JavaScript is disabled in your browser. Please enable JavaScript to view this website.
AB287967

Anti-Von Willebrand Factor antibody [EPR25069-131] - BSA and Azide free

Be the first to review this product! Submit a review

|

(0 Publication)

Rabbit Recombinant Monoclonal Von Willebrand Factor antibody. Carrier free. Suitable for ICC/IF, Flow Cyt, WB, IHC-P, IHC-Fr and reacts with Mouse, Rat samples.

View Alternative Names

von Willebrand factor, vWF, Vwf

13 Images
Immunocytochemistry/ Immunofluorescence - Anti-Von Willebrand Factor antibody [EPR25069-131] - BSA and Azide free (AB287967)
  • ICC/IF

Lab

Immunocytochemistry/ Immunofluorescence - Anti-Von Willebrand Factor antibody [EPR25069-131] - BSA and Azide free (AB287967)

This data was developed using ab287962, the same antibody clone in a different buffer formulation. Immunofluorescent analysis of 4% Paraformaldehyde-fixed, 0.1% TritonX-100 permeabilized bEnd.3 (mouse brain endothelial cell) cells labelling Von Willebrand Factor with ab287962 at 1/100 dilution (5.58 μg/ml) followed by ab150081 Goat Anti-Rabbit IgG H&L (Alexa Fluor® 488) preadsorbed secondary antibody used at 1/1000 dilution (2µg/ml) (Green). ab195889 Anti-alpha Tubulin mouse monoclonal antibody - Microtubule Marker (Alexa Fluor® 594) was used to counterstain tubulin at 1/200 dilution (2.5µg/ml)(Red). The Nuclear counterstain was DAPI (Blue). Confocal image showing cytoplasmic staining in bEnd.3 cell line. Image was taken with a confocal microscope(Leica-Microsystems, TCS SP8).

Immunohistochemistry (Formalin/PFA-fixed paraffin-embedded sections) - Anti-Von Willebrand Factor antibody [EPR25069-131] - BSA and Azide free (AB287967)
  • IHC-P

Lab

Immunohistochemistry (Formalin/PFA-fixed paraffin-embedded sections) - Anti-Von Willebrand Factor antibody [EPR25069-131] - BSA and Azide free (AB287967)

This data was developed using ab287962, the same antibody clone in a different buffer formulation.

Tissue Microarrays stained for Anti-Von Willebrand Factor antibody [EPR25069-131] using ab287962 in immunohistochemical analysis. This table provides a detailed overview of positive (tick mark) and negative (cross mark) staining per sample type tested. The sections were pre-treated using Heat mediated antigen retrieval using Bond™ Epitope Retrieval Solution 2 (pH 9.0) for 20 minutes. The sections were incubated with ab287962 for 30 mins at room temperature followed by a ready to use LeicaDS9800 (Bond™ Polymer Refine Detection) . The immunostaining was performed on a Leica Biosystems BOND® RX instrument.

Immunohistochemistry (Frozen sections) - Anti-Von Willebrand Factor antibody [EPR25069-131] - BSA and Azide free (AB287967)
  • IHC-Fr

Supplier Data

Immunohistochemistry (Frozen sections) - Anti-Von Willebrand Factor antibody [EPR25069-131] - BSA and Azide free (AB287967)

This data was developed using ab287962, the same antibody clone in a different buffer formulation.

Immunohistochemical analysis of 4% PFA-fixed, 0.2% Triton X-100 permeabilized frozen Rat lung (fresh) tissue labeling VonWillebrand Factor with ab287962 at 1/500 (1.11 ug/ml) dilution followed by ab150081 Goat Anti-Rabbit IgG H&L (Alexa Fluor® 488) preadsorbed at 1/1000 (2 ug/mL) dilution (Green). Positive staining on the vascular endothelial cells in rat lung is observed. The nuclear counterstain was DAPI (Blue).

Secondary antibody control : Secondary antibody is ab150081 Goat Anti-Rabbit IgG H&L (Alexa Fluor® 488) preadsorbedat 1/1000 (2 ug/mL) dilution.

