JavaScript is disabled in your browser. Please enable JavaScript to view this website.
AB259970

Anti-VMAT2 antibody [EPR24197-51]

  • BOND RX™ Validated
  • 20ul selling size
  • RabMAb
  • Recombinant
  • What is this?

Be the first to review this product! Submit a review

|

(2 Publications)

Rabbit Recombinant Monoclonal VMAT2 antibody. Suitable for IP, WB, ICC/IF, IHC-P and reacts with Mouse, Rat samples. Cited in 2 publications.

View Alternative Names

Vmat2, Slc18a2, Synaptic vesicular amine transporter, Monoamine transporter, Solute carrier family 18 member 2, Vesicular amine transporter 2, Vesicular monoamine transporter 2, VAT2

13 Images
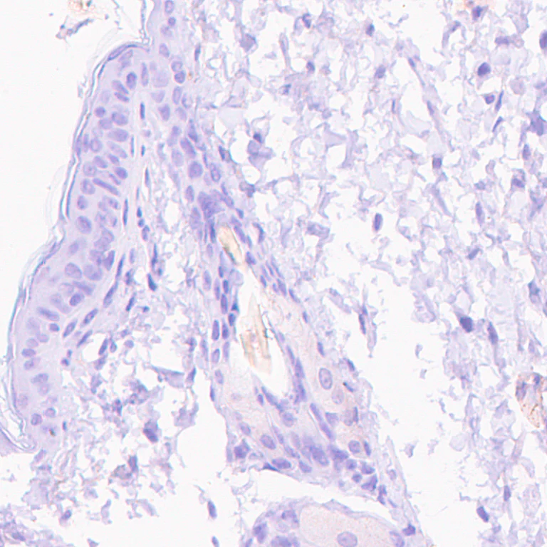
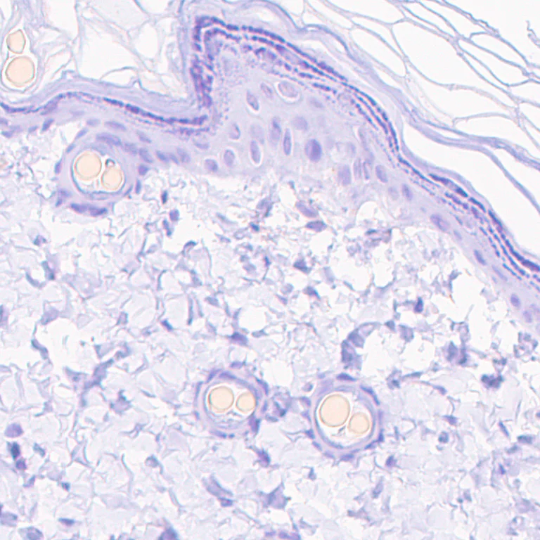
Immunohistochemistry (Formalin/PFA-fixed paraffin-embedded sections) - Anti-VMAT2 antibody [EPR24197-51] (AB259970)
  • IHC-P

Supplier Data

Immunohistochemistry (Formalin/PFA-fixed paraffin-embedded sections) - Anti-VMAT2 antibody [EPR24197-51] (AB259970)

Immunohistochemical analysis of paraffin-embedded Mouse skin tissue labeling VMAT2 with ab259970 at 1/1000 dilution followed by a ready to use Rabbit specific IHC polymer detection kit HRP/DAB (ab209101). Negative control : almost no staining on mouse skin.The section was incubated with ab259970 for 30 minutes at room temperature.The immunostaining was performed on a Leica Biosystems BOND® RX instrument Counterstained with Hematoxylin.

Secondary antibody only control : Secondary antibody is a ready to use Rabbit specific IHC polymer detection kit HRP/DAB (ab209101).

Heat mediated antigen retrieval with Tris-EDTA buffer (pH 9.0, epitope retrieval solution2) for 20 minutes.

