JavaScript is disabled in your browser. Please enable JavaScript to view this website.
AB240141

Anti-VPS35 antibody [EPR11501(B)] - BSA and Azide free

Be the first to review this product! Submit a review

|

(1 Publication)

Rabbit Recombinant Monoclonal VPS35 antibody. Carrier free. Suitable for IHC-P, WB, ICC/IF, Flow Cyt (Intra) and reacts with Human, Mouse, Rat samples. Cited in 1 publication.

View Alternative Names

MEM3, TCCCTA00141, VPS35, Vacuolar protein sorting-associated protein 35, hVPS35, Maternal-embryonic 3, Vesicle protein sorting 35

8 Images
Immunohistochemistry (Formalin/PFA-fixed paraffin-embedded sections) - Anti-VPS35 antibody [EPR11501(B)] - BSA and Azide free (AB240141)
  • IHC-P

Unknown

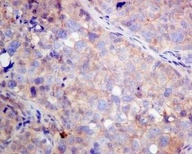
Immunohistochemistry (Formalin/PFA-fixed paraffin-embedded sections) - Anti-VPS35 antibody [EPR11501(B)] - BSA and Azide free (AB240141)

Immunohistochemical analysis of paraffin-embedded Human ovarian carcinoma tissue labeling VPS35 with ab157220 at 1/50 dilution.

This data was developed using the same antibody clone in a different buffer formulation containing PBS, BSA, glycerol, and sodium azide (ab157220).

Perform heat mediated antigen retrieval before commencing with IHC staining protocol.

Immunohistochemistry (Formalin/PFA-fixed paraffin-embedded sections) - Anti-VPS35 antibody [EPR11501(B)] - BSA and Azide free (AB240141)
  • IHC-P

Lab

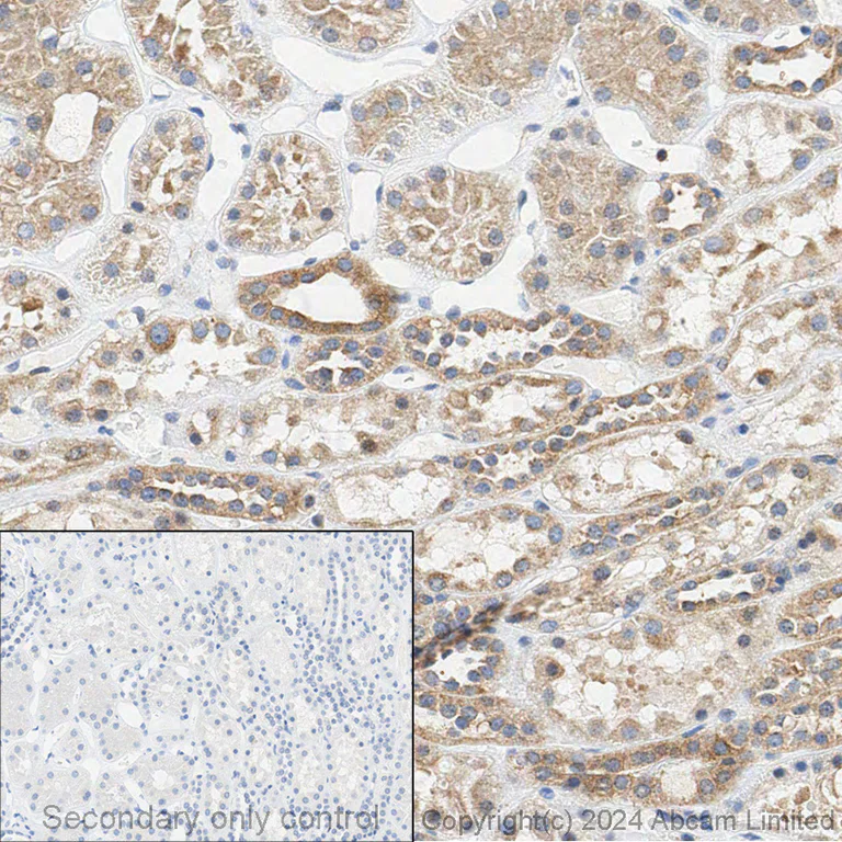
Immunohistochemistry (Formalin/PFA-fixed paraffin-embedded sections) - Anti-VPS35 antibody [EPR11501(B)] - BSA and Azide free (AB240141)

This data was developed using ab110638, the same antibody clone in a different buffer formulation.

