JavaScript is disabled in your browser. Please enable JavaScript to view this website.
AB236796

Anti-VPS29 antibody

Be the first to review this product! Submit a review

|

(7 Publications)

Rabbit Polyclonal VPS29 antibody. Suitable for WB, IHC-P and reacts with Mouse, Human samples. Cited in 7 publications. Immunogen corresponding to Recombinant Fragment Protein within Human VPS29 aa 50-150.

View Alternative Names

DC15, DC7, MDS007, VPS29, Vacuolar protein sorting-associated protein 29, hVPS29, PEP11 homolog, Vesicle protein sorting 29

2 Images
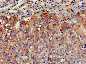
Immunohistochemistry (Formalin/PFA-fixed paraffin-embedded sections) - Anti-VPS29 antibody (AB236796)
  • IHC-P

Supplier Data

Immunohistochemistry (Formalin/PFA-fixed paraffin-embedded sections) - Anti-VPS29 antibody (AB236796)

Paraffin-embedded human adrenal gland tissue stained for VPS29 using ab236796 at 1/100 dilution in immunohistochemical analysis.

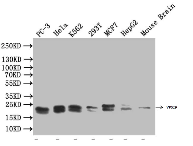
Western blot - Anti-VPS29 antibody (AB236796)
  • WB

Supplier Data

Western blot - Anti-VPS29 antibody (AB236796)

All lanes:

Western blot - Anti-VPS29 antibody (ab236796) at 1/1000 dilution

Lane 1:

PC-3 cell lysate

Lane 2:

HeLa cell lysate

Lane 3:

K562 cell lysate

Lane 4:

HEK 293T cell lysate

Lane 5:

MCF-7 cell lysate

Lane 6:

HepG2 cell lysate

Lane 7:

Mouse Brain lysate

Secondary

All lanes:

Goat polyclonal to rabbit IgG at 1/50000 dilution

Predicted band size: 21 kDa

Observed band size: 21 kDa

false

Key facts

Host species

Rabbit

Clonality

Polyclonal

Isotype

IgG

Carrier free

No

Reacts with

Mouse, Human

Applications

WB, IHC-P

applications

Immunogen

Recombinant Fragment Protein within Human VPS29 aa 50-150. The exact immunogen used to generate this antibody is proprietary information.

Q9UBQ0

Reactivity data

{ "title": "Reactivity Data", "filters": { "stats": ["", "Species", "Dilution Info", "Notes"], "tabs": { "all-applications": {"fullname" : "All Applications", "shortname": "All Applications"}, "WB" : {"fullname" : "Western blot", "shortname":"WB"}, "IHCP" : {"fullname" : "Immunohistochemistry (Formalin/PFA-fixed paraffin-embedded sections)", "shortname":"IHC-P"} }, "product-promise": { "all": "all", "testedAndGuaranteed": "tested", "guaranteed": "expected", "predicted": "predicted", "notRecommended": "not-recommended" } }, "values": { "Human": { "WB-species-checked": "testedAndGuaranteed", "WB-species-dilution-info": "1/500 - 1/5000", "WB-species-notes": "<p></p>", "IHCP-species-checked": "testedAndGuaranteed", "IHCP-species-dilution-info": "1/20 - 1/200", "IHCP-species-notes": "<p></p>" }, "Mouse": { "WB-species-checked": "testedAndGuaranteed", "WB-species-dilution-info": "1/500 - 1/5000", "WB-species-notes": "<p></p>", "IHCP-species-checked": "guaranteed", "IHCP-species-dilution-info": "", "IHCP-species-notes": "" } } }

Properties and storage information

Form
Liquid
Purification technique
Affinity purification Protein G
Purification notes
Purity >95%.
Storage buffer
pH: 7.4 Preservative: 0.03% Proclin 300 Constituents: PBS, 50% Glycerol (glycerin, glycerine)
Shipped at conditions
Blue Ice
Appropriate short-term storage duration
1-2 weeks
Appropriate short-term storage conditions
+4°C
Appropriate long-term storage conditions
-20°C
Aliquoting information
Upon delivery aliquot
Storage information
Avoid freeze / thaw cycle

Product protocols

For this product, it's our understanding that no specific protocols are required. You can visit:

Target data

Component of the commander complex that is essential for endosomal recycling of transmembrane cargos; the commander complex is composed of the CCC subcomplex and the retriever subcomplex (PubMed : 37172566, PubMed : 39587083, PubMed : 38062209, PubMed : 38459129). Component of the retriever complex, which is a heterotrimeric complex related to retromer cargo-selective complex (CSC) and essential for retromer-independent retrieval and recycling of numerous cargos such as integrin alpha-5/beta-1 (ITGA5 : ITGB1) (PubMed : 28892079, PubMed : 37172566, PubMed : 39587083, PubMed : 38062209, PubMed : 38459129). Component of the retromer cargo-selective complex (CSC). The CSC is believed to be the core functional component of retromer or respective retromer complex variants acting to prevent missorting of selected transmembrane cargo proteins into the lysosomal degradation pathway. The recruitment of the CSC to the endosomal membrane involves RAB7A and SNX3. The SNX-BAR retromer mediates retrograde transport of cargo proteins from endosomes to the trans-Golgi network (TGN) and is involved in endosome-to-plasma membrane transport for cargo protein recycling. The SNX3-retromer mediates the retrograde endosome-to-TGN transport of WLS distinct from the SNX-BAR retromer pathway. The SNX27-retromer is believed to be involved in endosome-to-plasma membrane trafficking and recycling of a broad spectrum of cargo proteins. The CSC seems to act as recruitment hub for other proteins, such as the WASH complex and TBC1D5. Required to regulate transcytosis of the polymeric immunoglobulin receptor (pIgR-pIgA) (PubMed : 15247922, PubMed : 21725319, PubMed : 23563491). In the endosomes, retriever complex drives the retrieval and recycling of NxxY-motif-containing cargo proteins by coupling to SNX17, a cargo essential for the homeostatic maintenance of numerous cell surface proteins associated with processes that include cell migration, cell adhesion, nutrient supply and cell signaling (PubMed : 28892079, PubMed : 39587083). The recruitment of the retriever complex to the endosomal membrane involves CCC and WASH complexes (PubMed : 28892079). Involved in GLUT1 endosome-to-plasma membrane trafficking; the function is dependent of association with ANKRD27 (PubMed : 24856514).. (Microbial infection) The heterotrimeric retromer cargo-selective complex (CSC) mediates the exit of human papillomavirus from the early endosome and the delivery to the Golgi apparatus.
See full target information VPS29

Publications (7)

Recent publications for all applications. Explore the full list and refine your search

Science advances 11:eadr6415 PubMed40184468

2025

Retromer promotes the lysosomal turnover of mtDNA.

Applications

Unspecified application

Species

Unspecified reactive species

Parisa Kakanj,Mari Bonse,Arya Kshirsagar,Aylin Gökmen,Felix Gaedke,Ayesha Sen,Belén Mollá,Elisabeth Vogelsang,Astrid Schauss,Andreas Wodarz,David Pla-Martín

Molecular & cellular proteomics : MCP 22:100653 PubMed37739344

2023

FMRP Long-Range Transport and Degradation Are Mediated by Dynlrb1 in Sensory Neurons.

Applications

Unspecified application

Species

Unspecified reactive species

Sara Emad El-Agamy,Laurent Guillaud,Keiko Kono,Yibo Wu,Marco Terenzio

Alzheimer's & dementia (New York, N. Y.) 8:e12334 PubMed35910668

2022

Dysfunction of the retromer complex system contributes to amyloid and tau pathology in a stem cell model of Down syndrome.

Applications

Unspecified application

Species

Unspecified reactive species

Mary Elizabeth Curtis,Tiffany Smith,Benjamin E Blass,Domenico Praticò

mBio 13:e0300221 PubMed35229640

2022

VPS29 Exerts Opposing Effects on Endocytic Viral Entry.

Applications

Unspecified application

Species

Unspecified reactive species

Daniel Poston,Yiska Weisblum,Alvaro Hobbs,Paul D Bieniasz

Aging cell 20:e13347 PubMed33745227

2021

VPS35 D620N knockin mice recapitulate cardinal features of Parkinson's disease.

Applications

Unspecified application

Species

Unspecified reactive species

Mengyue Niu,Fanpeng Zhao,Karina Bondelid,Sandra L Siedlak,Sandy Torres,Hisashi Fujioka,Wenzhang Wang,Jun Liu,Xiongwei Zhu

Nature communications 11:3848 PubMed32737286

2020

Retromer stabilization results in neuroprotection in a model of Amyotrophic Lateral Sclerosis.

Applications

Unspecified application

Species

Unspecified reactive species

Luca Muzio,Riccardo Sirtori,Davide Gornati,Simona Eleuteri,Andrea Fossaghi,Diego Brancaccio,Leonardo Manzoni,Linda Ottoboni,Luca De Feo,Angelo Quattrini,Eloise Mastrangelo,Luca Sorrentino,Emanuele Scalone,Giancarlo Comi,Luciana Marinelli,Nilo Riva,Mario Milani,Pierfausto Seneci,Gianvito Martino

Journal of cellular physiology 236:981-996 PubMed32617965

2020

Function of DHX33 in promoting Warburg effect via regulation of glycolytic genes.

Applications

Unspecified application

Species

Unspecified reactive species

Cheng Peng,Sheng-Tao Hou,Chu-Xia Deng,Yandong Zhang
View all publications

Product promise

We are committed to supporting your work with high-quality reagents, and we're here for you every step of the way. In the unlikely event that one of our products does not perform as expected, you're protected by our Product Promise.
For full details, please see our Terms & Conditions

Please note: All products are 'FOR RESEARCH USE ONLY. NOT FOR USE IN DIAGNOSTIC OR THERAPEUTIC PROCEDURES'.

For licensing inquiries, please contact partnerships@abcam.com