Immunohistochemistry (Frozen sections) - Anti-Von Willebrand Factor antibody [EPR25069-131] - BSA and Azide free (AB287967)
  • IHC-Fr

Supplier Data

Immunohistochemistry (Frozen sections) - Anti-Von Willebrand Factor antibody [EPR25069-131] - BSA and Azide free (AB287967)

This data was developed using ab287962, the same antibody clone in a different buffer formulation.

Immunohistochemical analysis of 4% PFA-fixed, 0.2% Triton X-100 permeabilized frozen Mouse liver (fresh) tissue labeling VonWillebrand Factor with ab287962 at 1/500 (1.11 ug/ml) dilution followed by ab150081 Goat Anti-Rabbit IgG H&L (Alexa Fluor® 488) preadsorbed at 1/1000 (2 ug/mL) dilution (Green). Positive staining on the endothelial cells in mouse liver is observed. The nuclear counterstain was DAPI (Blue).

Secondary antibody control : Secondary antibody is ab150081 Goat Anti-Rabbit IgG H&L (Alexa Fluor® 488) preadsorbedat 1/1000 (2 ug/mL) dilution.

Immunohistochemistry (Formalin/PFA-fixed paraffin-embedded sections) - Anti-Von Willebrand Factor antibody [EPR25069-131] - BSA and Azide free (AB287967)
  • IHC-P

Supplier Data

Immunohistochemistry (Formalin/PFA-fixed paraffin-embedded sections) - Anti-Von Willebrand Factor antibody [EPR25069-131] - BSA and Azide free (AB287967)

This data was developed using ab287962, the same antibody clone in a different buffer formulation.

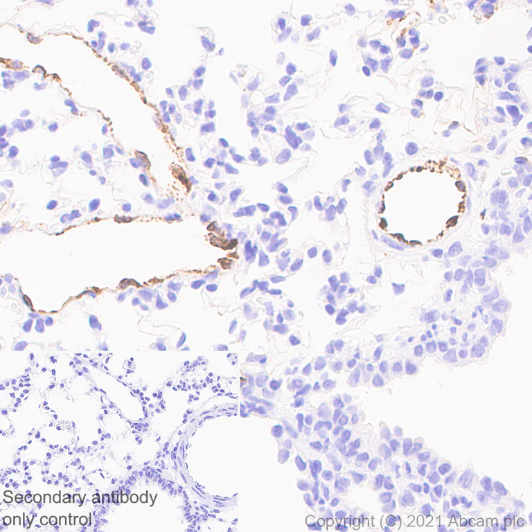
Immunohistochemical analysis of paraffin-embedded Rat lung tissue labelling VonWillebrand Factor with ab287962 at 1/50 (11.1 ug/ml) dilution followed by a ready to use LeicaDS9800 (Bond ™ Polymer Refine Detection) . Cytoplasmic staining on endothelial cells of rat lung. The section was incubated with ab287962 for 30 mins at room temperature.The immunostaining was performed on a Leica Biosystems BOND® RX instrument Counterstained with Hematoxylin.

Secondary antibody only control : Secondary antibody is a ready to use LeicaDS9800 (Bond™ Polymer Refine Detection) .

Heat mediated antigen retrieval with Tris-EDTA buffer (pH 9.0, epitope retrieval solution2) for 20 mins

Immunohistochemistry (Frozen sections) - Anti-Von Willebrand Factor antibody [EPR25069-131] - BSA and Azide free (AB287967)
  • IHC-Fr

Supplier Data

Immunohistochemistry (Frozen sections) - Anti-Von Willebrand Factor antibody [EPR25069-131] - BSA and Azide free (AB287967)

This data was developed using ab287962, the same antibody clone in a different buffer formulation.

Immunohistochemical analysis of 4% PFA-fixed, 0.2% Triton X-100 permeabilized frozen Rat liver (fresh) tissue labeling VonWillebrand Factor with ab287962 at 1/500 (1.11 ug/ml) dilution followed by ab150081 Goat Anti-Rabbit IgG H&L (Alexa Fluor® 488) preadsorbed at 1/1000 (2 ug/mL) dilution (Green). Positive staining on the endothelial cells in rat liver is observed. The nuclear counterstain was DAPI (Blue).