Immunohistochemical analysis of formalin fixed paraffin embedded human kidney labelling VPS35 with ab157220 at a concentration of 0.01µg/ml. The immunostaining was performed on a Ventana DISCOVERY ULTRA (Roche Tissue Diagnostics) instrument with a OptiView DAB IHC Detection Kit. Heat mediated antigen retrieval was performed with DISCOVERY cell conditioning solution (CC1) 100°C, pH8.5 for 32mins.

ab157220 Anti-VPS35 antibody [EPR11501(B)] was incubated for 16mins at 37°C. Sections were counterstained with Hematoxylin II. Image inset shows absence of staining in secondary antibody only control.

Customers are encouraged to optimise antigen retrieval conditions, antibody concentration, incubation times and temperature for best results in their own IHC assay workflow (automated and manual).

Western blot - Anti-VPS35 antibody [EPR11501(B)] - BSA and Azide free (AB240141)
  • WB

Lab

Western blot - Anti-VPS35 antibody [EPR11501(B)] - BSA and Azide free (AB240141)

This data was developed using ab157220, the same antibody clone in a different buffer formulation.

ab157220 was shown to react with VPS35 in wild-type HAP1 cells in Western blot with loss of signal observed in a VPS35 knockout cell line. Wild-type HAP1 and VPS35 knockout cell lysates were subjected to SDS-PAGE. Membranes were blocked in 5% milk in TBST for 1 hr before incubation with ab157220 overnight at 4 °C at a 1/1000 dilution. Blots were incubated with secondary antibodies at 0.2 µg/mL before imaging.

These data were provided by YCharOS Inc., an open science company with the mission of characterizing commercially available antibody reagents for all human proteins. Abcam and YCharOS are working together to help address the reproducibility crisis by enabling the life science community to better evaluate commercially available antibodies.

All lanes:

Western blot - Anti-VPS35 antibody [EPR11501(B)] (<a href='/en-us/products/primary-antibodies/vps35-antibody-epr11501b-ab157220'>ab157220</a>) at 1/1000 dilution

Lane 1:

Wild-type HAP1 lysate at 20 µg

Lane 2:

VPS35 knock-out HAP1 lysate at 20 µg

false

Western blot - Anti-VPS35 antibody [EPR11501(B)] - BSA and Azide free (AB240141)
  • WB

Lab

Western blot - Anti-VPS35 antibody [EPR11501(B)] - BSA and Azide free (AB240141)

This data was developed using ab157220, the same antibody clone in a different buffer formulation.

Blocking and diluting buffer and concentration : 5% NFDM/TBST.

All lanes:

Western blot - Anti-VPS35 antibody [EPR11501(B)] (<a href='/en-us/products/primary-antibodies/vps35-antibody-epr11501b-ab157220'>ab157220</a>) at 1/1000 dilution

Lane 1:

Rat brain tissue lysate at 20 µg

Lane 2:

Rat heart tissue lysate at 20 µg

Lane 3:

Rat kidney tissue lysate at 20 µg

Lane 4:

Rat spleen tissue lysate at 20 µg

Secondary

All lanes:

Western blot - Goat Anti-Rabbit IgG H&L (HRP) (<a href='/en-us/products/secondary-antibodies/goat-rabbit-igg-h-l-hrp-ab97051'>ab97051</a>) at 1/100000 dilution

Observed band size: 92 kDa

false

Exposure time: 26s

Western blot - Anti-VPS35 antibody [EPR11501(B)] - BSA and Azide free (AB240141)
  • WB

Lab

Western blot - Anti-VPS35 antibody [EPR11501(B)] - BSA and Azide free (AB240141)

This data was developed using ab157220, the same antibody clone in a different buffer formulation.

Blocking and diluting buffer and concentration : 5% NFDM/TBST.

