JavaScript is disabled in your browser. Please enable JavaScript to view this website.
AB252932

Anti-VSIG4 antibody [EPR22576-125]

Be the first to review this product! Submit a review

|

(1 Publication)

Rabbit Recombinant Monoclonal VSIG4 antibody. Suitable for WB, IHC-P and reacts with Human samples. Cited in 1 publication.

View Alternative Names

CRIg, Z39IG, UNQ317/PRO362, VSIG4, V-set and immunoglobulin domain-containing protein 4, Protein Z39Ig

5 Images
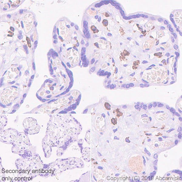
Immunohistochemistry (Formalin/PFA-fixed paraffin-embedded sections) - Anti-VSIG4 antibody [EPR22576-125] (AB252932)
  • IHC-P

Unknown

Immunohistochemistry (Formalin/PFA-fixed paraffin-embedded sections) - Anti-VSIG4 antibody [EPR22576-125] (AB252932)

Immunohistochemical analysis of paraffin-embedded human placenta tissue labeling VSIG4 with ab252932 at 1/100 dilution followed by a ready to use Rabbit specific IHC polymer detection kit HRP/DAB (ab209101). Positive staining on stroma of human placenta (PMID : 17016562) is observed. Counterstained with Hematoxylin.

Heat mediated antigen retrieval using ab208572 retrieval buffer.

Secondary antibody only control : Used PBS instead of primary antibody, secondary antibody is a ready to use Rabbit specific IHC polymer detection kit HRP/DAB (ab209101) .

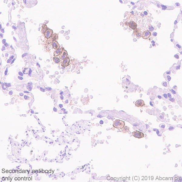
Immunohistochemistry (Formalin/PFA-fixed paraffin-embedded sections) - Anti-VSIG4 antibody [EPR22576-125] (AB252932)
  • IHC-P

Unknown

Immunohistochemistry (Formalin/PFA-fixed paraffin-embedded sections) - Anti-VSIG4 antibody [EPR22576-125] (AB252932)

Immunohistochemical analysis of paraffin-embedded human lung tissue labeling VSIG4 with ab252932 at 1/100 dilution followed by a ready to use Rabbit specific IHC polymer detection kit HRP/DAB (ab209101). Membranous staining on macrophages of human lung (PMID : 17016562) is observed. Counterstained with Hematoxylin.

Heat mediated antigen retrieval using ab208572 retrieval buffer.

Secondary antibody only control : Used PBS instead of primary antibody, secondary antibody is a ready to use Rabbit specific IHC polymer detection kit HRP/DAB (ab209101) .

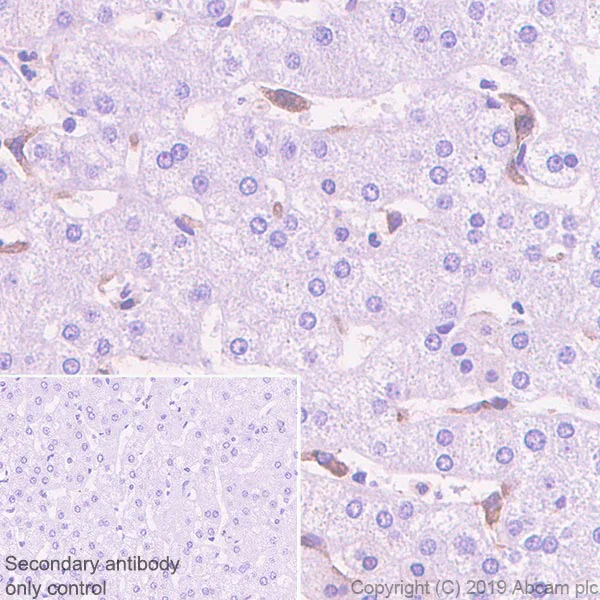
Immunohistochemistry (Formalin/PFA-fixed paraffin-embedded sections) - Anti-VSIG4 antibody [EPR22576-125] (AB252932)
  • IHC-P

Unknown

Immunohistochemistry (Formalin/PFA-fixed paraffin-embedded sections) - Anti-VSIG4 antibody [EPR22576-125] (AB252932)

Immunohistochemical analysis of paraffin-embedded human liver tissue labeling VSIG4 with ab252932 at 1/100 dilution followed by a ready to use Rabbit specific IHC polymer detection kit HRP/DAB (ab209101). Positive staining on Kupffer cells of human liver (PMID : 17016562) is observed. Counterstained with Hematoxylin.