Secondary antibody control : Secondary antibody is ab150081 Goat Anti-Rabbit IgG H&L (Alexa Fluor® 488) preadsorbedat 1/1000 (2 ug/mL) dilution.

Immunohistochemistry (Formalin/PFA-fixed paraffin-embedded sections) - Anti-Von Willebrand Factor antibody [EPR25069-131] - BSA and Azide free (AB287967)
  • IHC-P

Supplier Data

Immunohistochemistry (Formalin/PFA-fixed paraffin-embedded sections) - Anti-Von Willebrand Factor antibody [EPR25069-131] - BSA and Azide free (AB287967)

This data was developed using ab287962, the same antibody clone in a different buffer formulation.

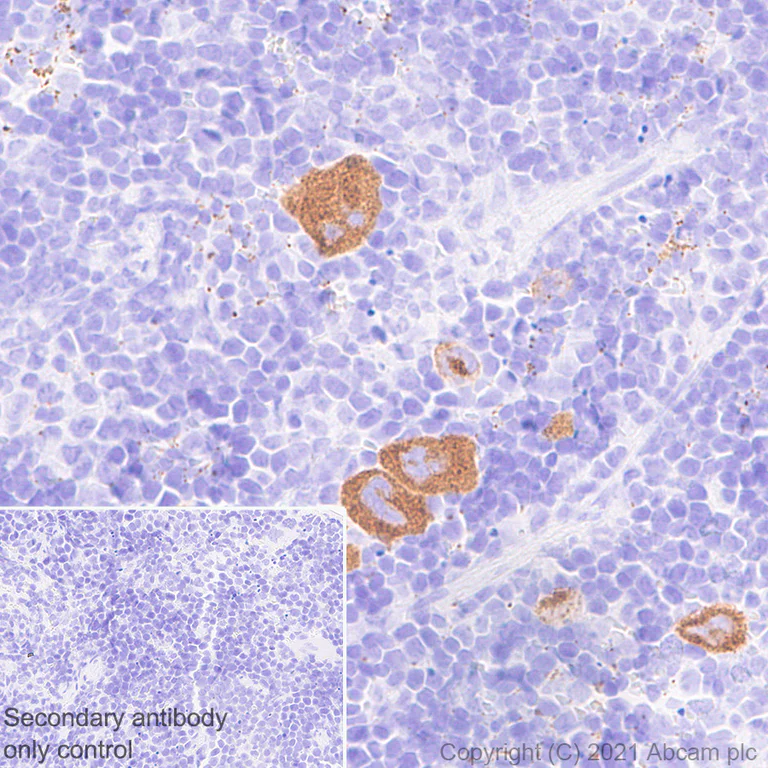
Immunohistochemical analysis of paraffin-embedded Rat spleen tissue labelling VonWillebrand Factor with ab287962 at 1/50 (11.1 ug/ml) dilution followed by a ready to use LeicaDS9800 (Bond Polymer Refine Detection) . Cytoplasmic staining on megakaryocyte and platelets of rat spleen. The section was incubated with ab287962 for 30 mins at room temperature.The immunostaining was performed on a Leica Biosystems BOND® RX instrument Counterstained with Hematoxylin.

Secondary antibody only control : Secondary antibody is a ready to use LeicaDS9800 (Bond™ Polymer Refine Detection) .

Heat mediated antigen retrieval with Tris-EDTA buffer (pH 9.0, epitope retrieval solution2) for 20 mins

Immunohistochemistry (Frozen sections) - Anti-Von Willebrand Factor antibody [EPR25069-131] - BSA and Azide free (AB287967)
  • IHC-Fr

Supplier Data

Immunohistochemistry (Frozen sections) - Anti-Von Willebrand Factor antibody [EPR25069-131] - BSA and Azide free (AB287967)

This data was developed using ab287962, the same antibody clone in a different buffer formulation.

Immunohistochemical analysis of 4% PFA-fixed, 0.2% Triton X-100 permeabilized frozen Mouse lung (fresh) tissue labeling VonWillebrand Factor with ab287962 at 1/500 (1.11 ug/ml) dilution followed by ab150081 Goat Anti-Rabbit IgG H&L (Alexa Fluor® 488) preadsorbed at 1/1000 (2 ug/mL) dilution (Green). Positive staining on the vascular endothelial cells in mouse lung is observed. The nuclear counterstain was DAPI (Blue).

