JavaScript is disabled in your browser. Please enable JavaScript to view this website.
AB302918

Anti-VLDL Receptor/VLDL-R antibody [EPR26178-72] (BSA and Azide free)

  • BOND RX™ Validated
  • RabMAb
  • Recombinant
  • KO Validated
  • What is this?

Be the first to review this product! Submit a review

|

(0 Publication)

Rabbit Recombinant Monoclonal VLDL Receptor/VLDL-R antibody. Carrier free. Suitable for WB, IHC-P and reacts with Human, Mouse, Rat samples.

View Alternative Names

Very low-density lipoprotein receptor, VLDL receptor, VLDL-R, VLDLR

7 Images
Immunohistochemistry - Anti-VLDL Receptor/VLDL-R antibody [EPR26178-72] (BSA and Azide free) (AB302918)
  • IHC

Supplier Data

Immunohistochemistry - Anti-VLDL Receptor/VLDL-R antibody [EPR26178-72] (BSA and Azide free) (AB302918)

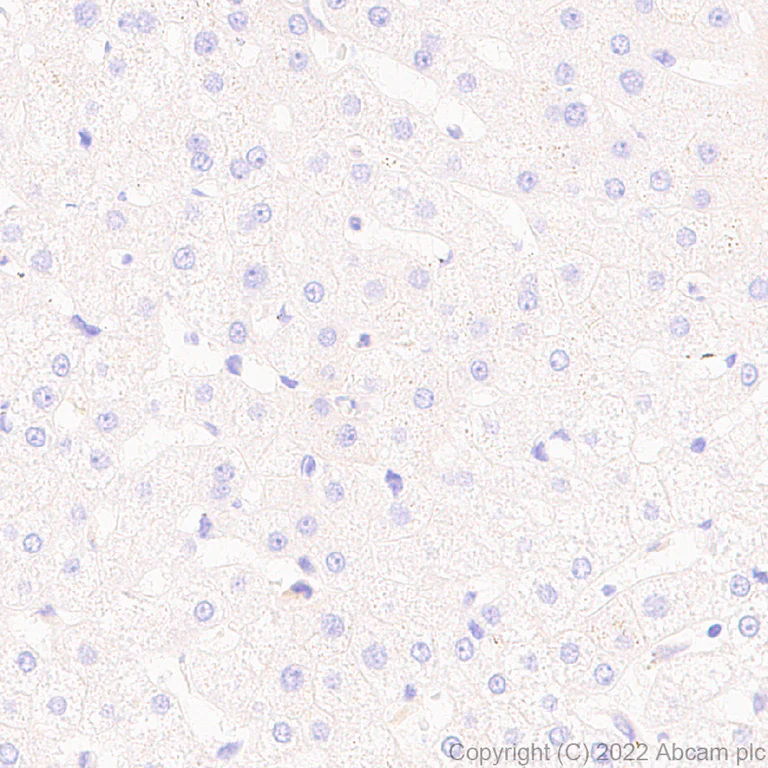
This data was developed using ab302917, the same antibody clone in a different buffer formulation. Immunohistochemical analysis of paraffin-embedded Human liver tissue labeling VLDL Receptor/VLDL-R with ab302917 at 1/500 (0.978 ug/ml) followed by a LeicaDS9800 (Bond™ Polymer Refine Detection) was used at Ready to use dilution. Negative control : No staining on human liver. The section was incubated with ab302917 for 30 mins at room temperature.The immunostaining was performed on a Leica Biosystems BOND® RX instrument Counterstained with Hematoxylin. Secondary antibody only control : Secondary antibody is LeicaDS9800 (Bond™ Polymer Refine Detection) was used at Ready to use dilution. Heat mediated antigen retrieval with Tris-EDTA buffer (pH 9.0, epitope retrieval solution2) for 20 mins

Immunohistochemistry - Anti-VLDL Receptor/VLDL-R antibody [EPR26178-72] (BSA and Azide free) (AB302918)
  • IHC

Supplier Data

Immunohistochemistry - Anti-VLDL Receptor/VLDL-R antibody [EPR26178-72] (BSA and Azide free) (AB302918)

This data was developed using ab302917, the same antibody clone in a different buffer formulation.

