JavaScript is disabled in your browser. Please enable JavaScript to view this website.
AB175930

Anti-VPS24 antibody [EPR12821]

Be the first to review this product! Submit a review

|

(4 Publications)

Rabbit Recombinant Monoclonal VPS24 antibody. Suitable for IHC-P, IP, WB, Flow Cyt (Intra) and reacts with Human samples. Cited in 4 publications.

View Alternative Names

CGI149, NEDF, VPS24, CGI-149, CHMP3, Charged multivesicular body protein 3, Chromatin-modifying protein 3, Neuroendocrine differentiation factor, Vacuolar protein sorting-associated protein 24, hVps24

5 Images
Flow Cytometry (Intracellular) - Anti-VPS24 antibody [EPR12821] (AB175930)
  • Flow Cyt (Intra)

Supplier Data

Flow Cytometry (Intracellular) - Anti-VPS24 antibody [EPR12821] (AB175930)

Intracellular flow cytometric analysis of permeabilized 293T cells labeling VPS24 with ab175930 at 1/10 dilution (red) or a rabbit IgG (negative) (green).

Immunohistochemistry (Formalin/PFA-fixed paraffin-embedded sections) - Anti-VPS24 antibody [EPR12821] (AB175930)
  • IHC-P

Supplier Data

Immunohistochemistry (Formalin/PFA-fixed paraffin-embedded sections) - Anti-VPS24 antibody [EPR12821] (AB175930)

Immunohistochemical analysis of paraffin-embedded human cervical carcinoma tissue using labeling VPS24 with ab175930 at 1/50 dilution

Perform heat mediated antigen retrieval before commencing with IHC staining protocol.

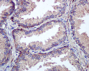
Immunohistochemistry (Formalin/PFA-fixed paraffin-embedded sections) - Anti-VPS24 antibody [EPR12821] (AB175930)
  • IHC-P

Supplier Data

Immunohistochemistry (Formalin/PFA-fixed paraffin-embedded sections) - Anti-VPS24 antibody [EPR12821] (AB175930)

Immunohistochemical analysis of paraffin-embedded human prostate tissue labeling VPS24 with ab175930 at 1/50 dilution

Perform heat mediated antigen retrieval before commencing with IHC staining protocol.

Immunoprecipitation - Anti-VPS24 antibody [EPR12821] (AB175930)
  • IP

Supplier Data

Immunoprecipitation - Anti-VPS24 antibody [EPR12821] (AB175930)

Western blot analysis on immunoprecipitation pellet from (1) HepG2 cells lysate or (2) 1X PBS (negative control) using ab175930 at 1/10 dilution, and HRP-conjugated anti-rabbit IgG preferentially detecting the non-reduced form of rabbit IgG.

All lanes:

Immunoprecipitation - Anti-VPS24 antibody [EPR12821] (ab175930)

Predicted band size: 25 kDa

false

Western blot - Anti-VPS24 antibody [EPR12821] (AB175930)
  • WB

Supplier Data

Western blot - Anti-VPS24 antibody [EPR12821] (AB175930)

All lanes:

Western blot - Anti-VPS24 antibody [EPR12821] (ab175930) at 1/1000 dilution

Lane 1:

293T cell lysate at 10 µg

Lane 2:

HepG2 cell lysate at 10 µg

Lane 3:

U87-MG cell lysate at 10 µg

Lane 4:

Fetal brain tissue lysate at 10 µg

Predicted band size: 25 kDa

false

  • Carrier free

    Anti-VPS24 antibody [EPR12821] - BSA and Azide free

Key facts

Host species

Rabbit

Clonality

Monoclonal

Clone number

EPR12821

Isotype

IgG

Carrier free

No

Reacts with

Human

Applications

IHC-P, WB, Flow Cyt (Intra), IP

applications

Immunogen

The exact immunogen used to generate this antibody is proprietary information.

