JavaScript is disabled in your browser. Please enable JavaScript to view this website.
AB259375

Anti-VISTA antibody [VISTA/3007] - BSA and Azide free

Be the first to review this product! Submit a review

|

(0 Publication)

Mouse Monoclonal VISTA antibody. Carrier free. Suitable for Protein Array, IHC-P and reacts with Human samples. Immunogen corresponding to Recombinant Full Length Protein corresponding to Human VSIR.

View Alternative Names

C10orf54, SISP1, VISTA, PP2135, UNQ730/PRO1412, VSIR, V-type immunoglobulin domain-containing suppressor of T-cell activation, Platelet receptor Gi24, Stress-induced secreted protein-1, V-set domain-containing immunoregulatory receptor, V-set immunoregulatory receptor, Sisp-1

3 Images
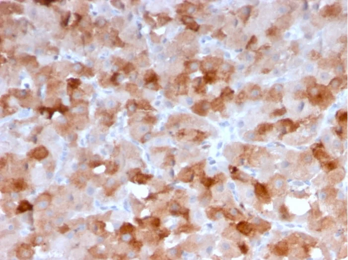
Immunohistochemistry (Formalin/PFA-fixed paraffin-embedded sections) - Anti-VISTA antibody [VISTA/3007] - BSA and Azide free (AB259375)
  • IHC-P

Supplier Data

Immunohistochemistry (Formalin/PFA-fixed paraffin-embedded sections) - Anti-VISTA antibody [VISTA/3007] - BSA and Azide free (AB259375)

Formalin-fixed, paraffin-embedded human placenta tissue stained for VISTA using ab257314 at 2 μg/ml in immunohistochemical analysis.

Staining of formalin-fixed tissues requires boiling tissue sections in 10mM Tris with 1mM EDTA, pH 9.0, for 10-20 min followed by cooling at RT for 20 minutes.

This data was developed using the same antibody clone in a different buffer formulation containing PBS, BSA and sodium azide (ab257314).

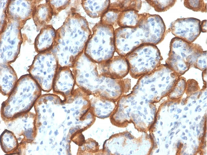
Immunohistochemistry (Formalin/PFA-fixed paraffin-embedded sections) - Anti-VISTA antibody [VISTA/3007] - BSA and Azide free (AB259375)
  • IHC-P

Supplier Data

Immunohistochemistry (Formalin/PFA-fixed paraffin-embedded sections) - Anti-VISTA antibody [VISTA/3007] - BSA and Azide free (AB259375)

Formalin-fixed, paraffin-embedded human squamous cell carcinoma tissue stained for VISTA using ab257314 at 2 μg/ml in immunohistochemical analysis.

Staining of formalin-fixed tissues requires boiling tissue sections in 10mM Tris with 1mM EDTA, pH 9.0, for 10-20 min followed by cooling at RT for 20 minutes.

This data was developed using the same antibody clone in a different buffer formulation containing PBS, BSA and sodium azide (ab257314).

Protein Array - Anti-VISTA antibody [VISTA/3007] - BSA and Azide free (AB259375)
  • Protein Array

Supplier Data

Protein Array - Anti-VISTA antibody [VISTA/3007] - BSA and Azide free (AB259375)

Protein array containing >19,000 full-length human proteins, probed with ab257314.

Z- and S- Score : The Z-score represents the strength of a signal that a monoclonal antibody (MAb) (in combination with a fluorescently-tagged anti-IgG secondary antibody) produces when binding to a particular protein on the HuProtTM array. Z-scores are described in units of standard deviations (SD's) above the mean value of all signals generated on that array. If targets on HuProtTM are arranged in descending order of the Z-score, the S-score is the difference (also in units of SD's) between the Z-score. S-score therefore represents the relative target specificity of a MAb to its intended target. A MAb is considered to specific to its intended target, if the MAb has an S-score of at least 2.5. For example, if a MAb binds to protein X with a Z-score of 43 and to protein Y with a Z-score of 14, then the S-score for the binding of that MAb to protein X is equal to 29.

This data was developed using the same antibody clone in a different buffer formulation containing PBS, BSA and sodium azide (ab257314).

Key facts

Host species

Mouse

Clonality

Monoclonal

Clone number

VISTA/3007

Isotype

IgG2b

Light chain type

kappa

Carrier free

Yes

Reacts with

Human

Applications

IHC-P, Protein Array

applications

Immunogen

Recombinant Full Length Protein corresponding to Human VSIR.

