JavaScript is disabled in your browser. Please enable JavaScript to view this website.
AB240177

Anti-Von Willebrand Factor antibody [EPR12011] - BSA and Azide free

Be the first to review this product! Submit a review

|

(2 Publications)

Rabbit Recombinant Monoclonal Von Willebrand Factor antibody. Carrier free. Suitable for WB, IHC-P and reacts with Human, Mouse, Rat samples. Cited in 2 publications.

View Alternative Names

F8VWF, VWF, von Willebrand factor, vWF

6 Images
Immunohistochemistry (Formalin/PFA-fixed paraffin-embedded sections) - Anti-Von Willebrand Factor antibody [EPR12011] - BSA and Azide free (AB240177)
  • IHC-P

Lab

Immunohistochemistry (Formalin/PFA-fixed paraffin-embedded sections) - Anti-Von Willebrand Factor antibody [EPR12011] - BSA and Azide free (AB240177)

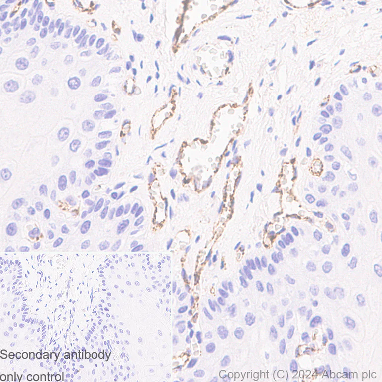
Immunohistochemical analysis of paraffin-embedded human esophagus labeling Von Willebrand Factor with ab174290 at 1/10000 dilution, incubated with ab174290 for 30 mins at room temperature; followed by Goat Anti-Rabbit IgG H&L (HRP) Ready to use. Sections were counterstained with Hematoxylin. Antigen retrieval was heat mediated with Tris-EDTA buffer (pH 9.0, Epitope Retrieval Solution2) for 20 mins. Positive staining on the vessels in human esophagus. The immunostaining was performed on a Leica Biosystems BOND® RX instrument. Secondary antibody only control : Used PBS instead of primary antibody, secondary antibody is Goat Anti-Rabbit IgG H&L (HRP) Ready to use. This data was developed using ab174290, the same antibody clone in a different buffer formulation.

Immunohistochemistry (Formalin/PFA-fixed paraffin-embedded sections) - Anti-Von Willebrand Factor antibody [EPR12011] - BSA and Azide free (AB240177)
  • IHC-P

Lab

Immunohistochemistry (Formalin/PFA-fixed paraffin-embedded sections) - Anti-Von Willebrand Factor antibody [EPR12011] - BSA and Azide free (AB240177)

Immunohistochemical analysis of paraffin-embedded human tonsil labeling Von Willebrand Factor with ab174290 at 1/10000 dilution, incubated with ab174290 for 30 mins at room temperature; followed by Goat Anti-Rabbit IgG H&L (HRP) Ready to use. Sections were counterstained with Hematoxylin. Antigen retrieval was heat mediated with Tris-EDTA buffer (pH 9.0, Epitope Retrieval Solution2) for 20 mins. Positive staining on the vessels in human tonsil. The immunostaining was performed on a Leica Biosystems BOND® RX instrument. Secondary antibody only control : Used PBS instead of primary antibody, secondary antibody is Goat Anti-Rabbit IgG H&L (HRP) Ready to use. This data was developed using ab174290, the same antibody clone in a different buffer formulation.

Immunohistochemistry (Formalin/PFA-fixed paraffin-embedded sections) - Anti-Von Willebrand Factor antibody [EPR12011] - BSA and Azide free (AB240177)
  • IHC-P

Lab

Immunohistochemistry (Formalin/PFA-fixed paraffin-embedded sections) - Anti-Von Willebrand Factor antibody [EPR12011] - BSA and Azide free (AB240177)