All lanes:

Western blot - Anti-VPS35 antibody [EPR11501(B)] (<a href='/en-us/products/primary-antibodies/vps35-antibody-epr11501b-ab157220'>ab157220</a>) at 1/1000 dilution

Lane 1:

C6 (rat glial tumor glial cell) whole cell lysate at 20 µg

Lane 2:

RAW 264.7 (mouse Abelson murine leukemia virus-induced tumor macrophage) whole cell lysate at 20 µg

Lane 3:

PC-12 (rat adrenal gland pheochromocytoma cell) whole cell lysate at 20 µg

Lane 4:

NIH/3T3 (mouse embryonic fibroblast) whole cell lysate at 20 µg

Secondary

All lanes:

Western blot - Goat Anti-Rabbit IgG H&L (HRP) (<a href='/en-us/products/secondary-antibodies/goat-rabbit-igg-h-l-hrp-ab97051'>ab97051</a>) at 1/100000 dilution

Observed band size: 92 kDa

false

Exposure time: 48s

Immunocytochemistry/ Immunofluorescence - Anti-VPS35 antibody [EPR11501(B)] - BSA and Azide free (AB240141)
  • ICC/IF

Lab

Immunocytochemistry/ Immunofluorescence - Anti-VPS35 antibody [EPR11501(B)] - BSA and Azide free (AB240141)

ab157220 staining VPS35 in wild-type HAP1 cells (top panel) and VPS35 knockout HAP1 cells (bottom panel). The cells were fixed with 4% formaldehyde (10min), permeabilized with 0.1% Triton X-100 for 5 minutes and then blocked with 1% BSA/10% normal goat serum/0.3M glycine in 0.1% PBS-Tween for 1h. The cells were then incubated with ab157220 at 1/250 dilution and ab195889 at 1/250 dilution (shown in pseudo colour red) overnight at +4°C, followed by a further incubation at room temperature for 1h with a goat secondary antibody to Rabbit IgG (Alexa Fluor® 488) (ab150081) at 2 μg/ml (shown in green). Nuclear DNA was labelled in blue with DAPI.

This data was developed using the same antibody clone in a different buffer formulation containing PBS, BSA, glycerol, and sodium azide (ab157220).

Immunohistochemistry (Formalin/PFA-fixed paraffin-embedded sections) - Anti-VPS35 antibody [EPR11501(B)] - BSA and Azide free (AB240141)
  • IHC-P

Unknown

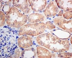
Immunohistochemistry (Formalin/PFA-fixed paraffin-embedded sections) - Anti-VPS35 antibody [EPR11501(B)] - BSA and Azide free (AB240141)

Immunohistochemical analysis of paraffin-embedded Human kidney tissue labeling VPS35 with ab157220 at 1/50 dilution.

This data was developed using the same antibody clone in a different buffer formulation containing PBS, BSA, glycerol, and sodium azide (ab157220).

Perform heat mediated antigen retrieval before commencing with IHC staining protocol.

Flow Cytometry (Intracellular) - Anti-VPS35 antibody [EPR11501(B)] - BSA and Azide free (AB240141)
  • Flow Cyt (Intra)

Unknown

Flow Cytometry (Intracellular) - Anti-VPS35 antibody [EPR11501(B)] - BSA and Azide free (AB240141)

Intracellular flow cytometric analysis of permeabilized MOLT4 cells labeling VPS35 with ab157220 at 1/10 dilution (red) or a rabbit IgG (negative) (green). This data was developed using the same antibody clone in a different buffer formulation containing PBS, BSA, glycerol, and sodium azide (ab157220).

  • 603 Alexa Fluor® 568

    Alexa Fluor® 568 Anti-VPS35 antibody [EPR11501(B)]

  • Unconjugated

    Anti-VPS35 antibody [EPR11501(B)]

  • 775 Alexa Fluor® 750

    Alexa Fluor® 750 Anti-VPS35 antibody [EPR11501(B)]

  • 565 Alexa Fluor® 555

    Alexa Fluor® 555 Anti-VPS35 antibody [EPR11501(B)]

  • 617 Alexa Fluor® 594

    Alexa Fluor® 594 Anti-VPS35 antibody [EPR11501(B)]

  • 660 APC

    APC Anti-VPS35 antibody [EPR11501(B)]

  • 578 PE

    PE Anti-VPS35 antibody [EPR11501(B)]

  • HRP

    HRP Anti-VPS35 antibody [EPR11501(B)]

Key facts

Host species

Rabbit

Clonality

Monoclonal

Clone number

EPR11501(B)

Isotype

IgG

Carrier free

Yes

Reacts with

Mouse, Human

Applications

ICC/IF, IHC-P, WB, Flow Cyt (Intra)

applications

Immunogen

The exact immunogen used to generate this antibody is proprietary information.

