JavaScript is disabled in your browser. Please enable JavaScript to view this website.
AB110739

Anti-WASF3 antibody

Be the first to review this product! Submit a review

|

(2 Publications)

Rabbit Polyclonal WASF3 antibody. Suitable for IHC-P and reacts with Human samples. Cited in 2 publications. Immunogen corresponding to Synthetic Peptide within Human WASF3.

View Alternative Names

KIAA0900, SCAR3, WAVE3, WASF3, Actin-binding protein WASF3, Protein WAVE-3, Verprolin homology domain-containing protein 3, Wiskott-Aldrich syndrome protein family member 3, WASP family protein member 3

1 Images
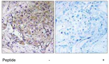
Immunohistochemistry (Formalin/PFA-fixed paraffin-embedded sections) - Anti-WASF3 antibody (AB110739)
  • IHC-P

Unknown

Immunohistochemistry (Formalin/PFA-fixed paraffin-embedded sections) - Anti-WASF3 antibody (AB110739)

Immunohistochemistry analysis of paraffin-embedded Human breast carcinoma tissue using ab110739 at a dilution of 1/50. Right panel was also treated with blocking peptide.

Key facts

Host species

Rabbit

Clonality

Polyclonal

Isotype

IgG

Carrier free

No

Reacts with

Human

Applications

IHC-P

applications

Immunogen

Synthetic Peptide within Human WASF3. The exact immunogen used to generate this antibody is proprietary information.

Q9UPY6

Reactivity data

{ "title": "Reactivity Data", "filters": { "stats": ["", "Species", "Dilution Info", "Notes"], "tabs": { "all-applications": {"fullname" : "All Applications", "shortname": "All Applications"}, "IHCP" : {"fullname" : "Immunohistochemistry (Formalin/PFA-fixed paraffin-embedded sections)", "shortname":"IHC-P"} }, "product-promise": { "all": "all", "testedAndGuaranteed": "tested", "guaranteed": "expected", "predicted": "predicted", "notRecommended": "not-recommended" } }, "values": { "Human": { "IHCP-species-checked": "testedAndGuaranteed", "IHCP-species-dilution-info": "1/50 - 1/100", "IHCP-species-notes": "<p></p> Perform heat-mediated antigen retrieval with citrate buffer pH 6 before commencing with IHC staining protocol." } } }

Properties and storage information

Form
Liquid
Purification technique
Affinity purification Immunogen
Storage buffer
pH: 7.4 Preservative: 0.02% Sodium azide Constituents: PBS, 50% Glycerol (glycerin, glycerine), 0.88% Sodium chloride
Shipped at conditions
Blue Ice
Appropriate short-term storage conditions
+4°C
Appropriate long-term storage conditions
-20°C
Storage information
Stable for 12 months at -20°C

Product protocols

For this product, it's our understanding that no specific protocols are required. You can visit:

Target data

Downstream effector molecules involved in the transmission of signals from tyrosine kinase receptors and small GTPases to the actin cytoskeleton. Plays a role in the regulation of cell morphology and cytoskeletal organization. Required in the control of cell shape.
See full target information WASF3

Publications (2)

Recent publications for all applications. Explore the full list and refine your search

Future oncology (London, England) 15:1605-1615 PubMed31038356

2019

expression correlates with poor prognosis in gastric cancer patients.

Applications

Unspecified application

Species

Unspecified reactive species

Yanli Nie,Sheng Hu,Sanhe Liu,Na Fang,Fang Guo,Liu Yang,Xinjun Liang

Oncology letters 8:1169-1174 PubMed25120680

2014

Expression of WASF3 in patients with non-small cell lung cancer: Correlation with clinicopathological features and prognosis.

Applications

IHC-P

Species

Human

Jie Wu,Guang-Chuan Wang,Xue-Jun Chen,Zhan-Rui Xue
View all publications

Product promise

We are committed to supporting your work with high-quality reagents, and we're here for you every step of the way. In the unlikely event that one of our products does not perform as expected, you're protected by our Product Promise.
For full details, please see our Terms & Conditions

Please note: All products are 'FOR RESEARCH USE ONLY. NOT FOR USE IN DIAGNOSTIC OR THERAPEUTIC PROCEDURES'.

For licensing inquiries, please contact partnerships@abcam.com