Secondary antibody control : Secondary antibody is ab150081 Goat Anti-Rabbit IgG H&L (Alexa Fluor® 488) preadsorbedat 1/1000 (2 ug/mL) dilution.

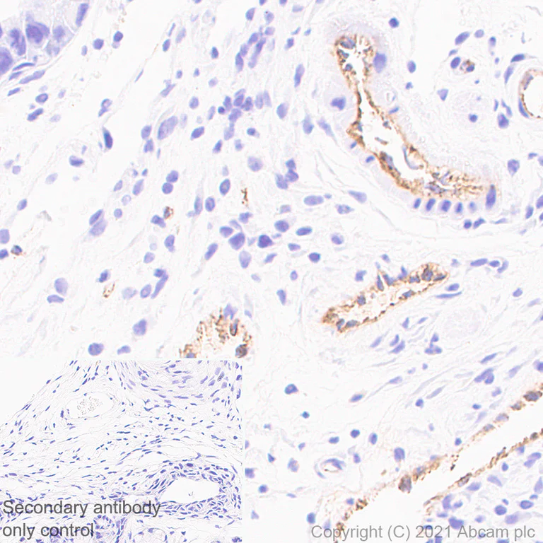
Immunohistochemistry (Formalin/PFA-fixed paraffin-embedded sections) - Anti-Von Willebrand Factor antibody [EPR25069-131] - BSA and Azide free (AB287967)
  • IHC-P

Supplier Data

Immunohistochemistry (Formalin/PFA-fixed paraffin-embedded sections) - Anti-Von Willebrand Factor antibody [EPR25069-131] - BSA and Azide free (AB287967)

This data was developed using ab287962, the same antibody clone in a different buffer formulation.

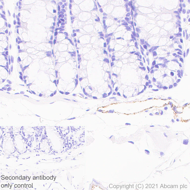
Immunohistochemical analysis of paraffin-embedded Mouse colon tissue labelling VonWillebrand Factor with ab287962 at 1/50 (11.1 ug/ml) dilution followed by a ready to use LeicaDS9800 (Bond™ Polymer Refine Detection) . Cytoplasmic staining on endothelial cells of mouse colon. The section was incubated with ab287962 for 30 mins at room temperature.The immunostaining was performed on a Leica Biosystems BOND® RX instrument Counterstained with Hematoxylin.

Secondary antibody only control : Secondary antibody is a ready to use LeicaDS9800 (Bond™ Polymer Refine Detection) .

Heat mediated antigen retrieval with Tris-EDTA buffer (pH 9.0, epitope retrieval solution2) for 20 mins

Immunohistochemistry (Formalin/PFA-fixed paraffin-embedded sections) - Anti-Von Willebrand Factor antibody [EPR25069-131] - BSA and Azide free (AB287967)
  • IHC-P

Supplier Data

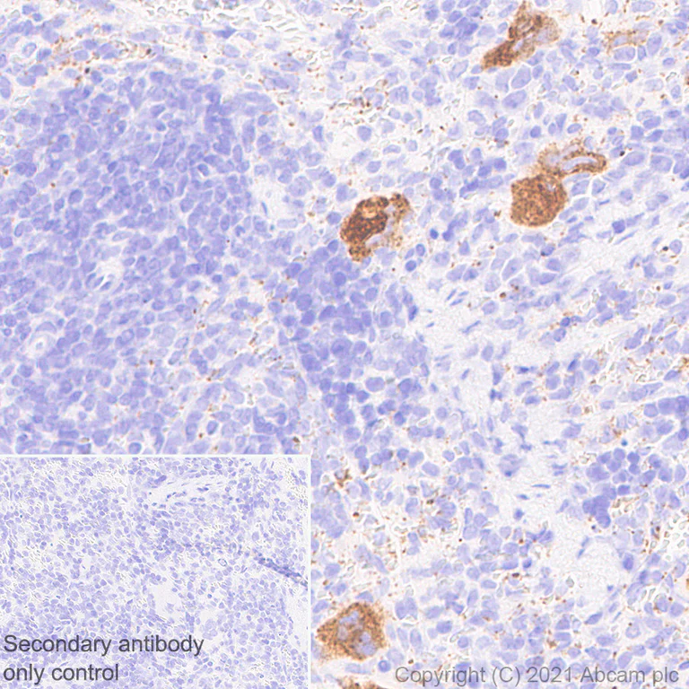
Immunohistochemistry (Formalin/PFA-fixed paraffin-embedded sections) - Anti-Von Willebrand Factor antibody [EPR25069-131] - BSA and Azide free (AB287967)

