JavaScript is disabled in your browser. Please enable JavaScript to view this website.
AB171933

Anti-VRK1 antibody [5D1] - N-terminal

Be the first to review this product! Submit a review

|

(6 Publications)

Mouse Monoclonal VRK1 antibody. N-terminal. Suitable for WB, ICC/IF and reacts with Human samples. Cited in 6 publications. Immunogen corresponding to Synthetic Peptide within Human VRK1 aa 1-50.

View Alternative Names

Serine/threonine-protein kinase VRK1, Vaccinia-related kinase 1, VRK1

13 Images
Immunocytochemistry/ Immunofluorescence - Anti-VRK1 antibody [5D1] - N-terminal (AB171933)
  • ICC/IF

Supplier Data

Immunocytochemistry/ Immunofluorescence - Anti-VRK1 antibody [5D1] - N-terminal (AB171933)

Immunofluorescent analysis of formaldehyde-fixed interphase U-2 OS cells labeling VRK1 with ab171933 at 1/100 dilution (center). DNA was stained with DAPI (left) and two images were merged (right; merge).

Immunocytochemistry/ Immunofluorescence - Anti-VRK1 antibody [5D1] - N-terminal (AB171933)
  • ICC/IF

Supplier Data

Immunocytochemistry/ Immunofluorescence - Anti-VRK1 antibody [5D1] - N-terminal (AB171933)

Immunofluorescent analysis of methanol-fixed metaphase U-2 OS cells labeling VRK1 with ab171933 at 1/100 dilution (center). DNA was stained with DAPI (left) and two images were merged (right; merge).

Metaphase cells. At metaphase, VRK1 dots were solely detected in nuclei.

Immunocytochemistry/ Immunofluorescence - Anti-VRK1 antibody [5D1] - N-terminal (AB171933)
  • ICC/IF

Supplier Data

Immunocytochemistry/ Immunofluorescence - Anti-VRK1 antibody [5D1] - N-terminal (AB171933)

Immunofluorescent analysis of methanol-fixed interphase U-2 OS cells labeling VRK1 with ab171933 at 1/100 dilution (center). DNA was stained with DAPI (left) and two images were merged (right; merge).

Immunocytochemistry/ Immunofluorescence - Anti-VRK1 antibody [5D1] - N-terminal (AB171933)
  • ICC/IF

Supplier Data

Immunocytochemistry/ Immunofluorescence - Anti-VRK1 antibody [5D1] - N-terminal (AB171933)

Immunofluorescent analysis of methanol-fixed interphase HeLa cells labeling VRK1 with ab171933 at 1/100 dilution (center). DNA was stained with DAPI (left) and two images were merged (right; merge).

Immunocytochemistry/ Immunofluorescence - Anti-VRK1 antibody [5D1] - N-terminal (AB171933)
  • ICC/IF

Supplier Data

Immunocytochemistry/ Immunofluorescence - Anti-VRK1 antibody [5D1] - N-terminal (AB171933)

Immunofluorescent analysis of paraformaldehyde-fixed interphase HeLa cells labeling VRK1 with ab171933 at 1/100 dilution (center). DNA was stained with DAPI (left) and two images were merged (right; merge).

Immunocytochemistry/ Immunofluorescence - Anti-VRK1 antibody [5D1] - N-terminal (AB171933)
  • ICC/IF

Supplier Data

Immunocytochemistry/ Immunofluorescence - Anti-VRK1 antibody [5D1] - N-terminal (AB171933)

Immunofluorescent analysis of methanol-fixed metaphase HeLa cells labeling VRK1 with ab171933 at 1/100 dilution (center). DNA was stained with DAPI (left) and two images were merged (right; merge).

Metaphase cells. At metaphase, VRK1 dots were solely detected in nuclei.

Immunocytochemistry/ Immunofluorescence - Anti-VRK1 antibody [5D1] - N-terminal (AB171933)
  • ICC/IF

Supplier Data

Immunocytochemistry/ Immunofluorescence - Anti-VRK1 antibody [5D1] - N-terminal (AB171933)

Immunofluorescent analysis of paraformaldehyde-fixed metaphase HeLa cells labeling VRK1 with ab171933 at 1/100 dilution (center). DNA was stained with DAPI (left) and two images were merged (right; merge).

