JavaScript is disabled in your browser. Please enable JavaScript to view this website.
AB201981

Anti-Vitronectin/S-Protein antibody [1G11E8]

Be the first to review this product! Submit a review

|

(3 Publications)

Mouse Monoclonal Vitronectin/S-Protein antibody. Suitable for Flow Cyt, WB, IHC-P and reacts with Human samples. Cited in 3 publications. Immunogen corresponding to Recombinant Fragment Protein within Human Vitronectin aa 1-200.

View Alternative Names

Vitronectin, VN, S-protein, Serum-spreading factor, V75, VTN

5 Images
Immunohistochemistry (Formalin/PFA-fixed paraffin-embedded sections) - Anti-Vitronectin/S-Protein antibody [1G11E8] (AB201981)
  • IHC-P

Supplier Data

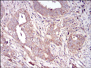
Immunohistochemistry (Formalin/PFA-fixed paraffin-embedded sections) - Anti-Vitronectin/S-Protein antibody [1G11E8] (AB201981)

Immunohistochemical analysis of paraffin-embedded Human liver cancer tissue labeling Vitronectin/S-Protein with ab201981 at 1/200 dilution with DAB staining

Immunohistochemistry (Formalin/PFA-fixed paraffin-embedded sections) - Anti-Vitronectin/S-Protein antibody [1G11E8] (AB201981)
  • IHC-P

Supplier Data

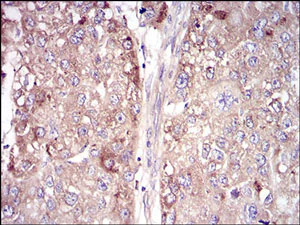
Immunohistochemistry (Formalin/PFA-fixed paraffin-embedded sections) - Anti-Vitronectin/S-Protein antibody [1G11E8] (AB201981)

Immunohistochemical analysis of paraffin-embedded Human cervical cancer tissue labeling Vitronectin/S-Protein with ab201981 at 1/200 dilution with DAB staining.

Flow Cytometry - Anti-Vitronectin/S-Protein antibody [1G11E8] (AB201981)
  • Flow Cyt

Supplier Data

Flow Cytometry - Anti-Vitronectin/S-Protein antibody [1G11E8] (AB201981)

Flow cytometric analysis of Hela cells labeling Vitronectin/S-Protein using ab201981 at 1/200 dilution (green) and negative control (red).

Western blot - Anti-Vitronectin/S-Protein antibody [1G11E8] (AB201981)
  • WB

Supplier Data

Western blot - Anti-Vitronectin/S-Protein antibody [1G11E8] (AB201981)

All lanes:

Western blot - Anti-Vitronectin/S-Protein antibody [1G11E8] (ab201981) at 1/500 dilution

All lanes:

Human Vitronectin/S-Protein (AA: 20-199) recombinant protein

Predicted band size: 54 kDa

false

Western blot - Anti-Vitronectin/S-Protein antibody [1G11E8] (AB201981)
  • WB

Supplier Data

Western blot - Anti-Vitronectin/S-Protein antibody [1G11E8] (AB201981)

All lanes:

Western blot - Anti-Vitronectin/S-Protein antibody [1G11E8] (ab201981) at 1/500 dilution

Lane 1:

HEK293 cell lysate

Lane 2:

Vitronectin/S-Protein (AA: 20-199)-hIgGFc transfected HEK293 cell lysate

Predicted band size: 54 kDa

false

Key facts

Host species

Mouse

Clonality

Monoclonal

Clone number

1G11E8

Isotype

IgG2b

Carrier free

No

Reacts with

Human

Applications

Flow Cyt, IHC-P, WB

applications

Immunogen

Recombinant Fragment Protein within Human Vitronectin aa 1-200. The exact immunogen used to generate this antibody is proprietary information.