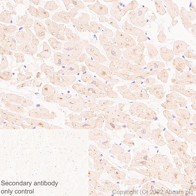
Immunohistochemical analysis of paraffin-embedded Human cardiac muscle tissue labeling VLDL Receptor/VLDL-R with ab302917 at 1/500 (0.978 ug/ml) followed by a LeicaDS9800 (Bond™ Polymer Refine Detection) was used at Ready to use dilution. Cytoplasmic staining on cardiac muscle. The section was incubated with ab302917 for 30 mins at room temperature.The immunostaining was performed on a Leica Biosystems BOND® RX instrument Counterstained with Hematoxylin. Secondary antibody only control : Secondary antibody is LeicaDS9800 (Bond™ Polymer Refine Detection) was used at Ready to use dilution. Heat mediated antigen retrieval with Tris-EDTA buffer (pH 9.0, epitope retrieval solution2) for 20 mins

Immunohistochemistry - Anti-VLDL Receptor/VLDL-R antibody [EPR26178-72] (BSA and Azide free) (AB302918)
  • IHC

Supplier Data

Immunohistochemistry - Anti-VLDL Receptor/VLDL-R antibody [EPR26178-72] (BSA and Azide free) (AB302918)

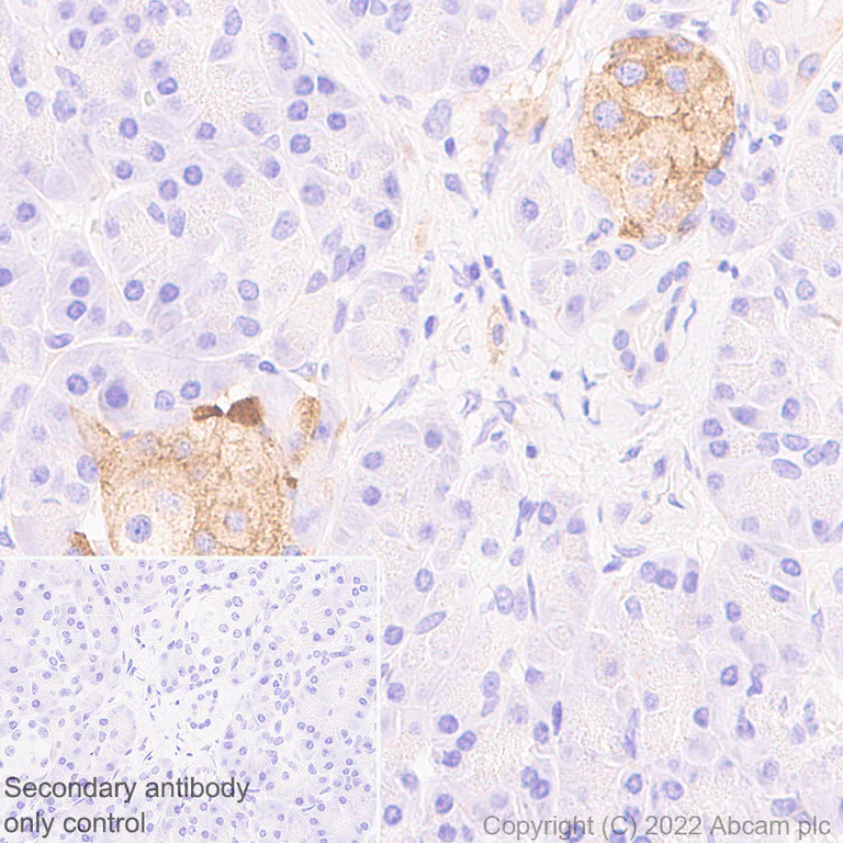
This data was developed using ab302917, the same antibody clone in a different buffer formulation. Immunohistochemical analysis of paraffin-embedded Human pancreas tissue labeling VLDL Receptor/VLDL-R with ab302917 at 1/500 (0.978 ug/ml) followed by a LeicaDS9800 (Bond™ Polymer Refine Detection) was used at Ready to use dilution. Cytoplasmic staining on islet of human pancreas. The section was incubated with ab302917 for 30 mins at room temperature.The immunostaining was performed on a Leica Biosystems BOND® RX instrument Counterstained with Hematoxylin. Secondary antibody only control : Secondary antibody is LeicaDS9800 (Bond™ Polymer Refine Detection) was used at Ready to use dilution. Heat mediated antigen retrieval with Tris-EDTA buffer (pH 9.0, epitope retrieval solution2) for 20 mins