Immunohistochemistry (Formalin/PFA-fixed paraffin-embedded sections) - Anti-VMAT2 antibody [EPR24197-51] (AB259970)
  • IHC-P

Supplier Data

Immunohistochemistry (Formalin/PFA-fixed paraffin-embedded sections) - Anti-VMAT2 antibody [EPR24197-51] (AB259970)

Immunohistochemical analysis of paraffin-embedded Rat skin tissue labeling VMAT2 with ab259970 at 1/1000 dilution followed by a ready to use Rabbit specific IHC polymer detection kit HRP/DAB (ab209101). Negative control : almost no staining on rat skin. The section was incubated with ab259970 for 30 minutes at room temperature. The immunostaining was performed on a Leica Biosystems BOND® RX instrument Counterstained with Hematoxylin.

Secondary antibody only control : Secondary antibody is a ready to use Rabbit specific IHC polymer detection kit HRP/DAB (ab209101).

Heat mediated antigen retrieval with Tris-EDTA buffer (pH 9.0, epitope retrieval solution2) for 20 minutes.

Immunohistochemistry (Formalin/PFA-fixed paraffin-embedded sections) - Anti-VMAT2 antibody [EPR24197-51] (AB259970)
  • IHC-P

Supplier Data

Immunohistochemistry (Formalin/PFA-fixed paraffin-embedded sections) - Anti-VMAT2 antibody [EPR24197-51] (AB259970)

Immunohistochemical analysis of paraffin-embedded Mouse cerebrum tissue labeling VMAT2 with ab259970 at 1/1000 dilution followed by a ready to use Rabbit specific IHC polymer detection kit HRP/DAB (ab209101). Positive staining on mouse cerebrum (PMID : 27836486). The section was incubated with ab259970 for 30 mins at room temperature. The immunostaining was performed on a Leica Biosystems BOND® RX instrument Counterstained with Hematoxylin.

Secondary antibody only control : Secondary antibody is a ready to use Rabbit specific IHC polymer detection kit HRP/DAB (ab209101).

Heat mediated antigen retrieval with Tris-EDTA buffer (pH 9.0, epitope retrieval solution2) for 20 mins

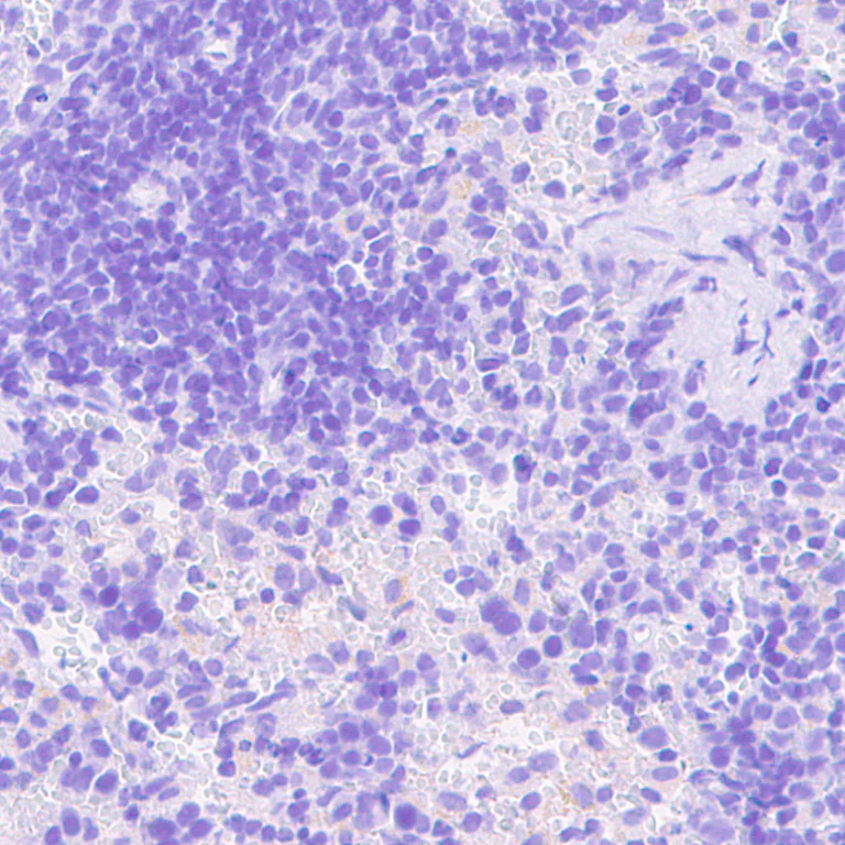
Immunohistochemistry (Formalin/PFA-fixed paraffin-embedded sections) - Anti-VMAT2 antibody [EPR24197-51] (AB259970)
  • IHC-P

