", "IP-species-dilution-info": "1/30", "IP-species-notes": "<p></p>", "ICCIF-species-checked": "guaranteed", "ICCIF-species-dilution-info": "1/50", "ICCIF-species-notes": "<p></p>" } } }

Product details

Patented technology
Our RabMAb® technology is a patented hybridoma-based technology for making rabbit monoclonal antibodies. For details on our patents, please refer to RabMAb® patents.

What are the advantages of a recombinant monoclonal antibody?
This product is a recombinant monoclonal antibody, which offers several advantages including:

  • - High batch-to-batch consistency and reproducibility
  • - Improved sensitivity and specificity
  • - Long-term security of supply
  • - Animal-free batch production

For more information, read more on recombinant antibodies.

Properties and storage information

Form
Liquid
Purification technique
Affinity purification Protein A
Storage buffer
pH: 7.2 - 7.4 Preservative: 0.01% Sodium azide Constituents: PBS, 40% Glycerol (glycerin, glycerine), 0.05% BSA
Shipped at conditions
Blue Ice
Appropriate short-term storage duration
1-2 weeks
Appropriate short-term storage conditions
+4°C
Appropriate long-term storage conditions
-20°C
Aliquoting information
Upon delivery aliquot
Storage information
Avoid freeze / thaw cycle

Supplementary information

This supplementary information is collated from multiple sources and compiled automatically.

VISTA also known as V-domain Ig suppressor of T cell activation or Gi24 is a protein significant in immune regulation. It is a type I transmembrane glycoprotein with an apparent mass of approximately 55 kDa. VISTA is expressed on hematopoietic cells specifically within immune system components such as myeloid cells and T cells. Researchers have identified biotinylated chimeric proteins which facilitate the study of VISTA's expression and interactions in various immunological research models.
Biological function summary

VISTA functions in immune checkpoint regulation by modulating T cell activity. It acts as both a ligand and a receptor influencing immune responses. As part of an immune complex VISTA interacts with other checkpoint proteins to maintain immune homeostasis and prevent autoimmunity. Its role mirrors those of other B7 family members like PD-1 and CTLA-4 which are involved in negative immune regulation.

Pathways

VISTA integrates into the broader framework of immune signaling pathways. It contributes significantly to the immune checkpoint pathway similar to CTLA-4 and PD-1 which mediate immune cell proliferation and activation. By interacting with these proteins VISTA plays an important role in maintaining self-tolerance and regulating inflammatory responses functioning parallel to other proteins such as CD28 and B7-H5 in the immune checkpoint pathway.

VISTA's improper regulation associates with autoimmune diseases and cancer. Its expression influences the progression of conditions like rheumatoid arthritis where it modulates immune responses and inflammation. Additionally in oncology VISTA acts as an inhibitory molecule; hence targeting it can enhance anti-tumor immunity similar to therapies targeting proteins like PD-1 and PD-L1. Understanding VISTA's intricate connections helps in developing therapies for these diseases.

Product protocols

For this product, it's our understanding that no specific protocols are required. You can visit:

Target data

Immunoregulatory receptor which inhibits the T-cell response (PubMed : 24691993). May promote differentiation of embryonic stem cells, by inhibiting BMP4 signaling (By similarity). May stimulate MMP14-mediated MMP2 activation (PubMed : 20666777).
See full target information VSIR

Publications (2)

Recent publications for all applications. Explore the full list and refine your search

Molecular neurobiology 62:13430-13448 PubMed40536592

2025

VISTA Alleviates Microglia-Mediated Neuroinflammation After Cerebral Ischemia-Reperfusion Injury via Regulating ACOD1/Itaconic Acid Metabolism.

Applications

Unspecified application

Species

Unspecified reactive species

Yilei Sun,Dan Liu,Yanchen Liu,Lijun Chi

Cancer cell international 24:205 PubMed38858701

2024

Comprehensive characterization of B7 family members in breast cancer: B7-H5 switch reverses breast cancer from "immuno-cold" into "immuno-hot" status.

Applications

Unspecified application

Species

Unspecified reactive species

Jiayu Liu,Cenzhu Wang,Ying Jiang,Yunxu Zhou,Lingyan Chen,Zhiwen Qian,Lu Liu,Danping Wu,Yan Zhang
View all publications

Product promise

We are committed to supporting your work with high-quality reagents, and we're here for you every step of the way. In the unlikely event that one of our products does not perform as expected, you're protected by our Product Promise.
For full details, please see our Terms & Conditions

Please note: All products are 'FOR RESEARCH USE ONLY. NOT FOR USE IN DIAGNOSTIC OR THERAPEUTIC PROCEDURES'.

For licensing inquiries, please contact partnerships@abcam.com