JavaScript is disabled in your browser. Please enable JavaScript to view this website.
AB184170

Anti-VTI1B antibody [EPR15506(B)]

0

(1 Review)

|

(6 Publications)

Rabbit Recombinant Monoclonal VTI1B antibody. Suitable for WB, ICC/IF, Flow Cyt (Intra), IHC-P and reacts with Human samples. Cited in 6 publications.

View Alternative Names

VTI1, VTI1L, VTI1L1, VTI2, VTI1B, Vesicle transport through interaction with t-SNAREs homolog 1B, Vesicle transport v-SNARE protein Vti1-like 1, Vti1-rp1

6 Images
Immunocytochemistry/ Immunofluorescence - Anti-VTI1B antibody [EPR15506(B)] (AB184170)
  • ICC/IF

Supplier Data

Immunocytochemistry/ Immunofluorescence - Anti-VTI1B antibody [EPR15506(B)] (AB184170)

Immunofluorescent analysis of MCF7 cells (paraformaldehyde-fixed, 4%) labeling VTI1B with ab184170 at 1/50 dilution followed by Goat anti rabbit IgG (AlexaFluor® 488) secondary at 1/200 dilution and counter-stained with DAPI (blue).

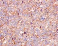
Immunohistochemistry (Formalin/PFA-fixed paraffin-embedded sections) - Anti-VTI1B antibody [EPR15506(B)] (AB184170)
  • IHC-P

Supplier Data

Immunohistochemistry (Formalin/PFA-fixed paraffin-embedded sections) - Anti-VTI1B antibody [EPR15506(B)] (AB184170)

Immunohistochemical analysis of paraffin-embedded human ovarian carcinoma labeling VTI1B with ab184170 at 1 : 100 diluton and HRP polymer. Counterstained with Hematoxylin.

Perform heat mediated antigen retrieval with EDTA buffer pH 9 before commencing with IHC staining protocol.

Flow Cytometry (Intracellular) - Anti-VTI1B antibody [EPR15506(B)] (AB184170)
  • Flow Cyt (Intra)

Supplier Data

Flow Cytometry (Intracellular) - Anti-VTI1B antibody [EPR15506(B)] (AB184170)

Intracellular flow cytometric analysis of Hela cells (2% paraformaldehyde-fixed) labeling VTI1B with ab184170 at 1/170 dilution (red) or a rabbit IgG (negative) (green), followed by Goat anti rabbit IgG (FITC) secondary at 1/150 dilution.

Western blot - Anti-VTI1B antibody [EPR15506(B)] (AB184170)
  • WB

Lab

Western blot - Anti-VTI1B antibody [EPR15506(B)] (AB184170)

Lanes 1-3 : Merged signal (red and green). Green - ab184170 observed at 28 kDa. Red - loading control ab8245 observed at 36 kDa.

ab184170 Anti-VTI1B antibody [EPR15506(B)] was shown to specifically react with VTI1B in wild-type HeLa cells. Loss of signal was observed when knockout cell line ab265483 (knockout cell lysate ab257797) was used. Wild-type and VTI1B knockout samples were subjected to SDS-PAGE. ab184170 and Anti-GAPDH antibody [6C5] - Loading Control (ab8245) were incubated overnight at 4°C at 1 in 1000 dilution and 1 in 20000 dilution respectively. Blots were developed with Goat anti-Rabbit IgG H&L (IRDye® 800CW) preadsorbed (ab216773) and Goat anti-Mouse IgG H&L (IRDye® 680RD) preadsorbed (ab216776) secondary antibodies at 1 in 20000 dilution for 1 hour at room temperature before imaging.

All lanes:

Western blot - Anti-VTI1B antibody [EPR15506(B)] (ab184170) at 1/1000 dilution

Lane 1:

Wild-type HeLa cell lysate at 20 µg

Lane 2:

VTI1B knockout HeLa cell lysate at 20 µg

Lane 2:

Western blot - Human VTI1B knockout HeLa cell line (<a href='/en-us/products/cell-lines/human-vti1b-knockout-hela-cell-line-ab265483'>ab265483</a>)

Lane 3:

MCF7 cell lysate at 20 µg

Secondary

All lanes:

Western blot - Goat anti-Rabbit IgG H&L (IRDye® 800CW) preadsorbed (<a href='/en-us/products/secondary-antibodies/goat-rabbit-igg-h-l-irdye-800cw-preadsorbed-ab216773'>ab216773</a>) at 1/10000 dilution

