JavaScript is disabled in your browser. Please enable JavaScript to view this website.
AB189920

Anti-VPS11 antibody [EPR10344(2)]

Be the first to review this product! Submit a review

|

(3 Publications)

Rabbit Recombinant Monoclonal VPS11 antibody. Suitable for WB, Flow Cyt (Intra), IHC-P and reacts with Mouse, Human samples. Cited in 3 publications.

View Alternative Names

RNF108, PP3476, VPS11, Vacuolar protein sorting-associated protein 11 homolog, hVPS11, RING finger protein 108

4 Images
Immunohistochemistry (Formalin/PFA-fixed paraffin-embedded sections) - Anti-VPS11 antibody [EPR10344(2)] (AB189920)
  • IHC-P

Supplier Data

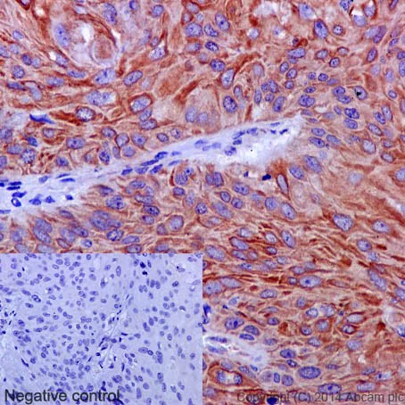
Immunohistochemistry (Formalin/PFA-fixed paraffin-embedded sections) - Anti-VPS11 antibody [EPR10344(2)] (AB189920)

Immunohistochemical analysis of paraffin-embedded Human cervix carcinoma tissue labeling VPS11 with ab189920 at 1/500 dilution followed by prediluted HRP Polymer for Rabbit IgG. Counter stained with Hematoxylin.

Perform heat mediated antigen retrieval with Tris/EDTA buffer pH 9.0 before commencing with IHC staining protocol.

Flow Cytometry (Intracellular) - Anti-VPS11 antibody [EPR10344(2)] (AB189920)
  • Flow Cyt (Intra)

Supplier Data

Flow Cytometry (Intracellular) - Anti-VPS11 antibody [EPR10344(2)] (AB189920)

Intracellular flow cytometric analysis of 2% paraformaldehyde-fixed Jurkat cells labeling VPS11 with ab189920 at 1/90 dilution (red), compared to a Rabbit monoclonal IgG isotype control (green), followed by Goat anti rabbit IgG (FITC) secondary antibody at 1/150 dilution.

Western blot - Anti-VPS11 antibody [EPR10344(2)] (AB189920)
  • WB

Supplier Data

Western blot - Anti-VPS11 antibody [EPR10344(2)] (AB189920)

All lanes:

Western blot - Anti-VPS11 antibody [EPR10344(2)] (ab189920) at 1/10000 dilution

Lane 1:

Human fetal brain tissue lysate at 20 µg

Lane 2:

K562 cell lysate at 20 µg

Lane 3:

293 cell lysate at 20 µg

Lane 4:

HeLa cell lysate at 20 µg

Secondary

All lanes:

Goat Anti-Rabbit IgG, (H+L), Peroxidase conjugated at 1/1000 dilution

Predicted band size: 108 kDa

Observed band size: 108 kDa

false

Western blot - Anti-VPS11 antibody [EPR10344(2)] (AB189920)
  • WB

Supplier Data

Western blot - Anti-VPS11 antibody [EPR10344(2)] (AB189920)

All lanes:

Western blot - Anti-VPS11 antibody [EPR10344(2)] (ab189920) at 1/1000 dilution

All lanes:

RAW 264.7 cell lysate at 10 µg

Secondary

All lanes:

Goat Anti-Rabbit IgG, (H+L), Peroxidase conjugate at 1/1000 dilution

Predicted band size: 108 kDa

Observed band size: 108 kDa

false

  • Carrier free

    Anti-VPS11 antibody [EPR10344(2)] - BSA and Azide free

Key facts

Host species

Rabbit

Clonality

Monoclonal

Clone number

EPR10344(2)

Isotype

IgG

Carrier free

No

Reacts with

Mouse, Human

Applications

WB, IHC-P, Flow Cyt (Intra)

applications

Immunogen

The exact immunogen used to generate this antibody is proprietary information.