This data was developed using ab287962, the same antibody clone in a different buffer formulation.

Immunohistochemical analysis of paraffin-embedded Mouse spleen tissue labelling VonWillebrand Factor with ab287962 at 1/50 (11.1 ug/ml) dilution followed by a ready to use LeicaDS9800 (Bond™ Polymer Refine Detection) . Cytoplasmic staining on megakaryocyte and platelets of mouse spleen. The section was incubated with ab287962 for 30 mins at room temperature.The immunostaining was performed on a Leica Biosystems BOND® RX instrument Counterstained with Hematoxylin.

Secondary antibody only control : Secondary antibody is a ready to use LeicaDS9800 (Bond™Polymer Refine Detection) .

Heat mediated antigen retrieval with Tris-EDTA buffer (pH 9.0, epitope retrieval solution2) for 20 mins

Immunohistochemistry (Formalin/PFA-fixed paraffin-embedded sections) - Anti-Von Willebrand Factor antibody [EPR25069-131] - BSA and Azide free (AB287967)
  • IHC-P

Supplier Data

Immunohistochemistry (Formalin/PFA-fixed paraffin-embedded sections) - Anti-Von Willebrand Factor antibody [EPR25069-131] - BSA and Azide free (AB287967)

This data was developed using ab287962, the same antibody clone in a different buffer formulation.

Immunohistochemical analysis of paraffin-embedded Mouse pancreas tumor tissue labelling VonWillebrand Factor with ab287962 at 1/50 (11.1 ug/ml) dilution followed by a ready to use LeicaDS9800 (Bond™ Polymer Refine Detection) . Cytoplasmic staining on endothelial of mouse pancreas tumor. The section was incubated with ab287962 for 30 mins at room temperature.The immunostaining was performed on a Leica Biosystems BOND® RX instrument Counterstained with Hematoxylin.

Secondary antibody only control : Secondary antibody is a ready to use LeicaDS9800 (Bond™ Polymer Refine Detection) .

Heat mediated antigen retrieval with Tris-EDTA buffer (pH 9.0, epitope retrieval solution2) for 20 mins

Flow Cytometry - Anti-Von Willebrand Factor antibody [EPR25069-131] - BSA and Azide free (AB287967)
  • Flow Cyt

Supplier Data

Flow Cytometry - Anti-Von Willebrand Factor antibody [EPR25069-131] - BSA and Azide free (AB287967)

This data was developed using ab287962, the same antibody clone in a different buffer formulation.

Flow cytometric analysis of Mouse blood cells cells labelling VonWillebrand Factor with ab287962 at 1/500 dilution (0.1ug)(Right) compared with a Rabbit monoclonal IgG (ab172730) (Left) isotype control. Goat Anti-Rabbit IgG (Alexa Fluor® 488, ab150081) at 1/2000 dilution was used as the secondary antibody. Cells were stained with rabbit IgG or ab287962. Then stained with anti-CD41 conjugated to APC. Gated on viable cells.

Western blot - Anti-Von Willebrand Factor antibody [EPR25069-131] - BSA and Azide free (AB287967)
  • WB

Lab

Western blot - Anti-Von Willebrand Factor antibody [EPR25069-131] - BSA and Azide free (AB287967)

This data was developed using ab287962, the same antibody clone in a different buffer formulation.

