JavaScript is disabled in your browser. Please enable JavaScript to view this website.
AB217266

Anti-VISTA antibody [SP345]

Be the first to review this product! Submit a review

|

(1 Publication)

Rabbit Recombinant Monoclonal VISTA antibody. Suitable for IHC-P and reacts with Human samples. Cited in 1 publication.

View Alternative Names

C10orf54, SISP1, VISTA, PP2135, UNQ730/PRO1412, VSIR, V-type immunoglobulin domain-containing suppressor of T-cell activation, Platelet receptor Gi24, Stress-induced secreted protein-1, V-set domain-containing immunoregulatory receptor, V-set immunoregulatory receptor, Sisp-1

6 Images
Immunohistochemistry (Formalin/PFA-fixed paraffin-embedded sections) - Anti-VISTA antibody [SP345] (AB217266)
  • IHC-P

Unknown

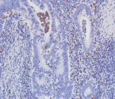
Immunohistochemistry (Formalin/PFA-fixed paraffin-embedded sections) - Anti-VISTA antibody [SP345] (AB217266)

Immunohistochemical analysis of formalin-fixed paraffin-embedded Human colon adenocarcinoma tissue labeling VISTA with ab217266 at 1/100 dilution.

Immunohistochemistry (Formalin/PFA-fixed paraffin-embedded sections) - Anti-VISTA antibody [SP345] (AB217266)
  • IHC-P

Supplier Data

Immunohistochemistry (Formalin/PFA-fixed paraffin-embedded sections) - Anti-VISTA antibody [SP345] (AB217266)

Immunohistochemical analysis of formalin-fixed paraffin-embedded Human lymph node tissue labeling VISTA with ab217266 at 1/100 dilution.

Immunohistochemistry (Formalin/PFA-fixed paraffin-embedded sections) - Anti-VISTA antibody [SP345] (AB217266)
  • IHC-P

Supplier Data

Immunohistochemistry (Formalin/PFA-fixed paraffin-embedded sections) - Anti-VISTA antibody [SP345] (AB217266)

Immunohistochemical analysis of formalin-fixed paraffin-embedded Human tonsil tissue labeling VISTA with ab217266 at 1/100 dilution.

Immunohistochemistry (Formalin/PFA-fixed paraffin-embedded sections) - Anti-VISTA antibody [SP345] (AB217266)
  • IHC-P

Supplier Data

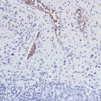
Immunohistochemistry (Formalin/PFA-fixed paraffin-embedded sections) - Anti-VISTA antibody [SP345] (AB217266)

Immunohistochemical analysis of formalin-fixed paraffin-embedded Human urinary bladder tissue labeling VISTA with ab217266 at 1/100 dilution.

Immunohistochemistry (Formalin/PFA-fixed paraffin-embedded sections) - Anti-VISTA antibody [SP345] (AB217266)
  • IHC-P

Supplier Data

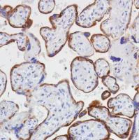
Immunohistochemistry (Formalin/PFA-fixed paraffin-embedded sections) - Anti-VISTA antibody [SP345] (AB217266)

Immunohistochemical analysis of formalin-fixed, paraffin-embedded Human placenta tissue labeling VISTA with ab217266 at 1/100 dilution.

Immunohistochemistry (Formalin/PFA-fixed paraffin-embedded sections) - Anti-VISTA antibody [SP345] (AB217266)
  • IHC-P

Supplier Data

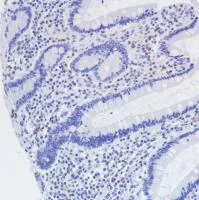
Immunohistochemistry (Formalin/PFA-fixed paraffin-embedded sections) - Anti-VISTA antibody [SP345] (AB217266)

Immunohistochemical analysis of formalin-fixed paraffin-embedded Human colon tissue labeling VISTA with ab217266 at 1/100 dilution.

  • Carrier free

    Anti-VISTA antibody [SP345] - BSA and Azide free

Key facts

Host species

Rabbit

Clonality

Monoclonal

Clone number

SP345

Isotype

IgG

Carrier free

No

Reacts with

Human

Applications

IHC-P

applications

Immunogen

The exact immunogen used to generate this antibody is proprietary information.