Reactivity data

{ "title": "Reactivity Data", "filters": { "stats": ["", "Species", "Dilution Info", "Notes"], "tabs": { "all-applications": {"fullname" : "All Applications", "shortname": "All Applications"}, "WB" : {"fullname" : "Western blot", "shortname":"WB"}, "FlowCytIntra" : {"fullname" : "Flow Cytometry (Intracellular)", "shortname":"Flow Cyt (Intra)"}, "IHCP" : {"fullname" : "Immunohistochemistry (Formalin/PFA-fixed paraffin-embedded sections)", "shortname":"IHC-P"} }, "product-promise": { "all": "all", "testedAndGuaranteed": "tested", "guaranteed": "expected", "predicted": "predicted", "notRecommended": "not-recommended" } }, "values": { "Human": { "WB-species-checked": "testedAndGuaranteed", "WB-species-dilution-info": "1/1000 - 1/10000", "WB-species-notes": "<p></p>", "FlowCytIntra-species-checked": "testedAndGuaranteed", "FlowCytIntra-species-dilution-info": "1/90", "FlowCytIntra-species-notes": "<p><a href='/en-us/products/primary-antibodies/rabbit-igg-monoclonal-epr25a-isotype-control-ab172730'>ab172730</a> - Rabbit monoclonal IgG, is suitable for use as an isotype control with this antibody.</p>", "IHCP-species-checked": "testedAndGuaranteed", "IHCP-species-dilution-info": "1/250 - 1/500", "IHCP-species-notes": "<p></p>" }, "Mouse": { "WB-species-checked": "testedAndGuaranteed", "WB-species-dilution-info": "1/1000 - 1/10000", "WB-species-notes": "<p></p>", "FlowCytIntra-species-checked": "guaranteed", "FlowCytIntra-species-dilution-info": "", "FlowCytIntra-species-notes": "", "IHCP-species-checked": "guaranteed", "IHCP-species-dilution-info": "", "IHCP-species-notes": "" } } }

Product details

Patented technology
Our RabMAb® technology is a patented hybridoma-based technology for making rabbit monoclonal antibodies. For details on our patents, please refer to RabMAb® patents.

What are the advantages of a recombinant monoclonal antibody?
This product is a recombinant monoclonal antibody, which offers several advantages including:

  • - High batch-to-batch consistency and reproducibility
  • - Improved sensitivity and specificity
  • - Long-term security of supply
  • - Animal-free batch production

For more information, read more on recombinant antibodies.

Properties and storage information

Form
Liquid
Purification technique
Affinity purification Protein A
Storage buffer
pH: 7.2 - 7.4 Preservative: 0.01% Sodium azide Constituents: PBS, 40% Glycerol (glycerin, glycerine), 0.05% BSA
Shipped at conditions
Blue Ice
Appropriate short-term storage duration
1-2 weeks
Appropriate short-term storage conditions
+4°C
Appropriate long-term storage conditions
-20°C
Aliquoting information
Upon delivery aliquot
Storage information
Avoid freeze / thaw cycle

Product protocols

For this product, it's our understanding that no specific protocols are required. You can visit:

Target data

Plays a role in vesicle-mediated protein trafficking to lysosomal compartments including the endocytic membrane transport and autophagic pathways. Believed to act as a core component of the putative HOPS and CORVET endosomal tethering complexes which are proposed to be involved in the Rab5-to-Rab7 endosome conversion probably implicating MON1A/B, and via binding SNAREs and SNARE complexes to mediate tethering and docking events during SNARE-mediated membrane fusion. The HOPS complex is proposed to be recruited to Rab7 on the late endosomal membrane and to regulate late endocytic, phagocytic and autophagic traffic towards lysosomes. The CORVET complex is proposed to function as a Rab5 effector to mediate early endosome fusion probably in specific endosome subpopulations (PubMed : 11382755, PubMed : 23351085, PubMed : 24554770, PubMed : 25266290, PubMed : 25783203). Required for fusion of endosomes and autophagosomes with lysosomes (PubMed : 25783203). Involved in cargo transport from early to late endosomes and required for the transition from early to late endosomes (PubMed : 21148287). Involved in the retrograde Shiga toxin transport (PubMed : 23593995).
See full target information VPS11

Publications (3)

Recent publications for all applications. Explore the full list and refine your search

Molecular medicine reports 31: PubMed39450567

2024

S100A16 stabilizes the ITGA3‑mediated ECM‑receptor interaction pathway to drive the malignant properties of lung adenocarcinoma cells via binding MOV10.

Applications

Unspecified application

Species

Unspecified reactive species

Lianren Yang,Ajuan Shen,Rujun Wang,Zhihui Zheng

Nature communications 14:6360 PubMed37821429

2023

C9orf72-catalyzed GTP loading of Rab39A enables HOPS-mediated membrane tethering and fusion in mammalian autophagy.

Applications

Unspecified application

Species

Unspecified reactive species

Shen Zhang,Mindan Tong,Denghao Zheng,Huiying Huang,Linsen Li,Christian Ungermann,Yi Pan,Hanyan Luo,Ming Lei,Zaiming Tang,Wan Fu,She Chen,Xiaoxia Liu,Qing Zhong

ASN neuro 13:17590914211009851 PubMed33874780

2021

Characterization of the Expression of Vacuolar Protein Sorting 11 (Vps11) in Mammalian Oligodendrocytes.

Applications

Unspecified application

Species

Unspecified reactive species

Robert P Skoff,Denise Bessert,Shreya Banerjee,Xixia Luo,Ryan Thummel
View all publications

Product promise

We are committed to supporting your work with high-quality reagents, and we're here for you every step of the way. In the unlikely event that one of our products does not perform as expected, you're protected by our Product Promise.
For full details, please see our Terms & Conditions

Please note: All products are 'FOR RESEARCH USE ONLY. NOT FOR USE IN DIAGNOSTIC OR THERAPEUTIC PROCEDURES'.

For licensing inquiries, please contact partnerships@abcam.com