JavaScript is disabled in your browser. Please enable JavaScript to view this website.
AB251760

Anti-VPS37A/HCRP1 antibody

Be the first to review this product! Submit a review

|

(2 Publications)

Rabbit Polyclonal VPS37A/HCRP1 antibody. Suitable for IHC-P, WB, ICC/IF and reacts with Human, Mouse, Rat samples. Cited in 2 publications. Immunogen corresponding to Recombinant Fragment Protein within Human VPS37A aa 200-350.

View Alternative Names

HCRP1, VPS37A, Vacuolar protein sorting-associated protein 37A, hVps37A, ESCRT-I complex subunit VPS37A, Hepatocellular carcinoma-related protein 1

7 Images
Immunohistochemistry (Formalin/PFA-fixed paraffin-embedded sections) - Anti-VPS37A/HCRP1 antibody (AB251760)
  • IHC-P

Unknown

Immunohistochemistry (Formalin/PFA-fixed paraffin-embedded sections) - Anti-VPS37A/HCRP1 antibody (AB251760)

Paraffin-embedded human endometrium tissue stained for VPS37A/HCRP1 using ab251760 at 1/500 dilution in immunohistochemical analysis.

Immunohistochemistry (Formalin/PFA-fixed paraffin-embedded sections) - Anti-VPS37A/HCRP1 antibody (AB251760)
  • IHC-P

Unknown

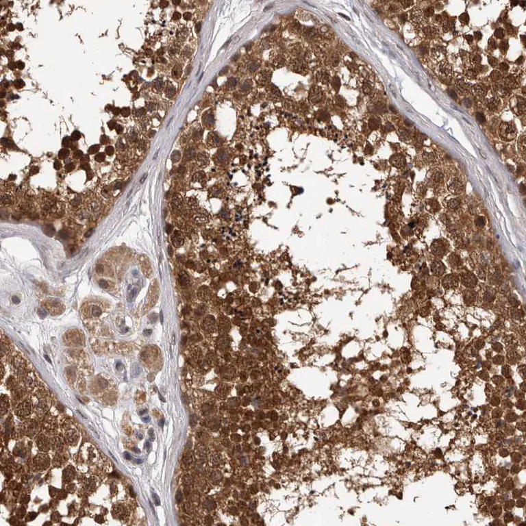
Immunohistochemistry (Formalin/PFA-fixed paraffin-embedded sections) - Anti-VPS37A/HCRP1 antibody (AB251760)

Paraffin-embedded human testis tissue stained for VPS37A/HCRP1 using ab251760 at 1/500 dilution in immunohistochemical analysis.

Immunohistochemistry (Formalin/PFA-fixed paraffin-embedded sections) - Anti-VPS37A/HCRP1 antibody (AB251760)
  • IHC-P

Unknown

Immunohistochemistry (Formalin/PFA-fixed paraffin-embedded sections) - Anti-VPS37A/HCRP1 antibody (AB251760)

Paraffin-embedded human cerebral cortex tissue stained for VPS37A/HCRP1 using ab251760 at 1/500 dilution in immunohistochemical analysis.

Immunohistochemistry (Formalin/PFA-fixed paraffin-embedded sections) - Anti-VPS37A/HCRP1 antibody (AB251760)
  • IHC-P

Unknown

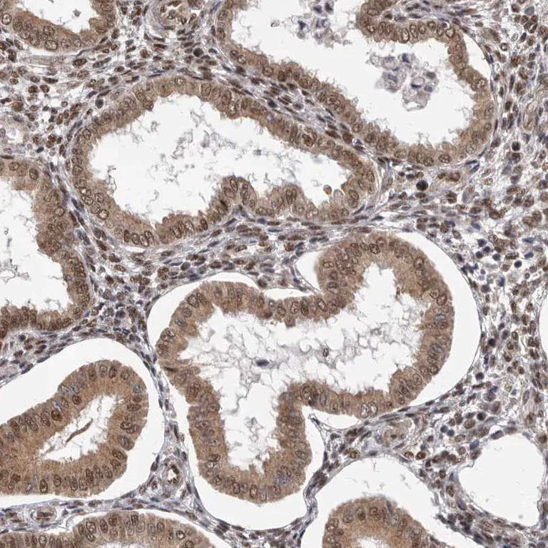
Immunohistochemistry (Formalin/PFA-fixed paraffin-embedded sections) - Anti-VPS37A/HCRP1 antibody (AB251760)

Paraffin-embedded human prostate tissue stained for VPS37A/HCRP1 using ab251760 at 1/500 dilution in immunohistochemical analysis.

Immunocytochemistry/ Immunofluorescence - Anti-VPS37A/HCRP1 antibody (AB251760)
  • ICC/IF

Unknown

Immunocytochemistry/ Immunofluorescence - Anti-VPS37A/HCRP1 antibody (AB251760)

PFA-fixed, Triton X-100 permeabilized U-251 MG (formally U-373 MG) (human brain glioma cell line) cells stained for VPS37A/HCRP1 (green) using ab251760 at 4 μg/ml in ICC/IF.