Reactivity data

{ "title": "Reactivity Data", "filters": { "stats": ["", "Species", "Dilution Info", "Notes"], "tabs": { "all-applications": {"fullname" : "All Applications", "shortname": "All Applications"}, "IHCP" : {"fullname" : "Immunohistochemistry (Formalin/PFA-fixed paraffin-embedded sections)", "shortname":"IHC-P"}, "FlowCytIntra" : {"fullname" : "Flow Cytometry (Intracellular)", "shortname":"Flow Cyt (Intra)"} }, "product-promise": { "all": "all", "testedAndGuaranteed": "tested", "guaranteed": "expected", "predicted": "predicted", "notRecommended": "not-recommended" } }, "values": { "Human": { "IHCP-species-checked": "testedAndGuaranteed", "IHCP-species-dilution-info": "1/100", "IHCP-species-notes": "<p></p>", "FlowCytIntra-species-checked": "notRecommended", "FlowCytIntra-species-dilution-info": "", "FlowCytIntra-species-notes": "<p></p>" } } }

Properties and storage information

Form
Liquid
Purification technique
Affinity purification Protein A/G
Purification notes
Purified from TCS by protein A/G.
Storage buffer
pH: 7.6 Preservative: 0.1% Sodium azide Constituents: PBS, 1% BSA
Shipped at conditions
Blue Ice
Appropriate short-term storage duration
1-2 weeks
Appropriate short-term storage conditions
+4°C
Appropriate long-term storage conditions
-20°C
Aliquoting information
Upon delivery aliquot
Storage information
Avoid freeze / thaw cycle

Supplementary information

This supplementary information is collated from multiple sources and compiled automatically.

VISTA also known as V-domain Ig suppressor of T cell activation or Gi24 is a protein significant in immune regulation. It is a type I transmembrane glycoprotein with an apparent mass of approximately 55 kDa. VISTA is expressed on hematopoietic cells specifically within immune system components such as myeloid cells and T cells. Researchers have identified biotinylated chimeric proteins which facilitate the study of VISTA's expression and interactions in various immunological research models.
Biological function summary

VISTA functions in immune checkpoint regulation by modulating T cell activity. It acts as both a ligand and a receptor influencing immune responses. As part of an immune complex VISTA interacts with other checkpoint proteins to maintain immune homeostasis and prevent autoimmunity. Its role mirrors those of other B7 family members like PD-1 and CTLA-4 which are involved in negative immune regulation.

Pathways

VISTA integrates into the broader framework of immune signaling pathways. It contributes significantly to the immune checkpoint pathway similar to CTLA-4 and PD-1 which mediate immune cell proliferation and activation. By interacting with these proteins VISTA plays an important role in maintaining self-tolerance and regulating inflammatory responses functioning parallel to other proteins such as CD28 and B7-H5 in the immune checkpoint pathway.

VISTA's improper regulation associates with autoimmune diseases and cancer. Its expression influences the progression of conditions like rheumatoid arthritis where it modulates immune responses and inflammation. Additionally in oncology VISTA acts as an inhibitory molecule; hence targeting it can enhance anti-tumor immunity similar to therapies targeting proteins like PD-1 and PD-L1. Understanding VISTA's intricate connections helps in developing therapies for these diseases.

Product protocols

For this product, it's our understanding that no specific protocols are required. You can visit:

Target data

Immunoregulatory receptor which inhibits the T-cell response (PubMed : 24691993). May promote differentiation of embryonic stem cells, by inhibiting BMP4 signaling (By similarity). May stimulate MMP14-mediated MMP2 activation (PubMed : 20666777).
See full target information VSIR

Publications (1)

Recent publications for all applications. Explore the full list and refine your search

Frontiers in molecular biosciences 10:1178439 PubMed37426420

2023

Sequence- and structure-specific RNA oligonucleotide binding attenuates heterogeneous nuclear ribonucleoprotein A1 dysfunction.

Applications

Unspecified application

Species

Unspecified reactive species

Joseph P Clarke,Patricia A Thibault,Sakina Fatima,Hannah E Salapa,Subha Kalyaanamoorthy,Aravindhan Ganesan,Michael C Levin
View all publications

Product promise

We are committed to supporting your work with high-quality reagents, and we're here for you every step of the way. In the unlikely event that one of our products does not perform as expected, you're protected by our Product Promise.
For full details, please see our Terms & Conditions

Please note: All products are 'FOR RESEARCH USE ONLY. NOT FOR USE IN DIAGNOSTIC OR THERAPEUTIC PROCEDURES'.

For licensing inquiries, please contact partnerships@abcam.com