Supplier Data

Immunohistochemistry (Formalin/PFA-fixed paraffin-embedded sections) - Anti-VMAT2 antibody [EPR24197-51] (AB259970)

Immunohistochemical analysis of paraffin-embedded Mouse spleen tissue labeling VMAT2 with ab259970 at 1/1000 dilution followed by a ready to use Rabbit specific IHC polymer detection kit HRP/DAB (ab209101). Negative control : almost no staining on mouse spleen.The section was incubated with ab259970 for 30 minutes at room temperature.The immunostaining was performed on a Leica Biosystems BOND® RX instrument Counterstained with Hematoxylin.

Secondary antibody only control : Secondary antibody is a ready to use Rabbit specific IHC polymer detection kit HRP/DAB (ab209101).

Heat mediated antigen retrieval with Tris-EDTA buffer (pH 9.0, epitope retrieval solution2) for 20 minutes.

Immunohistochemistry (Formalin/PFA-fixed paraffin-embedded sections) - Anti-VMAT2 antibody [EPR24197-51] (AB259970)
  • IHC-P

Supplier Data

Immunohistochemistry (Formalin/PFA-fixed paraffin-embedded sections) - Anti-VMAT2 antibody [EPR24197-51] (AB259970)

Immunohistochemical analysis of paraffin-embedded Mouse cerebrum tissue labeling VMAT2 with ab259970 at 1/1000 dilution followed by a ready to use Rabbit specific IHC polymer detection kit HRP/DAB (ab209101). Positive staining on mouse cerebrum (PMID : 27836486). The section was incubated with ab259970 for 30 mins at room temperature. The immunostaining was performed on a Leica Biosystems BOND® RX instrument Counterstained with Hematoxylin.

Secondary antibody only control : Secondary antibody is a ready to use Rabbit specific IHC polymer detection kit HRP/DAB (ab209101).

Heat mediated antigen retrieval with Tris-EDTA buffer (pH 9.0, epitope retrieval solution2) for 20 mins

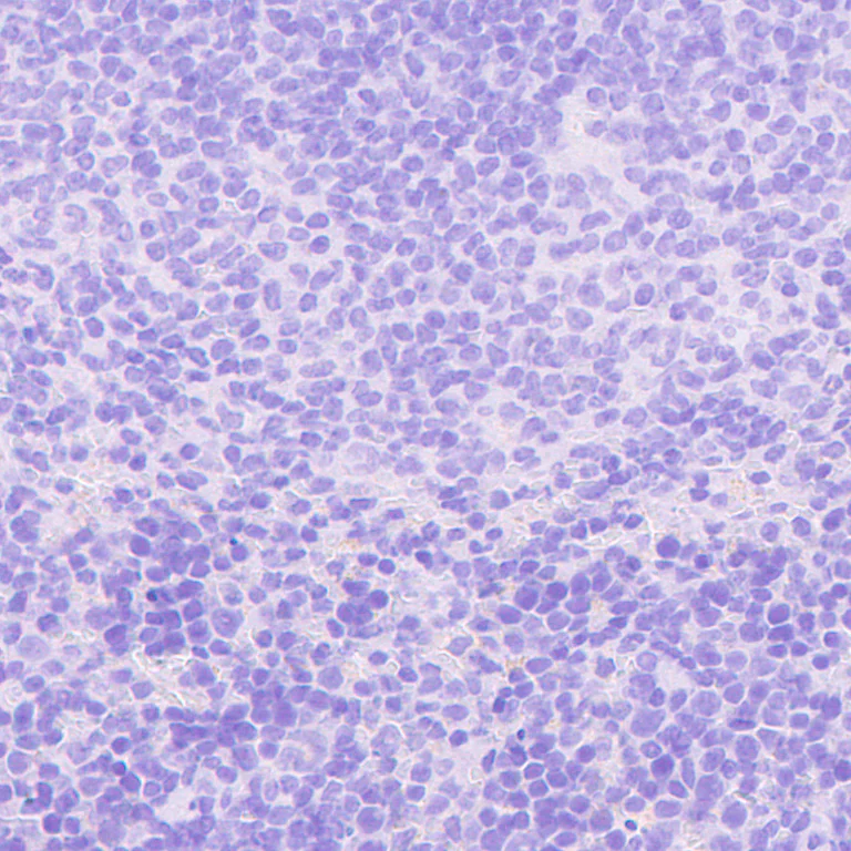
Immunohistochemistry (Formalin/PFA-fixed paraffin-embedded sections) - Anti-VMAT2 antibody [EPR24197-51] (AB259970)
  • IHC-P