Western blot - Anti-VPS37A/HCRP1 antibody (AB251760)
  • WB

Supplier Data

Western blot - Anti-VPS37A/HCRP1 antibody (AB251760)

All lanes:

Western blot - Anti-VPS37A/HCRP1 antibody (ab251760)

All lanes:

Human testis tissue lysate

Predicted band size: 45 kDa

false

Western blot - Anti-VPS37A/HCRP1 antibody (AB251760)
  • WB

Supplier Data

Western blot - Anti-VPS37A/HCRP1 antibody (AB251760)

All lanes:

Western blot - Anti-VPS37A/HCRP1 antibody (ab251760)

Lane 1:

NBT-II (Rat bladder carcinoma cell line) whole cell lysate

Lane 2:

NIH/3T3 (Mouse embryonic fibroblast cell line) whole cell lysate

Predicted band size: 45 kDa

false

Key facts

Host species

Rabbit

Clonality

Polyclonal

Isotype

IgG

Carrier free

No

Reacts with

Rat, Mouse, Human

Applications

WB, IHC-P, ICC/IF

applications

Immunogen

Recombinant Fragment Protein within Human VPS37A aa 200-350. The exact immunogen used to generate this antibody is proprietary information.

Q8NEZ2

Reactivity data

{ "title": "Reactivity Data", "filters": { "stats": ["", "Species", "Dilution Info", "Notes"], "tabs": { "all-applications": {"fullname" : "All Applications", "shortname": "All Applications"}, "IHCP" : {"fullname" : "Immunohistochemistry (Formalin/PFA-fixed paraffin-embedded sections)", "shortname":"IHC-P"}, "WB" : {"fullname" : "Western blot", "shortname":"WB"}, "ICCIF" : {"fullname" : "Immunocytochemistry/ Immunofluorescence", "shortname":"ICC/IF"} }, "product-promise": { "all": "all", "testedAndGuaranteed": "tested", "guaranteed": "expected", "predicted": "predicted", "notRecommended": "not-recommended" } }, "values": { "Human": { "IHCP-species-checked": "testedAndGuaranteed", "IHCP-species-dilution-info": "1/200 - 1/500", "IHCP-species-notes": "<p></p> Perform heat-mediated antigen retrieval with citrate buffer pH 6 before commencing with IHC staining protocol.", "WB-species-checked": "testedAndGuaranteed", "WB-species-dilution-info": "0.04-0.4 µg/mL", "WB-species-notes": "<p></p>", "ICCIF-species-checked": "testedAndGuaranteed", "ICCIF-species-dilution-info": "0.25-2 µg/mL", "ICCIF-species-notes": "<p>Fixation/Permeabilization: PFA/Triton X-100.</p>" }, "Mouse": { "IHCP-species-checked": "guaranteed", "IHCP-species-dilution-info": "", "IHCP-species-notes": "", "WB-species-checked": "testedAndGuaranteed", "WB-species-dilution-info": "0.04-0.4 µg/mL", "WB-species-notes": "<p></p>", "ICCIF-species-checked": "guaranteed", "ICCIF-species-dilution-info": "", "ICCIF-species-notes": "" }, "Rat": { "IHCP-species-checked": "guaranteed", "IHCP-species-dilution-info": "", "IHCP-species-notes": "", "WB-species-checked": "testedAndGuaranteed", "WB-species-dilution-info": "0.04-0.4 µg/mL", "WB-species-notes": "<p></p>", "ICCIF-species-checked": "guaranteed", "ICCIF-species-dilution-info": "", "ICCIF-species-notes": "" } } }

Properties and storage information

Form
Liquid
Purification technique
Affinity purification Immunogen
Storage buffer
pH: 7.2 Preservative: 0.02% Sodium azide Constituents: PBS, 40% Glycerol (glycerin, glycerine)
Shipped at conditions
Blue Ice
Appropriate short-term storage duration
1-2 weeks
Appropriate short-term storage conditions
+4°C
Appropriate long-term storage conditions
-20°C
Aliquoting information
Upon delivery aliquot
Storage information
Avoid freeze / thaw cycle

Product protocols

For this product, it's our understanding that no specific protocols are required. You can visit:

Target data

Component of the ESCRT-I complex, a regulator of vesicular trafficking process. Required for the sorting of endocytic ubiquitinated cargos into multivesicular bodies. May be involved in cell growth and differentiation.
See full target information VPS37A

Publications (2)

Recent publications for all applications. Explore the full list and refine your search

Oncology letters 24:387 PubMed36276496

2022

HCRP-1 alleviates the malignant phenotype and angiogenesis of oral squamous cell carcinoma cells via the downregulation of the EGFR/STAT3 signaling pathway.

Applications

Unspecified application

Species

Unspecified reactive species

Yang Chen,Li Hou

OncoTargets and therapy 13:10667-10675 PubMed33116643

2020

VPS53 Suppresses Malignant Properties in Colorectal Cancer by Inducing the Autophagy Signaling Pathway.

Applications

Unspecified application

Species

Unspecified reactive species

Hong Peng,Jie Zheng,Qiang Su,Xueya Feng,Mingsha Peng,Lei Gong,Hong Wu,Xue Pan
View all publications

Product promise

We are committed to supporting your work with high-quality reagents, and we're here for you every step of the way. In the unlikely event that one of our products does not perform as expected, you're protected by our Product Promise.
For full details, please see our Terms & Conditions

Please note: All products are 'FOR RESEARCH USE ONLY. NOT FOR USE IN DIAGNOSTIC OR THERAPEUTIC PROCEDURES'.

For licensing inquiries, please contact partnerships@abcam.com