JavaScript is disabled in your browser. Please enable JavaScript to view this website.
AB183334

Anti-VPAC2 antibody [SP235]

Be the first to review this product! Submit a review

|

(3 Publications)

Rabbit Recombinant Monoclonal VPAC2 antibody. Suitable for Flow Cyt (Intra), IHC-P and reacts with Human, Mouse, Rat samples. Cited in 3 publications.

View Alternative Names

VIP2R, VIPR2, Vasoactive intestinal polypeptide receptor 2, VIP-R-2, Helodermin-preferring VIP receptor, Pituitary adenylate cyclase-activating polypeptide type III receptor, VPAC2, PACAP type III receptor, PACAP-R-3, PACAP-R3

6 Images
Immunohistochemistry (Formalin/PFA-fixed paraffin-embedded sections) - Anti-VPAC2 antibody [SP235] (AB183334)
  • IHC-P

Supplier Data

Immunohistochemistry (Formalin/PFA-fixed paraffin-embedded sections) - Anti-VPAC2 antibody [SP235] (AB183334)

Immunohistochemical analysis of formalin-fixed, paraffin-embedded human tonsil tissue labeling VPAC2 using ab183334 at a 1/100 dilution.

Immunohistochemistry (Formalin/PFA-fixed paraffin-embedded sections) - Anti-VPAC2 antibody [SP235] (AB183334)
  • IHC-P

Unknown

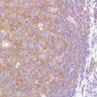
Immunohistochemistry (Formalin/PFA-fixed paraffin-embedded sections) - Anti-VPAC2 antibody [SP235] (AB183334)

Immunohistochemistry (Formalin/PFA-fixed paraffin-embedded sections) analysis of Human tonsil tissue sections labeling VPAC2 with ab183334 at 1/100 dilution (0.96 µg/ml). Heat mediated antigen retrieval was performed Heat mediated antigen retrieval with sodium citrate buffer (pH 6.0, epitope retrieval solution 1) for 20 mins. Rabbit specific IHC polymer detection kit HRP/DAB (ab209101) was used as the secondary antibody. Negative control : PBS instead of the primary antibody. Hematoxylin was used as a counterstain.

Flow Cytometry (Intracellular) - Anti-VPAC2 antibody [SP235] (AB183334)
  • Flow Cyt (Intra)

Unknown

Flow Cytometry (Intracellular) - Anti-VPAC2 antibody [SP235] (AB183334)

Flow Cytometry analysis of Jurkat (Human T cell leukemia T lymphocyte) cells labeling VPAC2 with purified ab183334 at 1/20 dilution (5 μg/ml) (red). Cells were fixed with 4% paraformaldehyde and permeabilised with 90% methanol. A Goat anti rabbit IgG (Alexa Fluor® 488, ab150077) secondary antibody was used at 1/2000 dilution. Isotype control - Rabbit monoclonal IgG (ab172730) / Black. Unlabeled control - Unlabelled cells / blue.

Flow Cytometry (Intracellular) - Anti-VPAC2 antibody [SP235] (AB183334)
  • Flow Cyt (Intra)

Supplier Data

Flow Cytometry (Intracellular) - Anti-VPAC2 antibody [SP235] (AB183334)

Flow cytometric analysis of Jurkat (Human T cell leukemia cell line from peripheral blood) cells labeling VPAC2 using ab183334 (green) compare to negative control of rabbit IgG (blue).

Immunohistochemistry (Formalin/PFA-fixed paraffin-embedded sections) - Anti-VPAC2 antibody [SP235] (AB183334)
  • IHC-P

Unknown

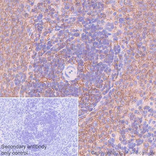
Immunohistochemistry (Formalin/PFA-fixed paraffin-embedded sections) - Anti-VPAC2 antibody [SP235] (AB183334)

Immunohistochemistry (Formalin/PFA-fixed paraffin-embedded sections) analysis of Rat spleen tissue sections labeling VPAC2 with ab183334 at 1/100 dilution (0.96 µg/ml). Heat mediated antigen retrieval was performed Heat mediated antigen retrieval with sodium citrate buffer (pH 6.0, epitope retrieval solution 1) for 20 mins. Rabbit specific IHC polymer detection kit HRP/DAB (ab209101) was used as the secondary antibody. Negative control : PBS instead of the primary antibody. Hematoxylin was used as a counterstain.

Immunohistochemistry (Formalin/PFA-fixed paraffin-embedded sections) - Anti-VPAC2 antibody [SP235] (AB183334)
  • IHC-P

Unknown

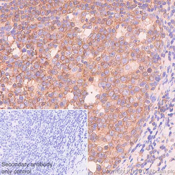
Immunohistochemistry (Formalin/PFA-fixed paraffin-embedded sections) - Anti-VPAC2 antibody [SP235] (AB183334)

Immunohistochemistry (Formalin/PFA-fixed paraffin-embedded sections) analysis of Mouse spleen tissue sections labeling VPAC2 with ab183334 at 1/100 dilution (0.96 µg/ml). Heat mediated antigen retrieval was performed Heat mediated antigen retrieval with sodium citrate buffer (pH 6.0, epitope retrieval solution 1) for 20 mins. Rabbit specific IHC polymer detection kit HRP/DAB (ab209101) was used as the secondary antibody. Negative control : PBS instead of the primary antibody. Hematoxylin was used as a counterstain.

