JavaScript is disabled in your browser. Please enable JavaScript to view this website.
AB216659

Anti-Von Willebrand Factor antibody

Be the first to review this product! Submit a review

|

(1 Publication)

Rabbit Polyclonal Von Willebrand Factor antibody. Suitable for IHC-P and reacts with Human samples. Cited in 1 publication. Immunogen corresponding to Synthetic Peptide within Human VWF aa 1700-1750 conjugated to Keyhole Limpet Haemocyanin.

View Alternative Names

F8VWF, VWF, von Willebrand factor, vWF

1 Images
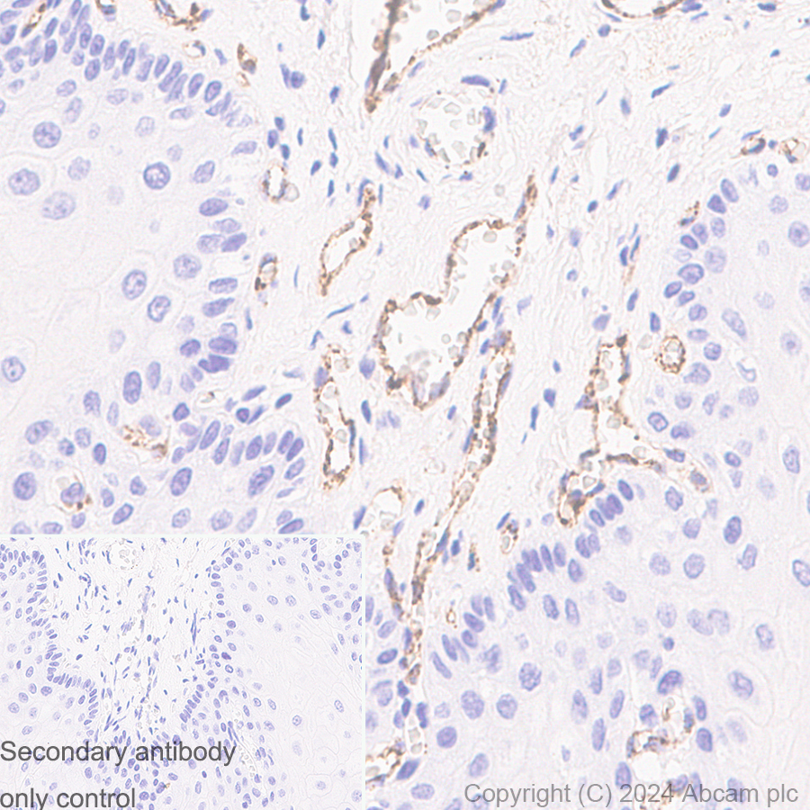
Immunohistochemistry (Formalin/PFA-fixed paraffin-embedded sections) - Anti-Von Willebrand Factor antibody (AB216659)
  • IHC-P

Supplier Data

Immunohistochemistry (Formalin/PFA-fixed paraffin-embedded sections) - Anti-Von Willebrand Factor antibody (AB216659)

Immunohistochemical analysis of formalin-fixed, paraffin-embedded human colon carcinoma tissue labeling Von Willebrand Factor with ab216659 at 1/200 dilution overnight at 4°C, followed by Goat anti-rabbit IgG, Cy3 conjugated at 1/200 dilution for 40 minutes at 37°C.

Key facts

Host species

Rabbit

Clonality

Polyclonal

Isotype

IgG

Carrier free

No

Reacts with

Human

Applications

IHC-P

applications

Immunogen

Synthetic Peptide within Human VWF aa 1700-1750 conjugated to Keyhole Limpet Haemocyanin. The exact immunogen used to generate this antibody is proprietary information.

P04275

Reactivity data

{ "title": "Reactivity Data", "filters": { "stats": ["", "Species", "Dilution Info", "Notes"], "tabs": { "all-applications": {"fullname" : "All Applications", "shortname": "All Applications"}, "IHCP" : {"fullname" : "Immunohistochemistry (Formalin/PFA-fixed paraffin-embedded sections)", "shortname":"IHC-P"} }, "product-promise": { "all": "all", "testedAndGuaranteed": "tested", "guaranteed": "expected", "predicted": "predicted", "notRecommended": "not-recommended" } }, "values": { "Human": { "IHCP-species-checked": "testedAndGuaranteed", "IHCP-species-dilution-info": "1/50 - 1/200", "IHCP-species-notes": "<p>(using a fluorescent secondary antibody).</p>" }, "Mouse": { "IHCP-species-checked": "predicted", "IHCP-species-dilution-info": "", "IHCP-species-notes": "" }, "Rat": { "IHCP-species-checked": "predicted", "IHCP-species-dilution-info": "", "IHCP-species-notes": "" } } }

Properties and storage information

Form
Liquid
Purification technique
Affinity purification Protein A
Storage buffer
pH: 7.4 Preservative: 0.02% Proclin 300 Constituents: 50% Glycerol (glycerin, glycerine), 48.98% TBS, 1X, 1% BSA
Shipped at conditions
Blue Ice
Appropriate short-term storage duration
1-2 weeks
Appropriate short-term storage conditions
+4°C
Appropriate long-term storage conditions
-20°C
Aliquoting information
Upon delivery aliquot
Storage information
Avoid freeze / thaw cycle

Product protocols

For this product, it's our understanding that no specific protocols are required. You can visit:

Target data

The protein expressed by the gene VWF is important for maintaining hemostasis. It promotes platelet adhesion at sites of vascular injury by forming a molecular bridge between the sub-endothelial collagen matrix and the platelet-surface receptor complex GPIb-IX-V. Additionally, it acts as a chaperone for coagulation factor VIII, delivering it to the injury site, stabilizing its heterodimeric structure, and protecting it from premature clearance from plasma. This supplementary information is collated from multiple sources and compiled automatically.
See full target information VWF

Publications (1)

Recent publications for all applications. Explore the full list and refine your search

Proceedings of the National Academy of Sciences of 112:E1861-70 PubMed25825735

2015

Islet 1 specifies the identity of hypothalamic melanocortin neurons and is critical for normal food intake and adiposity in adulthood.

Applications

Unspecified application

Species

Unspecified reactive species

Sofia Nasif,Flavio S J de Souza,Laura E González,Miho Yamashita,Daniela P Orquera,Malcolm J Low,Marcelo Rubinstein
View all publications

Product promise

We are committed to supporting your work with high-quality reagents, and we're here for you every step of the way. In the unlikely event that one of our products does not perform as expected, you're protected by our Product Promise.
For full details, please see our Terms & Conditions

Please note: All products are 'FOR RESEARCH USE ONLY. NOT FOR USE IN DIAGNOSTIC OR THERAPEUTIC PROCEDURES'.

For licensing inquiries, please contact partnerships@abcam.com