Western blot - Anti-VLDL Receptor/VLDL-R antibody [EPR26178-72] (BSA and Azide free) (AB302918)
  • WB

Lab

Western blot - Anti-VLDL Receptor/VLDL-R antibody [EPR26178-72] (BSA and Azide free) (AB302918)

This data was developed using ab302917, the same antibody clone in a different buffer formulation.

Western blot : Rabbit Monoclonal [EPR26178-72] to VLDL Receptor/VLDL-R ab302917 staining at 1/1000 dilution, shown in green; Mouse anti GAPDH (ab8245) loading control staining at 1/20,000 dilution, shown in magenta.

A band was observed at 115/140 kDa in Wild-type U-87 MG UNBOILED cell lysates with no signal observed at this size in VLDLR knockout U-87 MG UNBOILED cell line.

To generate this image, samples were run on an SDS-PAGE gel then transferred onto a nitrocellulose membrane. Membranes were blocked in 3pc Milk in TBS-0.1 % Tween® 20 (TBS-T) before incubation with primary antibodies overnight at 4 °C. Blots were washed four times in TBS-T, incubated with secondary antibodies for 1 h at room temperature, washed again four times then imaged.

Secondary antibodies used were Goat anti-Rabbit 800CW & Goat anti-Mouse 680RD at 1/20,000 dilution.

All lanes:

Western blot - Anti-VLDL Receptor/VLDL-R antibody [EPR26178-72] (<a href='/en-us/products/primary-antibodies/vldl-receptor-vldl-r-antibody-epr26178-72-ab302917'>ab302917</a>) at 1/1000 dilution

Lane 1:

Wild-type U-87 MG UNBOILED at 20 µg

Lane 2:

VLDLR knockout U-87 MG UNBOILED at 20 µg

Lane 2:

Western blot - Human VLDLR knockout U-87 MG cell line (<a href='/en-us/products/cell-lines/human-vldlr-knockout-u-87-mg-cell-line-ab306807'>ab306807</a>) at 20 µg

Lane 3:

THP-1 UNBOILED at 20 µg

Lane 4:

Daudi UNBOILED at 20 µg

Secondary

All lanes:

Goat anti-Rabbit 800CW & Goat anti-Mouse 680RD at 1/20000 dilution

Predicted band size: 96 kDa

Observed band size: 115 kDa,140 kDa

false

Western blot - Anti-VLDL Receptor/VLDL-R antibody [EPR26178-72] (BSA and Azide free) (AB302918)
  • WB

Lab

Western blot - Anti-VLDL Receptor/VLDL-R antibody [EPR26178-72] (BSA and Azide free) (AB302918)

This data was developed using ab302917, the same antibody clone in a different buffer formulation.

Blocking and diluting buffer and concentration : 5% NFDM/TBST.

This blot was developed using a high sensitivity ECL substrate. The high-sensitivity ECL substrate used allows for the detection of proteins in the mid-femtogram range.