  • Carrier free

    Anti-VPAC2 antibody [SP235] - BSA and Azide free

Key facts

Host species

Rabbit

Clonality

Monoclonal

Clone number

SP235

Isotype

IgG

Carrier free

No

Reacts with

Mouse, Rat, Human

Applications

Flow Cyt (Intra), IHC-P

applications

Immunogen

The exact immunogen used to generate this antibody is proprietary information.

Reactivity data

{ "title": "Reactivity Data", "filters": { "stats": ["", "Species", "Dilution Info", "Notes"], "tabs": { "all-applications": {"fullname" : "All Applications", "shortname": "All Applications"}, "FlowCytIntra" : {"fullname" : "Flow Cytometry (Intracellular)", "shortname":"Flow Cyt (Intra)"}, "IHCP" : {"fullname" : "Immunohistochemistry (Formalin/PFA-fixed paraffin-embedded sections)", "shortname":"IHC-P"} }, "product-promise": { "all": "all", "testedAndGuaranteed": "tested", "guaranteed": "expected", "predicted": "predicted", "notRecommended": "not-recommended" } }, "values": { "Human": { "FlowCytIntra-species-checked": "testedAndGuaranteed", "FlowCytIntra-species-dilution-info": "", "FlowCytIntra-species-notes": "<p><a href='/en-us/products/primary-antibodies/rabbit-igg-monoclonal-epr25a-isotype-control-ab172730'>ab172730</a> - Rabbit monoclonal IgG, is suitable for use as an isotype control with this antibody.</p>", "IHCP-species-checked": "testedAndGuaranteed", "IHCP-species-dilution-info": "1/100", "IHCP-species-notes": "<p></p>" }, "Mouse": { "FlowCytIntra-species-checked": "guaranteed", "FlowCytIntra-species-dilution-info": "", "FlowCytIntra-species-notes": "", "IHCP-species-checked": "testedAndGuaranteed", "IHCP-species-dilution-info": "1/100", "IHCP-species-notes": "<p></p>" }, "Rat": { "FlowCytIntra-species-checked": "guaranteed", "FlowCytIntra-species-dilution-info": "", "FlowCytIntra-species-notes": "", "IHCP-species-checked": "testedAndGuaranteed", "IHCP-species-dilution-info": "1/100", "IHCP-species-notes": "<p></p>" } } }

Product details

What are the advantages of a recombinant monoclonal antibody?
This product is a recombinant monoclonal antibody, which offers several advantages including:

  • - High batch-to-batch consistency and reproducibility
  • - Improved sensitivity and specificity
  • - Long-term security of supply
  • - Animal-free batch production

For more information, read more on recombinant antibodies.

Properties and storage information

Form
Liquid
Purification technique
Affinity purification Protein A/G
Purification notes
Purified from TCS by protein A/G.
Storage buffer
pH: 7.6 Preservative: 0.1% Sodium azide Constituents: PBS, 1% BSA
Shipped at conditions
Blue Ice
Appropriate short-term storage duration
1-2 weeks
Appropriate short-term storage conditions
+4°C
Appropriate long-term storage conditions
-20°C
Aliquoting information
Upon delivery aliquot
Storage information
Avoid freeze / thaw cycle

Product protocols

For this product, it's our understanding that no specific protocols are required. You can visit:

Target data

This is a receptor for VIP as well as PACAP-38 and -27, the activity of this receptor is mediated by G proteins which activate adenylyl cyclase. Can be coupled to phospholipase C.
See full target information VIPR2

Publications (3)

Recent publications for all applications. Explore the full list and refine your search

Journal of orthopaedic surgery and research 20:835 PubMed40999516

2025

Neuregulin 4 inhibits synovial macrophage pro-inflammatory polarization via ErbB4/Stat5b/NF-κB signaling to alleviate osteoarthritis progression.

Applications

Unspecified application

Species

Unspecified reactive species

Daoliang Jiang,Xiaoli Xu,Wenjing Yang,Mengjia Tang,Yuping Zhang,Lingfeng Shi,Jiongyu Hu

The Journal of clinical investigation 135: PubMed40590229

2025

Mitofusin 2 controls mitochondrial and synaptic dynamics of suprachiasmatic VIP neurons and related circadian rhythms.

Applications

Unspecified application

Species

Unspecified reactive species

Milan Stoiljkovic,Jae Eun Song,Hee-Kyung Hong,Heiko Endle,Luis Varela,Jonatas Catarino,Xiao-Bing Gao,Zong-Wu Liu,Peter Sotonyi,Sabrina Diano,Jonathan Cedernaes,Joseph Bass,Tamas L Horvath

Frontiers in oncology 12:852358 PubMed36237322

2022

Vasoactive intestinal peptide-VIPR2 signaling regulates tumor cell migration.

Applications

Unspecified application

Species

Unspecified reactive species

Satoshi Asano,Misa Yamasaka,Kairi Ozasa,Kotaro Sakamoto,Atsuko Hayata-Takano,Takanobu Nakazawa,Hitoshi Hashimoto,James A Waschek,Yukio Ago
View all publications

Product promise

We are committed to supporting your work with high-quality reagents, and we're here for you every step of the way. In the unlikely event that one of our products does not perform as expected, you're protected by our Product Promise.
For full details, please see our Terms & Conditions

Please note: All products are 'FOR RESEARCH USE ONLY. NOT FOR USE IN DIAGNOSTIC OR THERAPEUTIC PROCEDURES'.

For licensing inquiries, please contact partnerships@abcam.com