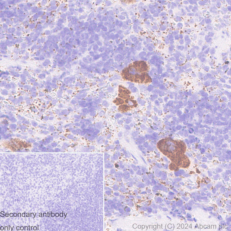
Immunohistochemical analysis of paraffin-embedded mouse spleen labeling Von Willebrand Factor with ab174290 at 1/10000 dilution, incubated with ab174290 for 30 mins at room temperature; followed by Goat Anti-Rabbit IgG H&L (HRP) Ready to use. Sections were counterstained with Hematoxylin. Antigen retrieval was heat mediated with Tris-EDTA buffer (pH 9.0, Epitope Retrieval Solution2) for 20 mins. Positive staining on the vessels in mouse spleen. The immunostaining was performed on a Leica Biosystems BOND® RX instrument. Secondary antibody only control : Used PBS instead of primary antibody, secondary antibody is Goat Anti-Rabbit IgG H&L (HRP) Ready to use. This data was developed using ab174290, the same antibody clone in a different buffer formulation.

Immunohistochemistry (Formalin/PFA-fixed paraffin-embedded sections) - Anti-Von Willebrand Factor antibody [EPR12011] - BSA and Azide free (AB240177)
  • IHC-P

Lab

Immunohistochemistry (Formalin/PFA-fixed paraffin-embedded sections) - Anti-Von Willebrand Factor antibody [EPR12011] - BSA and Azide free (AB240177)

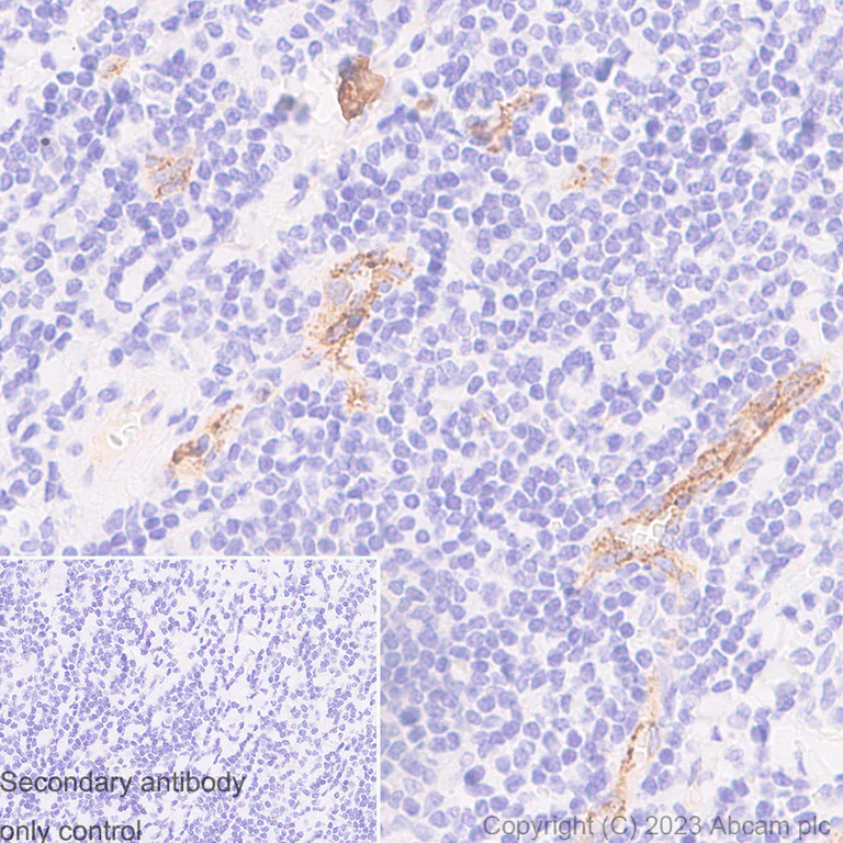
Immunohistochemical analysis of paraffin-embedded rat spleen labeling Von Willebrand Factor with ab174290 at 1/10000 dilution, incubated with ab174290 for 30 mins at room temperature; followed by Goat Anti-Rabbit IgG H&L (HRP) Ready to use. Sections were counterstained with Hematoxylin. Antigen retrieval was heat mediated with Tris-EDTA buffer (pH 9.0, Epitope Retrieval Solution2) for 20 mins. Positive staining on the vessels in rat spleen. The immunostaining was performed on a Leica Biosystems BOND® RX instrument. Secondary antibody only control : Used PBS instead of primary antibody, secondary antibody is Goat Anti-Rabbit IgG H&L (HRP) Ready to use. This data was developed using ab174290, the same antibody clone in a different buffer formulation.

