JavaScript is disabled in your browser. Please enable JavaScript to view this website.
AB315335

Anti-VPS29 antibody [EPR28122-8] - BSA and Azide free

Be the first to review this product! Submit a review

|

(0 Publication)

Rabbit Recombinant Monoclonal VPS29 antibody. Carrier free. Suitable for WB, IP and reacts with Human, Mouse, Rat samples.

View Alternative Names

DC15, DC7, MDS007, VPS29, Vacuolar protein sorting-associated protein 29, hVPS29, PEP11 homolog, Vesicle protein sorting 29

4 Images
Immunoprecipitation - Anti-VPS29 antibody [EPR28122-8] - BSA and Azide free (AB315335)
  • IP

Supplier Data

Immunoprecipitation - Anti-VPS29 antibody [EPR28122-8] - BSA and Azide free (AB315335)

This data was developed using ab315334, the same antibody clone in a different buffer formulation.

VPS29 was immunoprecipitated from 0.35 mg PC-3 (human prostate adenocarcinoma epithelial cell) whole cell lysate with ab315334 at 1/30 dilution (2ug in 0.35mg lysates). Western blot was performed on the immunoprecipitate using ab315334 at 1/1000 dilution. VeriBlot for IP secondary antibody(HRP)(ab131366) was used at 1/5000 dilution.

Blocking and diluting buffer and concentration : 5% NFDM/TBST.

All lanes:

Immunoprecipitation - Anti-VPS29 antibody [EPR28122-8] (<a href='/en-us/products/primary-antibodies/vps29-antibody-epr28122-8-ab315334'>ab315334</a>) at 1/1000 dilution

Lane 1:

PC-3 (human prostate adenocarcinoma epithelial cell) whole cell lysate

Lane 2:

<a href='/en-us/products/primary-antibodies/vps29-antibody-epr28122-8-ab315334'>ab315334</a> IP at 1/30 in PC-3 (human prostate adenocarcinoma epithelial cell) whole cell lysate

Lane 3:

Rabbit monoclonal IgG (<a href='/en-us/products/primary-antibodies/rabbit-igg-monoclonal-epr25a-isotype-control-ab172730'>ab172730</a>) instead of <a href='/en-us/products/primary-antibodies/vps29-antibody-epr28122-8-ab315334'>ab315334</a> in PC-3 whole cell lysate

Secondary

All lanes:

Immunoprecipitation - VeriBlot for IP Detection Reagent (HRP) (<a href='/en-us/products/reagents/veriblot-for-ip-detection-reagent-hrp-ab131366'>ab131366</a>) at 1/5000 dilution

false

Exposure time: 180s

Western blot - Anti-VPS29 antibody [EPR28122-8] - BSA and Azide free (AB315335)
  • WB

Supplier Data

Western blot - Anti-VPS29 antibody [EPR28122-8] - BSA and Azide free (AB315335)

This data was developed using ab315334, the same antibody clone in a different buffer formulation.

Blocking and diluting buffer and concentration : 5% NFDM/TBST.

All lanes:

Western blot - Anti-VPS29 antibody [EPR28122-8] (<a href='/en-us/products/primary-antibodies/vps29-antibody-epr28122-8-ab315334'>ab315334</a>) at 1/1000 dilution

Lane 1:

Human spleen tissue lysate at 20 µg

Lane 2:

Human thalamus tissue lysate at 20 µg

Lane 3:

Human placenta tissue lysate at 20 µg

Lane 4:

Mouse spleen tissue lysate at 20 µg

Lane 5:

Mouse thymus tissue lysate at 20 µg

Lane 6:

Mouse placenta tissue lysate at 20 µg

Lane 7:

Rat spleen tissue lysate at 20 µg

Lane 8:

Rat thymus tissue lysate at 20 µg

Lane 9:

Rat placenta tissue lysate at 20 µg

Secondary

All lanes:

Western blot - Goat Anti-Rabbit IgG H&L (HRP) (<a href='/en-us/products/secondary-antibodies/goat-rabbit-igg-h-l-hrp-ab97051'>ab97051</a>) at 1/100000 dilution

Observed band size: 20 kDa

false

Exposure time: 15s

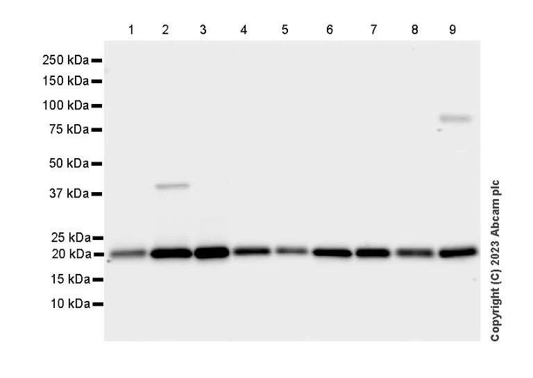
Western blot - Anti-VPS29 antibody [EPR28122-8] - BSA and Azide free (AB315335)
  • WB

Supplier Data

Western blot - Anti-VPS29 antibody [EPR28122-8] - BSA and Azide free (AB315335)

This data was developed using ab315334, the same antibody clone in a different buffer formulation.

The identity of the higher MW band at approximately 75 kDa is unknown.

Blocking and diluting buffer and concentration : 5% NFDM/TBST.

All lanes:

Western blot - Anti-VPS29 antibody [EPR28122-8] (<a href='/en-us/products/primary-antibodies/vps29-antibody-epr28122-8-ab315334'>ab315334</a>) at 1/1000 dilution

Lane 1:

HeLa (human cervical adenocarcinoma epithelial cell) whole cell lysate at 20 µg

Lane 2:

PANC-1 (human pancreatic epithelioid carcinoma epithelial cell) whole cell lysate at 20 µg

Lane 3:

T-47D (human ductal breast epithelial tumor epithelial cell) whole cell lysate at 20 µg

Lane 4:

NIH/3T3 (mouse embryonic fibroblast) whole cell lysate at 20 µg

Lane 5:

MEF (mouse embryo fibroblast) whole cell lysate 20 μg at 20 µg

Lane 6:

Neuro-2a (mouse neuroblastoma neuroblast) whole cell lysate at 20 µg

Lane 7:

C6 (rat glial tumor glial cell) whole cell lysate at 20 µg

Lane 8:

PC-12 (rat adrenal gland pheochromocytoma cell) whole cell lysate at 20 µg

Secondary

All lanes:

Western blot - Goat Anti-Rabbit IgG H&L (HRP) (<a href='/en-us/products/secondary-antibodies/goat-rabbit-igg-h-l-hrp-ab97051'>ab97051</a>) at 1/100000 dilution

Observed band size: 20 kDa

false

Exposure time: 15s

Western blot - Anti-VPS29 antibody [EPR28122-8] - BSA and Azide free (AB315335)
  • WB

Supplier Data

Western blot - Anti-VPS29 antibody [EPR28122-8] - BSA and Azide free (AB315335)

This data was developed using ab315334, the same antibody clone in a different buffer formulation.

In Western blot, Anti-GAPDH antibody [EPR16891] - Loading Control (ab181602) staining at 1/200000 dilution.

Blocking and diluting buffer and concentration : 5% NFDM/TBST.

