JavaScript is disabled in your browser. Please enable JavaScript to view this website.
AB167172

Anti-VPS28 antibody [EPR9881(B)]

Be the first to review this product! Submit a review

|

(4 Publications)

Rabbit Recombinant Monoclonal VPS28 antibody. Suitable for IHC-P, WB, ICC/IF and reacts with Human, Mouse, Rat samples. Cited in 4 publications.

View Alternative Names

Vacuolar protein sorting-associated protein 28 homolog, H-Vps28, ESCRT-I complex subunit VPS28, VPS28

3 Images
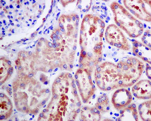
Immunohistochemistry (Formalin/PFA-fixed paraffin-embedded sections) - Anti-VPS28 antibody [EPR9881(B)] (AB167172)
  • IHC-P

Unknown

Immunohistochemistry (Formalin/PFA-fixed paraffin-embedded sections) - Anti-VPS28 antibody [EPR9881(B)] (AB167172)

Immunohistochemical analysis of paraffin-embedded Human kidney tissue labeling VPS28 with ab167172 at 1/50 dilution.

Perform heat mediated antigen retrieval with citrate buffer pH 6 before commencing with IHC staining protocol.

Immunocytochemistry/ Immunofluorescence - Anti-VPS28 antibody [EPR9881(B)] (AB167172)
  • ICC/IF

Unknown

Immunocytochemistry/ Immunofluorescence - Anti-VPS28 antibody [EPR9881(B)] (AB167172)

Immunofluorescence analysis of HepG2 cells labeling VPS28 with ab167172 at 1/100 dilution.

Western blot - Anti-VPS28 antibody [EPR9881(B)] (AB167172)
  • WB

Unknown

Western blot - Anti-VPS28 antibody [EPR9881(B)] (AB167172)

All lanes:

Western blot - Anti-VPS28 antibody [EPR9881(B)] (ab167172) at 1/1000 dilution

Lane 1:

HepG2 cell lysate at 10 µg

Lane 2:

Jurkat cell lysate at 10 µg

Lane 3:

Human fetal brain tissue lysate at 10 µg

Lane 4:

A549 cell lysate at 10 µg

Lane 5:

Human fetal liver tissue lysate at 10 µg

Secondary

All lanes:

Goat anti-rabbit HRP at 1/2000 dilution

Predicted band size: 25 kDa

false

  • Carrier free

    Anti-VPS28 antibody [EPR9881(B)] - BSA and Azide free

Key facts

Host species

Rabbit

Clonality

Monoclonal

Clone number

EPR9881(B)

Isotype

IgG

Carrier free

No

Reacts with

Human

Applications

WB, ICC/IF, IHC-P

applications

Immunogen

The exact immunogen used to generate this antibody is proprietary information.

Reactivity data

{ "title": "Reactivity Data", "filters": { "stats": ["", "Species", "Dilution Info", "Notes"], "tabs": { "all-applications": {"fullname" : "All Applications", "shortname": "All Applications"}, "IHCP" : {"fullname" : "Immunohistochemistry (Formalin/PFA-fixed paraffin-embedded sections)", "shortname":"IHC-P"}, "IP" : {"fullname" : "Immunoprecipitation", "shortname":"IP"}, "WB" : {"fullname" : "Western blot", "shortname":"WB"}, "ICCIF" : {"fullname" : "Immunocytochemistry/ Immunofluorescence", "shortname":"ICC/IF"} }, "product-promise": { "all": "all", "testedAndGuaranteed": "tested", "guaranteed": "expected", "predicted": "predicted", "notRecommended": "not-recommended" } }, "values": { "Human": { "IHCP-species-checked": "testedAndGuaranteed", "IHCP-species-dilution-info": "1/50 - 1/100", "IHCP-species-notes": "<p></p>", "IP-species-checked": "notRecommended", "IP-species-dilution-info": "", "IP-species-notes": "<p></p>", "WB-species-checked": "testedAndGuaranteed", "WB-species-dilution-info": "1/1000 - 1/10000", "WB-species-notes": "<p></p>", "ICCIF-species-checked": "testedAndGuaranteed", "ICCIF-species-dilution-info": "1/100 - 1/250", "ICCIF-species-notes": "<p></p>" }, "Mouse": { "IHCP-species-checked": "predicted", "IHCP-species-dilution-info": "", "IHCP-species-notes": "", "IP-species-checked": "notRecommended", "IP-species-dilution-info": "", "IP-species-notes": "", "WB-species-checked": "guaranteed", "WB-species-dilution-info": "", "WB-species-notes": "<p></p>", "ICCIF-species-checked": "predicted", "ICCIF-species-dilution-info": "", "ICCIF-species-notes": "" }, "Rat": { "IHCP-species-checked": "predicted", "IHCP-species-dilution-info": "", "IHCP-species-notes": "", "IP-species-checked": "notRecommended", "IP-species-dilution-info": "", "IP-species-notes": "", "WB-species-checked": "guaranteed", "WB-species-dilution-info": "", "WB-species-notes": "<p></p>", "ICCIF-species-checked": "predicted", "ICCIF-species-dilution-info": "", "ICCIF-species-notes": "" } } }

Product details

Patented technology
Our RabMAb® technology is a patented hybridoma-based technology for making rabbit monoclonal antibodies. For details on our patents, please refer to RabMAb® patents.