Reactivity data

{ "title": "Reactivity Data", "filters": { "stats": ["", "Species", "Dilution Info", "Notes"], "tabs": { "all-applications": {"fullname" : "All Applications", "shortname": "All Applications"}, "IHCP" : {"fullname" : "Immunohistochemistry (Formalin/PFA-fixed paraffin-embedded sections)", "shortname":"IHC-P"}, "IP" : {"fullname" : "Immunoprecipitation", "shortname":"IP"}, "WB" : {"fullname" : "Western blot", "shortname":"WB"}, "ICCIF" : {"fullname" : "Immunocytochemistry/ Immunofluorescence", "shortname":"ICC/IF"}, "FlowCytIntra" : {"fullname" : "Flow Cytometry (Intracellular)", "shortname":"Flow Cyt (Intra)"} }, "product-promise": { "all": "all", "testedAndGuaranteed": "tested", "guaranteed": "expected", "predicted": "predicted", "notRecommended": "not-recommended" } }, "values": { "Human": { "IHCP-species-checked": "testedAndGuaranteed", "IHCP-species-dilution-info": "", "IHCP-species-notes": "<p></p> Perform heat-mediated antigen retrieval before commencing with IHC staining protocol.", "IP-species-checked": "notRecommended", "IP-species-dilution-info": "", "IP-species-notes": "<p></p>", "WB-species-checked": "testedAndGuaranteed", "WB-species-dilution-info": "", "WB-species-notes": "<p></p>", "ICCIF-species-checked": "testedAndGuaranteed", "ICCIF-species-dilution-info": "", "ICCIF-species-notes": "<p></p>", "FlowCytIntra-species-checked": "testedAndGuaranteed", "FlowCytIntra-species-dilution-info": "", "FlowCytIntra-species-notes": "<p><a href='/en-us/products/primary-antibodies/rabbit-igg-monoclonal-epr25a-isotype-control-low-endotoxin-azide-free-ab199376'>ab199376</a> - Rabbit monoclonal IgG, is suitable for use as an isotype control with this antibody.</p>" }, "Mouse": { "IHCP-species-checked": "guaranteed", "IHCP-species-dilution-info": "", "IHCP-species-notes": "", "IP-species-checked": "notRecommended", "IP-species-dilution-info": "", "IP-species-notes": "<p></p>", "WB-species-checked": "testedAndGuaranteed", "WB-species-dilution-info": "", "WB-species-notes": "<p></p>", "ICCIF-species-checked": "guaranteed", "ICCIF-species-dilution-info": "", "ICCIF-species-notes": "", "FlowCytIntra-species-checked": "guaranteed", "FlowCytIntra-species-dilution-info": "", "FlowCytIntra-species-notes": "" }, "Rat": { "IHCP-species-checked": "guaranteed", "IHCP-species-dilution-info": "", "IHCP-species-notes": "", "IP-species-checked": "notRecommended", "IP-species-dilution-info": "", "IP-species-notes": "", "WB-species-checked": "testedAndGuaranteed", "WB-species-dilution-info": "", "WB-species-notes": "<p></p>", "ICCIF-species-checked": "notRecommended", "ICCIF-species-dilution-info": "", "ICCIF-species-notes": "<p></p>", "FlowCytIntra-species-checked": "notRecommended", "FlowCytIntra-species-dilution-info": "", "FlowCytIntra-species-notes": "<p></p>" } } }

Product details

ab240141 is the carrier-free version of ab157220.

Patented technology
Our RabMAb® technology is a patented hybridoma-based technology for making rabbit monoclonal antibodies. For details on our patents, please refer to RabMAb® patents.