Supplier Data

Immunohistochemistry (Formalin/PFA-fixed paraffin-embedded sections) - Anti-VMAT2 antibody [EPR24197-51] (AB259970)

Immunohistochemical analysis of paraffin-embedded Rat cerebrum tissue labeling VMAT2 with ab259970 at 1/1000 dilution followed by a ready to use Rabbit specific IHC polymer detection kit HRP/DAB (ab209101). Positive staining on rat cerebrum. The section was incubated with ab259970 for 30 mins at room temperature. The immunostaining was performed on a Leica Biosystems BOND® RX instrument Counterstained with Hematoxylin.

Secondary antibody only control : Secondary antibody is a ready to use Rabbit specific IHC polymer detection kit HRP/DAB (ab209101).

Heat mediated antigen retrieval with Tris-EDTA buffer (pH 9.0, epitope retrieval solution 2) for 20 minutes.

Immunohistochemistry (Formalin/PFA-fixed paraffin-embedded sections) - Anti-VMAT2 antibody [EPR24197-51] (AB259970)
  • IHC-P

Supplier Data

Immunohistochemistry (Formalin/PFA-fixed paraffin-embedded sections) - Anti-VMAT2 antibody [EPR24197-51] (AB259970)

Immunohistochemical analysis of paraffin-embedded Rat spleen tissue labeling VMAT2 with ab259970 at 1/1000 dilution followed by a ready to use Rabbit specific IHC polymer detection kit HRP/DAB (ab209101). Negative control : almost no staining on rat spleen. The section was incubated with ab259970 for 30 minutes at room temperature. The immunostaining was performed on a Leica Biosystems BOND® RX instrument Counterstained with Hematoxylin.

Secondary antibody only control : Secondary antibody is a ready to use Rabbit specific IHC polymer detection kit HRP/DAB (ab209101).

Heat mediated antigen retrieval with Tris-EDTA buffer (pH 9.0, epitope retrieval solution2) for 20 minutes.

Immunocytochemistry/ Immunofluorescence - Anti-VMAT2 antibody [EPR24197-51] (AB259970)
  • ICC/IF

Supplier Data

Immunocytochemistry/ Immunofluorescence - Anti-VMAT2 antibody [EPR24197-51] (AB259970)

Immunofluorescence staining of VMAT2 using ab259970 in primary hippocampal rat neurons/glia, (obtained from Neuromics, cat. no. PC35101), DIV14. The cells were fixed with 4% formaldehyde (10 min), permeabilized with 0.1% PBS-Tween for 5 mins and then blocked with 1% BSA/10% normal goat serum/0.3M glycine in 0.1% PBS-Tween for 1h. The cells were then incubated overnight at +4°C with ab259970 at 1 μg/ml and ab7291, Mouse monoclonal [DM1A] to alpha Tubulin, at 1/1000 dilution. Cells were then incubated with ab150081, Goat Anti-Rabbit IgG H&L (Alexa Fluor® 488) preadsorbed at 1/1000 dilution (shown in green) and ab150120, Goat Anti-Mouse IgG H&L (Alexa Fluor® 594) preadsorbed at 1/1000 dilution (shown in red). Nuclear DNA was labelled with DAPI (shown in blue).

Images were acquired with the Perkin Elmer Operetta HCA and a maximum intensity projection of confocal sections is shown.