Reactivity data

{ "title": "Reactivity Data", "filters": { "stats": ["", "Species", "Dilution Info", "Notes"], "tabs": { "all-applications": {"fullname" : "All Applications", "shortname": "All Applications"}, "IHCP" : {"fullname" : "Immunohistochemistry (Formalin/PFA-fixed paraffin-embedded sections)", "shortname":"IHC-P"}, "IP" : {"fullname" : "Immunoprecipitation", "shortname":"IP"}, "WB" : {"fullname" : "Western blot", "shortname":"WB"}, "ICCIF" : {"fullname" : "Immunocytochemistry/ Immunofluorescence", "shortname":"ICC/IF"}, "FlowCytIntra" : {"fullname" : "Flow Cytometry (Intracellular)", "shortname":"Flow Cyt (Intra)"} }, "product-promise": { "all": "all", "testedAndGuaranteed": "tested", "guaranteed": "expected", "predicted": "predicted", "notRecommended": "not-recommended" } }, "values": { "Human": { "IHCP-species-checked": "testedAndGuaranteed", "IHCP-species-dilution-info": "1/50 - 1/100", "IHCP-species-notes": "<p></p>", "IP-species-checked": "testedAndGuaranteed", "IP-species-dilution-info": "1/10 - 1/100", "IP-species-notes": "<p></p>", "WB-species-checked": "testedAndGuaranteed", "WB-species-dilution-info": "1/1000 - 1/10000", "WB-species-notes": "<p></p>", "ICCIF-species-checked": "notRecommended", "ICCIF-species-dilution-info": "", "ICCIF-species-notes": "<p></p>", "FlowCytIntra-species-checked": "testedAndGuaranteed", "FlowCytIntra-species-dilution-info": "1/10 - 1/100", "FlowCytIntra-species-notes": "<p><a href='/en-us/products/primary-antibodies/rabbit-igg-monoclonal-epr25a-isotype-control-ab172730'>ab172730</a> - Rabbit monoclonal IgG, is suitable for use as an isotype control with this antibody.</p>" }, "Mouse": { "IHCP-species-checked": "predicted", "IHCP-species-dilution-info": "", "IHCP-species-notes": "", "IP-species-checked": "predicted", "IP-species-dilution-info": "", "IP-species-notes": "", "WB-species-checked": "predicted", "WB-species-dilution-info": "", "WB-species-notes": "", "ICCIF-species-checked": "notRecommended", "ICCIF-species-dilution-info": "", "ICCIF-species-notes": "", "FlowCytIntra-species-checked": "predicted", "FlowCytIntra-species-dilution-info": "", "FlowCytIntra-species-notes": "" }, "Rat": { "IHCP-species-checked": "predicted", "IHCP-species-dilution-info": "", "IHCP-species-notes": "", "IP-species-checked": "predicted", "IP-species-dilution-info": "", "IP-species-notes": "", "WB-species-checked": "predicted", "WB-species-dilution-info": "", "WB-species-notes": "", "ICCIF-species-checked": "notRecommended", "ICCIF-species-dilution-info": "", "ICCIF-species-notes": "", "FlowCytIntra-species-checked": "predicted", "FlowCytIntra-species-dilution-info": "", "FlowCytIntra-species-notes": "" } } }

Product details

Patented technology
Our RabMAb® technology is a patented hybridoma-based technology for making rabbit monoclonal antibodies. For details on our patents, please refer to RabMAb® patents.

What are the advantages of a recombinant monoclonal antibody?
This product is a recombinant monoclonal antibody, which offers several advantages including:

  • - High batch-to-batch consistency and reproducibility
  • - Improved sensitivity and specificity
  • - Long-term security of supply
  • - Animal-free batch production

For more information, read more on recombinant antibodies.

Properties and storage information

Form
Liquid
Purity
Tissue culture supernatant
Storage buffer
pH: 7.2 - 7.4 Preservative: 0.01% Sodium azide Constituents: PBS, 50% Tissue culture supernatant, 40% Glycerol (glycerin, glycerine), 0.05% BSA
Shipped at conditions
Blue Ice
Appropriate short-term storage duration
1-2 weeks
Appropriate short-term storage conditions
+4°C
Appropriate long-term storage conditions
-20°C
Aliquoting information
Upon delivery aliquot
Storage information
Avoid freeze / thaw cycle

Product protocols

For this product, it's our understanding that no specific protocols are required. You can visit:

Target data

Probable core component of the endosomal sorting required for transport complex III (ESCRT-III) which is involved in multivesicular bodies (MVBs) formation and sorting of endosomal cargo proteins into MVBs. MVBs contain intraluminal vesicles (ILVs) that are generated by invagination and scission from the limiting membrane of the endosome and mostly are delivered to lysosomes enabling degradation of membrane proteins, such as stimulated growth factor receptors, lysosomal enzymes and lipids. The MVB pathway appears to require the sequential function of ESCRT-O, -I,-II and -III complexes. ESCRT-III proteins mostly dissociate from the invaginating membrane before the ILV is released. The ESCRT machinery also functions in topologically equivalent membrane fission events, such as the terminal stages of cytokinesis and the budding of enveloped viruses (HIV-1 and other lentiviruses). ESCRT-III proteins are believed to mediate the necessary vesicle extrusion and/or membrane fission activities, possibly in conjunction with the AAA ATPase VPS4. Selectively binds to phosphatidylinositol 3,5-bisphosphate PtdIns(3,5)P2 and PtdIns(3,4)P2 in preference to other phosphoinositides tested. Involved in late stages of cytokinesis. Plays a role in endosomal sorting/trafficking of EGF receptor. Isoform 2 prevents stress-mediated cell death and accumulation of reactive oxygen species when expressed in yeast cells.
See full target information CHMP3

Publications (4)

Recent publications for all applications. Explore the full list and refine your search

Journal of Cancer 16:660-679 PubMed39744500

2025

Cell-type-specific regulators landscape and regulatory mechanisms underlying pyroptosis in uterine corpus endometrial carcinoma.

Applications

Unspecified application

Species

Unspecified reactive species

Hongrui Guo,Wufeng Qin,Jinpeng Li,Fucheng Wang,Jiaolin Yang,Yaling Wang,Xinglin Zhang,Yuanyuan Ding,Kaiwen Ting,Xia Li,Jingru Ji,Yanyan Han,Ailing Hui,Huancheng Su,Sanyuan Zhang,Zhe Wang

Cells 12: PubMed37998360

2023

Proximity Interactome Analysis of Super Conserved Receptors Expressed in the Brain Identifies EPB41L2, SLC3A2, and LRBA as Main Partners.

Applications

Unspecified application

Species

Unspecified reactive species

Abeer Kaafarani,Romain Darche-Gabinaud,Xavier Bisteau,Virginie Imbault,Valérie Wittamer,Marc Parmentier,Isabelle Pirson

Nature cell biology 22:187-199 PubMed31932738

2020

The LC3-conjugation machinery specifies the loading of RNA-binding proteins into extracellular vesicles.

Applications

Unspecified application

Species

Unspecified reactive species

Andrew M Leidal,Hector H Huang,Timothy Marsh,Tina Solvik,Dachuan Zhang,Jordan Ye,FuiBoon Kai,Juliet Goldsmith,Jennifer Y Liu,Yu-Hsin Huang,Teresa Monkkonen,Ariadne Vlahakis,Eric J Huang,Hani Goodarzi,Li Yu,Arun P Wiita,Jayanta Debnath

Autophagy 16:782-796 PubMed31286822

2019

Disrupting the TRIB3-SQSTM1 interaction reduces liver fibrosis by restoring autophagy and suppressing exosome-mediated HSC activation.

Applications

Unspecified application

Species

Unspecified reactive species

Xiao-Wei Zhang,Ji-Chao Zhou,Dian Peng,Fang Hua,Ke Li,Jiao-Jiao Yu,Xiao-Xi Lv,Bing Cui,Shan-Shan Liu,Jin-Mei Yu,Feng Wang,Cai-Cai Jin,Zhao-Na Yang,Chen-Xi Zhao,Xue-Ying Hou,Bo Huang,Zhuo-Wei Hu
View all publications

Product promise

We are committed to supporting your work with high-quality reagents, and we're here for you every step of the way. In the unlikely event that one of our products does not perform as expected, you're protected by our Product Promise.
For full details, please see our Terms & Conditions

Please note: All products are 'FOR RESEARCH USE ONLY. NOT FOR USE IN DIAGNOSTIC OR THERAPEUTIC PROCEDURES'.

For licensing inquiries, please contact partnerships@abcam.com