P04004

Reactivity data

{ "title": "Reactivity Data", "filters": { "stats": ["", "Species", "Dilution Info", "Notes"], "tabs": { "all-applications": {"fullname" : "All Applications", "shortname": "All Applications"}, "FlowCyt" : {"fullname" : "Flow Cytometry", "shortname":"Flow Cyt"}, "WB" : {"fullname" : "Western blot", "shortname":"WB"}, "IHCP" : {"fullname" : "Immunohistochemistry (Formalin/PFA-fixed paraffin-embedded sections)", "shortname":"IHC-P"} }, "product-promise": { "all": "all", "testedAndGuaranteed": "tested", "guaranteed": "expected", "predicted": "predicted", "notRecommended": "not-recommended" } }, "values": { "Human": { "FlowCyt-species-checked": "testedAndGuaranteed", "FlowCyt-species-dilution-info": "1/200 - 1/400", "FlowCyt-species-notes": "<p><a href='/en-us/products/primary-antibodies/mouse-igg2b-kappa-monoclonal-7e10g10-isotype-control-ab170192'>ab170192</a> - Mouse monoclonal IgG2b, is suitable for use as an isotype control with this antibody.</p>", "WB-species-checked": "testedAndGuaranteed", "WB-species-dilution-info": "1/500 - 1/2000", "WB-species-notes": "<p></p>", "IHCP-species-checked": "testedAndGuaranteed", "IHCP-species-dilution-info": "1/200 - 1/1000", "IHCP-species-notes": "<p></p>" } } }

Properties and storage information

Form
Liquid
Purification technique
Affinity purification Protein G
Purification notes
Purified from tissue culture supernatant.
Storage buffer
Preservative: 0.05% Sodium azide Constituents: PBS
Shipped at conditions
Blue Ice
Appropriate short-term storage duration
1-2 weeks
Appropriate short-term storage conditions
+4°C
Appropriate long-term storage conditions
-20°C
Aliquoting information
Upon delivery aliquot
Storage information
Avoid freeze / thaw cycle

Product protocols

For this product, it's our understanding that no specific protocols are required. You can visit:

Target data

Vitronectin is a cell adhesion and spreading factor found in serum and tissues. Vitronectin interact with glycosaminoglycans and proteoglycans. Is recognized by certain members of the integrin family and serves as a cell-to-substrate adhesion molecule. Inhibitor of the membrane-damaging effect of the terminal cytolytic complement pathway.. Somatomedin-B is a growth hormone-dependent serum factor with protease-inhibiting activity.
See full target information Vitronectin

Publications (3)

Recent publications for all applications. Explore the full list and refine your search

Cells 14: PubMed40214502

2025

Utilisation of Deep Neural Networks for Estimation of Cajal Cells in the Anal Canal Wall of Patients with Advanced Haemorrhoidal Disease Treated by LigaSure Surgery.

Applications

Unspecified application

Species

Unspecified reactive species

Inese Fišere,Edgars Edelmers,Šimons Svirskis,Valērija Groma

The Journal of cell biology 221: PubMed36205720

2022

Integrin-based adhesion compartmentalizes ALK3 of the BMPRII to control cell adhesion and migration.

Applications

Unspecified application

Species

Unspecified reactive species

Amaris Guevara-Garcia,Laure Fourel,Ingrid Bourrin-Reynard,Adria Sales,Christiane Oddou,Mylène Pezet,Olivier Rossier,Paul Machillot,Line Chaar,Anne-Pascale Bouin,Gregory Giannone,Olivier Destaing,Catherine Picart,Corinne Albiges-Rizo

Viruses 14: PubMed35062233

2021

Complement Inhibitors Vitronectin and Clusterin Are Recruited from Human Serum to the Surface of Coronavirus OC43-Infected Lung Cells through Antibody-Dependent Mechanisms.

Applications

Unspecified application

Species

Unspecified reactive species

Candace R Fox,Griffith D Parks
View all publications

Product promise

We are committed to supporting your work with high-quality reagents, and we're here for you every step of the way. In the unlikely event that one of our products does not perform as expected, you're protected by our Product Promise.
For full details, please see our Terms & Conditions

Please note: All products are 'FOR RESEARCH USE ONLY. NOT FOR USE IN DIAGNOSTIC OR THERAPEUTIC PROCEDURES'.

For licensing inquiries, please contact partnerships@abcam.com