All lanes:

Western blot - Anti-VLDL Receptor/VLDL-R antibody [EPR26178-72] (<a href='/en-us/products/primary-antibodies/vldl-receptor-vldl-r-antibody-epr26178-72-ab302917'>ab302917</a>) at 1/1000 dilution

Lane 1:

Human VLDLR recombinant protein at 10 ng

Lane 2:

His-tagged human LDLR recombinant protein  at 10 ng

Secondary

All lanes:

Western blot - Goat Anti-Rabbit IgG H&L (HRP) (<a href='/en-us/products/secondary-antibodies/goat-rabbit-igg-h-l-hrp-ab97051'>ab97051</a>) at 1/100000 dilution

Predicted band size: 96 kDa

Observed band size: 15-50 kDa

true

Western blot - Anti-VLDL Receptor/VLDL-R antibody [EPR26178-72] (BSA and Azide free) (AB302918)
  • WB

Lab

Western blot - Anti-VLDL Receptor/VLDL-R antibody [EPR26178-72] (BSA and Azide free) (AB302918)

This data was developed using ab302917, the same antibody clone in a different buffer formulation.

Blocking / Diluting buffer and concentration : 5% NFDM/TBST

The expression of VLDLR is upregulated in response to Dexamethasone treatment (PMID : 11960750).

Low expression : Huh7 (PMID : 29289645)

Exposure time :

Lane 1 and 2 : 180 seconds

Lane 3 and 4 : 48 seconds

All lanes:

Western blot - Anti-VLDL Receptor/VLDL-R antibody [EPR26178-72] (<a href='/en-us/products/primary-antibodies/vldl-receptor-vldl-r-antibody-epr26178-72-ab302917'>ab302917</a>) at 1/1000 dilution

Lane 1:

Untreated 3T3-L1 (mouse embryonic fibroblast), whole cell lysate at 50 µg

Lane 2:

3T3-L1 treated with1µM Dexamethasone for 48h, whole cell lysate at 50 µg

Lane 3:

THP-1 (human monocytic leukemia monocyte), whole cell lysate at 50 µg

Lane 4:

Huh7 (Human hepatocellular carcinoma epithelial cell), whole cell lysate at 50 µg

Secondary

All lanes:

Western blot - Goat Anti-Rabbit IgG H&L (HRP) (<a href='/en-us/products/secondary-antibodies/goat-rabbit-igg-h-l-hrp-ab97051'>ab97051</a>) at 1/20000 dilution

Predicted band size: 96 kDa

Observed band size: 100-150 kDa

false

Western blot - Anti-VLDL Receptor/VLDL-R antibody [EPR26178-72] (BSA and Azide free) (AB302918)
  • WB

Lab

Western blot - Anti-VLDL Receptor/VLDL-R antibody [EPR26178-72] (BSA and Azide free) (AB302918)

This data was developed using ab302917, the same antibody clone in a different buffer formulation.

Blocking / Diluting buffer and concentration : 5% NFDM/TBST

VLDLR is a glycoprotein of approximately 150 kDa and detected as a 120 kDa band after treated with Protein Deglycosylation MIX II.

Low expression : liver, small intestine (PMID : 7925422; PMID : 11960750; PMID : 29289645)

All lanes:

Western blot - Anti-VLDL Receptor/VLDL-R antibody [EPR26178-72] (<a href='/en-us/products/primary-antibodies/vldl-receptor-vldl-r-antibody-epr26178-72-ab302917'>ab302917</a>) at 1/1000 dilution

Lane 1:

Untreated human heart tissue lysate at 30 µg

Lane 2:

Human heart tissue lysate treated with Protein Deglycosylation Mix II at 30 µg

Lane 3:

Human liver tissue lysate at 30 µg

Lane 4:

Human small intestine tissue lysate at 30 µg

Lane 5:

Untreated mouse heart tissue lysate at 30 µg

Lane 6:

Mouse heart tissue lysate treated with Protein Deglycosylation Mix II at 30 µg

Lane 7:

Mouse liver tissue lysate at 30 µg

Lane 8:

Rat heart tissue lysate at 30 µg

Lane 9:

Rat liver tissue lysate at 30 µg

Secondary

All lanes:

Goat Anti-Rabbit IgG (HRP) with minimal cross-reactivity with human IgG at 1/1000 dilution

Predicted band size: 96 kDa

Observed band size: 100-150 kDa

false

  • Unconjugated

    Anti-VLDL Receptor/VLDL-R antibody [EPR26178-72]

Key facts

Host species

Rabbit

Clonality

Monoclonal

Clone number

EPR26178-72

Isotype

IgG

Carrier free

Yes

Reacts with

Human, Mouse, Rat

Applications

WB, IHC-P

applications

Immunogen

The exact immunogen used to generate this antibody is proprietary information.

Reactivity data

{ "title": "Reactivity Data", "filters": { "stats": ["", "Species", "Dilution Info", "Notes"], "tabs": { "all-applications": {"fullname" : "All Applications", "shortname": "All Applications"}, "WB" : {"fullname" : "Western blot", "shortname":"WB"}, "IHCP" : {"fullname" : "Immunohistochemistry (Formalin/PFA-fixed paraffin-embedded sections)", "shortname":"IHC-P"}, "FlowCyt" : {"fullname" : "Flow Cytometry", "shortname":"Flow Cyt"}, "IP" : {"fullname" : "Immunoprecipitation", "shortname":"IP"} }, "product-promise": { "all": "all", "testedAndGuaranteed": "tested", "guaranteed": "expected", "predicted": "predicted", "notRecommended": "not-recommended" } }, "values": { "Human": { "WB-species-checked": "testedAndGuaranteed", "WB-species-dilution-info": "", "WB-species-notes": "<p></p>", "IHCP-species-checked": "testedAndGuaranteed", "IHCP-species-dilution-info": "", "IHCP-species-notes": "<p></p>", "FlowCyt-species-checked": "notRecommended", "FlowCyt-species-dilution-info": "", "FlowCyt-species-notes": "<p></p>", "IP-species-checked": "notRecommended", "IP-species-dilution-info": "", "IP-species-notes": "<p></p>" }, "Mouse": { "WB-species-checked": "testedAndGuaranteed", "WB-species-dilution-info": "", "WB-species-notes": "<p></p>", "IHCP-species-checked": "notRecommended", "IHCP-species-dilution-info": "", "IHCP-species-notes": "<p></p>", "FlowCyt-species-checked": "notRecommended", "FlowCyt-species-dilution-info": "", "FlowCyt-species-notes": "<p></p>", "IP-species-checked": "notRecommended", "IP-species-dilution-info": "", "IP-species-notes": "<p></p>" }, "Rat": { "WB-species-checked": "testedAndGuaranteed", "WB-species-dilution-info": "", "WB-species-notes": "<p></p>", "IHCP-species-checked": "notRecommended", "IHCP-species-dilution-info": "", "IHCP-species-notes": "<p></p>", "FlowCyt-species-checked": "notRecommended", "FlowCyt-species-dilution-info": "", "FlowCyt-species-notes": "", "IP-species-checked": "notRecommended", "IP-species-dilution-info": "", "IP-species-notes": "" } } }

Product details

Conjugation ready
Our carrier-free antibodies are typically supplied in a PBS-only formulation, purified and free of BSA, sodium azide and glycerol. This conjugation-ready format is designed for use with fluorochromes, metal isotopes, oligonucleotides, and enzymes, which makes them ideal for antibody labelling, functional and cell-based assays, flow-based assays (e.g. mass cytometry) and Multiplex Imaging applications.

Use our conjugation kits for antibody conjugates that are ready-to-use in as little as 20 minutes with 1 minute hands-on-time and 100% antibody recovery: available for fluorescent dyes, HRP, biotin and gold.

Compatibility
This product is compatible with the Maxpar® Antibody Labeling Kit from Fluidigm, without the need for antibody preparation. Maxpar® is a trademark of Fluidigm Canada Inc.