Predicted band size: 27 kDa

Observed band size: 28 kDa

false

Western blot - Anti-VTI1B antibody [EPR15506(B)] (AB184170)
  • WB

Supplier Data

Western blot - Anti-VTI1B antibody [EPR15506(B)] (AB184170)

All lanes:

Western blot - Anti-VTI1B antibody [EPR15506(B)] (ab184170) at 1/10000 dilution

All lanes:

MCF7 cell lysate at 10 µg

Secondary

All lanes:

Goat Anti-Rabbit IgG, (H+L), Peroxidase conjugated at 1/1000 dilution

Predicted band size: 27 kDa

false

Western blot - Anti-VTI1B antibody [EPR15506(B)] (AB184170)
  • WB

Supplier Data

Western blot - Anti-VTI1B antibody [EPR15506(B)] (AB184170)

All lanes:

Western blot - Anti-VTI1B antibody [EPR15506(B)] (ab184170) at 1/2000 dilution

Lane 1:

MCF7 cell lysate at 20 µg

Lane 2:

HeLa cell lysate at 20 µg

Lane 3:

Human fetal liver lysate at 20 µg

Lane 4:

Human fetal lung lysate at 20 µg

Secondary

All lanes:

Goat Anti-Rabbit IgG, (H+L), Peroxidase conjugated at 1/1000 dilution

Predicted band size: 27 kDa

false

  • Carrier free

    Anti-VTI1B antibody [EPR15506(B)] - BSA and Azide free

Key facts

Host species

Rabbit

Clonality

Monoclonal

Clone number

EPR15506(B)

Isotype

IgG

Carrier free

No

Reacts with

Human

Applications

Flow Cyt (Intra), IHC-P, WB, ICC/IF

applications

Immunogen

The exact immunogen used to generate this antibody is proprietary information.

Reactivity data

{ "title": "Reactivity Data", "filters": { "stats": ["", "Species", "Dilution Info", "Notes"], "tabs": { "all-applications": {"fullname" : "All Applications", "shortname": "All Applications"}, "WB" : {"fullname" : "Western blot", "shortname":"WB"}, "ICCIF" : {"fullname" : "Immunocytochemistry/ Immunofluorescence", "shortname":"ICC/IF"}, "FlowCytIntra" : {"fullname" : "Flow Cytometry (Intracellular)", "shortname":"Flow Cyt (Intra)"}, "IHCP" : {"fullname" : "Immunohistochemistry (Formalin/PFA-fixed paraffin-embedded sections)", "shortname":"IHC-P"} }, "product-promise": { "all": "all", "testedAndGuaranteed": "tested", "guaranteed": "expected", "predicted": "predicted", "notRecommended": "not-recommended" } }, "values": { "Human": { "WB-species-checked": "testedAndGuaranteed", "WB-species-dilution-info": "1/1000 - 1/10000", "WB-species-notes": "<p></p>", "ICCIF-species-checked": "testedAndGuaranteed", "ICCIF-species-dilution-info": "1/50", "ICCIF-species-notes": "<p></p>", "FlowCytIntra-species-checked": "testedAndGuaranteed", "FlowCytIntra-species-dilution-info": "1/170", "FlowCytIntra-species-notes": "<p><a href='/en-us/products/primary-antibodies/rabbit-igg-monoclonal-epr25a-isotype-control-ab172730'>ab172730</a> - Rabbit monoclonal IgG, is suitable for use as an isotype control with this antibody.</p>", "IHCP-species-checked": "testedAndGuaranteed", "IHCP-species-dilution-info": "1/100", "IHCP-species-notes": "<p></p> Perform heat-mediated antigen retrieval with Tris/EDTA buffer pH 9.0 before commencing with IHC staining protocol." }, "Mouse": { "WB-species-checked": "predicted", "WB-species-dilution-info": "", "WB-species-notes": "", "ICCIF-species-checked": "predicted", "ICCIF-species-dilution-info": "", "ICCIF-species-notes": "", "FlowCytIntra-species-checked": "predicted", "FlowCytIntra-species-dilution-info": "", "FlowCytIntra-species-notes": "", "IHCP-species-checked": "predicted", "IHCP-species-dilution-info": "", "IHCP-species-notes": "" }, "Rat": { "WB-species-checked": "predicted", "WB-species-dilution-info": "", "WB-species-notes": "", "ICCIF-species-checked": "predicted", "ICCIF-species-dilution-info": "", "ICCIF-species-notes": "", "FlowCytIntra-species-checked": "predicted", "FlowCytIntra-species-dilution-info": "", "FlowCytIntra-species-notes": "", "IHCP-species-checked": "predicted", "IHCP-species-dilution-info": "", "IHCP-species-notes": "" } } }

Product details

Patented technology
Our RabMAb® technology is a patented hybridoma-based technology for making rabbit monoclonal antibodies. For details on our patents, please refer to RabMAb® patents.