Immunocytochemistry/ Immunofluorescence - Anti-VMAT2 antibody [EPR24197-51] (AB259970)
  • ICC/IF

Supplier Data

Immunocytochemistry/ Immunofluorescence - Anti-VMAT2 antibody [EPR24197-51] (AB259970)

Immunofluorescence staining of VMAT2 using ab259970 in primary hippocampal rat neurons/glia, (obtained from Neuromics, cat. no. PC35101), DIV14. The cells were fixed with 100% methanol (5 min), permeabilized with 0.1% PBS-Tween for 5 mins and then blocked with 1% BSA/10% normal goat serum/0.3M glycine in 0.1% PBS-Tween for 1h. The cells were then incubated overnight at +4°C with ab259970 at 1 μg/ml and ab7291, Mouse monoclonal [DM1A] to alpha Tubulin, at 1/1000 dilution. Cells were then incubated with ab150081, Goat Anti-Rabbit IgG H&L (Alexa Fluor® 488) preadsorbed at 1/1000 dilution (shown in green) and ab150120, Goat Anti-Mouse IgG H&L (Alexa Fluor® 594) preadsorbed at 1/1000 dilution (shown in red). Nuclear DNA was labelled with DAPI (shown in blue).

Images were acquired with the Perkin Elmer Operetta HCA and a maximum intensity projection of confocal sections is shown.

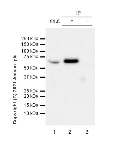
Immunoprecipitation - Anti-VMAT2 antibody [EPR24197-51] (AB259970)
  • IP

Supplier Data

Immunoprecipitation - Anti-VMAT2 antibody [EPR24197-51] (AB259970)

VMAT2 was immunoprecipitated from 0.35 mg Rat brain tissue lysate 10 ug with ab259970 at 1/30 dilution (2ug in 0.35mg lysates). Western blot was performed on the immunoprecipitate using ab259970 at 1/1000 dilution. VeriBlot for IP Detection Reagent (HRP)(ab131366) was used at 1/5000 dilution.

Lane 1 : Rat brain tissue lysate 10 ug

Lane 2 : ab259970 IP in Rat brain tissue lysate

Lane 3 : Rabbit monoclonal IgG (ab172730) instead of ab259970 in Rat brain tissue lysate

Blocking and dilution buffer and concentration : 5% NFDM/TBST.

Exposure time : 10 seconds

Input sample is non-boiled as boiling may cause protein aggregates.

All lanes:

Immunoprecipitation - Anti-VMAT2 antibody [EPR24197-51] (ab259970)

Predicted band size: 56 kDa

Observed band size: 55 kDa

false

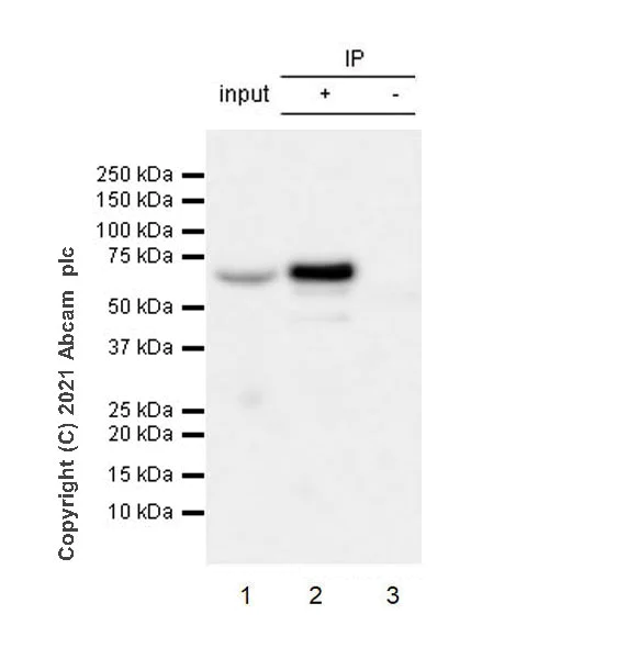
Immunoprecipitation - Anti-VMAT2 antibody [EPR24197-51] (AB259970)
  • IP

Supplier Data

Immunoprecipitation - Anti-VMAT2 antibody [EPR24197-51] (AB259970)

VMAT2 was immunoprecipitated from 0.35 mg Mouse brain tissue lysate 10 ug with ab259970 at 1/30 dilution (2ug in 0.35mg lysates). Western blot was performed on the immunoprecipitate using ab259970 at 1/1000 dilution. VeriBlot for IP Detection Reagent (HRP)(ab131366) was used at 1/5000 dilution.