Heat mediated antigen retrieval using ab208572 retrieval buffer.

Secondary antibody only control : Used PBS instead of primary antibody, secondary antibody is a ready to use Rabbit specific IHC polymer detection kit HRP/DAB (ab209101) .

Western blot - Anti-VSIG4 antibody [EPR22576-125] (AB252932)
  • WB

Unknown

Western blot - Anti-VSIG4 antibody [EPR22576-125] (AB252932)

Blocking/diluting buffer and concentration : 5% NFDM/TBST.

Exposure time :

Lane 1 : 125 seconds

Lane 2 : 3 minutes

Lanes 3-4 : 125 seconds

The molecular weight observed is consistent with what has been described in previous literatures (PMID : 16009265, 17016562)

The expression profile observed is consistent with the literatures (PMID : 16009265, 17016562)

Negative control : Jurkat (PMID : 16009265)

Lanes 1, 3 and 4 were developed using a higher sensitivity ECL substrate.

All lanes:

Western blot - Anti-VSIG4 antibody [EPR22576-125] (ab252932) at 1/1000 dilution

Lane 1:

Human liver tissue lysate at 20 µg

Lane 2:

Human placenta tissue lysate at 20 µg

Lane 3:

Jurkat (human T cell leukemia cell line from peripheral blood), whole cell lysate at 20 µg

Lane 4:

THP-1 (human monocytic leukemia cell line), whole cell lysate at 20 µg

Secondary

Lane 1:

Western blot - VeriBlot for IP Detection Reagent (HRP) (<a href='/en-us/products/reagents/veriblot-for-ip-detection-reagent-hrp-ab131366'>ab131366</a>) at 1/1000 dilution

Lanes 2 - 4:

Western blot - Goat Anti-Rabbit IgG H&L (HRP) (<a href='/en-us/products/secondary-antibodies/goat-rabbit-igg-h-l-hrp-ab97051'>ab97051</a>) at 1/20000 dilution

Predicted band size: 44 kDa

Observed band size: 37 kDa,50 kDa

false

Western blot - Anti-VSIG4 antibody [EPR22576-125] (AB252932)
  • WB

Unknown

Western blot - Anti-VSIG4 antibody [EPR22576-125] (AB252932)

Blocking/diluting buffer and concentration : 5% NFDM/TBST

Exposure time : 3 minutes.

All lanes:

Western blot - Anti-VSIG4 antibody [EPR22576-125] (ab252932) at 1/1000 dilution

All lanes:

His-tagged human VSIG4 recombinant protein (aa 19-232) 10 ng

Secondary

All lanes:

Western blot - Goat Anti-Rabbit IgG H&L (HRP) (<a href='/en-us/products/secondary-antibodies/goat-rabbit-igg-h-l-hrp-ab97051'>ab97051</a>) at 1/100000 dilution

Predicted band size: 44 kDa

Observed band size: 27 kDa

false

Key facts

Host species

Rabbit

Clonality

Monoclonal

Clone number

EPR22576-125

Isotype

IgG

Carrier free

No

Reacts with

Human

Applications

IHC-P, WB

applications

Immunogen

The exact immunogen used to generate this antibody is proprietary information.