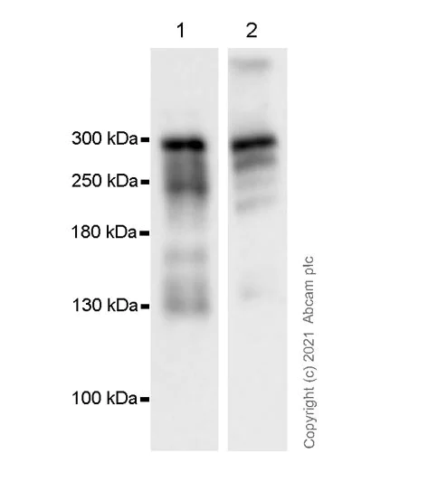
Bands below 300kDa were VWF cleavage fragments(PMID : 21909423)

Exposure time : 70 seconds

All lanes:

Western blot - Anti-Von Willebrand Factor antibody [EPR25069-131] (<a href='/en-us/products/primary-antibodies/von-willebrand-factor-antibody-epr25069-131-ab287962'>ab287962</a>) at 1/1000 dilution

Lane 1:

Mouse platelet lysate

Lane 2:

Rat platelet lysate

Secondary

All lanes:

Goat Anti-Rabbit IgG, (H+L), Peroxidase conjugated (<a href='/en-us/products/secondary-antibodies/goat-rabbit-igg-h-l-hrp-ab97051'>ab97051</a>) at 1/100000 dilution

Predicted band size: 309 kDa

false

  • Unconjugated

    Anti-Von Willebrand Factor antibody [EPR25069-131]

  • 665 Alexa Fluor® 647

    Alexa Fluor® 647 Anti-Von Willebrand Factor antibody [EPR25069-131]

  • 519 Alexa Fluor® 488

    Alexa Fluor® 488 Anti-Von Willebrand Factor antibody [EPR25069-131]

Key facts

Host species

Rabbit

Clonality

Monoclonal

Clone number

EPR25069-131

Isotype

IgG

Carrier free

Yes

Reacts with

Rat, Mouse

Applications

IHC-Fr, IHC-P, Flow Cyt, ICC/IF, WB

applications

Immunogen

The exact immunogen used to generate this antibody is proprietary information.

Specificity

This antibody does not react with cleaved von Willebrand antigen 2 as the immunogen is located at the C-terminus

Reactivity data

{ "title": "Reactivity Data", "filters": { "stats": ["", "Species", "Dilution Info", "Notes"], "tabs": { "all-applications": {"fullname" : "All Applications", "shortname": "All Applications"}, "ICCIF" : {"fullname" : "Immunocytochemistry/ Immunofluorescence", "shortname":"ICC/IF"}, "FlowCyt" : {"fullname" : "Flow Cytometry", "shortname":"Flow Cyt"}, "WB" : {"fullname" : "Western blot", "shortname":"WB"}, "IHCP" : {"fullname" : "Immunohistochemistry (Formalin/PFA-fixed paraffin-embedded sections)", "shortname":"IHC-P"}, "IHCFr" : {"fullname" : "Immunohistochemistry (Frozen sections)", "shortname":"IHC-Fr"}, "IP" : {"fullname" : "Immunoprecipitation", "shortname":"IP"} }, "product-promise": { "all": "all", "testedAndGuaranteed": "tested", "guaranteed": "expected", "predicted": "predicted", "notRecommended": "not-recommended" } }, "values": { "Human": { "ICCIF-species-checked": "notRecommended", "ICCIF-species-dilution-info": "", "ICCIF-species-notes": "<p></p>", "FlowCyt-species-checked": "notRecommended", "FlowCyt-species-dilution-info": "", "FlowCyt-species-notes": "", "WB-species-checked": "notRecommended", "WB-species-dilution-info": "", "WB-species-notes": "<p></p>", "IHCP-species-checked": "notRecommended", "IHCP-species-dilution-info": "", "IHCP-species-notes": "<p>This product is not suitable for detection in IHC-P using a fluorescent secondary antibody.</p>", "IHCFr-species-checked": "notRecommended", "IHCFr-species-dilution-info": "", "IHCFr-species-notes": "", "IP-species-checked": "notRecommended", "IP-species-dilution-info": "", "IP-species-notes": "" }, "Mouse": { "ICCIF-species-checked": "testedAndGuaranteed", "ICCIF-species-dilution-info": "", "ICCIF-species-notes": "<p></p>", "FlowCyt-species-checked": "testedAndGuaranteed", "FlowCyt-species-dilution-info": "", "FlowCyt-species-notes": "<p></p>", "WB-species-checked": "testedAndGuaranteed", "WB-species-dilution-info": "", "WB-species-notes": "<p></p>", "IHCP-species-checked": "testedAndGuaranteed", "IHCP-species-dilution-info": "", "IHCP-species-notes": "<p>This product is not suitable for detection in IHC-P using a fluorescent secondary antibody.</p>", "IHCFr-species-checked": "testedAndGuaranteed", "IHCFr-species-dilution-info": "", "IHCFr-species-notes": "<p></p>", "IP-species-checked": "notRecommended", "IP-species-dilution-info": "", "IP-species-notes": "<p></p>" }, "Rat": { "ICCIF-species-checked": "guaranteed", "ICCIF-species-dilution-info": "", "ICCIF-species-notes": "", "FlowCyt-species-checked": "guaranteed", "FlowCyt-species-dilution-info": "", "FlowCyt-species-notes": "", "WB-species-checked": "testedAndGuaranteed", "WB-species-dilution-info": "", "WB-species-notes": "<p></p>", "IHCP-species-checked": "testedAndGuaranteed", "IHCP-species-dilution-info": "", "IHCP-species-notes": "<p>This product is not suitable for detection in IHC-P using a fluorescent secondary antibody.</p>", "IHCFr-species-checked": "testedAndGuaranteed", "IHCFr-species-dilution-info": "", "IHCFr-species-notes": "<p></p>", "IP-species-checked": "notRecommended", "IP-species-dilution-info": "", "IP-species-notes": "<p></p>" } } }