Patented technology
Our RabMAb® technology is a patented hybridoma-based technology for making rabbit monoclonal antibodies. For details on our patents, please refer to RabMAb® patents.

What are the advantages of a recombinant monoclonal antibody?
This product is a recombinant monoclonal antibody, which offers several advantages including:

  • - High batch-to-batch consistency and reproducibility
  • - Improved sensitivity and specificity
  • - Long-term security of supply
  • - Animal-free batch production

For more information, read more on recombinant antibodies.

Properties and storage information

Form
Liquid
Purification technique
Affinity purification Protein A
Storage buffer
pH: 7.2 - 7.4 Constituents: PBS
Shipped at conditions
Blue Ice
Appropriate short-term storage conditions
+4°C
Appropriate long-term storage conditions
+4°C
Storage information
Do Not Freeze

Supplementary information

This supplementary information is collated from multiple sources and compiled automatically.

The VLDL Receptor also known as VLDL-R mediates the uptake of very low-density lipoproteins (VLDLs) into cells. This receptor has a molecular mass of approximately 104 kDa. It is structurally similar to the low-density lipoprotein (LDL) receptor and binds to apolipoprotein E-containing lipoproteins. VLDL-R expresses in several tissues including heart skeletal muscle and adipose tissue. Its distribution suggests an important role in lipid metabolism for energy production and storage.
Biological function summary

VLDL-R significantly influences lipid and lipoprotein metabolism by facilitating the endocytosis of triglyceride-rich particles. It functions within the larger receptor family known as the LDL receptor family. VLDL-R plays an important role in cellular lipid uptake and the subsequent supply of fatty acids which are necessary for various metabolic processes. This receptor does not function as part of a protein complex but its interactions with other proteins can alter its activity and the cell's metabolic state.

Pathways

This receptor influences lipid metabolism and energy homeostasis pathways. It directly impacts the lipid biosynthetic pathway by mediating the cellular uptake of lipid components necessary for these processes. The receptor interacts with proteins like apolipoprotein B and E which regulate lipoprotein assembly and clearance. In this pathway VLDL-R works conjunctionally with the LDL receptor to maintain lipid balance within the body.

VLDL-R relates to metabolic syndrome and obesity. Abnormalities in VLDL-R function can lead to dyslipidemia a risk factor for these conditions due to the mishandling of lipid uptake. This association connects VLDL-R to apolipoprotein E and B whose mutations can also contribute to these metabolic disorders. Understanding how VLDL-R operates in these contexts may provide insight into therapeutic targets for these widespread health issues.

Product protocols

For this product, it's our understanding that no specific protocols are required. You can visit:

Target data

Multifunctional cell surface receptor that binds VLDL and transports it into cells by endocytosis and therefore plays an important role in energy metabolism. Binds also to a wide range of other molecules including Reelin/RELN or apolipoprotein E/APOE-containing ligands as well as clusterin/CLU (PubMed : 24381170, PubMed : 30873003). In the off-state of the pathway, forms homooligomers or heterooligomers with LRP8 (PubMed : 30873003). Upon binding to ligands, homooligomers are rearranged to higher order receptor clusters that transmit the extracellular RELN signal to intracellular signaling processes by binding to DAB1 (PubMed : 30873003). This interaction results in phosphorylation of DAB1 leading to the ultimate cell responses required for the correct positioning of newly generated neurons. Later, mediates a stop signal for migrating neurons, preventing them from entering the marginal zone (By similarity).. (Microbial infection) Acts as a receptor for Semliki Forest virus.
See full target information VLDLR

Product promise

We are committed to supporting your work with high-quality reagents, and we're here for you every step of the way. In the unlikely event that one of our products does not perform as expected, you're protected by our Product Promise.
For full details, please see our Terms & Conditions

Please note: All products are 'FOR RESEARCH USE ONLY. NOT FOR USE IN DIAGNOSTIC OR THERAPEUTIC PROCEDURES'.

For licensing inquiries, please contact partnerships@abcam.com