All lanes:

Western blot - Anti-VPS29 antibody [EPR28122-8] (<a href='/en-us/products/primary-antibodies/vps29-antibody-epr28122-8-ab315334'>ab315334</a>) at 1/1000 dilution

Lane 1:

PC-3 (human prostate adenocarcinoma epithelial cell) transfected with scrambled siRNA control whole cell lysate at 20 µg

Lane 2:

PC-3 transfected with siRNA specifically targeting VPS29 whole cell lysate at 20 µg

Secondary

All lanes:

Western blot - Goat Anti-Rabbit IgG H&L (HRP) (<a href='/en-us/products/secondary-antibodies/goat-rabbit-igg-h-l-hrp-ab97051'>ab97051</a>) at 1/100000 dilution

Observed band size: 20 kDa,36 kDa

false

Exposure time: 26s

Key facts

Host species

Rabbit

Clonality

Monoclonal

Clone number

EPR28122-8

Isotype

IgG

Carrier free

Yes

Reacts with

Human, Mouse, Rat

Applications

WB, IP

applications

Immunogen

The exact immunogen used to generate this antibody is proprietary information.

Reactivity data

{ "title": "Reactivity Data", "filters": { "stats": ["", "Species", "Dilution Info", "Notes"], "tabs": { "all-applications": {"fullname" : "All Applications", "shortname": "All Applications"}, "WB" : {"fullname" : "Western blot", "shortname":"WB"}, "IP" : {"fullname" : "Immunoprecipitation", "shortname":"IP"}, "IHCP" : {"fullname" : "Immunohistochemistry (Formalin/PFA-fixed paraffin-embedded sections)", "shortname":"IHC-P"}, "FlowCytIntra" : {"fullname" : "Flow Cytometry (Intracellular)", "shortname":"Flow Cyt (Intra)"}, "ICCIF" : {"fullname" : "Immunocytochemistry/ Immunofluorescence", "shortname":"ICC/IF"} }, "product-promise": { "all": "all", "testedAndGuaranteed": "tested", "guaranteed": "expected", "predicted": "predicted", "notRecommended": "not-recommended" } }, "values": { "Human": { "WB-species-checked": "testedAndGuaranteed", "WB-species-dilution-info": "", "WB-species-notes": "<p></p>", "IP-species-checked": "testedAndGuaranteed", "IP-species-dilution-info": "", "IP-species-notes": "<p></p>", "IHCP-species-checked": "notRecommended", "IHCP-species-dilution-info": "", "IHCP-species-notes": "<p></p>", "FlowCytIntra-species-checked": "notRecommended", "FlowCytIntra-species-dilution-info": "", "FlowCytIntra-species-notes": "<p></p>", "ICCIF-species-checked": "notRecommended", "ICCIF-species-dilution-info": "", "ICCIF-species-notes": "<p></p>" }, "Mouse": { "WB-species-checked": "testedAndGuaranteed", "WB-species-dilution-info": "", "WB-species-notes": "<p></p>", "IP-species-checked": "guaranteed", "IP-species-dilution-info": "", "IP-species-notes": "", "IHCP-species-checked": "notRecommended", "IHCP-species-dilution-info": "", "IHCP-species-notes": "<p></p>", "FlowCytIntra-species-checked": "notRecommended", "FlowCytIntra-species-dilution-info": "", "FlowCytIntra-species-notes": "<p></p>", "ICCIF-species-checked": "notRecommended", "ICCIF-species-dilution-info": "", "ICCIF-species-notes": "<p></p>" }, "Rat": { "WB-species-checked": "testedAndGuaranteed", "WB-species-dilution-info": "", "WB-species-notes": "<p></p>", "IP-species-checked": "guaranteed", "IP-species-dilution-info": "", "IP-species-notes": "", "IHCP-species-checked": "notRecommended", "IHCP-species-dilution-info": "", "IHCP-species-notes": "<p></p>", "FlowCytIntra-species-checked": "notRecommended", "FlowCytIntra-species-dilution-info": "", "FlowCytIntra-species-notes": "<p></p>", "ICCIF-species-checked": "notRecommended", "ICCIF-species-dilution-info": "", "ICCIF-species-notes": "<p></p>" } } }

Product details

ab315335 is the carrier-free version of ab315334.

Patented technology
Our RabMAb® technology is a patented hybridoma-based technology for making rabbit monoclonal antibodies. For details on our patents, please refer to RabMAb® patents.