Product details

ab287967 is the carrier-free version of ab287962.

Patented technology
Our RabMAb® technology is a patented hybridoma-based technology for making rabbit monoclonal antibodies. For details on our patents, please refer to RabMAb® patents.

What are the advantages of a recombinant monoclonal antibody?
This product is a recombinant monoclonal antibody, which offers several advantages including:

  • - High batch-to-batch consistency and reproducibility
  • - Improved sensitivity and specificity
  • - Long-term security of supply
  • - Animal-free batch production

For more information, read more on recombinant antibodies.

Conjugation ready
Our carrier-free antibodies are typically supplied in a PBS-only formulation, purified and free of BSA, sodium azide and glycerol. This conjugation-ready format is designed for use with fluorochromes, metal isotopes, oligonucleotides, and enzymes, which makes them ideal for antibody labelling, functional and cell-based assays, flow-based assays (e.g. mass cytometry) and Multiplex Imaging applications.

Use our conjugation kits for antibody conjugates that are ready-to-use in as little as 20 minutes with 1 minute hands-on-time and 100% antibody recovery: available for fluorescent dyes, HRP, biotin and gold.

Compatibility
This product is compatible with the Maxpar® Antibody Labeling Kit from Fluidigm, without the need for antibody preparation. Maxpar® is a trademark of Fluidigm Canada Inc.

Properties and storage information

Form
Liquid
Purification technique
Affinity purification Protein A
Storage buffer
pH: 7.2 - 7.4 Constituents: PBS
Shipped at conditions
Blue Ice
Appropriate short-term storage conditions
+4°C
Appropriate long-term storage conditions
+4°C

Product protocols

For this product, it's our understanding that no specific protocols are required. You can visit:

Target data

Important in the maintenance of hemostasis, it promotes adhesion of platelets to the sites of vascular injury by forming a molecular bridge between sub-endothelial collagen matrix and platelet-surface receptor complex GPIb-IX-V. Also acts as a chaperone for coagulation factor VIII, delivering it to the site of injury, stabilizing its heterodimeric structure and protecting it from premature clearance from plasma.
See full target information Vwf

Product promise

We are committed to supporting your work with high-quality reagents, and we're here for you every step of the way. In the unlikely event that one of our products does not perform as expected, you're protected by our Product Promise.
For full details, please see our Terms & Conditions

Please note: All products are 'FOR RESEARCH USE ONLY. NOT FOR USE IN DIAGNOSTIC OR THERAPEUTIC PROCEDURES'.

For licensing inquiries, please contact partnerships@abcam.com