What are the advantages of a recombinant monoclonal antibody?
This product is a recombinant monoclonal antibody, which offers several advantages including:

  • - High batch-to-batch consistency and reproducibility
  • - Improved sensitivity and specificity
  • - Long-term security of supply
  • - Animal-free batch production

For more information, read more on recombinant antibodies.

Properties and storage information

Form
Liquid
Purification technique
Affinity purification Protein A
Storage buffer
pH: 7.2 Preservative: 0.01% Sodium azide Constituents: PBS, 40% Glycerol (glycerin, glycerine), 0.05% BSA
Shipped at conditions
Blue Ice
Appropriate short-term storage duration
1-2 weeks
Appropriate short-term storage conditions
+4°C
Appropriate long-term storage conditions
-20°C
Aliquoting information
Upon delivery aliquot
Storage information
Avoid freeze / thaw cycle

Product protocols

For this product, it's our understanding that no specific protocols are required. You can visit:

Target data

V-SNARE that mediates vesicle transport pathways through interactions with t-SNAREs on the target membrane. These interactions are proposed to mediate aspects of the specificity of vesicle trafficking and to promote fusion of the lipid bilayers. May be concerned with increased secretion of cytokines associated with cellular senescence.
See full target information VTI1B

Publications (6)

Recent publications for all applications. Explore the full list and refine your search

The Journal of cell biology 221: PubMed36053215

2022

VAMP4 regulates insulin levels by targeting secretory granules to lysosomes.

Applications

Unspecified application

Species

Unspecified reactive species

Min Li,Fengping Feng,Han Feng,Pengkai Hu,Yanhong Xue,Tao Xu,Eli Song

eLife 10: PubMed34414886

2021

An engineered transcriptional reporter of protein localization identifies regulators of mitochondrial and ER membrane protein trafficking in high-throughput CRISPRi screens.

Applications

Unspecified application

Species

Unspecified reactive species

Robert Coukos,David Yao,Mateo I Sanchez,Eric T Strand,Meagan E Olive,Namrata D Udeshi,Jonathan S Weissman,Steven A Carr,Michael C Bassik,Alice Y Ting

Journal of cell science 133: PubMed32907852

2020

Invariant chain regulates endosomal fusion and maturation through an interaction with the SNARE Vti1b.

Applications

Unspecified application

Species

Unspecified reactive species

Azzurra Margiotta,Dominik M Frei,Ingrid Hegnes Sendstad,Lennert Janssen,Jacques Neefjes,Oddmund Bakke

PloS one 14:e0214110 PubMed30951545

2019

The Gag protein PEG10 binds to RNA and regulates trophoblast stem cell lineage specification.

Applications

Unspecified application

Species

Unspecified reactive species

Mona Abed,Erik Verschueren,Hanna Budayeva,Peter Liu,Donald S Kirkpatrick,Rohit Reja,Sarah K Kummerfeld,Joshua D Webster,Sarah Gierke,Mike Reichelt,Keith R Anderson,Robert J Newman,Merone Roose-Girma,Zora Modrusan,Hazal Pektas,Emin Maltepe,Kim Newton,Vishva M Dixit

Autophagy 14:1129-1154 PubMed29862881

2018

Cholesterol impairs autophagy-mediated clearance of amyloid beta while promoting its secretion.

Applications

Unspecified application

Species

Unspecified reactive species

Elisabet Barbero-Camps,Vicente Roca-Agujetas,Isabel Bartolessis,Cristina de Dios,Jose C Fernández-Checa,Montserrat Marí,Albert Morales,Tobias Hartmann,Anna Colell

Immunologic research 65:1031-1045 PubMed28822075

2017

Recycling endosomes in human cytotoxic T lymphocytes constitute an auxiliary intracellular trafficking pathway for newly synthesized perforin.

Applications

Flow Cyt

Species

Human

Kelsey Lesteberg,Jordan Orange,George Makedonas
View all publications

Product promise

We are committed to supporting your work with high-quality reagents, and we're here for you every step of the way. In the unlikely event that one of our products does not perform as expected, you're protected by our Product Promise.
For full details, please see our Terms & Conditions

Please note: All products are 'FOR RESEARCH USE ONLY. NOT FOR USE IN DIAGNOSTIC OR THERAPEUTIC PROCEDURES'.

For licensing inquiries, please contact partnerships@abcam.com