What are the advantages of a recombinant monoclonal antibody?
This product is a recombinant monoclonal antibody, which offers several advantages including:

  • - High batch-to-batch consistency and reproducibility
  • - Improved sensitivity and specificity
  • - Long-term security of supply
  • - Animal-free batch production

For more information, read more on recombinant antibodies.

Conjugation ready
Our carrier-free antibodies are typically supplied in a PBS-only formulation, purified and free of BSA, sodium azide and glycerol. This conjugation-ready format is designed for use with fluorochromes, metal isotopes, oligonucleotides, and enzymes, which makes them ideal for antibody labelling, functional and cell-based assays, flow-based assays (e.g. mass cytometry) and Multiplex Imaging applications.

Use our conjugation kits for antibody conjugates that are ready-to-use in as little as 20 minutes with 1 minute hands-on-time and 100% antibody recovery: available for fluorescent dyes, HRP, biotin and gold.

Compatibility
This product is compatible with the Maxpar® Antibody Labeling Kit from Fluidigm, without the need for antibody preparation. Maxpar® is a trademark of Fluidigm Canada Inc.

Properties and storage information

Form
Liquid
Purification technique
Affinity purification Protein A
Storage buffer
pH: 7.2 - 7.4 Constituents: PBS
Shipped at conditions
Blue Ice
Appropriate short-term storage conditions
+4°C
Appropriate long-term storage conditions
+4°C
Storage information
Do Not Freeze

Product protocols

For this product, it's our understanding that no specific protocols are required. You can visit:

Target data

Acts as a component of the retromer cargo-selective complex (CSC). The CSC is believed to be the core functional component of retromer or respective retromer complex variants acting to prevent missorting of selected transmembrane cargo proteins into the lysosomal degradation pathway. The recruitment of the CSC to the endosomal membrane involves RAB7A and SNX3. The CSC seems to associate with the cytoplasmic domain of cargo proteins predominantly via VPS35; however, these interactions seem to be of low affinity and retromer SNX proteins may also contribute to cargo selectivity thus questioning the classical function of the CSC. The SNX-BAR retromer mediates retrograde transport of cargo proteins from endosomes to the trans-Golgi network (TGN) and is involved in endosome-to-plasma membrane transport for cargo protein recycling. The SNX3-retromer mediates the retrograde endosome-to-TGN transport of WLS distinct from the SNX-BAR retromer pathway (PubMed : 30213940). The SNX27-retromer is believed to be involved in endosome-to-plasma membrane trafficking and recycling of a broad spectrum of cargo proteins. The CSC seems to act as recruitment hub for other proteins, such as the WASH complex and TBC1D5 (Probable). Required for retrograde transport of lysosomal enzyme receptor IGF2R and SLC11A2. Required to regulate transcytosis of the polymeric immunoglobulin receptor (pIgR-pIgA) (PubMed : 15078903, PubMed : 15247922, PubMed : 20164305). Required for endosomal localization of WASHC2C (PubMed : 22070227, PubMed : 28892079). Mediates the association of the CSC with the WASH complex via WASHC2 (PubMed : 22070227, PubMed : 24819384, PubMed : 24980502). Required for the endosomal localization of TBC1D5 (PubMed : 20923837).. (Microbial infection) The heterotrimeric retromer cargo-selective complex (CSC) mediates the exit of human papillomavirus from the early endosome and the delivery to the Golgi apparatus.
See full target information VPS35

Publications (1)

Recent publications for all applications. Explore the full list and refine your search

Methods in molecular biology (Clifton, N.J.) 2712:157-163 PubMed37578704

2023

In-Cell Western Assay in Ferroptosis.

Applications

Unspecified application

Species

Unspecified reactive species

Jiayi Wang,Jingbo Li
View all publications

Product promise

We are committed to supporting your work with high-quality reagents, and we're here for you every step of the way. In the unlikely event that one of our products does not perform as expected, you're protected by our Product Promise.
For full details, please see our Terms & Conditions

Please note: All products are 'FOR RESEARCH USE ONLY. NOT FOR USE IN DIAGNOSTIC OR THERAPEUTIC PROCEDURES'.

For licensing inquiries, please contact partnerships@abcam.com