Western blot - Anti-Von Willebrand Factor antibody [EPR12011] - BSA and Azide free (AB240177)
  • WB

Supplier Data

Western blot - Anti-Von Willebrand Factor antibody [EPR12011] - BSA and Azide free (AB240177)

This data was developed using ab174290, the same antibody clone in a different buffer formulation.

All lanes:

Western blot - Anti-Von Willebrand Factor antibody [EPR12011] (<a href='/en-us/products/primary-antibodies/von-willebrand-factor-antibody-epr12011-ab174290'>ab174290</a>) at 1/1000 dilution

Lane 1:

Human serum lysate at 10 µg

Lane 2:

Human plasma lysate at 10 µg

Predicted band size: 309 kDa

false

Western blot - Anti-Von Willebrand Factor antibody [EPR12011] - BSA and Azide free (AB240177)
  • WB

Lab

Western blot - Anti-Von Willebrand Factor antibody [EPR12011] - BSA and Azide free (AB240177)

This data was developed using ab174290, the same antibody clone in a different buffer formulation.

We are unsure how to define the extra bands.

All lanes:

Western blot - Anti-Von Willebrand Factor antibody [EPR12011] (<a href='/en-us/products/primary-antibodies/von-willebrand-factor-antibody-epr12011-ab174290'>ab174290</a>) at 1/1000 dilution

Lane 1:

Human serum lysates at 20 µg

Lane 2:

Human plasma lysates at 20 µg

Lane 3:

Rat plasma lysates at 20 µg

Lane 4:

Mouse platelet lysates at 20 µg

Secondary

All lanes:

Western blot - Goat Anti-Rabbit IgG H&L (HRP) (<a href='/en-us/products/secondary-antibodies/goat-rabbit-igg-h-l-hrp-ab97051'>ab97051</a>) at 1/20000 dilution

Predicted band size: 309 kDa

Observed band size: 309 kDa

false

  • Unconjugated

    Anti-Von Willebrand Factor antibody [EPR12011]

Key facts

Host species

Rabbit

Clonality

Monoclonal

Clone number

EPR12011

Isotype

IgG

Carrier free

Yes

Reacts with

Mouse, Rat, Human

Applications

WB, IHC-P

applications

Immunogen

The exact immunogen used to generate this antibody is proprietary information.

Reactivity data

{ "title": "Reactivity Data", "filters": { "stats": ["", "Species", "Dilution Info", "Notes"], "tabs": { "all-applications": {"fullname" : "All Applications", "shortname": "All Applications"}, "IP" : {"fullname" : "Immunoprecipitation", "shortname":"IP"}, "WB" : {"fullname" : "Western blot", "shortname":"WB"}, "IHCP" : {"fullname" : "Immunohistochemistry (Formalin/PFA-fixed paraffin-embedded sections)", "shortname":"IHC-P"}, "ICCIF" : {"fullname" : "Immunocytochemistry/ Immunofluorescence", "shortname":"ICC/IF"} }, "product-promise": { "all": "all", "testedAndGuaranteed": "tested", "guaranteed": "expected", "predicted": "predicted", "notRecommended": "not-recommended" } }, "values": { "Human": { "IP-species-checked": "notRecommended", "IP-species-dilution-info": "", "IP-species-notes": "<p></p>", "WB-species-checked": "testedAndGuaranteed", "WB-species-dilution-info": "", "WB-species-notes": "<p></p>", "IHCP-species-checked": "testedAndGuaranteed", "IHCP-species-dilution-info": "", "IHCP-species-notes": "<p></p>", "ICCIF-species-checked": "notRecommended", "ICCIF-species-dilution-info": "", "ICCIF-species-notes": "<p></p>" }, "Mouse": { "IP-species-checked": "notRecommended", "IP-species-dilution-info": "", "IP-species-notes": "<p></p>", "WB-species-checked": "testedAndGuaranteed", "WB-species-dilution-info": "", "WB-species-notes": "<p></p>", "IHCP-species-checked": "testedAndGuaranteed", "IHCP-species-dilution-info": "", "IHCP-species-notes": "<p></p>", "ICCIF-species-checked": "notRecommended", "ICCIF-species-dilution-info": "", "ICCIF-species-notes": "<p></p>" }, "Rat": { "IP-species-checked": "notRecommended", "IP-species-dilution-info": "", "IP-species-notes": "<p></p>", "WB-species-checked": "testedAndGuaranteed", "WB-species-dilution-info": "", "WB-species-notes": "<p></p>", "IHCP-species-checked": "testedAndGuaranteed", "IHCP-species-dilution-info": "", "IHCP-species-notes": "<p></p>", "ICCIF-species-checked": "notRecommended", "ICCIF-species-dilution-info": "", "ICCIF-species-notes": "<p></p>" } } }