What are the advantages of a recombinant monoclonal antibody?
This product is a recombinant monoclonal antibody, which offers several advantages including:

  • - High batch-to-batch consistency and reproducibility
  • - Improved sensitivity and specificity
  • - Long-term security of supply
  • - Animal-free batch production

For more information, read more on recombinant antibodies.

Properties and storage information

Form
Liquid
Purification technique
Affinity purification Protein A
Storage buffer
pH: 7.2 - 7.4 Preservative: 0.01% Sodium azide Constituents: PBS, 50% Tissue culture supernatant, 40% Glycerol (glycerin, glycerine), 0.05% BSA
Shipped at conditions
Blue Ice
Appropriate short-term storage duration
1-2 weeks
Appropriate short-term storage conditions
+4°C
Appropriate long-term storage conditions
-20°C
Aliquoting information
Upon delivery aliquot

Product protocols

For this product, it's our understanding that no specific protocols are required. You can visit:

Target data

Component of the ESCRT-I complex, a regulator of vesicular trafficking process.
See full target information VPS28

Publications (4)

Recent publications for all applications. Explore the full list and refine your search

Nature communications 16:8262 PubMed40998803

2025

Targeting prostaglandin E receptor 2 in Schwann cells inhibits inflammatory pain but not inflammation.

Applications

Unspecified application

Species

Unspecified reactive species

Romina Nassini,Lorenzo Landini,Matilde Marini,Martina Chieca,Daniel Souza Monteiro de Araújo,Marco Montini,Pasquale Pensieri,Vittorio Donato Abruzzese,Gaetano De Siena,Jin Zhang,Elisa Bellantoni,Vincenzo De Giorgi,Antonia Romitelli,Giulia Brancolini,Raquel Tonello,Chloe J Peach,Alessandra Mastricci,Irene Scuffi,Martina Tesi,Dane D Jensen,Brian L Schmidt,Nigel W Bunnett,Francesco De Logu,Pierangelo Geppetti

Cellular and molecular life sciences : CMLS 81:458 PubMed39560723

2024

NFκB and JNK pathways mediate metabolic adaptation upon ESCRT-I deficiency.

Applications

Unspecified application

Species

Unspecified reactive species

Jaroslaw Cendrowski,Marta Wrobel,Michal Mazur,Bartosz Jary,Ranjana Maurya,Surui Wang,Michal Korostynski,Anna Dziewulska,Maria Rohm,Patryk Kuropka,Natalia Pudelko-Malik,Piotr Mlynarz,Agnieszka Dobrzyn,Anja Zeigerer,Marta Miaczynska

Life science alliance 5: PubMed35354596

2022

ESCRT-I fuels lysosomal degradation to restrict TFEB/TFE3 signaling via the Rag-mTORC1 pathway.

Applications

Unspecified application

Species

Unspecified reactive species

Marta Wróbel,Jarosław Cendrowski,Ewelina Szymańska,Malwina Grębowicz-Maciukiewicz,Noga Budick-Harmelin,Matylda Macias,Aleksandra Szybińska,Michał Mazur,Krzysztof Kolmus,Krzysztof Goryca,Michalina Dąbrowska,Agnieszka Paziewska,Michał Mikula,Marta Miączyńska

Journal of cell science 131: PubMed30333141

2018

The topology of the lymphotoxin β receptor that accumulates upon endolysosomal dysfunction dictates the NF-κB signaling outcome.

Applications

Unspecified application

Species

Unspecified reactive species

Magdalena Banach-Orłowska,Kamil Jastrzębski,Jarosław Cendrowski,Małgorzata Maksymowicz,Karolina Wojciechowska,Michał Korostyński,Dimitri Moreau,Jean Gruenberg,Marta Miaczynska
View all publications

Product promise

We are committed to supporting your work with high-quality reagents, and we're here for you every step of the way. In the unlikely event that one of our products does not perform as expected, you're protected by our Product Promise.
For full details, please see our Terms & Conditions

Please note: All products are 'FOR RESEARCH USE ONLY. NOT FOR USE IN DIAGNOSTIC OR THERAPEUTIC PROCEDURES'.

For licensing inquiries, please contact partnerships@abcam.com