JavaScript is disabled in your browser. Please enable JavaScript to view this website.
AB224736

Anti-VPS4B/MIG1 antibody

Be the first to review this product! Submit a review

|

(3 Publications)

Rabbit Polyclonal VPS4B/MIG1 antibody. Suitable for WB, IHC-P, ICC/IF and reacts with Mouse, Human samples. Cited in 3 publications. Immunogen corresponding to Recombinant Fragment Protein within Human VPS4B aa 1-150.

View Alternative Names

SKD1, VPS42, MIG1, VPS4B, Vacuolar protein sorting-associated protein 4B, Cell migration-inducing gene 1 protein, Suppressor of K(+) transport growth defect 1, Protein SKD1

3 Images
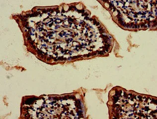
Immunohistochemistry (Formalin/PFA-fixed paraffin-embedded sections) - Anti-VPS4B/MIG1 antibody (AB224736)
  • IHC-P

Supplier Data

Immunohistochemistry (Formalin/PFA-fixed paraffin-embedded sections) - Anti-VPS4B/MIG1 antibody (AB224736)

Paraffin embedded human small intestine tissue stained for VPS4B/MIG1 with ab224736 (1/100 dilution) in immunohistochemical analysis.

Immunocytochemistry/ Immunofluorescence - Anti-VPS4B/MIG1 antibody (AB224736)
  • ICC/IF

Supplier Data

Immunocytochemistry/ Immunofluorescence - Anti-VPS4B/MIG1 antibody (AB224736)

MCF7 (human breast adenocarcinoma cell line) cells stained for VPS4B/MIG1 (green) using ab224736 (1/100 dilution) in ICC/IF. Secondary : Alexa Fluor 488® conjugated Goat Anti-Rabbit IgG (H+L).

Western blot - Anti-VPS4B/MIG1 antibody (AB224736)
  • WB

Supplier Data

Western blot - Anti-VPS4B/MIG1 antibody (AB224736)

All lanes:

Western blot - Anti-VPS4B/MIG1 antibody (ab224736) at 1/200 dilution

Lane 1:

Mouse heart tissue lysate

Lane 2:

Mouse brain tissue lysate

Secondary

All lanes:

Goat polyclonal to rabbit IgG at 1/50000 dilution

Predicted band size: 49 kDa

true

Key facts

Host species

Rabbit

Clonality

Polyclonal

Isotype

IgG

Carrier free

No

Reacts with

Mouse, Human

Applications

WB, ICC/IF, IHC-P

applications

Immunogen

Recombinant Fragment Protein within Human VPS4B aa 1-150. The exact immunogen used to generate this antibody is proprietary information.

O75351

Reactivity data

{ "title": "Reactivity Data", "filters": { "stats": ["", "Species", "Dilution Info", "Notes"], "tabs": { "all-applications": {"fullname" : "All Applications", "shortname": "All Applications"}, "WB" : {"fullname" : "Western blot", "shortname":"WB"}, "IHCP" : {"fullname" : "Immunohistochemistry (Formalin/PFA-fixed paraffin-embedded sections)", "shortname":"IHC-P"}, "ICCIF" : {"fullname" : "Immunocytochemistry/ Immunofluorescence", "shortname":"ICC/IF"} }, "product-promise": { "all": "all", "testedAndGuaranteed": "tested", "guaranteed": "expected", "predicted": "predicted", "notRecommended": "not-recommended" } }, "values": { "Human": { "WB-species-checked": "guaranteed", "WB-species-dilution-info": "", "WB-species-notes": "", "IHCP-species-checked": "testedAndGuaranteed", "IHCP-species-dilution-info": "1/20 - 1/200", "IHCP-species-notes": "<p></p>", "ICCIF-species-checked": "testedAndGuaranteed", "ICCIF-species-dilution-info": "1/50 - 1/200", "ICCIF-species-notes": "<p></p>" }, "Mouse": { "WB-species-checked": "testedAndGuaranteed", "WB-species-dilution-info": "1/200 - 1/5000", "WB-species-notes": "<p></p>", "IHCP-species-checked": "guaranteed", "IHCP-species-dilution-info": "", "IHCP-species-notes": "", "ICCIF-species-checked": "guaranteed", "ICCIF-species-dilution-info": "", "ICCIF-species-notes": "" }, "Cow": { "WB-species-checked": "predicted", "WB-species-dilution-info": "", "WB-species-notes": "", "IHCP-species-checked": "predicted", "IHCP-species-dilution-info": "", "IHCP-species-notes": "", "ICCIF-species-checked": "predicted", "ICCIF-species-dilution-info": "", "ICCIF-species-notes": "" }, "Orangutan": { "WB-species-checked": "predicted", "WB-species-dilution-info": "", "WB-species-notes": "", "IHCP-species-checked": "predicted", "IHCP-species-dilution-info": "", "IHCP-species-notes": "", "ICCIF-species-checked": "predicted", "ICCIF-species-dilution-info": "", "ICCIF-species-notes": "" } } }