Reactivity data

{ "title": "Reactivity Data", "filters": { "stats": ["", "Species", "Dilution Info", "Notes"], "tabs": { "all-applications": {"fullname" : "All Applications", "shortname": "All Applications"}, "IP" : {"fullname" : "Immunoprecipitation", "shortname":"IP"}, "FlowCyt" : {"fullname" : "Flow Cytometry", "shortname":"Flow Cyt"}, "WB" : {"fullname" : "Western blot", "shortname":"WB"}, "IHCP" : {"fullname" : "Immunohistochemistry (Formalin/PFA-fixed paraffin-embedded sections)", "shortname":"IHC-P"}, "ICCIF" : {"fullname" : "Immunocytochemistry/ Immunofluorescence", "shortname":"ICC/IF"}, "IHCFr" : {"fullname" : "Immunohistochemistry (Frozen sections)", "shortname":"IHC-Fr"} }, "product-promise": { "all": "all", "testedAndGuaranteed": "tested", "guaranteed": "expected", "predicted": "predicted", "notRecommended": "not-recommended" } }, "values": { "Human": { "IP-species-checked": "notRecommended", "IP-species-dilution-info": "", "IP-species-notes": "<p></p>", "FlowCyt-species-checked": "notRecommended", "FlowCyt-species-dilution-info": "", "FlowCyt-species-notes": "<p></p>", "WB-species-checked": "testedAndGuaranteed", "WB-species-dilution-info": "1/1000", "WB-species-notes": "<p></p>", "IHCP-species-checked": "testedAndGuaranteed", "IHCP-species-dilution-info": "1/100", "IHCP-species-notes": "<p>Perform heat mediated antigen retrieval using <a href='/en-us/products/ihc-kits/universal-hier-antigen-retrieval-reagent-10x-ab208572'>ab208572</a> retrieval buffer.</p>", "ICCIF-species-checked": "notRecommended", "ICCIF-species-dilution-info": "", "ICCIF-species-notes": "<p></p>", "IHCFr-species-checked": "notRecommended", "IHCFr-species-dilution-info": "", "IHCFr-species-notes": "<p></p>" } } }

Product details

Patented technology
Our RabMAb® technology is a patented hybridoma-based technology for making rabbit monoclonal antibodies. For details on our patents, please refer to RabMAb® patents.

What are the advantages of a recombinant monoclonal antibody?
This product is a recombinant monoclonal antibody, which offers several advantages including:

  • - High batch-to-batch consistency and reproducibility
  • - Improved sensitivity and specificity
  • - Long-term security of supply
  • - Animal-free batch production

For more information, read more on recombinant antibodies.

Properties and storage information

Form
Liquid
Purification technique
Affinity purification Protein A
Storage buffer
pH: 7.2 - 7.4 Preservative: 0.01% Sodium azide Constituents: PBS, 40% Glycerol (glycerin, glycerine), 0.05% BSA
Shipped at conditions
Blue Ice
Appropriate short-term storage duration
1-2 weeks
Appropriate short-term storage conditions
+4°C
Appropriate long-term storage conditions
-20°C
Aliquoting information
Upon delivery aliquot
Storage information
Avoid freeze / thaw cycle

Product protocols

For this product, it's our understanding that no specific protocols are required. You can visit:

Target data

Phagocytic receptor, strong negative regulator of T-cell proliferation and IL2 production. Potent inhibitor of the alternative complement pathway convertases.
See full target information VSIG4

Publications (1)

Recent publications for all applications. Explore the full list and refine your search

International journal of biological sciences 21:2747-2761 PubMed40303305

2025

Aryl Hydrocarbon Receptor (AHR) Suppresses Arsenic (As)-Induced Malignant Transformation by Antagonizing TOX Expression.

Applications

Unspecified application

Species

Unspecified reactive species

Wenxuan Zhang,Ziwei Wang,Yao Fu,Chitra Thakur,Haoyan Ji,Zhuoyue Bi,Yiran Qiu,Millie Elangbam,John Haley,Fei Chen
View all publications

Product promise

We are committed to supporting your work with high-quality reagents, and we're here for you every step of the way. In the unlikely event that one of our products does not perform as expected, you're protected by our Product Promise.
For full details, please see our Terms & Conditions

Please note: All products are 'FOR RESEARCH USE ONLY. NOT FOR USE IN DIAGNOSTIC OR THERAPEUTIC PROCEDURES'.

For licensing inquiries, please contact partnerships@abcam.com