Immunocytochemistry/ Immunofluorescence - Anti-VRK1 antibody [5D1] - N-terminal (AB171933)
  • ICC/IF

Supplier Data

Immunocytochemistry/ Immunofluorescence - Anti-VRK1 antibody [5D1] - N-terminal (AB171933)

Immunofluorescent analysis of formaldehyde-fixed metaphase U-2 OS cells labeling VRK1 with ab171933 at 1/100 dilution (center). DNA was stained with DAPI (left) and two images were merged (right; merge).

Metaphase cells. At metaphase, VRK1 dots were solely detected in nuclei.

Western blot - Anti-VRK1 antibody [5D1] - N-terminal (AB171933)
  • WB

Supplier Data

Western blot - Anti-VRK1 antibody [5D1] - N-terminal (AB171933)

All lanes:

Western blot - Anti-VRK1 antibody [5D1] - N-terminal (ab171933) at 1/500 dilution

Lane 1:

Extracts from TIG1 (5x10e4) cells: Luciferase RNAi (control)

Lane 2:

Extracts from TIG1 (5x10e4) cells: VRK1-1 RNAi

Lane 3:

Extracts from TIG1 (5x10e4) cells: VRK1-2 RNAi

Predicted band size: 45 kDa

true

Western blot - Anti-VRK1 antibody [5D1] - N-terminal (AB171933)
  • WB

Lab

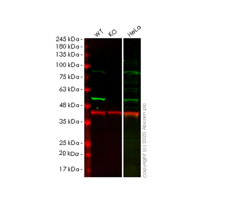
Western blot - Anti-VRK1 antibody [5D1] - N-terminal (AB171933)

Lanes 1-3 : Merged signal (red and green). Green - ab171933 observed at 50 kDa. Red - loading control ab181602 observed at 36 kDa.

ab171933 Anti-VRK1 antibody [5D1] - N-terminal was shown to specifically react with VRK1 in wild-type HEK293T cells. Loss of signal was observed when knockout cell line ab266257 (knockout cell lysate ab258283) was used. Wild-type and VRK1 knockout samples were subjected to SDS-PAGE. ab171933 and Anti-GAPDH antibody[EPR16891] - Loading Control (ab181602) were incubated overnight at 4°C at 1 in 500 dilution and 1 in 20000 dilution respectively. Blots were developed with Goat anti-Rabbit IgG H&L (IRDye® 680RD) preadsorbed (ab216777) and Goat anti-Mouse IgG H&L (IRDye® 800CW) preadsorbed (ab216772) secondary antibodies at 1 in 20000 dilution for 1 hour at room temperature before imaging.

All lanes:

Western blot - Anti-VRK1 antibody [5D1] - N-terminal (ab171933) at 1/500 dilution

Lane 1:

Wild-type HEK293T cell lysate at 20 µg

Lane 2:

VRK1 knockout HEK293T cell lysate at 20 µg

Lane 2:

Western blot - Human VRK1 knockout HEK-293T cell line (<a href='/en-us/products/cell-lines/human-vrk1-knockout-hek-293t-cell-line-ab266257'>ab266257</a>)

Lane 3:

HeLa cell lysate at 20 µg

Secondary

All lanes:

Western blot - Goat Anti-Rabbit IgG H&L (IRDye® 680RD) preadsorbed (<a href='/en-us/products/secondary-antibodies/goat-rabbit-igg-h-l-irdye-680rd-preadsorbed-ab216777'>ab216777</a>) at 1/10000 dilution

Predicted band size: 45 kDa

Observed band size: 50 kDa

false

Western blot - Anti-VRK1 antibody [5D1] - N-terminal (AB171933)
  • WB

Supplier Data

Western blot - Anti-VRK1 antibody [5D1] - N-terminal (AB171933)

Lanes 1 and 4:

Western blot - Anti-VRK1 antibody [5D1] - N-terminal (ab171933) at 1/100 dilution

Lanes 2 and 5:

Western blot - Anti-VRK1 antibody [5D1] - N-terminal (ab171933) at 1/500 dilution

Lanes 3 and 6:

Western blot - Anti-VRK1 antibody [5D1] - N-terminal (ab171933) at 1/1000 dilution

Lanes 1 - 3:

HeLa cell extract (5x10e4 cells)

Lanes 4 - 6:

U2OS cell extract (5x10e4 cells)

Secondary

All lanes:

Alexa488 goat anti-mouse IgG

Predicted band size: 45 kDa

true

Western blot - Anti-VRK1 antibody [5D1] - N-terminal (AB171933)
  • WB

Supplier Data

Western blot - Anti-VRK1 antibody [5D1] - N-terminal (AB171933)