Lane 1 : Mouse brain tissue lysate 10 ug

Lane 2 : ab259970 IP in Mouse brain tissue lysate

Lane 3 : Rabbit monoclonal IgG (ab172730) instead of ab259970 in Mouse brain tissue lysate

Blocking and dilution buffer and concentration : 5% NFDM/TBST.

Exposure time : 10 seconds

Input sample is non-boiled as boiling may cause protein aggregates.

All lanes:

Immunoprecipitation - Anti-VMAT2 antibody [EPR24197-51] (ab259970)

Predicted band size: 56 kDa

Observed band size: 55 kDa

false

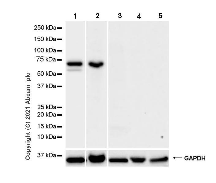
Western blot - Anti-VMAT2 antibody [EPR24197-51] (AB259970)
  • WB

Lab

Western blot - Anti-VMAT2 antibody [EPR24197-51] (AB259970)

Blocking and diluting buffer and concentration : 5% NFDM/TBST

Samples are non-boiled as boiling may cause protein aggregates.

This protein is specifically expressed in CNS.

Exposure time : 48 seconds

All lanes:

Western blot - Anti-VMAT2 antibody [EPR24197-51] (ab259970) at 1/1000 dilution

Lane 1:

Mouse brain tissue lysate at 20 µg

Lane 2:

Mouse hippocampus tissue lysate at 20 µg

Lane 3:

Mouse spleen tissue lysate at 20 µg

Lane 4:

Mouse skin tissue lysate at 20 µg

Lane 5:

Mouse thyroid tissue lysate at 20 µg

Secondary

All lanes:

Western blot - Goat Anti-Rabbit IgG H&L (HRP) (<a href='/en-us/products/secondary-antibodies/goat-rabbit-igg-h-l-hrp-ab97051'>ab97051</a>) at 1/100000 dilution

Predicted band size: 56 kDa

Observed band size: 55 kDa

false

Western blot - Anti-VMAT2 antibody [EPR24197-51] (AB259970)
  • WB

Lab

Western blot - Anti-VMAT2 antibody [EPR24197-51] (AB259970)

Blocking and diluting buffer and concentration : 5% NFDM/TBST

Samples are non-boiled as boiling may cause protein aggregates.

This protein is specifically expressed in CNS.

Exposure time : Lane 1 : 29 seconds

Lane 2-5 : 59 seconds

All lanes:

Western blot - Anti-VMAT2 antibody [EPR24197-51] (ab259970) at 1/1000 dilution

Lane 1:

Rat brain tissue lysate at 20 µg

Lane 2:

Rat hippocampus tissue lysate at 20 µg

Lane 3:

Rat spleen tissue lysate at 20 µg

Lane 4:

Rat skin tissue lysate at 20 µg

Lane 5:

Rat thyroid tissue lysate at 20 µg

Secondary

All lanes:

Western blot - Goat Anti-Rabbit IgG H&L (HRP) (<a href='/en-us/products/secondary-antibodies/goat-rabbit-igg-h-l-hrp-ab97051'>ab97051</a>) at 1/100000 dilution

Predicted band size: 56 kDa

Observed band size: 55 kDa

false

  • Carrier free

    Anti-VMAT2 antibody [EPR24197-51] - BSA and Azide free

Key facts

Host species

Rabbit

Clonality

Monoclonal

Clone number

EPR24197-51

Isotype

IgG

Carrier free

No

Reacts with

Mouse, Rat

Applications

ICC/IF, WB, IP, IHC-P

applications

Immunogen

The exact immunogen used to generate this antibody is proprietary information.