Q9H7M9

Reactivity data

{ "title": "Reactivity Data", "filters": { "stats": ["", "Species", "Dilution Info", "Notes"], "tabs": { "all-applications": {"fullname" : "All Applications", "shortname": "All Applications"}, "ProteinArray" : {"fullname" : "Protein Array", "shortname":"Protein Array"}, "IHCP" : {"fullname" : "Immunohistochemistry (Formalin/PFA-fixed paraffin-embedded sections)", "shortname":"IHC-P"} }, "product-promise": { "all": "all", "testedAndGuaranteed": "tested", "guaranteed": "expected", "predicted": "predicted", "notRecommended": "not-recommended" } }, "values": { "Human": { "ProteinArray-species-checked": "testedAndGuaranteed", "ProteinArray-species-dilution-info": "", "ProteinArray-species-notes": "<p></p>", "IHCP-species-checked": "testedAndGuaranteed", "IHCP-species-dilution-info": "1-2 µg/mL", "IHCP-species-notes": "<p></p>" } } }

Product details

ab259375 is the carrier-free version of ab257314.

Conjugation ready
Our carrier-free antibodies are typically supplied in a PBS-only formulation, purified and free of BSA, sodium azide and glycerol. This conjugation-ready format is designed for use with fluorochromes, metal isotopes, oligonucleotides, and enzymes, which makes them ideal for antibody labelling, functional and cell-based assays, flow-based assays (e.g. mass cytometry) and Multiplex Imaging applications.

Use our conjugation kits for antibody conjugates that are ready-to-use in as little as 20 minutes with 1 minute hands-on-time and 100% antibody recovery: available for fluorescent dyes, HRP, biotin and gold.

Properties and storage information

Form
Liquid
Purification technique
Affinity purification Protein A/G
Storage buffer
pH: 7.2 - 7.4 Constituents: PBS
Shipped at conditions
Blue Ice
Appropriate short-term storage duration
1-2 weeks
Appropriate short-term storage conditions
+4°C
Appropriate long-term storage conditions
-20°C
Aliquoting information
Upon delivery aliquot
Storage information
Avoid freeze / thaw cycle

Supplementary information

This supplementary information is collated from multiple sources and compiled automatically.

VISTA also known as V-domain Ig suppressor of T cell activation or Gi24 is a protein significant in immune regulation. It is a type I transmembrane glycoprotein with an apparent mass of approximately 55 kDa. VISTA is expressed on hematopoietic cells specifically within immune system components such as myeloid cells and T cells. Researchers have identified biotinylated chimeric proteins which facilitate the study of VISTA's expression and interactions in various immunological research models.
Biological function summary

VISTA functions in immune checkpoint regulation by modulating T cell activity. It acts as both a ligand and a receptor influencing immune responses. As part of an immune complex VISTA interacts with other checkpoint proteins to maintain immune homeostasis and prevent autoimmunity. Its role mirrors those of other B7 family members like PD-1 and CTLA-4 which are involved in negative immune regulation.

Pathways

VISTA integrates into the broader framework of immune signaling pathways. It contributes significantly to the immune checkpoint pathway similar to CTLA-4 and PD-1 which mediate immune cell proliferation and activation. By interacting with these proteins VISTA plays an important role in maintaining self-tolerance and regulating inflammatory responses functioning parallel to other proteins such as CD28 and B7-H5 in the immune checkpoint pathway.

VISTA's improper regulation associates with autoimmune diseases and cancer. Its expression influences the progression of conditions like rheumatoid arthritis where it modulates immune responses and inflammation. Additionally in oncology VISTA acts as an inhibitory molecule; hence targeting it can enhance anti-tumor immunity similar to therapies targeting proteins like PD-1 and PD-L1. Understanding VISTA's intricate connections helps in developing therapies for these diseases.

Product protocols

For this product, it's our understanding that no specific protocols are required. You can visit:

Target data

Immunoregulatory receptor which inhibits the T-cell response (PubMed : 24691993). May promote differentiation of embryonic stem cells, by inhibiting BMP4 signaling (By similarity). May stimulate MMP14-mediated MMP2 activation (PubMed : 20666777).
See full target information VSIR

Product promise

We are committed to supporting your work with high-quality reagents, and we're here for you every step of the way. In the unlikely event that one of our products does not perform as expected, you're protected by our Product Promise.
For full details, please see our Terms & Conditions

Please note: All products are 'FOR RESEARCH USE ONLY. NOT FOR USE IN DIAGNOSTIC OR THERAPEUTIC PROCEDURES'.

For licensing inquiries, please contact partnerships@abcam.com