All lanes:

Western blot - Anti-VRK1 antibody [5D1] - N-terminal (ab171933) at 1/500 dilution

Lane 1:

Extracts from HeLa (5x10e4) cells: Luciferase RNAi (control)

Lane 2:

Extracts from HeLa (5x10e4) cells: VRK1-1 RNAi

Lane 3:

Extracts from HeLa (5x10e4) cells: VRK1-2 RNAi

Predicted band size: 45 kDa

true

Western blot - Anti-VRK1 antibody [5D1] - N-terminal (AB171933)
  • WB

CiteAb

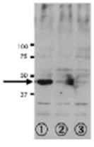
Western blot - Anti-VRK1 antibody [5D1] - N-terminal (AB171933)

VRK1 western blot using anti-VRK1 antibody [5D1] - N-terminal ab171933. Publication image and figure legend from Cartwright, T. N., Harris, R. J., et al., 2022, Sci Rep, PubMed 35778595.

ab171933 was used in this publication in western blot. This may not be the same as the application(s) guaranteed by Abcam. For a full list of applications guaranteed by Abcam for ab171933 please see the product overview.

RNAi studies of VRK kinase function in mitosis. (A) Kinome-wide RNAi screen for kinases involved in H3T3 phosphorylation in HeLa cells. The standard score reflects the intensity of H3T3ph. Note that negative values indicate a decline in H3T3ph intensity. The ranking of Haspin (red), VRK1, VRK2, VRK3 (blue) and PASK (black) are shown. Some results of this screen were previously published65. (B) RNAi depletion of VRK1 from HeLa cells does not cause a significant loss of H3T3ph as detected by immunoblot. The original blots are presented in Supplementary Fig. 7. (C) RNAi depletion of VRK1 does not cause a significant loss of H3T3ph or H3S10ph in individual mitotic HeLa cells, as detected by immunofluorescence microscopy. Scale bar, 10 µm. (D) Quantification of the proportion of HeLa cells in (C) with H3S10ph (i.e. mitotic cells) that also stain for H3T3ph.

false

Key facts

Host species

Mouse

Clonality

Monoclonal

Clone number

5D1

Isotype

IgG1

Light chain type

kappa

Carrier free

No

Reacts with

Human

Applications

WB, ICC/IF

applications

Immunogen

Synthetic Peptide within Human VRK1 aa 1-50. The exact immunogen used to generate this antibody is proprietary information.

Q99986

Reactivity data

{ "title": "Reactivity Data", "filters": { "stats": ["", "Species", "Dilution Info", "Notes"], "tabs": { "all-applications": {"fullname" : "All Applications", "shortname": "All Applications"}, "WB" : {"fullname" : "Western blot", "shortname":"WB"}, "ICCIF" : {"fullname" : "Immunocytochemistry/ Immunofluorescence", "shortname":"ICC/IF"} }, "product-promise": { "all": "all", "testedAndGuaranteed": "tested", "guaranteed": "expected", "predicted": "predicted", "notRecommended": "not-recommended" } }, "values": { "Human": { "WB-species-checked": "testedAndGuaranteed", "WB-species-dilution-info": "1/200 - 1/1000", "WB-species-notes": "<p></p>", "ICCIF-species-checked": "testedAndGuaranteed", "ICCIF-species-dilution-info": "1/100", "ICCIF-species-notes": "<p></p>" } } }

Properties and storage information

Form
Liquid
Purification notes
ab171933 was produced in serum-free medium and purified by propriety chromatography under mild conditions (90~98% pure).
Storage buffer
pH: 6 - 8.5 Constituents: PBS, 50% Glycerol (glycerin, glycerine)
Shipped at conditions
Blue Ice
Appropriate short-term storage duration
1-2 weeks
Appropriate short-term storage conditions
+4°C
Appropriate long-term storage conditions
-20°C
Aliquoting information
Upon delivery aliquot
Storage information
Avoid freeze / thaw cycle

Product protocols

For this product, it's our understanding that no specific protocols are required. You can visit:

Target data

Serine/threonine kinase involved in the regulation of key cellular processes including the cell cycle, nuclear condensation, transcription regulation, and DNA damage response (PubMed : 14645249, PubMed : 18617507, PubMed : 19103756, PubMed : 33076429). Controls chromatin organization and remodeling by mediating phosphorylation of histone H3 on 'Thr-4' and histone H2AX (H2aXT4ph) (PubMed : 31527692, PubMed : 37179361). It also phosphorylates KAT5 in response to DNA damage, promoting KAT5 association with chromatin and histone acetyltransferase activity (PubMed : 33076429). Is involved in the regulation of cell cycle progression of neural progenitors, and is required for proper cortical neuronal migration (By similarity). Is involved in neurite elongation and branching in motor neurons, and has an essential role in Cajal bodies assembly, acting through COIL phosphorylation and the control of coilin degradation (PubMed : 21920476, PubMed : 31090908, PubMed : 31527692). Involved in Golgi disassembly during the cell cycle : following phosphorylation by PLK3 during mitosis, it is required to induce Golgi fragmentation (PubMed : 19103756). Phosphorylates BANF1 : disrupts its ability to bind DNA, reduces its binding to LEM domain-containing proteins and causes its relocalization from the nucleus to the cytoplasm (PubMed : 16495336). Phosphorylates TP53BP1 and p53/TP53 on 'Thr-18', preventing the interaction between p53/TP53 and MDM2 (PubMed : 10951572, PubMed : 31527692). Phosphorylates ATF2 which activates its transcriptional activity (PubMed : 15105425). Phosphorylates JUN (PubMed : 31527692).
See full target information VRK1

Publications (6)

Recent publications for all applications. Explore the full list and refine your search

Thoracic cancer 16:e70013 PubMed39993992

2025

HOXA5 Derives the Malignant Progression and Cisplatin Resistance of Esophageal Squamous Cell Carcinoma by Regulating USP18-Mediated IFI27 Deubiquitination.

Applications

Unspecified application

Species

Unspecified reactive species

Qiang Wang,Shiheng Ren,Zheng Pan,Yuxin Chen,Xiangyan Liu

American journal of cancer research 12:4930-4953 PubMed36504899

2022

A multi-targeting natural product, aiphanol, inhibits tumor growth and metastasis.

Applications

Unspecified application

Species

Unspecified reactive species

Shan-Mei Chen,Jun-Nan Feng,Chuan-Ke Zhao,Li-Cheng Yao,Li-Xin Wang,Lin Meng,Shao-Qing Cai,Cai-Yun Liu,Li-Ke Qu,Yan-Xing Jia,Cheng-Chao Shou

Scientific reports 12:11210 PubMed35778595

2022

Dissecting the roles of Haspin and VRK1 in histone H3 phosphorylation during mitosis.

Applications

Unspecified application

Species

Unspecified reactive species

Tyrell N Cartwright,Rebecca J Harris,Stephanie K Meyer,Aye M Mon,Nikolaus A Watson,Cheryl Tan,Agathe Marcelot,Fangwei Wang,Sophie Zinn-Justin,Paula Traktman,Jonathan M G Higgins

Journal of virology 96:e0039822 PubMed35543552

2022

Dysregulation of Cellular VRK1, BAF, and Innate Immune Signaling by the Vaccinia Virus B12 Pseudokinase.

Applications

Unspecified application

Species

Unspecified reactive species

Alexandria C Linville,Amber B Rico,Helena Teague,Lucy E Binsted,Geoffrey L Smith,Jonas D Albarnaz,Matthew S Wiebe

Frontiers in pharmacology 13:874235 PubMed35559251

2022

VRK1 Predicts Poor Prognosis and Promotes Bladder Cancer Growth and Metastasis and .

Applications

Unspecified application

Species

Unspecified reactive species

Jiacheng Wu,Tao Li,Hao Ji,Zhi Chen,Baoqian Zhai

Journal of virology 95: PubMed33177193

2021

The Vaccinia Virus B12 Pseudokinase Represses Viral Replication via Interaction with the Cellular Kinase VRK1 and Activation of the Antiviral Effector BAF.

Applications

Unspecified application

Species

Unspecified reactive species

Amber B Rico,Alexandria C Linville,Annabel T Olson,Zhigang Wang,Matthew S Wiebe
View all publications

Product promise

We are committed to supporting your work with high-quality reagents, and we're here for you every step of the way. In the unlikely event that one of our products does not perform as expected, you're protected by our Product Promise.
For full details, please see our Terms & Conditions

Please note: All products are 'FOR RESEARCH USE ONLY. NOT FOR USE IN DIAGNOSTIC OR THERAPEUTIC PROCEDURES'.

For licensing inquiries, please contact partnerships@abcam.com