Reactivity data

{ "title": "Reactivity Data", "filters": { "stats": ["", "Species", "Dilution Info", "Notes"], "tabs": { "all-applications": {"fullname" : "All Applications", "shortname": "All Applications"}, "IP" : {"fullname" : "Immunoprecipitation", "shortname":"IP"}, "WB" : {"fullname" : "Western blot", "shortname":"WB"}, "ICCIF" : {"fullname" : "Immunocytochemistry/ Immunofluorescence", "shortname":"ICC/IF"}, "FlowCytIntra" : {"fullname" : "Flow Cytometry (Intracellular)", "shortname":"Flow Cyt (Intra)"}, "IHCP" : {"fullname" : "Immunohistochemistry (Formalin/PFA-fixed paraffin-embedded sections)", "shortname":"IHC-P"} }, "product-promise": { "all": "all", "testedAndGuaranteed": "tested", "guaranteed": "expected", "predicted": "predicted", "notRecommended": "not-recommended" } }, "values": { "Human": { "IP-species-checked": "notRecommended", "IP-species-dilution-info": "", "IP-species-notes": "", "WB-species-checked": "notRecommended", "WB-species-dilution-info": "1/1000", "WB-species-notes": "<p></p>", "ICCIF-species-checked": "notRecommended", "ICCIF-species-dilution-info": "", "ICCIF-species-notes": "", "FlowCytIntra-species-checked": "notRecommended", "FlowCytIntra-species-dilution-info": "", "FlowCytIntra-species-notes": "", "IHCP-species-checked": "notRecommended", "IHCP-species-dilution-info": "1/1000", "IHCP-species-notes": "<p></p>" }, "Mouse": { "IP-species-checked": "testedAndGuaranteed", "IP-species-dilution-info": "1/30", "IP-species-notes": "<p></p>", "WB-species-checked": "testedAndGuaranteed", "WB-species-dilution-info": "1/1000", "WB-species-notes": "<p></p>", "ICCIF-species-checked": "notRecommended", "ICCIF-species-dilution-info": "1 µg/mL", "ICCIF-species-notes": "<p></p>", "FlowCytIntra-species-checked": "notRecommended", "FlowCytIntra-species-dilution-info": "", "FlowCytIntra-species-notes": "<p></p>", "IHCP-species-checked": "testedAndGuaranteed", "IHCP-species-dilution-info": "1/1000", "IHCP-species-notes": "<p></p>" }, "Rat": { "IP-species-checked": "testedAndGuaranteed", "IP-species-dilution-info": "1/30", "IP-species-notes": "<p></p>", "WB-species-checked": "testedAndGuaranteed", "WB-species-dilution-info": "1/1000", "WB-species-notes": "<p></p>", "ICCIF-species-checked": "testedAndGuaranteed", "ICCIF-species-dilution-info": "1 µg/mL", "ICCIF-species-notes": "<p></p>", "FlowCytIntra-species-checked": "notRecommended", "FlowCytIntra-species-dilution-info": "", "FlowCytIntra-species-notes": "<p></p>", "IHCP-species-checked": "testedAndGuaranteed", "IHCP-species-dilution-info": "1/1000", "IHCP-species-notes": "<p></p>" } } }

Product details

Patented technology
Our RabMAb® technology is a patented hybridoma-based technology for making rabbit monoclonal antibodies. For details on our patents, please refer to RabMAb® patents.

What are the advantages of a recombinant monoclonal antibody?
This product is a recombinant monoclonal antibody, which offers several advantages including:

  • - High batch-to-batch consistency and reproducibility
  • - Improved sensitivity and specificity
  • - Long-term security of supply
  • - Animal-free batch production

For more information, read more on recombinant antibodies.

Properties and storage information

Form
Liquid
Purification technique
Affinity purification Protein A
Storage buffer
Preservative: 0.01% Sodium azide Constituents: PBS, 40% Glycerol (glycerin, glycerine), 0.05% BSA
Shipped at conditions
Blue Ice
Appropriate short-term storage duration
1-2 weeks
Appropriate short-term storage conditions
+4°C
Appropriate long-term storage conditions
-20°C
Aliquoting information
Upon delivery aliquot
Storage information
Avoid freeze / thaw cycle

Supplementary information

This supplementary information is collated from multiple sources and compiled automatically.