Product details

ab240177 is the carrier-free version of ab174290.

Patented technology
Our RabMAb® technology is a patented hybridoma-based technology for making rabbit monoclonal antibodies. For details on our patents, please refer to RabMAb® patents.

What are the advantages of a recombinant monoclonal antibody?
This product is a recombinant monoclonal antibody, which offers several advantages including:

  • - High batch-to-batch consistency and reproducibility
  • - Improved sensitivity and specificity
  • - Long-term security of supply
  • - Animal-free batch production

For more information, read more on recombinant antibodies.

Conjugation ready
Our carrier-free antibodies are typically supplied in a PBS-only formulation, purified and free of BSA, sodium azide and glycerol. This conjugation-ready format is designed for use with fluorochromes, metal isotopes, oligonucleotides, and enzymes, which makes them ideal for antibody labelling, functional and cell-based assays, flow-based assays (e.g. mass cytometry) and Multiplex Imaging applications.

Use our conjugation kits for antibody conjugates that are ready-to-use in as little as 20 minutes with 1 minute hands-on-time and 100% antibody recovery: available for fluorescent dyes, HRP, biotin and gold.

Compatibility
This product is compatible with the Maxpar® Antibody Labeling Kit from Fluidigm, without the need for antibody preparation. Maxpar® is a trademark of Fluidigm Canada Inc.

Properties and storage information

Form
Liquid
Purification technique
Affinity purification Protein A
Storage buffer
pH: 7.2 - 7.4 Constituents: PBS
Shipped at conditions
Blue Ice
Appropriate short-term storage conditions
+4°C
Appropriate long-term storage conditions
+4°C
Storage information
Do Not Freeze

Product protocols

For this product, it's our understanding that no specific protocols are required. You can visit:

Target data

Important in the maintenance of hemostasis, it promotes adhesion of platelets to the sites of vascular injury by forming a molecular bridge between sub-endothelial collagen matrix and platelet-surface receptor complex GPIb-IX-V. Also acts as a chaperone for coagulation factor VIII, delivering it to the site of injury, stabilizing its heterodimeric structure and protecting it from premature clearance from plasma.
See full target information VWF

Publications (2)

Recent publications for all applications. Explore the full list and refine your search

Frontiers in pharmacology 13:860898 PubMed35401227

2022

Perftoran Inhibits Hypoxia-Associated Resistance in Lung Cancer Cells to Carboplatin.

Applications

Unspecified application

Species

Unspecified reactive species

Amira M Gamal-Eldeen,Amani A Alrehaili,Afaf Alharthi,Bassem M Raafat

IUBMB life 72:492-504 PubMed31613419

2019

Overexpressed microRNA-103a-3p inhibits acute lower-extremity deep venous thrombosis via inhibition of CXCL12.

Applications

Unspecified application

Species

Unspecified reactive species

Shaoliang Sun,Shanyi Chai,Feng Zhang,Lu Lu
View all publications

Product promise

We are committed to supporting your work with high-quality reagents, and we're here for you every step of the way. In the unlikely event that one of our products does not perform as expected, you're protected by our Product Promise.
For full details, please see our Terms & Conditions

Please note: All products are 'FOR RESEARCH USE ONLY. NOT FOR USE IN DIAGNOSTIC OR THERAPEUTIC PROCEDURES'.

For licensing inquiries, please contact partnerships@abcam.com