Properties and storage information

Form
Liquid
Purification technique
Affinity purification Protein G
Storage buffer
pH: 7.4 Preservative: 0.03% Proclin 300 Constituents: PBS, 50% Glycerol (glycerin, glycerine)
Shipped at conditions
Blue Ice
Appropriate short-term storage duration
1-2 weeks
Appropriate short-term storage conditions
+4°C
Appropriate long-term storage conditions
-20°C
Aliquoting information
Upon delivery aliquot
Storage information
Avoid freeze / thaw cycle

Product protocols

For this product, it's our understanding that no specific protocols are required. You can visit:

Target data

Involved in late steps of the endosomal multivesicular bodies (MVB) pathway. Recognizes membrane-associated ESCRT-III assemblies and catalyzes their ATP-dependent disassembly, possibly in combination with membrane fission (PubMed : 18687924). Redistributes the ESCRT-III components to the cytoplasm for further rounds of MVB sorting. MVBs contain intraluminal vesicles (ILVs) that are generated by invagination and scission from the limiting membrane of the endosome and mostly are delivered to lysosomes enabling degradation of membrane proteins, such as stimulated growth factor receptors, lysosomal enzymes and lipids. VPS4A/B are required for the exosomal release of SDCBP, CD63 and syndecan (PubMed : 22660413).. (Microbial infection) In conjunction with the ESCRT machinery also appears to function in topologically equivalent membrane fission events, such as the terminal stages of cytokinesis and enveloped virus budding (HIV-1 and other lentiviruses).
See full target information VPS4B

Publications (3)

Recent publications for all applications. Explore the full list and refine your search

Frontiers in oncology 12:845765 PubMed35936748

2022

Differential Expression and Prognostic Correlation of Immune Related Factors Between Right and Left Side Colorectal Cancer.

Applications

Unspecified application

Species

Unspecified reactive species

Yue Hu,Jie Ding,Chengjiang Wu,Hong Gao,Meiling Ge,Qixiang Shao,Yanhong Liu,Qing Ye

Neuropsychiatric disease and treatment 17:41-55 PubMed33442254

2021

MicroRNA-488-3p Regulates Neuronal Cell Death in Cerebral Ischemic Stroke Through Vacuolar Protein Sorting 4B (VPS4B).

Applications

Unspecified application

Species

Unspecified reactive species

Li Zhou,Wanxin Yang,Enping Yao,Haiyan Li,Jihui Wang,Kun Wang,Xiaohua Zhong,Zhongxing Peng,Xuming Huang

The Journal of biological chemistry 295:7941-7957 PubMed32341071

2020

Host ESCRT factors are recruited during chikungunya virus infection and are required for the intracellular viral replication cycle.

Applications

Unspecified application

Species

Unspecified reactive species

Shiho Torii,Yasuko Orba,Michihito Sasaki,Koshiro Tabata,Yuji Wada,Michael Carr,Jody Hobson-Peters,Roy A Hall,Ayato Takada,Takasuke Fukuhara,Yoshiharu Matsuura,William W Hall,Hirofumi Sawa
View all publications

Product promise

We are committed to supporting your work with high-quality reagents, and we're here for you every step of the way. In the unlikely event that one of our products does not perform as expected, you're protected by our Product Promise.
For full details, please see our Terms & Conditions

Please note: All products are 'FOR RESEARCH USE ONLY. NOT FOR USE IN DIAGNOSTIC OR THERAPEUTIC PROCEDURES'.

For licensing inquiries, please contact partnerships@abcam.com