JavaScript is disabled in your browser. Please enable JavaScript to view this website.
AB154493

Anti-VSIG1 antibody

Be the first to review this product! Submit a review

|

(0 Publication)

Rabbit Polyclonal ChT1 antibody. Suitable for WB, IHC-P and reacts with Human samples. Immunogen corresponding to Recombinant Fragment Protein within Human VSIG1 aa 1-250.

View Alternative Names

GPA34, VSIG1, V-set and immunoglobulin domain-containing protein 1, Cell surface A33 antigen, Glycoprotein A34

2 Images
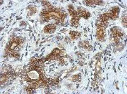
Immunohistochemistry (Formalin/PFA-fixed paraffin-embedded sections) - Anti-VSIG1 antibody (AB154493)
  • IHC-P

Unknown

Immunohistochemistry (Formalin/PFA-fixed paraffin-embedded sections) - Anti-VSIG1 antibody (AB154493)

Immunohistochemical analysis of paraffin-embedded Human breast carcinoma, labeling VSIG1 using ab154493 at 1/500 dilution.

Western blot - Anti-VSIG1 antibody (AB154493)
  • WB

Unknown

Western blot - Anti-VSIG1 antibody (AB154493)

10% SDS PAGE

All lanes:

Western blot - Anti-VSIG1 antibody (ab154493) at 1/1000 dilution

All lanes:

NT2D1 whole cell lysate at 30 µg

Predicted band size: 42 kDa

false

Key facts

Host species

Rabbit

Clonality

Polyclonal

Isotype

IgG

Carrier free

No

Reacts with

Human

Applications

IHC-P, WB

applications

Immunogen

Recombinant Fragment Protein within Human VSIG1 aa 1-250. The exact immunogen used to generate this antibody is proprietary information.

Q86XK7

Reactivity data

{ "title": "Reactivity Data", "filters": { "stats": ["", "Species", "Dilution Info", "Notes"], "tabs": { "all-applications": {"fullname" : "All Applications", "shortname": "All Applications"}, "WB" : {"fullname" : "Western blot", "shortname":"WB"}, "IHCP" : {"fullname" : "Immunohistochemistry (Formalin/PFA-fixed paraffin-embedded sections)", "shortname":"IHC-P"} }, "product-promise": { "all": "all", "testedAndGuaranteed": "tested", "guaranteed": "expected", "predicted": "predicted", "notRecommended": "not-recommended" } }, "values": { "Human": { "WB-species-checked": "testedAndGuaranteed", "WB-species-dilution-info": "1/500 - 1/3000", "WB-species-notes": "<p></p>", "IHCP-species-checked": "testedAndGuaranteed", "IHCP-species-dilution-info": "1/100 - 1/1000", "IHCP-species-notes": "<p></p>" } } }

Properties and storage information

Form
Liquid
Purification technique
Affinity purification Immunogen
Storage buffer
pH: 7 Preservative: 0.01% Thimerosal (merthiolate) Constituents: 20% Glycerol (glycerin, glycerine), 1.21% Tris, 0.75% Glycine
Shipped at conditions
Blue Ice
Appropriate short-term storage conditions
+4°C
Appropriate long-term storage conditions
-20°C
Aliquoting information
Upon delivery aliquot
Storage information
Avoid freeze / thaw cycle

Product protocols

For this product, it's our understanding that no specific protocols are required. You can visit:

Product promise

We are committed to supporting your work with high-quality reagents, and we're here for you every step of the way. In the unlikely event that one of our products does not perform as expected, you're protected by our Product Promise.
For full details, please see our Terms & Conditions

Please note: All products are 'FOR RESEARCH USE ONLY. NOT FOR USE IN DIAGNOSTIC OR THERAPEUTIC PROCEDURES'.

For licensing inquiries, please contact partnerships@abcam.com