What are the advantages of a recombinant monoclonal antibody?
This product is a recombinant monoclonal antibody, which offers several advantages including:

  • - High batch-to-batch consistency and reproducibility
  • - Improved sensitivity and specificity
  • - Long-term security of supply
  • - Animal-free batch production

For more information, read more on recombinant antibodies.

Conjugation ready
Our carrier-free antibodies are typically supplied in a PBS-only formulation, purified and free of BSA, sodium azide and glycerol. This conjugation-ready format is designed for use with fluorochromes, metal isotopes, oligonucleotides, and enzymes, which makes them ideal for antibody labelling, functional and cell-based assays, flow-based assays (e.g. mass cytometry) and Multiplex Imaging applications.

Use our conjugation kits for antibody conjugates that are ready-to-use in as little as 20 minutes with 1 minute hands-on-time and 100% antibody recovery: available for fluorescent dyes, HRP, biotin and gold.

Compatibility
This product is compatible with the Maxpar® Antibody Labeling Kit from Fluidigm, without the need for antibody preparation. Maxpar® is a trademark of Fluidigm Canada Inc.

Properties and storage information

Form
Liquid
Purification technique
Affinity purification Protein A
Storage buffer
pH: 7.2 - 7.4 Constituents: PBS
Shipped at conditions
Blue Ice
Appropriate short-term storage conditions
+4°C
Appropriate long-term storage conditions
+4°C

Product protocols

For this product, it's our understanding that no specific protocols are required. You can visit:

Target data

Acts as a component of the retromer cargo-selective complex (CSC). The CSC is believed to be the core functional component of retromer or respective retromer complex variants acting to prevent missorting of selected transmembrane cargo proteins into the lysosomal degradation pathway. The recruitment of the CSC to the endosomal membrane involves RAB7A and SNX3. The SNX-BAR retromer mediates retrograde transport of cargo proteins from endosomes to the trans-Golgi network (TGN) and is involved in endosome-to-plasma membrane transport for cargo protein recycling. The SNX3-retromer mediates the retrograde endosome-to-TGN transport of WLS distinct from the SNX-BAR retromer pathway. The SNX27-retromer is believed to be involved in endosome-to-plasma membrane trafficking and recycling of a broad spectrum of cargo proteins. The CSC seems to act as recruitment hub for other proteins, such as the WASH complex and TBC1D5. Required to regulate transcytosis of the polymeric immunoglobulin receptor (pIgR-pIgA) (PubMed : 15247922, PubMed : 21725319, PubMed : 23563491). Acts also as component of the retriever complex. The retriever complex is a heterotrimeric complex related to retromer cargo-selective complex (CSC) and essential for retromer-independent retrieval and recycling of numerous cargos such as integrin alpha-5/beta-1 (ITGA5 : ITGB1) (PubMed : 28892079). In the endosomes, retriever complex drives the retrieval and recycling of NxxY-motif-containing cargo proteins by coupling to SNX17, a cargo essential for the homeostatic maintenance of numerous cell surface proteins associated with processes that include cell migration, cell adhesion, nutrient supply and cell signaling (PubMed : 28892079). The recruitment of the retriever complex to the endosomal membrane involves CCC and WASH complexes (PubMed : 28892079). Involved in GLUT1 endosome-to-plasma membrane trafficking; the function is dependent of association with ANKRD27 (PubMed : 24856514).. (Microbial infection) The heterotrimeric retromer cargo-selective complex (CSC) mediates the exit of human papillomavirus from the early endosome and the delivery to the Golgi apparatus.
See full target information VPS29

Product promise

We are committed to supporting your work with high-quality reagents, and we're here for you every step of the way. In the unlikely event that one of our products does not perform as expected, you're protected by our Product Promise.
For full details, please see our Terms & Conditions

Please note: All products are 'FOR RESEARCH USE ONLY. NOT FOR USE IN DIAGNOSTIC OR THERAPEUTIC PROCEDURES'.

For licensing inquiries, please contact partnerships@abcam.com