The vesicular monoamine transporter 2 (VMAT2) also known as SLC18A2 is a protein that is important for transporting neurotransmitters like dopamine serotonin norepinephrine and histamine into synaptic vesicles. VMAT2 has a mass of approximately 70 kDa and is mainly found in the brain where it is expressed in neurons. Its activity relies on the proton gradient across the vesicular membrane enabling it to concentrate neurotransmitters in vesicles for release into the synaptic cleft.
Biological function summary

VMAT2 handles the packaging and storage of important monoamine neurotransmitters which play a role in mood regulation cognition and movement. Although VMAT2 acts independently it is important for the functioning of neurotransmitter transport and release. By storing neurotransmitters into vesicles VMAT2 ensures that neurons can quickly release them into the synapse when needed supporting efficient neural signaling.

Pathways

VMAT2 plays an important role in the dopamine and serotonin systems. In the dopamine pathway VMAT2 stores dopamine into vesicles which are then released during neurotransmission. It works closely with the dopamine transporter DAT which reuptakes dopamine from the synaptic cleft back into neurons. Similarly in the serotonin pathway VMAT2 collaborates with the serotonin transporter SERT. These relationships emphasize VMAT2's central position in modulating neurotransmitter signaling linking it to mood and motor control regulation.

VMAT2 has a notable link to neurological and psychiatric conditions. Parkinson's disease characterized by the loss of dopaminergic neurons shows disrupted VMAT2 function affecting dopamine storage and release. In depression altered monoamine neurotransmitter levels including serotonin and dopamine involve VMAT2 dysfunction. The protein is not only connected to these diseases through its own function but also through its interactions with DAT and SERT which are key players in these disorders.

Product protocols

For this product, it's our understanding that no specific protocols are required. You can visit:

Target data

Electrogenic antiporter that exchanges one cationic monoamine with two intravesicular protons across the membrane of secretory and synaptic vesicles. Uses the electrochemical proton gradient established by the V-type proton-pump ATPase to accumulate high concentrations of monoamines inside the vesicles prior to their release via exocytosis. Transports a variety of catecholamines such as dopamine, adrenaline and noradrenaline, histamine, and indolamines such as serotonin (By similarity) (PubMed : 10618388). Regulates the transvesicular monoaminergic gradient that determines the quantal size. Mediates somatodendritic dopamine release in hippocampal neurons, likely as part of a regulated secretory pathway that integrates retrograde synaptic signals (By similarity). Acts as a primary transporter for striatal dopamine loading ensuring impulse-dependent release of dopamine at the synaptic cleft (PubMed : 9427251). Responsible for histamine and serotonin storage and subsequent corelease from mast cell granules (By similarity) (PubMed : 10618388).
See full target information Slc18a2

Publications (2)

Recent publications for all applications. Explore the full list and refine your search

Science advances 11:eado4927 PubMed39813330

2025

A nanoparticle-based wireless deep brain stimulation system that reverses Parkinson's disease.

Applications

Unspecified application

Species

Unspecified reactive species

Junguang Wu,Xuejing Cui,Lin Bao,Guanyu Liu,Xiaoyu Wang,Chunying Chen

Nature communications 15:2039 PubMed38448420

2024

An artificial protein modulator reprogramming neuronal protein functions.

Applications

Unspecified application

Species

Unspecified reactive species

Peihua Lin,Bo Zhang,Hongli Yang,Shengfei Yang,Pengpeng Xue,Ying Chen,Shiyi Yu,Jichao Zhang,Yixiao Zhang,Liwei Chen,Chunhai Fan,Fangyuan Li,Daishun Ling
View all publications

Product promise

We are committed to supporting your work with high-quality reagents, and we're here for you every step of the way. In the unlikely event that one of our products does not perform as expected, you're protected by our Product Promise.
For full details, please see our Terms & Conditions

Please note: All products are 'FOR RESEARCH USE ONLY. NOT FOR USE IN DIAGNOSTIC OR THERAPEUTIC PROCEDURES'.

For licensing inquiries, please contact partnerships@abcam.com